Suppr超能文献

一名4岁儿童臂丛神经的孤立性混合性神经纤维瘤-施万细胞瘤

Solitary Hybrid Neurofibroma-Schwannoma of the Brachial Plexus in a 4-Year-Old Child.

作者信息

Maddileti Varunkumar

机构信息

Department of Pediatric Surgery, Ankura Hospital for Women and Children, Vijayawada, Andhra Pradesh, India.

出版信息

J Indian Assoc Pediatr Surg. 2024 Sep-Oct;29(5):566-568. doi: 10.4103/jiaps.jiaps_75_24. Epub 2024 Aug 23.

Abstract

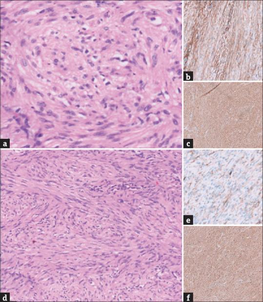
We report the case of a 4-year-old child with a rare solitary neurofibroma-schwannoma hybrid tumor in the brachial plexus, not associated with known syndromes. Surgical management through a transclavicular approach enabled complete tumor excision with favorable postoperative outcomes. Histopathology and immunohistochemistry confirmed the tumor's hybrid nature.

摘要

我们报告了一例4岁儿童病例,其臂丛神经出现罕见的孤立性神经纤维瘤-施万细胞瘤混合肿瘤,与已知综合征无关。通过经锁骨入路进行手术治疗,实现了肿瘤的完整切除,术后效果良好。组织病理学和免疫组织化学证实了肿瘤的混合性质。

https://cdn.ncbi.nlm.nih.gov/pmc/blobs/ad30/11521212/523542f2c3cd/JIAPS-29-566-g001.jpg

文献检索

告别复杂PubMed语法,用中文像聊天一样搜索,搜遍4000万医学文献。AI智能推荐,让科研检索更轻松。

立即免费搜索

文件翻译

保留排版,准确专业,支持PDF/Word/PPT等文件格式,支持 12+语言互译。

免费翻译文档

深度研究

AI帮你快速写综述,25分钟生成高质量综述,智能提取关键信息,辅助科研写作。

立即免费体验