• 文献检索
  • 文档翻译
  • 深度研究
  • 学术资讯
  • Suppr Zotero 插件Zotero 插件
  • 邀请有礼
  • 套餐&价格
  • 历史记录
应用&插件
Suppr Zotero 插件Zotero 插件浏览器插件Mac 客户端Windows 客户端微信小程序
定价
高级版会员购买积分包购买API积分包
服务
文献检索文档翻译深度研究API 文档MCP 服务
关于我们
关于 Suppr公司介绍联系我们用户协议隐私条款
关注我们

Suppr 超能文献

核心技术专利:CN118964589B侵权必究
粤ICP备2023148730 号-1Suppr @ 2026

文献检索

告别复杂PubMed语法,用中文像聊天一样搜索,搜遍4000万医学文献。AI智能推荐,让科研检索更轻松。

立即免费搜索

文件翻译

保留排版,准确专业,支持PDF/Word/PPT等文件格式,支持 12+语言互译。

免费翻译文档

深度研究

AI帮你快速写综述,25分钟生成高质量综述,智能提取关键信息,辅助科研写作。

立即免费体验

手术挽救策略:应对胸壁肉瘤急症

Strategies in Surgical Salvage: Navigating a Chest Wall Sarcoma Emergency.

作者信息

Aleksiev Vladimir, Markov Daniel, Yavorov Boyko, Kitov Spas, Bechev Kristian

机构信息

Cardiovascular Surgery, Medical University of Plovdiv, Plovdiv, BGR.

General and Clinical Pathology, Medical University of Plovdiv, Plovdiv, BGR.

出版信息

Cureus. 2024 Sep 29;16(9):e70424. doi: 10.7759/cureus.70424. eCollection 2024 Sep.

DOI:10.7759/cureus.70424
PMID:39473659
原文链接:https://pmc.ncbi.nlm.nih.gov/articles/PMC11520029/
Abstract

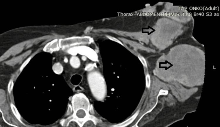
Soft tissue sarcomas arising from the chest wall are an extremely rare entity. They are classified as mesenchymal tumors of varying aggression. It is this unpredictable behavior that makes them an unexpected hurdle even for experienced surgeons. Given the intricate anatomy of the thorax, any of its various tissues can potentially give rise to a sarcoma. Soft tissue sarcomas, in particular, present a diagnostic and surgical difficulty due to the necessity of complex surgical techniques and the rising need for chest wall reconstruction. These tumors are the subject of multidisciplinary discussions to come to the best therapeutic course. This is precisely what will prevent recurrence and ensure a better understanding of this pathology. In this report, we present the case of a recurrent soft tissue sarcoma that required emergency surgery due to spontaneous bleeding. It perfectly showcases the complicated treatment of such pathologies and is of profound surgical interest as it utilizes a large chest wall resection, coupled with an intricate subcutaneous flap reconstruction. In this report, we tried to outline the critical aspects of sarcoma surgery and presented our method of choice when reconstructing the soft tissues of the chest.

摘要

起源于胸壁的软组织肉瘤是一种极为罕见的疾病。它们被归类为具有不同侵袭性的间充质肿瘤。正是这种不可预测的行为,使得即使对于经验丰富的外科医生来说,它们也是一个意想不到的障碍。鉴于胸部复杂的解剖结构,其任何一种组织都有可能引发肉瘤。特别是软组织肉瘤,由于需要复杂的手术技术以及对胸壁重建的需求不断增加,呈现出诊断和手术上的困难。这些肿瘤是多学科讨论的主题,以确定最佳治疗方案。这恰恰能防止复发,并确保对这种病理状况有更好的理解。在本报告中,我们介绍了一例因自发性出血而需要紧急手术的复发性软组织肉瘤病例。它完美地展示了此类病症的复杂治疗过程,并且由于采用了大面积胸壁切除以及复杂的皮下皮瓣重建,具有深远的外科研究价值。在本报告中,我们试图概述肉瘤手术的关键要点,并介绍我们在重建胸部软组织时所选择的方法。

https://cdn.ncbi.nlm.nih.gov/pmc/blobs/286c/11520029/be9a8f65757e/cureus-0016-00000070424-i09.jpg
https://cdn.ncbi.nlm.nih.gov/pmc/blobs/286c/11520029/0a26cfc845d3/cureus-0016-00000070424-i01.jpg
https://cdn.ncbi.nlm.nih.gov/pmc/blobs/286c/11520029/8f94b4727c9f/cureus-0016-00000070424-i02.jpg
https://cdn.ncbi.nlm.nih.gov/pmc/blobs/286c/11520029/c236361df1ca/cureus-0016-00000070424-i03.jpg
https://cdn.ncbi.nlm.nih.gov/pmc/blobs/286c/11520029/43b7c3f05197/cureus-0016-00000070424-i04.jpg
https://cdn.ncbi.nlm.nih.gov/pmc/blobs/286c/11520029/3eba989364e1/cureus-0016-00000070424-i05.jpg
https://cdn.ncbi.nlm.nih.gov/pmc/blobs/286c/11520029/0235127e7dc9/cureus-0016-00000070424-i06.jpg
https://cdn.ncbi.nlm.nih.gov/pmc/blobs/286c/11520029/57398562b34a/cureus-0016-00000070424-i07.jpg
https://cdn.ncbi.nlm.nih.gov/pmc/blobs/286c/11520029/e0c5405a226f/cureus-0016-00000070424-i08.jpg
https://cdn.ncbi.nlm.nih.gov/pmc/blobs/286c/11520029/be9a8f65757e/cureus-0016-00000070424-i09.jpg
https://cdn.ncbi.nlm.nih.gov/pmc/blobs/286c/11520029/0a26cfc845d3/cureus-0016-00000070424-i01.jpg
https://cdn.ncbi.nlm.nih.gov/pmc/blobs/286c/11520029/8f94b4727c9f/cureus-0016-00000070424-i02.jpg
https://cdn.ncbi.nlm.nih.gov/pmc/blobs/286c/11520029/c236361df1ca/cureus-0016-00000070424-i03.jpg
https://cdn.ncbi.nlm.nih.gov/pmc/blobs/286c/11520029/43b7c3f05197/cureus-0016-00000070424-i04.jpg
https://cdn.ncbi.nlm.nih.gov/pmc/blobs/286c/11520029/3eba989364e1/cureus-0016-00000070424-i05.jpg
https://cdn.ncbi.nlm.nih.gov/pmc/blobs/286c/11520029/0235127e7dc9/cureus-0016-00000070424-i06.jpg
https://cdn.ncbi.nlm.nih.gov/pmc/blobs/286c/11520029/57398562b34a/cureus-0016-00000070424-i07.jpg
https://cdn.ncbi.nlm.nih.gov/pmc/blobs/286c/11520029/e0c5405a226f/cureus-0016-00000070424-i08.jpg
https://cdn.ncbi.nlm.nih.gov/pmc/blobs/286c/11520029/be9a8f65757e/cureus-0016-00000070424-i09.jpg

相似文献

1
Strategies in Surgical Salvage: Navigating a Chest Wall Sarcoma Emergency.手术挽救策略:应对胸壁肉瘤急症
Cureus. 2024 Sep 29;16(9):e70424. doi: 10.7759/cureus.70424. eCollection 2024 Sep.
2
A multidisciplinary approach to giant soft tissue sarcoma of the chest wall: A case report.胸壁巨大软组织肉瘤的多学科治疗方法:病例报告
Int J Surg Case Rep. 2016;28:211-213. doi: 10.1016/j.ijscr.2016.10.002. Epub 2016 Oct 4.
3
Management of soft tissue sarcomas of the chest wall: a comprehensive overview.胸壁软组织肉瘤的管理:全面概述
J Thorac Dis. 2024 May 31;16(5):3484-3492. doi: 10.21037/jtd-23-1149. Epub 2024 May 7.
4
Single-institution, multidisciplinary experience with surgical resection of primary chest wall sarcomas.单机构多学科手术切除原发性胸壁肉瘤的经验。
J Thorac Oncol. 2012 Mar;7(3):552-8. doi: 10.1097/JTO.0b013e31824176df.
5
Thoracoabdominal flap reconstruction after resection of superficial soft-tissue sarcomas in the chest wall.胸壁浅表软组织肉瘤切除术后的胸腹皮瓣重建。
J Surg Case Rep. 2021 Jan 29;2021(1):rjaa571. doi: 10.1093/jscr/rjaa571. eCollection 2021 Jan.
6
A systematic review of undifferentiated pleomorphic sarcoma of the chest wall.胸壁未分化多形性肉瘤的系统评价
Chin Clin Oncol. 2023 Dec;12(6):66. doi: 10.21037/cco-23-71. Epub 2023 Nov 28.
7
Surgical resection of chest wall sarcomas: an analysis of survival and predictors of outcome at an Australian multidisciplinary sarcoma service.胸壁肉瘤的手术切除:澳大利亚多学科肉瘤治疗中心的生存分析及预后预测因素
ANZ J Surg. 2022 Oct;92(10):2613-2619. doi: 10.1111/ans.17904. Epub 2022 Jul 11.
8
11-year experience with Chest Wall resection and reconstruction for primary Chest Wall sarcomas.对原发性胸壁肉瘤进行胸壁切除及重建的11年经验。
J Cardiothorac Surg. 2020 Jan 28;15(1):29. doi: 10.1186/s13019-020-1064-y.
9
Primary chest wall sarcoma; a single institution experience of 3 years.原发性胸壁肉瘤;单机构 3 年经验。
Cancer Treat Res Commun. 2021;27:100326. doi: 10.1016/j.ctarc.2021.100326. Epub 2021 Jan 27.
10
Recurrent intrathoracic dedifferentiated liposarcoma: A case report and literature review.复发性胸腔内去分化脂肪肉瘤:一例报告及文献复习
Respir Med Case Rep. 2019 Feb 21;26:281-284. doi: 10.1016/j.rmcr.2019.02.016. eCollection 2019.

本文引用的文献

1
The Therapeutic Role of Plastic and Reconstructive Surgery in the Interdisciplinary Treatment of Soft-Tissue Sarcomas in Germany-Cross-Sectional Results of a Prospective Nationwide Observational Study (PROSa).德国软组织肉瘤多学科治疗中整形与重建手术的治疗作用——一项全国性前瞻性观察研究(PROSa)的横断面结果
Cancers (Basel). 2022 Sep 2;14(17):4312. doi: 10.3390/cancers14174312.
2
Myxoid pleomorphic liposarcoma is distinguished from other liposarcomas by widespread loss of heterozygosity and significantly worse overall survival: a genomic and clinicopathologic study.黏液样多形性脂肪肉瘤通过广泛的杂合性丢失和明显更差的总体生存率与其他脂肪肉瘤区分开来:一项基因组和临床病理研究。
Mod Pathol. 2022 Nov;35(11):1644-1655. doi: 10.1038/s41379-022-01107-6. Epub 2022 Jun 7.
3
Myxoid pleomorphic liposarcoma-a clinicopathologic, immunohistochemical, molecular genetic and epigenetic study of 12 cases, suggesting a possible relationship with conventional pleomorphic liposarcoma.黏液样多形性脂肪肉瘤——12 例临床病理、免疫组织化学、分子遗传学和表观遗传学研究,提示其与传统多形性脂肪肉瘤可能存在一定关系。
Mod Pathol. 2021 Nov;34(11):2043-2049. doi: 10.1038/s41379-021-00862-2. Epub 2021 Jun 24.
4
Primary chest wall sarcoma; a single institution experience of 3 years.原发性胸壁肉瘤;单机构 3 年经验。
Cancer Treat Res Commun. 2021;27:100326. doi: 10.1016/j.ctarc.2021.100326. Epub 2021 Jan 27.
5
Primary Chest Wall Sarcoma: Surgical Outcomes and Prognostic Factors.原发性胸壁肉瘤:手术结果及预后因素
Korean J Thorac Cardiovasc Surg. 2019 Oct;52(5):360-367. doi: 10.5090/kjtcs.2019.52.5.360. Epub 2019 Oct 5.
6
Sarcoma Arising from the Chest Wall : A Case Report.胸壁肉瘤:一例报告
Cureus. 2017 Aug 24;9(8):e1604. doi: 10.7759/cureus.1604.
7
Soft tissue sarcomas of the chest wall.胸壁软组织肉瘤
J Thorac Oncol. 2009 Jul;4(7):834-7. doi: 10.1097/JTO.0b013e3181a97da3.