Suppr超能文献

侵袭性黏液性脐尿管腺癌:手术治疗病例报告及文献见解

Invasive mucinous urachal adenocarcinoma: A case report of surgical management and insights from the literature.

作者信息

Jaber Manar Shukri, Mojahed Sondos, Rajab Bayan Abu, Shalodi Rahaf Yousef, Abuzaina Khalil N M, Jaber Jamal Ata

机构信息

Faculty of Medicine, Polytechnic University of Palestine, Hebron, Palestine.

Hebron University, Palestine.

出版信息

Int J Surg Case Rep. 2024 Dec;125:110524. doi: 10.1016/j.ijscr.2024.110524. Epub 2024 Oct 26.

Abstract

INTRODUCTION AND IMPORTANCE

Urachal carcinoma (UrC) is a rare bladder malignancy originating from the urachus. Comprising around 90 % adenocarcinomas, most cases are invasive. Urachal adenocarcinoma is less common than its non-urachal counterpart and is recognized for its aggressive nature, often diagnosed at advanced stages with a poor prognosis. Early stages typically present as asymptomatic, making timely diagnosis challenging.

CASE PRESENTATION

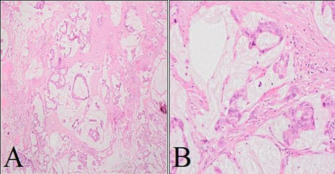
We present the case of a 58-year-old female who exhibited painless hematuria, leading to further investigation. The definitive diagnosis of invasive mucinous urachal adenocarcinoma was established through cystoscopy and transurethral resection of bladder tumor (TURBT). Surgical intervention was undertaken to manage the condition.

CLINICAL DISCUSSION

The gold standard treatment for muscle-invasive UrC is radical cystectomy. This case underscores the importance of recognizing urinary symptoms and utilizing appropriate diagnostic procedures to identify this rare malignancy early. The surgical approach is crucial in improving patient outcomes, especially in advanced cases.

CONCLUSION

Invasive mucinous urachal adenocarcinoma is a rare but aggressive cancer that requires prompt diagnosis and intervention. Surgical management proved effective in this case, emphasizing the need for awareness and regular follow-up in patients to monitor for recurrence.

摘要

引言与重要性

脐尿管癌(UrC)是一种起源于脐尿管的罕见膀胱恶性肿瘤。约90%为腺癌,大多数病例具有侵袭性。脐尿管腺癌比非脐尿管腺癌少见,以其侵袭性著称,常于晚期确诊,预后较差。早期通常无症状,导致及时诊断具有挑战性。

病例介绍

我们报告一例58岁女性,表现为无痛性血尿,遂进一步检查。通过膀胱镜检查和经尿道膀胱肿瘤切除术(TURBT)确诊为侵袭性黏液性脐尿管腺癌。采取了手术干预来治疗该疾病。

临床讨论

肌肉浸润性脐尿管癌的金标准治疗方法是根治性膀胱切除术。该病例强调了认识泌尿系统症状并采用适当诊断程序以早期识别这种罕见恶性肿瘤的重要性。手术方法对于改善患者预后至关重要,尤其是在晚期病例中。

结论

侵袭性黏液性脐尿管癌是一种罕见但侵袭性强的癌症,需要及时诊断和干预。本病例中手术治疗证明有效,强调了对患者进行监测和定期随访以监测复发的必要性。

https://cdn.ncbi.nlm.nih.gov/pmc/blobs/40a6/11550570/bb86da1f4238/gr1.jpg

文献AI研究员

20分钟写一篇综述,助力文献阅读效率提升50倍。

立即体验

用中文搜PubMed

大模型驱动的PubMed中文搜索引擎

马上搜索

文档翻译

学术文献翻译模型,支持多种主流文档格式。

立即体验