Suppr超能文献

在坏死性小肠结肠炎大鼠模型中,疾病发作前给予脂肪组织来源的干细胞可降低炎症细胞因子 IL-1 和 IL-6 的水平。

Administration of Adipose Tissue Derived Stem Cells before the Onset of the Disease Lowers the Levels of Inflammatory Cytokines IL-1 and IL-6 in the Rat Model of Necrotizing Enterocolitis.

机构信息

Department of Pediatric Surgery, Medical University of Warsaw, Zwirki i Wigury 63a, 02-091 Warsaw, Poland.

Chair and Department of Experimental and Clinical Physiology, Laboratory of Centre for Preclinical Research, Medical University of Warsaw, Banacha 1B, 02-097 Warsaw, Poland.

出版信息

Int J Mol Sci. 2024 Oct 15;25(20):11052. doi: 10.3390/ijms252011052.

Abstract

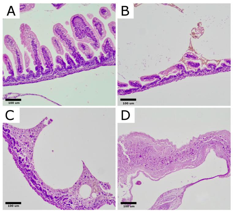
There is little research concerning the role of stem cells in necrotizing enterocolitis (NEC). Bone marrow-derived mesenchymal stem cells (BMDSC) and amniotic fluid-derived stem cells significantly reduced the amount and severity of NEC in the animal models. ADSCs share similar surface markers and differentiation potential with BMDSCs. Their potential role in the setting of NEC has not been researched before. The hypothesis of the study was that prophylactic intraperitoneal administration of ADSCs before the onset of the disease will result in limiting the inflammatory response, effecting a lower incidence of NEC. On a molecular level, this should result in lowering the levels of inflammatory cytokines IL-1 and IL-6. The local ethical committee for animal experiments approval was acquired (WAW2/093/2021). We utilized a self-modified rat NEC model based on single exposure to hypothermia, hypoxia, and formula feeding. One hundred and twenty-eight rat puppies were divided into two groups-prophylaxis (ADSC-NEC, n = 66) and control group (NEC-PLCB, n = 62)-to measure the influence of ADSCs administration on the inflammatory changes in NEC, the level of cell engraftment, and the histopathology of the disease. The analysis did not show a significant effect on histopathology between groups, H(2) = 2.12; = 0.347; η²H = 0.00. The intensity of the NEC variable results was similar across the analyzed groups (NEC-PLCB and ADSC-NEC). For IL-1 and IL-6, the difference between the NEC-PLCB group and the ADSC-NEC group was statistically significant, = 0.002 and < 0.001, respectively. To conclude, administration of adipose tissue-derived stem cells before the onset of the disease lowers the levels of inflammatory cytokines IL-1 and IL-6 but does not affect the histopathological results in the rat model of NEC.

摘要

关于干细胞在坏死性小肠结肠炎 (NEC) 中的作用的研究很少。骨髓间充质干细胞 (BMDSC) 和羊水来源的干细胞在动物模型中显著减少了 NEC 的数量和严重程度。ADSCs 与 BMDSCs 具有相似的表面标志物和分化潜能。它们在 NEC 中的潜在作用以前没有被研究过。该研究的假设是,在疾病发作前预防性腹腔内给予 ADSCs 将限制炎症反应,降低 NEC 的发病率。在分子水平上,这应该会降低炎症细胞因子 IL-1 和 IL-6 的水平。已获得动物实验局部伦理委员会的批准 (WAW2/093/2021)。我们使用了一种基于单次暴露于低温、缺氧和配方喂养的改良大鼠 NEC 模型。128 只大鼠幼崽分为两组-预防组 (ADSC-NEC,n = 66) 和对照组 (NEC-PLCB,n = 62)-以测量 ADSCs 给药对 NEC 中炎症变化、细胞植入水平和疾病组织病理学的影响。分析显示,两组之间的组织病理学无显著影响,H(2) = 2.12; = 0.347; η²H = 0.00。分析组间 NEC 变量结果的强度相似 (NEC-PLCB 和 ADSC-NEC)。对于 IL-1 和 IL-6,NEC-PLCB 组和 ADSC-NEC 组之间的差异具有统计学意义, = 0.002 和 < 0.001。总之,在疾病发作前给予脂肪组织来源的干细胞可降低炎症细胞因子 IL-1 和 IL-6 的水平,但不会影响 NEC 大鼠模型的组织病理学结果。

https://cdn.ncbi.nlm.nih.gov/pmc/blobs/a1fd/11507542/2664dead955d/ijms-25-11052-g001.jpg

文献检索

告别复杂PubMed语法,用中文像聊天一样搜索,搜遍4000万医学文献。AI智能推荐,让科研检索更轻松。

立即免费搜索

文件翻译

保留排版,准确专业,支持PDF/Word/PPT等文件格式,支持 12+语言互译。

免费翻译文档

深度研究

AI帮你快速写综述,25分钟生成高质量综述,智能提取关键信息,辅助科研写作。

立即免费体验