• 文献检索
  • 文档翻译
  • 深度研究
  • 学术资讯
  • Suppr Zotero 插件Zotero 插件
  • 邀请有礼
  • 套餐&价格
  • 历史记录
应用&插件
Suppr Zotero 插件Zotero 插件浏览器插件Mac 客户端Windows 客户端微信小程序
定价
高级版会员购买积分包购买API积分包
服务
文献检索文档翻译深度研究API 文档MCP 服务
关于我们
关于 Suppr公司介绍联系我们用户协议隐私条款
关注我们

Suppr 超能文献

核心技术专利:CN118964589B侵权必究
粤ICP备2023148730 号-1Suppr @ 2026

文献检索

告别复杂PubMed语法,用中文像聊天一样搜索,搜遍4000万医学文献。AI智能推荐,让科研检索更轻松。

立即免费搜索

文件翻译

保留排版,准确专业,支持PDF/Word/PPT等文件格式,支持 12+语言互译。

免费翻译文档

深度研究

AI帮你快速写综述,25分钟生成高质量综述,智能提取关键信息,辅助科研写作。

立即免费体验

中年埃塞俄比亚女性以充血性心力衰竭为首发表现的不明原发灶腺癌:一例报告。

Adenocarcinoma of unknown primary presenting with congestive heart failure in a middle-aged Ethiopian woman: a case report.

机构信息

Department of Internal Medicine, Yekatit 12 Hospital Medical College, Sidist Kilo Square, P. O. Box 257, Addis Ababa, Ethiopia.

Department of Oncology, Yekatit 12 Hospital Medical College, Addis Ababa, Ethiopia.

出版信息

J Med Case Rep. 2024 Nov 4;18(1):520. doi: 10.1186/s13256-024-04875-8.

DOI:10.1186/s13256-024-04875-8
PMID:39491018
原文链接:https://pmc.ncbi.nlm.nih.gov/articles/PMC11533320/
Abstract

BACKGROUND

Heart failure is a rare manifestation of metastatic disease of the carcinoma of an unknown primary, malignancy that requires extensive work-up to identify the primary site. Initial consideration of rare etiologies in patients presented with a common clinical syndrome is challenging.

CASE PRESENTATION

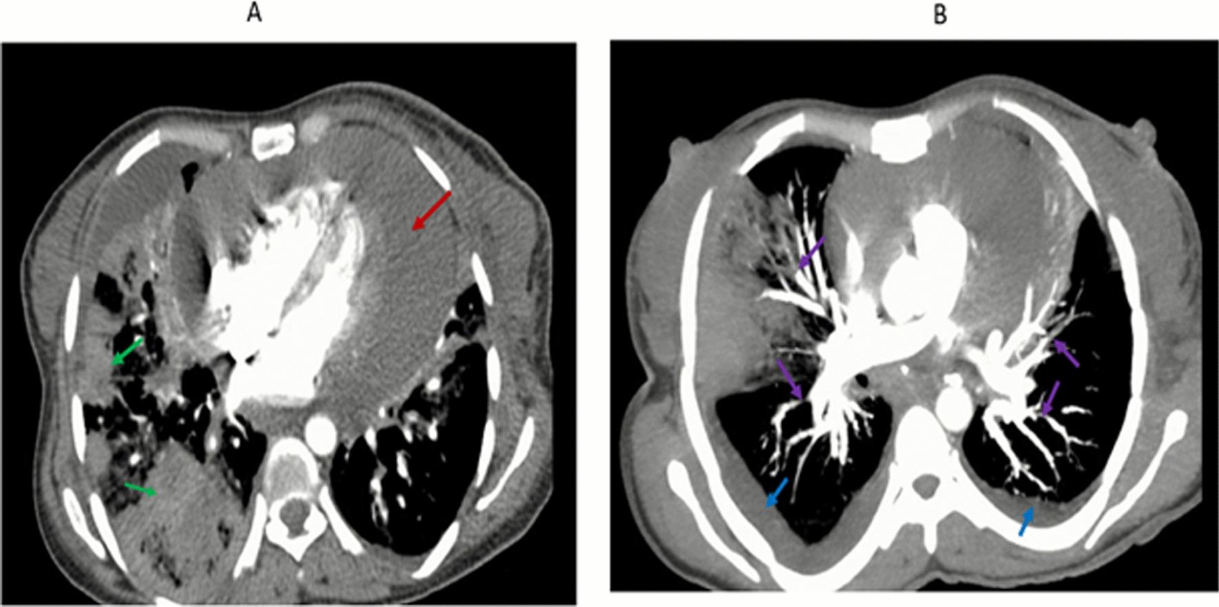
A 35-year-old Black woman presented with shortness of breath at rest, orthopnea, paroxysmal nocturnal dyspnea, chest pain, a blood-tinged productive cough, and fever for 2 weeks. She also had progressive body swelling, easy fatigability, loss of appetite, and abdominal pain during the same week's duration. Body imaging revealed large pleural and pericardial effusions, metastatic liver lesions, and bilateral pulmonary vascular segmental and subsegmental filling defects. Pericardial and pleural fluid cytology suggest malignant effusion. Liver lesions and core needle biopsy indicated adenocarcinoma of unknown origin, and the carcinoembryonic antigen level also increased significantly.

CONCLUSION

Carcinoma of unknown primary origin commonly presents in an advanced stage and is often accompanied by clinical features of site metastasis. This case highlights heart failure as an unusual first manifestation of adenocarcinoma with an unknown primary origin.

摘要

背景

心力衰竭是一种罕见的癌转移疾病的表现,这种癌症需要广泛的检查来确定原发部位。在患者出现常见临床综合征时,最初考虑罕见病因具有挑战性。

病例介绍

一名 35 岁的黑人女性因静息时呼吸困难、端坐呼吸、阵发性夜间呼吸困难、胸痛、血性痰和发热 2 周而就诊。在同一周内,她还出现了进行性身体肿胀、易疲劳、食欲不振和腹痛。身体影像学显示大量胸腔和心包积液、转移性肝病变以及双侧肺血管节段和亚节段充盈缺损。心包和胸腔积液细胞学检查提示恶性积液。肝病变和芯针活检提示腺癌,癌胚抗原水平也显著升高。

结论

原发灶不明的癌通常在晚期出现,并且常伴有局部转移的临床特征。本病例突出了心力衰竭作为一种不常见的首发表现的腺癌,原发灶不明。

https://cdn.ncbi.nlm.nih.gov/pmc/blobs/3436/11533320/4f225b2f8e3e/13256_2024_4875_Fig3_HTML.jpg
https://cdn.ncbi.nlm.nih.gov/pmc/blobs/3436/11533320/acb280f8a070/13256_2024_4875_Fig1_HTML.jpg
https://cdn.ncbi.nlm.nih.gov/pmc/blobs/3436/11533320/4696995ca532/13256_2024_4875_Fig2_HTML.jpg
https://cdn.ncbi.nlm.nih.gov/pmc/blobs/3436/11533320/4f225b2f8e3e/13256_2024_4875_Fig3_HTML.jpg
https://cdn.ncbi.nlm.nih.gov/pmc/blobs/3436/11533320/acb280f8a070/13256_2024_4875_Fig1_HTML.jpg
https://cdn.ncbi.nlm.nih.gov/pmc/blobs/3436/11533320/4696995ca532/13256_2024_4875_Fig2_HTML.jpg
https://cdn.ncbi.nlm.nih.gov/pmc/blobs/3436/11533320/4f225b2f8e3e/13256_2024_4875_Fig3_HTML.jpg

相似文献

1
Adenocarcinoma of unknown primary presenting with congestive heart failure in a middle-aged Ethiopian woman: a case report.中年埃塞俄比亚女性以充血性心力衰竭为首发表现的不明原发灶腺癌:一例报告。
J Med Case Rep. 2024 Nov 4;18(1):520. doi: 10.1186/s13256-024-04875-8.
2
[Pleural and pericardial effusion after pacemaker implantation as first manifestation of malignant tumors].[起搏器植入后出现胸腔和心包积液作为恶性肿瘤的首发表现]
Herz. 1998 Aug;23(5):307-10. doi: 10.1007/BF03044363.
3
Pleural Effusion as the Initial Presentation of Gastric Adenocarcinoma: A Case Report.胸腔积液为首发表现的胃腺癌 1 例报告
Am J Case Rep. 2022 Jul 4;23:e935434. doi: 10.12659/AJCR.935434.
4
Metastatic carcinoma of the gallbladder mimicking an advanced cervical carcinoma.酷似晚期宫颈癌的胆囊转移性癌。
Gynecol Oncol. 2005 Jun;97(3):942-5. doi: 10.1016/j.ygyno.2005.01.054. Epub 2005 Apr 13.
5
Gastric carcinoma presenting as pericardial tamponade during pregnancy.妊娠期胃癌表现为心包填塞。
Turk J Gastroenterol. 2009 Dec;20(4):276-8. doi: 10.4318/tjg.2009.0026.
6
Folliculotropic Cutaneous Metastases and Lymphangitis Carcinomatosa: When Cutaneous Metastases of Breast Carcinoma Are Mistaken for Cutaneous Infections.毛囊性皮肤转移瘤和癌性淋巴管炎:乳腺癌皮肤转移被误诊为皮肤感染时的情况。
Acta Dermatovenerol Croat. 2016 Jun;24(2):154-7.
7
Cardiac tamponade as the first clinical manifestation of metastatic adenocarcinoma of the lung.心脏压塞作为肺转移性腺癌的首发临床表现。
Can J Cardiol. 2000 Jul;16(7):925-7.
8
Metastatic adenocarcinoma in the right atrium and secondary Budd-Chiari syndrome (a case report).右心房转移性腺癌并发性布加氏综合征(附病例报告)。
Int J Cardiol. 2009 Feb 6;132(1):e1-4. doi: 10.1016/j.ijcard.2007.07.086. Epub 2007 Nov 19.
9
Marantic endocarditis and adenocarcinoma of unknown primary site.心内膜炎合并不明原发部位腺癌。
Arq Bras Cardiol. 2011 Apr;96(4):e73-5.
10
Simultaneous occurrence of IgG4-related Tubulointerstitial nephritis and colon adenocarcinoma with hepatic metastasis: a case report and literature review.IgG4 相关肾小管间质性肾炎与结肠腺癌伴肝转移同时发生:病例报告及文献复习。
BMC Nephrol. 2019 Jan 16;20(1):23. doi: 10.1186/s12882-019-1205-5.

本文引用的文献

1
Cardiovascular disease and cancer: shared risk factors and mechanisms.心血管疾病和癌症:共同的风险因素和机制。
Nat Rev Cardiol. 2024 Sep;21(9):617-631. doi: 10.1038/s41569-024-01017-x. Epub 2024 Apr 10.
2
Comprehensive analysis of cancer of unknown primary and recommendation of a histological and immunohistochemical diagnostic strategy from China.中国不明原发癌的综合分析及组织学和免疫组织化学诊断策略推荐。
BMC Cancer. 2023 Dec 1;23(1):1175. doi: 10.1186/s12885-023-11563-1.
3
Cardiotoxicity of Anticancer Drugs: Molecular Mechanisms and Strategies for Cardioprotection.
抗癌药物的心脏毒性:分子机制与心脏保护策略
Front Cardiovasc Med. 2022 Apr 15;9:847012. doi: 10.3389/fcvm.2022.847012. eCollection 2022.
4
Pulmonary embolism in patients with cancer: An updated and operative guide for diagnosis and management.癌症患者中的肺栓塞:诊断和管理的最新实用指南。
Int J Cardiol. 2022 Jul 1;358:95-102. doi: 10.1016/j.ijcard.2022.04.068. Epub 2022 Apr 27.
5
"Metastatic Cancer of Unknown Primary" or "Primary Metastatic Cancer"?“原发灶不明的转移性癌”还是“原发性转移性癌”?
Front Oncol. 2020 Jan 17;9:1546. doi: 10.3389/fonc.2019.01546. eCollection 2019.
6
Cancer and heart disease: associations and relations.癌症与心脏病:关联与关系。
Eur J Heart Fail. 2019 Dec;21(12):1515-1525. doi: 10.1002/ejhf.1539. Epub 2019 Jul 18.
7
Basic Concepts in Metastatic Cardiac Disease.转移性心脏疾病的基本概念
Cardiol Res. 2012 Apr;3(2):47-48. doi: 10.4021/cr155w. Epub 2012 Mar 20.
8
Gene expression profiling identifies responsive patients with cancer of unknown primary treated with carboplatin, paclitaxel, and everolimus: NCCTG N0871 (alliance).基因表达谱分析可识别接受卡铂、紫杉醇和依维莫司治疗的原发灶不明癌症的反应性患者:NCCTG N0871(联盟研究)
Ann Oncol. 2016 Feb;27(2):339-44. doi: 10.1093/annonc/mdv543. Epub 2015 Nov 16.
9
Diagnostic work-up of carcinoma of unknown primary: from immunohistochemistry to molecular profiling.不明原发癌的诊断工作:从免疫组织化学到分子分析。
Ann Oncol. 2012 Sep;23 Suppl 10:x271-7. doi: 10.1093/annonc/mds357.
10
Carcinomas of an unknown primary origin--diagnosis and treatment.不明原发灶癌——诊断与治疗。
Nat Rev Clin Oncol. 2011 Nov 1;8(12):701-10. doi: 10.1038/nrclinonc.2011.158.