Kamran Hafiz Sohail, Khan Asghar, Ling Clare Siew Boon, Kausar Shahid
Medical Enhanced Care Unit, The Dudley Group NHS Foundation Trust (DGFT) Russells Hall Hospital, Dudley, GBR.
Acute Medicine, The Dudley Group NHS Foundation Trust (DGFT) Russells Hall Hospital, Dudley, GBR.
Cureus. 2024 Sep 29;16(9):e70423. doi: 10.7759/cureus.70423. eCollection 2024 Sep.
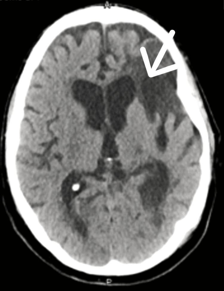
Progressive multifocal leukoencephalopathy (PML) is a rare, often fatal neurological disorder caused by the John Cunningham virus (JCV). It affects immunocompromised individuals, leading to brain demyelination. Diagnosis involves MRI scans and JCV detection in cerebrospinal (CSF) fluid. The mortality rate is high, and current intervention focusses on reversing immunosuppression. We report a patient with chronic lymphocytic leukaemia (CLL) who was diagnosed with PML. He is a 66-year-old male with CLL presenting with multiple falls, right arm weakness, and cognitive impairment. Following MRI head scans and CSF analysis, he was diagnosed with PML. Treatment for CLL was deemed inappropriate due to immunosuppression risk. We initiated Levetiracetam to prevent seizures and considered mirtazapine to prevent viral spread. Mefloquine and cidofovir were considered, but the patient chose not to commence on them. He was discharged with multidisciplinary support. In conclusion, we advise that these stroke-like symptoms may necessitate comprehensive investigation beyond initial CT scans, as exemplified by this case of PML. Relying solely on radiological findings may overlook rare conditions, and clinical skills such as a good history and examination should still be prioritised.
进行性多灶性白质脑病(PML)是一种由约翰·坎宁安病毒(JCV)引起的罕见且往往致命的神经系统疾病。它影响免疫功能低下的个体,导致脑白质脱髓鞘。诊断包括磁共振成像(MRI)扫描和脑脊液(CSF)中JCV的检测。死亡率很高,目前的干预措施主要集中在逆转免疫抑制。我们报告了一名患有慢性淋巴细胞白血病(CLL)并被诊断为PML的患者。他是一名66岁的男性CLL患者,出现多次跌倒、右臂无力和认知障碍。经过头部MRI扫描和脑脊液分析,他被诊断为PML。由于存在免疫抑制风险,认为对CLL的治疗不合适。我们开始使用左乙拉西坦预防癫痫发作,并考虑使用米氮平预防病毒传播。考虑过使用甲氟喹和西多福韦,但患者选择不开始使用。他在多学科支持下出院。总之,我们建议,正如这个PML病例所示,这些类似中风的症状可能需要在初始CT扫描之外进行全面检查。仅仅依靠影像学检查结果可能会忽略罕见疾病,良好的病史和体格检查等临床技能仍应优先考虑。