Suppr超能文献

一种新型单克隆抗体通过靶向六邻体中的188R来区分高致病性4型禽腺病毒。

A novel monoclonal antibody differentiates highly pathogenic serotype 4 fowl adenovirus through targeting 188R in the Hexon.

作者信息

Tang Ye, Xie Bai, Liu Shi, Xie Quan, Wang Weikang, Chen Junpeng, Tian Xiaoyan, Gan Junji, Li Tuofan, Wang Shengnan, Wan Zhimin, Shao Hongxia, Qin Aijian, Ye Jianqiang

机构信息

Key Laboratory of Jiangsu Preventive Veterinary Medicine, Key Laboratory for Avian Preventive Medicine, Ministry of Education, College of Veterinary Medicine, Yangzhou University, Yangzhou, Jiangsu 225009, China; Jiangsu Co-Innovation Center for Prevention and Control of Important Animal Infectious Diseases and Zoonoses, Yangzhou, Jiangsu 225009, China; Joint International Research Laboratory of Agriculture and Agri-Product Safety, The Ministry of Education of China, Yangzhou University, Yangzhou, Jiangsu 225009 China; Institutes of Agricultural Science and Technology Development, Yangzhou University, Yangzhou, Jiangsu 225009, China.

出版信息

Poult Sci. 2025 May 22;104(8):105328. doi: 10.1016/j.psj.2025.105328.

Abstract

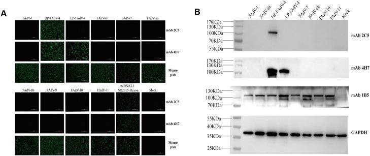
Since 2015, hepatitis-hydropericardium syndrome (HHS) induced by the infection of highly pathogenic serotype 4 fowl adenovirus (HP-FAdV-4) has caused severe economic losses to the poultry industry. Although Hexon protein is closely associated with the pathogenicity of HP-FAdV-4, its antigenic epitopes remain poorly elucidated. In this study, two monoclonal antibodies (mAb) against Hexon were generated, designated as 2C5 and 4H7, respectively. Cross-reactivity with different FAdVs showed that mAb 2C5 only reacted with HP-FAdV-4 but not with low pathogenic FAdV-4 (LP-FAdV-4), whereas mAb 4H7 reacted with both HP-FAdV-4 and LP-FAdV-4. Epitope mapping revealed that the mAb 2C5 and 4H7 recognized 185GPGRNP190 and 161TSTSKDT167 in Hexon, respectively. Moreover, 188R in Hexon was identified as the key site recognized by mAb 2C5, and 162S and 166D in Hexon were identified as the critical sites recognized by mAb 4H7. Using mAb 2C5 as a capture antibody and HRP-conjugated mAb 4H7 as a detection antibody, we developed a novel sandwich ELISA to efficiently differentiate HP-FAdV-4 from LP-FAdV-4 and other serotypes of FAdV. All these data give novel insights into the epitopes and key antigenic sites in Hexon of FAdV-4 and provide efficient differentiating diagnostics approaches for HP-FAdV-4 endemic in China.

摘要

自2015年以来,高致病性4型禽腺病毒(HP-FAdV-4)感染引起的肝炎-心包积水综合征(HHS)给家禽业造成了严重的经济损失。尽管六邻体蛋白与HP-FAdV-4的致病性密切相关,但其抗原表位仍未得到充分阐明。在本研究中,制备了两种抗六邻体的单克隆抗体(mAb),分别命名为2C5和4H7。与不同禽腺病毒的交叉反应表明,单克隆抗体2C5仅与HP-FAdV-4反应,而不与低致病性禽腺病毒4型(LP-FAdV-4)反应,而单克隆抗体4H7与HP-FAdV-4和LP-FAdV-4均有反应。表位作图显示,单克隆抗体2C5和4H7分别识别六邻体中的185GPGRNP190和161TSTSKDT167。此外,六邻体中的188R被确定为单克隆抗体2C5识别的关键位点,六邻体中的162S和166D被确定为单克隆抗体4H7识别的关键位点。以单克隆抗体2C5为捕获抗体,辣根过氧化物酶(HRP)标记的单克隆抗体4H7为检测抗体,我们开发了一种新型夹心ELISA,以有效区分HP-FAdV-4与LP-FAdV-4及其他血清型的禽腺病毒。所有这些数据为禽腺病毒4型六邻体中的表位和关键抗原位点提供了新的见解,并为中国流行的HP-FAdV-4提供了有效的鉴别诊断方法。

https://cdn.ncbi.nlm.nih.gov/pmc/blobs/3a61/12166882/e0f20975f61a/gr1.jpg

文献AI研究员

20分钟写一篇综述,助力文献阅读效率提升50倍。

立即体验

用中文搜PubMed

大模型驱动的PubMed中文搜索引擎

马上搜索

文档翻译

学术文献翻译模型,支持多种主流文档格式。

立即体验