Suppr超能文献

经犬种植体出现感染并发症的处理:一例病例报告

Management of an infectious complication appearing in a transcanine implant: a case report.

作者信息

Delarue Maxime, Klienkoff Pierre, Le Ven Mélanie, Bornert Fabien

机构信息

Faculty of Dental Surgery, University of Strasbourg, 8 Rue de Sainte Elisabeth, 67000, Strasbourg, France.

Department of Oral Surgery, UF8601, University Hospital of Strasbourg, 1 Place de L'Hôpital, 67000, Strasbourg, France.

出版信息

Int J Implant Dent. 2025 May 19;11(1):37. doi: 10.1186/s40729-025-00626-6.

Abstract

BACKGROUND

Maxillary canine impaction is the second most common dental eruption anomaly, affecting approximately 0.2-3% of individuals, with a higher incidence in females. This condition often results in complications such as the misalignment of adjacent teeth, root resorption, and the development of cystic lesions. In some cases, abstention is recommended for impacted canine is kept with the lacteal tooth held on the dental arch. But in the longer term an implant therapy is nevertheless indicated.

CASE PRESENTATION

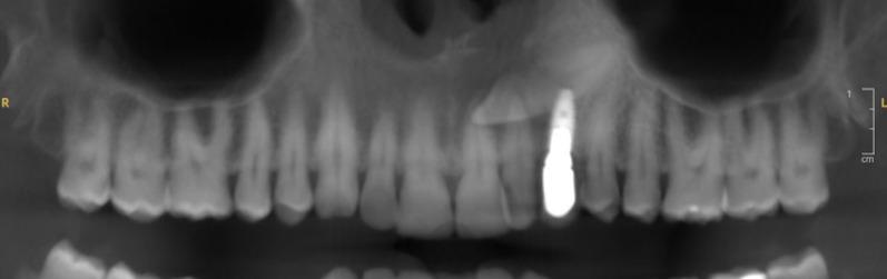
A 42-year-old man presented with persistent swelling and pain in the maxillary region associated with a transcanine implant placed one year ago by his dental practitioner. Imaging assessment showed the implant's apex inserted into the impacted canine which presented a crown and root resorption and was associated to a radiolucency around. In order to preserve implant and reduce morbidity related to a full extraction of the tooth, a coronectomy was performed allowing inflammatory surrounding tissues curettage.

DISCUSSION

This case shows an infectious complication of a transcanine implant and demonstrates an approach for managing these complications while preserving this implant. The coronectomy is a less invasive technique that reduces potential surgical complications and supports healing. A 2-year follow-up revealed complete bone reossification reinforcing the effectiveness of this method in similar clinical scenarios.

CONCLUSION

This case suggests that coronectomy may be a viable option for managing impacted canines in proximity to implants when complete extraction poses a high risk of complications. However, given the limited number of reported cases and the absence of long-term data, this approach should be considered with caution. Further studies are necessary to better define the indications, long-term outcomes, and potential risks of this technique.

摘要

背景

上颌尖牙阻生是第二常见的牙齿萌出异常,影响约0.2%-3%的个体,女性发病率更高。这种情况常导致诸如邻牙排列不齐、牙根吸收和囊性病变形成等并发症。在某些情况下,对于阻生尖牙与牙弓上保留的乳牙并存的情况,建议观察。但从长远来看,仍需进行种植治疗。

病例介绍

一名42岁男性因上颌区域持续肿胀和疼痛前来就诊,其一年前由牙医植入了一枚经尖牙种植体。影像学评估显示种植体根尖插入阻生尖牙,该尖牙出现冠部和根部吸收,并伴有周围的透射区。为了保留种植体并降低因完全拔除牙齿而导致的发病率,进行了冠切除术,以便刮除周围的炎性组织。

讨论

本病例显示了经尖牙种植体的感染并发症,并展示了在保留该种植体的同时处理这些并发症的方法。冠切除术是一种侵入性较小的技术,可减少潜在的手术并发症并促进愈合。两年的随访显示完全骨再矿化,加强了该方法在类似临床情况下的有效性。

结论

本病例表明,当完全拔除存在高并发症风险时,冠切除术可能是处理靠近种植体的阻生尖牙的可行选择。然而,鉴于报告的病例数量有限且缺乏长期数据,应谨慎考虑这种方法。需要进一步研究以更好地确定该技术的适应症、长期结果和潜在风险。

https://cdn.ncbi.nlm.nih.gov/pmc/blobs/9c0a/12089639/d622bcdb2dc1/40729_2025_626_Fig1_HTML.jpg

文献检索

告别复杂PubMed语法,用中文像聊天一样搜索,搜遍4000万医学文献。AI智能推荐,让科研检索更轻松。

立即免费搜索

文件翻译

保留排版,准确专业,支持PDF/Word/PPT等文件格式,支持 12+语言互译。

免费翻译文档

深度研究

AI帮你快速写综述,25分钟生成高质量综述,智能提取关键信息,辅助科研写作。

立即免费体验