Suppr超能文献

器官培养中大鼠远侧部促性腺激素细胞和催乳素分泌细胞的精细结构

Fine structure of gonadotrophs and prolactin producing cells in the rat pars distalis in organ culture.

作者信息

Baker T G, Young B A

出版信息

J Anat. 1979 Dec;129(Pt 4):759-67.

Abstract

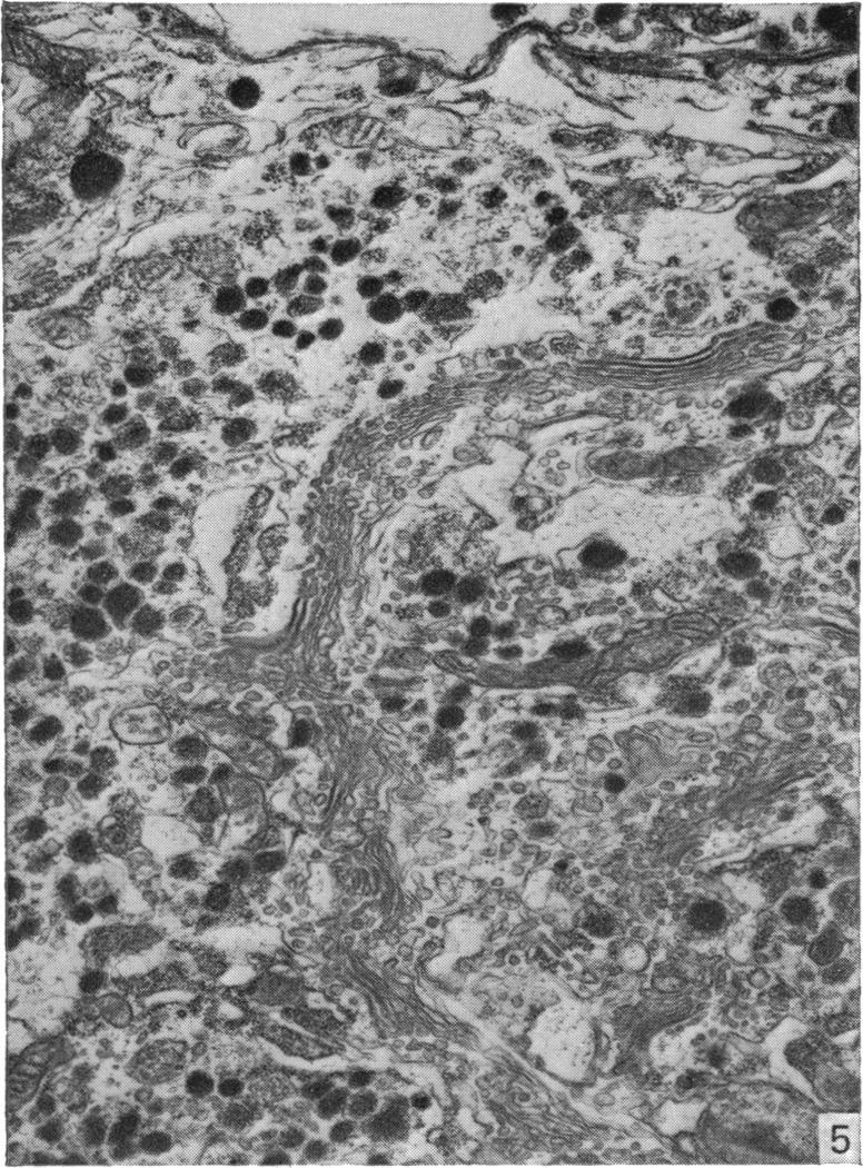
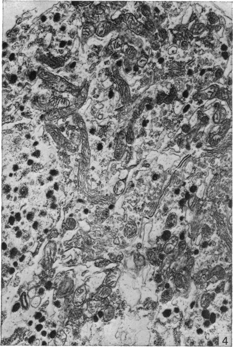
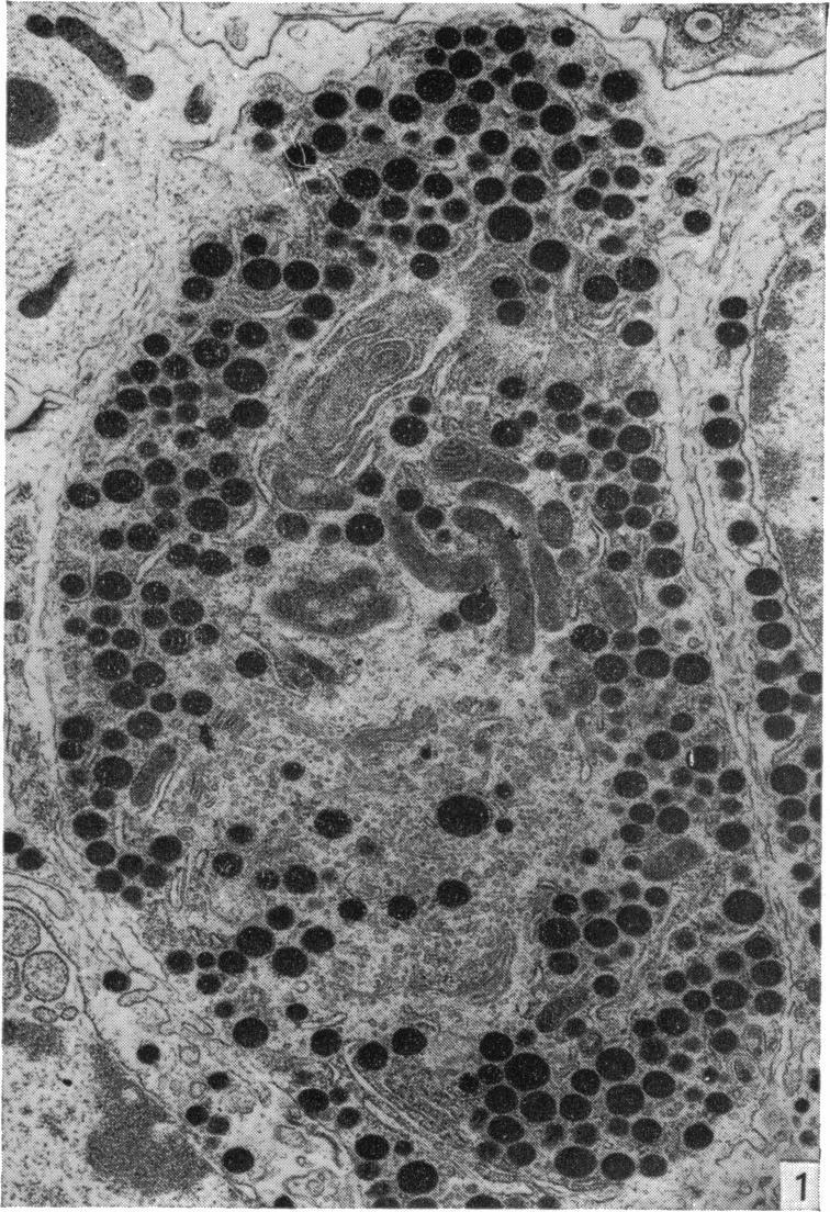
A technique is described which permits the maintenance for up to 8 days in organ culture of explanted rat pituitary glands. Electron microscope studies showed that the cultured glands (whether treated with gonadotrophin-releasing hormone (GnRH) or not) were almost identical to controls in appearance, although the stellate (follicular) cells seemingly were eliminated in vitro. Gonadotrophs and prolactin-secreting cells in male and female pituitary glands were similar in appearance both in vivo and in vitro to comparable cells described by other authors. There was some evidence for an increase in the secretory activity of these cell types (particularly gonadotrophs) when the explants were treated with GnRH. The present technique thus provides a suitable and valid 'model' with which to study the effects of GnRH and steroid hormones on the release and synthesis of FSH and LH in vitro.

摘要

本文描述了一种技术,该技术可使离体大鼠垂体腺在器官培养中维持长达8天。电子显微镜研究表明,培养的腺体(无论是否用促性腺激素释放激素(GnRH)处理)外观上与对照几乎相同,尽管星状(滤泡)细胞似乎在体外被清除。雄性和雌性垂体腺中的促性腺激素细胞和催乳素分泌细胞在体内和体外的外观与其他作者描述的同类细胞相似。有证据表明,当外植体用GnRH处理时,这些细胞类型(特别是促性腺激素细胞)的分泌活性会增加。因此,本技术提供了一个合适且有效的“模型”,用于研究GnRH和类固醇激素对体外FSH和LH释放与合成的影响。

https://cdn.ncbi.nlm.nih.gov/pmc/blobs/4bbf/1232987/dddaf66fed35/janat00240-0088-a.jpg

文献AI研究员

20分钟写一篇综述,助力文献阅读效率提升50倍。

立即体验

用中文搜PubMed

大模型驱动的PubMed中文搜索引擎

马上搜索

文档翻译

学术文献翻译模型,支持多种主流文档格式。

立即体验