• 文献检索
  • 文档翻译
  • 深度研究
  • 学术资讯
  • Suppr Zotero 插件Zotero 插件
  • 邀请有礼
  • 套餐&价格
  • 历史记录
应用&插件
Suppr Zotero 插件Zotero 插件浏览器插件Mac 客户端Windows 客户端微信小程序
定价
高级版会员购买积分包购买API积分包
服务
文献检索文档翻译深度研究API 文档MCP 服务
关于我们
关于 Suppr公司介绍联系我们用户协议隐私条款
关注我们

Suppr 超能文献

核心技术专利:CN118964589B侵权必究
粤ICP备2023148730 号-1Suppr @ 2026

文献检索

告别复杂PubMed语法,用中文像聊天一样搜索,搜遍4000万医学文献。AI智能推荐,让科研检索更轻松。

立即免费搜索

文件翻译

保留排版,准确专业,支持PDF/Word/PPT等文件格式,支持 12+语言互译。

免费翻译文档

深度研究

AI帮你快速写综述,25分钟生成高质量综述,智能提取关键信息,辅助科研写作。

立即免费体验

一例上颌强直犬牙的美学与功能康复——病例报告

Aesthetical and Functional Rehabilitation for an Ankylosed Maxillary Canine-A Case Report.

作者信息

Roman Tatiana, Delarue Maxime, Esquenet Matthieu, Rafflenbeul Frédéric, Petit Catherine, Kharouf Naji, Etienne Olivier

机构信息

Department of Biomaterials and Bioengeneering, INSERM UMR_S 1121, 67000 Strasbourg, France.

Department of Prosthodontics, Faculty of Dental Surgery, Strasbourg University, Hôpitaux Universitaires de Strasbourg, 1 Place de l'Hopital, 67000 Strasbourg, France.

出版信息

Clin Pract. 2024 Sep 27;14(5):2013-2026. doi: 10.3390/clinpract14050159.

DOI:10.3390/clinpract14050159
PMID:39451874
原文链接:https://pmc.ncbi.nlm.nih.gov/articles/PMC11506519/
Abstract

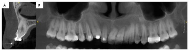
As the functional and aesthetical importance of the canine cannot be overstated, the management of a missing canine is challenging. This case report describes the treatment of an infra-occluded ankylosed maxillary canine in a patient with previously failed orthodontic treatment. A 20-year-old patient sought a second opinion for orthodontic treatment failure. The patient presented with an impacted, ankylosed, and severely infra-occluded right maxillary canine, as well as an iatrogenic clockwise cant of the maxillary occlusal plane and several root resorptions. The treatment corrected the cant of the occlusal plane while avoiding further root resorption, partially extracted the upper right canine, improved the quality and quantity of the soft tissue in the newly edentulous area, and provided a prosthetic rehabilitation using a lithium disilicate ceramic resin-bonded cantilever bridge. The use of a cantilevered bridge resulted in an aesthetically pleasing and minimally invasive rehabilitation. This technique is reversible, does not affect pulp vitality, and is a viable solution for rehabilitating the smiles of young patients. The smile rehabilitation for an ankylosed maxillary canine, especially in the case of a previously failed orthodontic treatment, is an important clinical challenge. A minimally invasive long-term restoration with a cantilever bridge is a viable solution. Functional and aesthetically pleasant results can be achieved with a multidisciplinary approach.

摘要

由于尖牙在功能和美学方面的重要性再怎么强调也不为过,因此处理缺失的尖牙具有挑战性。本病例报告描述了一名正畸治疗失败患者的上颌骨粘连性低位阻生尖牙的治疗情况。一名20岁患者因正畸治疗失败寻求二次诊断。患者表现为右侧上颌骨尖牙阻生、粘连且严重低位,上颌咬合平面医源性顺时针倾斜,并有多处牙根吸收。治疗纠正了咬合平面的倾斜,同时避免进一步的牙根吸收,部分拔除右上尖牙,改善了新缺牙区软组织的质量和数量,并使用二硅酸锂陶瓷树脂粘结悬臂桥进行了修复。使用悬臂桥修复在美学上令人满意且微创。该技术是可逆的,不影响牙髓活力,是修复年轻患者笑容的可行解决方案。对于粘连性上颌尖牙的微笑修复,尤其是在正畸治疗先前失败的情况下,是一项重要的临床挑战。采用悬臂桥进行微创长期修复是一种可行的解决方案。通过多学科方法可以实现功能和美学上令人满意的效果。

https://cdn.ncbi.nlm.nih.gov/pmc/blobs/6ac6/11506519/bcc631a8058f/clinpract-14-00159-g011.jpg
https://cdn.ncbi.nlm.nih.gov/pmc/blobs/6ac6/11506519/6d58978f4480/clinpract-14-00159-g001.jpg
https://cdn.ncbi.nlm.nih.gov/pmc/blobs/6ac6/11506519/e6d72b150f57/clinpract-14-00159-g002.jpg
https://cdn.ncbi.nlm.nih.gov/pmc/blobs/6ac6/11506519/6ba29ee65938/clinpract-14-00159-g003.jpg
https://cdn.ncbi.nlm.nih.gov/pmc/blobs/6ac6/11506519/437f95efb201/clinpract-14-00159-g004.jpg
https://cdn.ncbi.nlm.nih.gov/pmc/blobs/6ac6/11506519/5f461be2d30b/clinpract-14-00159-g005.jpg
https://cdn.ncbi.nlm.nih.gov/pmc/blobs/6ac6/11506519/09a8621e88e3/clinpract-14-00159-g006.jpg
https://cdn.ncbi.nlm.nih.gov/pmc/blobs/6ac6/11506519/b85ed5288e67/clinpract-14-00159-g007.jpg
https://cdn.ncbi.nlm.nih.gov/pmc/blobs/6ac6/11506519/f2504c84a390/clinpract-14-00159-g008.jpg
https://cdn.ncbi.nlm.nih.gov/pmc/blobs/6ac6/11506519/1d634d6784d0/clinpract-14-00159-g009.jpg
https://cdn.ncbi.nlm.nih.gov/pmc/blobs/6ac6/11506519/8d0f3fa0ba2b/clinpract-14-00159-g010.jpg
https://cdn.ncbi.nlm.nih.gov/pmc/blobs/6ac6/11506519/bcc631a8058f/clinpract-14-00159-g011.jpg
https://cdn.ncbi.nlm.nih.gov/pmc/blobs/6ac6/11506519/6d58978f4480/clinpract-14-00159-g001.jpg
https://cdn.ncbi.nlm.nih.gov/pmc/blobs/6ac6/11506519/e6d72b150f57/clinpract-14-00159-g002.jpg
https://cdn.ncbi.nlm.nih.gov/pmc/blobs/6ac6/11506519/6ba29ee65938/clinpract-14-00159-g003.jpg
https://cdn.ncbi.nlm.nih.gov/pmc/blobs/6ac6/11506519/437f95efb201/clinpract-14-00159-g004.jpg
https://cdn.ncbi.nlm.nih.gov/pmc/blobs/6ac6/11506519/5f461be2d30b/clinpract-14-00159-g005.jpg
https://cdn.ncbi.nlm.nih.gov/pmc/blobs/6ac6/11506519/09a8621e88e3/clinpract-14-00159-g006.jpg
https://cdn.ncbi.nlm.nih.gov/pmc/blobs/6ac6/11506519/b85ed5288e67/clinpract-14-00159-g007.jpg
https://cdn.ncbi.nlm.nih.gov/pmc/blobs/6ac6/11506519/f2504c84a390/clinpract-14-00159-g008.jpg
https://cdn.ncbi.nlm.nih.gov/pmc/blobs/6ac6/11506519/1d634d6784d0/clinpract-14-00159-g009.jpg
https://cdn.ncbi.nlm.nih.gov/pmc/blobs/6ac6/11506519/8d0f3fa0ba2b/clinpract-14-00159-g010.jpg
https://cdn.ncbi.nlm.nih.gov/pmc/blobs/6ac6/11506519/bcc631a8058f/clinpract-14-00159-g011.jpg

相似文献

1
Aesthetical and Functional Rehabilitation for an Ankylosed Maxillary Canine-A Case Report.一例上颌强直犬牙的美学与功能康复——病例报告
Clin Pract. 2024 Sep 27;14(5):2013-2026. doi: 10.3390/clinpract14050159.
2
Biomechanically and Periodontally-Based Orthodontic Treatment of a Patient with Upper Canine Affected by External Cervical Resorption (ECR): A Case Report.基于生物力学和牙周学的正畸治疗一名上颌尖牙受外吸收影响的患者:病例报告
Dent J (Basel). 2023 Nov 30;11(12):278. doi: 10.3390/dj11120278.
3
[Preservation of alveolar bone of un-restorable traumatized maxillary incisors for future].[保存无法修复的创伤性上颌切牙的牙槽骨以备将来使用]
Refuat Hapeh Vehashinayim (1993). 2004 Jan;21(1):54-9, 101-2.
4
Mini-implant assisted orthodontic correction of lip and occlusal cant of a young adult: A case report.微型种植体支抗正畸矫治成年患者唇倾及开合:1 例报告。
Int Orthod. 2024 Dec;22(4):100900. doi: 10.1016/j.ortho.2024.100900. Epub 2024 Oct 9.
5
Conservatively replacing missing anterior teeth with resin bonded ceramic restorations.保守地用树脂粘结陶瓷修复体修复缺失的前牙。
J Esthet Restor Dent. 2023 Jun;35(4):567-576. doi: 10.1111/jerd.12989. Epub 2022 Dec 13.
6
Management of ankylosed maxillary canine with single-tooth osteotomy in conjunction with orthognathic surgery.采用单牙截骨术联合正颌外科手术治疗上颌骨粘连犬牙
J Oral Maxillofac Surg. 2014 Dec;72(12):2419.e1-6. doi: 10.1016/j.joms.2014.07.016. Epub 2014 Jul 30.
7
Autotransplantation of a maxillary first premolar to replace an ankylosed maxillary incisor: 7-year follow-up.上颌第一前磨牙自体移植替代埋伏上颌中切牙:7 年随访。
Int Endod J. 2011 Sep;44(9):863-75. doi: 10.1111/j.1365-2591.2011.01892.x. Epub 2011 May 27.
8
Esthetic and functional management of an ankylosed central incisor with a conservative restorative approach.采用保守修复方法对一例正中门牙骨性粘连的美观和功能管理。
J Esthet Restor Dent. 2018 Jul;30(4):269-274. doi: 10.1111/jerd.12368. Epub 2018 Feb 5.
9
Prosthetic and orthodontic rehabilitation of a patient with severe maxillary central incisor root resorption associated with impacted maxillary canines.严重上颌中切牙牙根吸收伴上颌尖牙埋伏患者的修复体和正畸治疗。
J Esthet Restor Dent. 2022 Jun;34(4):583-591. doi: 10.1111/jerd.12890. Epub 2022 Feb 19.
10
Multi-disciplinary management of a patient with a post-traumatised incisor presenting concurrent replacement and inflammatory resorption: a case report.一名创伤后切牙同时出现替代吸收和炎性吸收患者的多学科管理:病例报告
Aust Orthod J. 2015 Nov;31(2):216-25.

引用本文的文献

1
Management of an infectious complication appearing in a transcanine implant: a case report.经犬种植体出现感染并发症的处理:一例病例报告
Int J Implant Dent. 2025 May 19;11(1):37. doi: 10.1186/s40729-025-00626-6.

本文引用的文献

1
Full-ceramic resin-bonded fixed dental prostheses: A systematic review.全瓷树脂粘结固定修复体:系统评价。
J Appl Biomater Funct Mater. 2024 Jan-Dec;22:22808000241250118. doi: 10.1177/22808000241250118.
2
Shear bond strength between standard or modified zirconia surfaces and two resin cements incorporating or not 10-MDP in their matrix.标准或改性氧化锆表面与两种在基质中添加或未添加10-甲基丙烯酰氧丙基磷酸酯(10-MDP)的树脂水门汀之间的剪切粘结强度。
Dent Mater. 2024 Feb;40(2):370-378. doi: 10.1016/j.dental.2023.12.015. Epub 2023 Dec 26.
3
Biomechanical behavior of posterior metal-free cantilever fixed dental prostheses: effect of material and retainer design.
无金属后悬臂式固定义齿修复体的生物力学行为:材料和固位体设计的影响。
Clin Oral Investig. 2023 May;27(5):2109-2123. doi: 10.1007/s00784-022-04813-2. Epub 2022 Dec 2.
4
Enamel Wear of Antagonist Tooth Caused by Dental Ceramics: Systematic Review and Meta-Analysis.牙科陶瓷导致的对颌牙釉质磨损:系统评价与荟萃分析
J Clin Med. 2022 Nov 4;11(21):6547. doi: 10.3390/jcm11216547.
5
Clinical evaluation of zirconia cantilevered single-retainer resin-bonded fixed dental prostheses replacing missing canines and posterior teeth.氧化锆悬臂单固位树脂粘结固定义齿修复缺失尖牙和后牙的临床评价。
J Dent. 2022 Jan;116:103907. doi: 10.1016/j.jdent.2021.103907. Epub 2021 Nov 25.
6
Orthodontic root resorption.正畸性牙根吸收。
J World Fed Orthod. 2021 Dec;10(4):135-143. doi: 10.1016/j.ejwf.2021.09.003. Epub 2021 Nov 14.
7
Dental implant placement through impacted teeth or residual roots as an alternative to invasive extraction surgeries: a systematic literature review.经牙或残根植入牙种植体以替代侵入性拔牙手术:系统文献综述。
Br J Oral Maxillofac Surg. 2021 Dec;59(10):1120-1129. doi: 10.1016/j.bjoms.2020.12.018. Epub 2021 Jan 8.
8
A randomised controlled trial of two-unit cantilevered or three-unit fixed-movable resin-bonded fixed partial dentures replacing missing molars.一项关于双单位外展悬臂式或三单位固定可动树脂粘结式固定局部义齿修复缺失磨牙的随机对照临床试验。
J Dent. 2020 Dec;103:103519. doi: 10.1016/j.jdent.2020.103519. Epub 2020 Nov 2.
9
Fracture strength of lithium disilicate cantilever resin bonded fixed dental prosthesis.二硅酸锂悬臂式树脂粘结固定义齿的断裂强度
J Mech Behav Biomed Mater. 2020 Mar;103:103615. doi: 10.1016/j.jmbbm.2019.103615. Epub 2020 Jan 2.
10
Does replacement of missing dental units with resin-retained bridges improve oral health-related quality of life?: A systematic review.缺失牙单位用树脂固位桥修复是否能改善口腔健康相关生活质量?:系统评价。
J Dent. 2019 Dec;91:103209. doi: 10.1016/j.jdent.2019.103209. Epub 2019 Nov 8.