• 文献检索
  • 文档翻译
  • 深度研究
  • 学术资讯
  • Suppr Zotero 插件Zotero 插件
  • 邀请有礼
  • 套餐&价格
  • 历史记录
应用&插件
Suppr Zotero 插件Zotero 插件浏览器插件Mac 客户端Windows 客户端微信小程序
定价
高级版会员购买积分包购买API积分包
服务
文献检索文档翻译深度研究API 文档MCP 服务
关于我们
关于 Suppr公司介绍联系我们用户协议隐私条款
关注我们

Suppr 超能文献

核心技术专利:CN118964589B侵权必究
粤ICP备2023148730 号-1Suppr @ 2026

文献检索

告别复杂PubMed语法,用中文像聊天一样搜索,搜遍4000万医学文献。AI智能推荐,让科研检索更轻松。

立即免费搜索

文件翻译

保留排版,准确专业,支持PDF/Word/PPT等文件格式,支持 12+语言互译。

免费翻译文档

深度研究

AI帮你快速写综述,25分钟生成高质量综述,智能提取关键信息,辅助科研写作。

立即免费体验

三种针对禽腺病毒4型的多酶等温快速扩增检测方法的开发与评估

Development and evaluation of three multienzyme isothermal rapid amplification assays for fowl adenovirus serotype 4.

作者信息

Dai Yin, Zhong Yueyi, Xu Fazhi, Gu Siqin, Zhou Huiqin, Wang Jieru, Yin Dongdong, Yin Lei, Shen Xuehuai, Pan Xiaocheng, Liu Xuelan

机构信息

Anhui Province Key Laboratory of Livestock and Poultry Product Safety Engineering, Livestock and Poultry Epidemic Diseases Research Center of Anhui Province, Institute of Animal Husbandry and Veterinary Science, Anhui Academy of Agricultural Science, Hefei 230031, China.

College of Animal Science and Technology, Anhui Agricultural University, Hefei 230036, China.

出版信息

Poult Sci. 2024 Dec;103(12):104452. doi: 10.1016/j.psj.2024.104452. Epub 2024 Oct 30.

DOI:10.1016/j.psj.2024.104452
PMID:39504832
原文链接:https://pmc.ncbi.nlm.nih.gov/articles/PMC11570712/
Abstract

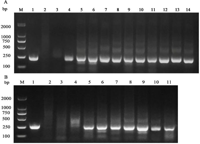
Fowl adenovirus serotype 4 (FAdV-4) is the main causative agent of hydropericardium hepatitis syndrome (HHS), which has resulted in huge economic losses to the poultry industry in recent years. Hence, a rapid and simple visual detection method is needed for identification of FAdV-4. In this study, three multienzyme isothermal rapid amplification (MIRA) assays, basic MIRA, MIRA-qPCR and MIRA-LFD were developed for detection of FAdV-4. The amplification primers and reaction conditions were optimized, and the specificity and sensitivity of the assays were evaluated. The MIRA assays were specific for FAdV-4 with no cross-reaction with novel goose astrovirus, H9 subtype avian influenza virus, duck enteritis virus, Muscovy duck reovirus, or duck circovirus. The basic MIRA assay required only one primer pair and the reaction can be completed within 30 min at 36 °C. The MIRA-qPCR and MIRA-LFD assays were completed in 20 min with a minimum detection limit of 1 × 10 copies/μL and 1 × 10 copies/μL, respectively. The results of the MIRA-LFD assay can be observed directly with the naked eye, omitting the need for specialized instruments. The positive rate of three proposed MIRA assays were consistent with that of the conventional PCR assay. The MIRA assays are simple, rapid, and effective diagnostic tools for field detection of FAdV-4.

摘要

禽腺病毒4型(FAdV-4)是心包积水肝炎综合征(HHS)的主要病原体,近年来给家禽业造成了巨大经济损失。因此,需要一种快速简便的可视化检测方法来鉴定FAdV-4。在本研究中,开发了三种多酶等温快速扩增(MIRA)检测方法,即基础MIRA、MIRA-qPCR和MIRA-LFD,用于检测FAdV-4。对扩增引物和反应条件进行了优化,并评估了检测方法的特异性和灵敏度。MIRA检测方法对FAdV-4具有特异性,与新型鹅星状病毒、H9亚型禽流感病毒、鸭肠炎病毒、番鸭呼肠孤病毒或鸭圆环病毒无交叉反应。基础MIRA检测方法仅需一对引物,反应可在36℃下30分钟内完成。MIRA-qPCR和MIRA-LFD检测方法分别在20分钟内完成,最低检测限分别为1×10拷贝/μL和1×10拷贝/μL。MIRA-LFD检测方法的结果可直接用肉眼观察,无需专门仪器。三种提出的MIRA检测方法的阳性率与传统PCR检测方法一致。MIRA检测方法是用于现场检测FAdV-4的简单、快速且有效的诊断工具。

https://cdn.ncbi.nlm.nih.gov/pmc/blobs/1380/11570712/e35b95ff9a35/gr4.jpg
https://cdn.ncbi.nlm.nih.gov/pmc/blobs/1380/11570712/c789fc757642/gr1.jpg
https://cdn.ncbi.nlm.nih.gov/pmc/blobs/1380/11570712/d0b5f7c56d61/gr2.jpg
https://cdn.ncbi.nlm.nih.gov/pmc/blobs/1380/11570712/5997ff3b1442/gr3.jpg
https://cdn.ncbi.nlm.nih.gov/pmc/blobs/1380/11570712/e35b95ff9a35/gr4.jpg
https://cdn.ncbi.nlm.nih.gov/pmc/blobs/1380/11570712/c789fc757642/gr1.jpg
https://cdn.ncbi.nlm.nih.gov/pmc/blobs/1380/11570712/d0b5f7c56d61/gr2.jpg
https://cdn.ncbi.nlm.nih.gov/pmc/blobs/1380/11570712/5997ff3b1442/gr3.jpg
https://cdn.ncbi.nlm.nih.gov/pmc/blobs/1380/11570712/e35b95ff9a35/gr4.jpg

相似文献

1
Development and evaluation of three multienzyme isothermal rapid amplification assays for fowl adenovirus serotype 4.三种针对禽腺病毒4型的多酶等温快速扩增检测方法的开发与评估
Poult Sci. 2024 Dec;103(12):104452. doi: 10.1016/j.psj.2024.104452. Epub 2024 Oct 30.
2
Pyrococcus furiosus argonaute combined with loop-mediated isothermal amplification for rapid, ultrasensitive, and visual detection of fowl adenovirus serotype 4.火球菌 Argonaute 与环介导等温扩增联合检测禽腺病毒 4 型:快速、超灵敏、可视化。
Poult Sci. 2024 Jul;103(7):103729. doi: 10.1016/j.psj.2024.103729. Epub 2024 Apr 3.
3
A rapid, ultrasensitive, and highly specific method for detecting fowl adenovirus serotype 4 based on the LAMP-CRISPR/Cas12a system.基于环介导等温扩增- CRISPR/Cas12a 系统的快速、灵敏、特异检测禽腺病毒 4 型的方法。
Poult Sci. 2024 Sep;103(9):104048. doi: 10.1016/j.psj.2024.104048. Epub 2024 Jun 28.
4
Detection and differentiation of fowl adenovirus serotype 4 and duck adenovirus 3 using high resolution melting curve assay.利用高分辨率熔解曲线分析法检测和鉴别禽腺病毒4型和鸭腺病毒3型
Poult Sci. 2024 Dec;103(12):104426. doi: 10.1016/j.psj.2024.104426. Epub 2024 Oct 18.
5
Application of cross-priming amplification (CPA) for detection of fowl adenovirus (FAdV) strains.交叉引物扩增(CPA)在禽腺病毒(FAdV)毒株检测中的应用。
Arch Virol. 2015 Apr;160(4):1005-13. doi: 10.1007/s00705-015-2355-9. Epub 2015 Feb 6.
6
Development of a TaqMan-based real-time PCR assay for rapid and specific detection of fowl aviadenovirus serotype 4.一种基于TaqMan的实时荧光定量PCR检测方法的建立,用于快速、特异性检测禽腺病毒4型。
Avian Pathol. 2017 Jun;46(3):338-343. doi: 10.1080/03079457.2016.1278428. Epub 2017 Mar 1.
7
A novel monoclonal antibodies-based sandwich ELISA for detection of serotype 4 fowl adenovirus.一种基于新型单克隆抗体的夹心ELISA法检测4型禽腺病毒。
Avian Pathol. 2019 Jun;48(3):204-208. doi: 10.1080/03079457.2019.1566595. Epub 2019 Feb 4.
8
Visual detection of fowl adenovirus serotype 4 via a portable CRISPR/Cas13a-based lateral flow assay.基于便携式 CRISPR/Cas13a 的侧向流动分析快速可视化检测禽腺病毒 4 型
Avian Pathol. 2023 Dec;52(6):438-445. doi: 10.1080/03079457.2023.2254253. Epub 2023 Oct 11.
9
LAMP real-time turbidity detection for fowl adenovirus.用于禽腺病毒的 LAMP 实时浊度检测。
BMC Vet Res. 2019 Jul 23;15(1):256. doi: 10.1186/s12917-019-2015-5.
10
A loop-mediated isothermal amplification coupling with a lateral flow dipstick for rapid and specific detection of fowl adenovirus serotype-4.一种环介导等温扩增结合侧流层析技术快速特异性检测禽腺病毒血清型 4
J Virol Methods. 2019 Aug;270:79-86. doi: 10.1016/j.jviromet.2019.04.026. Epub 2019 May 1.

引用本文的文献

1
A novel monoclonal antibody differentiates highly pathogenic serotype 4 fowl adenovirus through targeting 188R in the Hexon.一种新型单克隆抗体通过靶向六邻体中的188R来区分高致病性4型禽腺病毒。
Poult Sci. 2025 May 22;104(8):105328. doi: 10.1016/j.psj.2025.105328.

本文引用的文献

1
Molecular characterisation of fowl adenovirus associated with hydropericardium hepatitis syndrome in broiler and layer breeders in Azerbaijan.阿塞拜疆肉鸡和蛋鸡养殖场中与心包积水-肝炎综合征相关的禽腺病毒的分子特征。
BMC Vet Res. 2024 Jun 7;20(1):244. doi: 10.1186/s12917-024-04081-0.
2
The Development of a Multienzyme Isothermal Rapid Amplification Assay to Visually Detect Duck Hepatitis B Virus.一种用于视觉检测鸭乙型肝炎病毒的多酶等温快速扩增检测方法的开发。
Vet Sci. 2024 Apr 26;11(5):191. doi: 10.3390/vetsci11050191.
3
Pyrococcus furiosus argonaute combined with loop-mediated isothermal amplification for rapid, ultrasensitive, and visual detection of fowl adenovirus serotype 4.
火球菌 Argonaute 与环介导等温扩增联合检测禽腺病毒 4 型:快速、超灵敏、可视化。
Poult Sci. 2024 Jul;103(7):103729. doi: 10.1016/j.psj.2024.103729. Epub 2024 Apr 3.
4
Development of Multienzyme Isothermal Rapid Amplification (MIRA) Combined with Lateral-Flow Dipstick (LFD) Assay to Detect Species-Specific and Pathogenic and Genes of .多酶等温快速扩增(MIRA)结合侧向流动试纸条(LFD)检测法的开发,用于检测特定物种、致病及……的基因 。 (原文结尾处不完整,翻译可能会有些突兀)
Pathogens. 2024 Jan 6;13(1):57. doi: 10.3390/pathogens13010057.
5
Prevalence, genomic characteristics, and pathogenicity of fowl adenovirus 2 in Southern China.中国南方禽腺病毒 2 的流行情况、基因组特征和致病性。
Poult Sci. 2024 Jan;103(1):103177. doi: 10.1016/j.psj.2023.103177. Epub 2023 Oct 16.
6
Multienzyme isothermal rapid amplification and lateral flow dipstick combination assay for visible detection of chicken chaphamaparvovirus.多酶等温快速扩增与侧向流试纸条组合检测法用于鸡查帕卡帕鲁病毒的可视化检测。
Poult Sci. 2023 Dec;102(12):103144. doi: 10.1016/j.psj.2023.103144. Epub 2023 Sep 24.
7
Pathogenicity and epidemiological survey of fowl adenovirus in Shandong Province from 2021 to 2022.2021-2022年山东省禽腺病毒致病性及流行病学调查
Front Microbiol. 2023 May 10;14:1166078. doi: 10.3389/fmicb.2023.1166078. eCollection 2023.
8
Simple and feasible detection of hepatitis a virus using reverse transcription multienzyme isothermal rapid amplification and lateral flow dipsticks without standard PCR laboratory.在无需标准聚合酶链式反应(PCR)实验室的情况下,使用逆转录多酶等温快速扩增技术和侧向流动试纸条对甲型肝炎病毒进行简单可行的检测。
Artif Cells Nanomed Biotechnol. 2023 Dec;51(1):233-240. doi: 10.1080/21691401.2023.2203198.
9
Development of a multienzyme isothermal rapid amplification and lateral flow dipstick combination assay for bovine coronavirus detection.用于牛冠状病毒检测的多酶等温快速扩增与侧向流动试纸条联合检测方法的开发。
Front Vet Sci. 2023 Jan 4;9:1059934. doi: 10.3389/fvets.2022.1059934. eCollection 2022.
10
A multiplex fluorescence-based loop-mediated isothermal amplification assay for identifying chicken parvovirus, chicken infectious anaemia virus, and fowl aviadenovirus serotype 4.一种基于多重荧光的环介导等温扩增检测方法,用于鉴定鸡细小病毒、鸡传染性贫血病毒和禽腺病毒 4 型。
Avian Pathol. 2023 Apr;52(2):128-136. doi: 10.1080/03079457.2022.2159326. Epub 2023 Jan 9.