Suppr超能文献

大鼠幼仔实验性坏死性小肠结肠炎(NEC)模型的单一低温和缺氧暴露修饰及其对母乳发病影响的研究

Modification of Experimental Model of Necrotizing Enterocolitis (NEC) in Rat Pups by Single Exposure to Hypothermia and Hypoxia and Impact of Mother's Milk on Incidence of Disease.

机构信息

Department of Pediatric Surgery, Medical University of Warsaw, Warsaw, Poland.

出版信息

Med Sci Monit. 2024 Apr 28;30:e943443. doi: 10.12659/MSM.943443.

Abstract

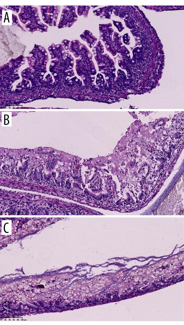
BACKGROUND Necrotizing enterocolitis (NEC) is a potentially life-threatening disease that affects the intestine of the neonate, causing necrosis and general inflammation. Treatment consists of feeding cessation and antibiotic therapy. In more severe cases, surgical intervention is necessary. Recently, different NEC models have been used to study the development of novel diagnostic and therapeutic methods. This work modified an experimental NEC model in rat pups by a single exposure of animals to NEC-causing factors and testing the impact of mother's milk on prevalence of the disease. MATERIAL AND METHODS Fifty rat pups were subjected to the NEC protocol, in which they were exposed to 100% nitrogen atmosphere and cold stress for set periods of time and formula feeding with exposure to mother's milk and artificial milk. Twenty-nine pups were used for control. After a set time of 72 h, bowel fragments were obtained and examined histologically by hematoxylin-eosin staining with a modified 3-grade scale. RESULTS Histological features of NEC were present in most of the samples (10/14) in the group exposed to 1 min of hypoxia (P=0.016), 10 min of cold stress (P=0.4) and formula feeding every 3 h with no mother's milk (P=0.001). In the group of 11 animals with the same stress conditions but fed mother's milk right after birth, only 1 sample of NEC was present. CONCLUSIONS The modified experimental NEC model based on formula feeding and single exposure to hypothermia and hypoxia was assessed statistically and histologically. In this model, mother's milk had a protective effect against necrotizing enterocolitis.

摘要

背景

坏死性小肠结肠炎(NEC)是一种潜在的危及生命的疾病,会影响新生儿的肠道,导致坏死和炎症。治疗包括停止喂养和抗生素治疗。在更严重的情况下,需要进行手术干预。最近,不同的 NEC 模型被用于研究新的诊断和治疗方法。本研究通过单次暴露于 NEC 致病因素的动物模型,对大鼠幼仔进行实验性 NEC 模型的改良,并测试母乳对疾病发生率的影响。

材料与方法

50 只大鼠幼仔接受 NEC 方案,其中包括暴露于 100%氮气环境和冷应激一段时间,以及配方喂养并暴露于母乳和人工奶。29 只幼仔作为对照。72 小时后,获得肠段并通过苏木精-伊红染色进行组织学检查,采用改良的 3 级评分。

结果

在暴露于 1 分钟缺氧(P=0.016)、10 分钟冷应激(P=0.4)和每 3 小时配方喂养无母乳(P=0.001)的组中,大多数样本(10/14)存在 NEC 的组织学特征。在同样的应激条件下但出生后立即喂养母乳的 11 只动物组中,仅存在 1 份 NEC 样本。

结论

基于配方喂养和单次暴露于低温和缺氧的改良实验性 NEC 模型在统计学和组织学上进行了评估。在该模型中,母乳对坏死性小肠结肠炎具有保护作用。

https://cdn.ncbi.nlm.nih.gov/pmc/blobs/fe79/11064733/f1c2960ab1cf/medscimonit-30-e943443-g001.jpg

文献AI研究员

20分钟写一篇综述,助力文献阅读效率提升50倍。

立即体验

用中文搜PubMed

大模型驱动的PubMed中文搜索引擎

马上搜索

文档翻译

学术文献翻译模型,支持多种主流文档格式。

立即体验