Suppr超能文献

药物性皮疹伴嗜酸性粒细胞增多和系统症状综合征:药物、潜伏病毒与免疫系统之间的相互作用。

DRESS syndrome: an interaction between drugs, latent viruses, and the immune system.

作者信息

Criado Paulo Ricardo, Ianhez Mayra, Miot Hélio Amante, Criado Roberta Fachini Jardim, Talhari Carolina, Müller Ramos Paulo

机构信息

Centro Universitário Faculdade de Medicina do ABC, Santo André, SP, Brazil; Faculdade de Ciências Médicas de Santos, (Fundação Lusíada), Santos, SP, Brazil.

Department of Dermatology, Hospital de Doenças Tropicais de Goiás, Goiânia, GO, Brazil.

出版信息

An Bras Dermatol. 2025 Jan-Feb;100(1):104-120. doi: 10.1016/j.abd.2023.12.010. Epub 2024 Nov 8.

Abstract

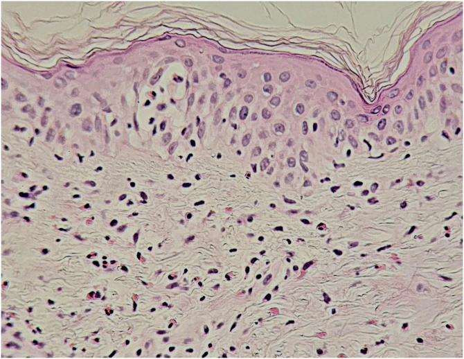
Drug-induced hypersensitivity syndrome, also known as DRESS syndrome, is a serious and potentially fatal reaction that occurs in response to prolonged use (generally between 14 and 60 days) of certain drugs, and which has no predilection for gender or age group. It is believed that DRESS syndrome has a genetic basis and results from the interaction between metabolites of certain pharmacological groups, reactivation of latent viruses (especially from the Herpesviridae family), and a cellular immune response. The classic manifestation of DRESS syndrome includes a generalized rash accompanied by fever, eosinophilia, lymphadenopathy, and systemic involvement such as hepatitis, nephritis, or pneumonitis. With the continuous increase in the availability of drugs and the aging of the population, there is a favorable scenario for the development of adverse drug reactions. Physicians should be prepared for the early diagnosis of DRESS syndrome, the identification and immediate suspension of the drug involved, and also manage systemic involvement, which may require prolonged immunosuppressive therapy. This article provides an update on the clinical, physiopathological and therapeutic aspects of DRESS syndrome.

摘要

药物超敏反应综合征,也称为DRESS综合征,是一种严重且可能致命的反应,它是在长期使用(通常为14至60天)某些药物后发生的,对性别或年龄组没有偏好。据信,DRESS综合征具有遗传基础,是某些药理组的代谢产物、潜伏病毒(特别是疱疹病毒科)的重新激活以及细胞免疫反应之间相互作用的结果。DRESS综合征的典型表现包括全身性皮疹,伴有发热、嗜酸性粒细胞增多、淋巴结病以及肝炎、肾炎或肺炎等全身受累情况。随着药物可及性的不断增加和人口老龄化,药物不良反应的发生有了有利条件。医生应做好准备,以便对DRESS综合征进行早期诊断,识别并立即停用相关药物,同时处理全身受累情况,这可能需要长期的免疫抑制治疗。本文提供了关于DRESS综合征临床、生理病理和治疗方面的最新信息。

https://cdn.ncbi.nlm.nih.gov/pmc/blobs/bfae/11745295/ab1e5ed3dadd/gr1.jpg

文献检索

告别复杂PubMed语法,用中文像聊天一样搜索,搜遍4000万医学文献。AI智能推荐,让科研检索更轻松。

立即免费搜索

文件翻译

保留排版,准确专业,支持PDF/Word/PPT等文件格式,支持 12+语言互译。

免费翻译文档

深度研究

AI帮你快速写综述,25分钟生成高质量综述,智能提取关键信息,辅助科研写作。

立即免费体验