Suppr超能文献

数字方法在增加侵蚀性磨损垂直距离方面具有可预测性:临床技术与9年随访

Digital Approach Provides Predictability in Increasing the VDO in Erosive Wear: Clinical Technique and 9-Year Follow-Up.

作者信息

Ibrahim Fady, Plaster Udo, Gierthmuehlen Petra C

机构信息

Department of Prosthodontics, Medical Faculty and University Hospital Düsseldorf, Heinrich-Heine-University, Düsseldorf, Germany.

Plaster Dental Technology, Nürnberg, Germany.

出版信息

J Esthet Restor Dent. 2025 Mar;37(3):771-781. doi: 10.1111/jerd.13354. Epub 2024 Oct 31.

Abstract

OBJECTIVE

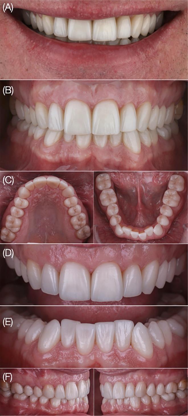
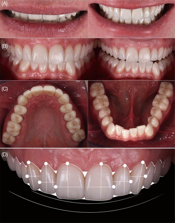
This clinical case describes a digital workflow using face scans and CAD/CAM technology for a full-mouth rehabilitation with increased vertical dimension of occlusion (VDO) with adhesive lithium disilicate restorations after 9 years.

CLINICAL CONSIDERATIONS

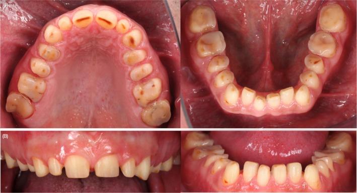
A healthy, 46-year-old man displaying severe tooth wear, underwent an extensive full-mouth rehabilitation involving an increase of the VDO through laminate veneers and adhesive partial coverage lithium disilicate restorations. Anatomical landmarks of the face and reference planes were captured using a digital face scanning system. The anatomical position of the maxilla was registered with a transfer device. Digital data sets of the intraoral situation combined with a facial scan enabled precise virtual planning, guiding minimally invasive preparations. Long-term provisional restorations, milled from high-performance polycarbonate, were used to test the novel VDO before the final lithium disilicate restorations were fabricated. This approach provided a time- and cost-efficient treatment solution. No failures were observed at the 9-year follow-up.

CONCLUSIONS

Utilizing face scans and design software enable a virtual visualization and comprehensive quality control for patients with dental wear, resulting in significant time savings and increased predictability for the dental technician, dentist and patient.

CLINICAL SIGNIFICANCE

The described digital workflow optimizes the planning and implementation of a comprehensive adhesive full-arch rehabilitation with an increase of the VDO. The clinical long-term follow up result of CAD/CAM assisted minimally invasive lithium disilicate restorations after 9 years demonstrates to clinicians a reliable treatment concept for patients with dental wear.

摘要

目的

本临床病例描述了一种数字化工作流程,该流程使用面部扫描和CAD/CAM技术,在9年后通过粘结性二硅酸锂修复体对咬合垂直距离(VDO)增加的患者进行全口修复。

临床考量

一名健康的46岁男性,存在严重牙齿磨损,接受了广泛的全口修复,包括通过贴面和粘结性部分覆盖二硅酸锂修复体增加VDO。使用数字面部扫描系统获取面部的解剖标志和参考平面。使用转移装置记录上颌的解剖位置。口腔内情况的数字数据集与面部扫描相结合,实现了精确的虚拟规划,指导微创预备。在制作最终的二硅酸锂修复体之前,使用由高性能聚碳酸酯铣削而成的长期临时修复体来测试新的VDO。这种方法提供了一种节省时间和成本的治疗方案。在9年的随访中未观察到失败病例。

结论

利用面部扫描和设计软件能够为牙齿磨损患者实现虚拟可视化和全面质量控制,为牙科技师、牙医和患者显著节省时间并提高可预测性。

临床意义

所描述的数字化工作流程优化了增加VDO的全口粘结修复的规划和实施。9年后CAD/CAM辅助微创二硅酸锂修复体的临床长期随访结果向临床医生证明了一种针对牙齿磨损患者的可靠治疗理念。

https://cdn.ncbi.nlm.nih.gov/pmc/blobs/ae1d/12076101/a779a084060b/JERD-37-771-g006.jpg

文献检索

告别复杂PubMed语法,用中文像聊天一样搜索,搜遍4000万医学文献。AI智能推荐,让科研检索更轻松。

立即免费搜索

文件翻译

保留排版,准确专业,支持PDF/Word/PPT等文件格式,支持 12+语言互译。

免费翻译文档

深度研究

AI帮你快速写综述,25分钟生成高质量综述,智能提取关键信息,辅助科研写作。

立即免费体验