• 文献检索
  • 文档翻译
  • 深度研究
  • 学术资讯
  • Suppr Zotero 插件Zotero 插件
  • 邀请有礼
  • 套餐&价格
  • 历史记录
应用&插件
Suppr Zotero 插件Zotero 插件浏览器插件Mac 客户端Windows 客户端微信小程序
定价
高级版会员购买积分包购买API积分包
服务
文献检索文档翻译深度研究API 文档MCP 服务
关于我们
关于 Suppr公司介绍联系我们用户协议隐私条款
关注我们

Suppr 超能文献

核心技术专利:CN118964589B侵权必究
粤ICP备2023148730 号-1Suppr @ 2026

文献检索

告别复杂PubMed语法,用中文像聊天一样搜索,搜遍4000万医学文献。AI智能推荐,让科研检索更轻松。

立即免费搜索

文件翻译

保留排版,准确专业,支持PDF/Word/PPT等文件格式,支持 12+语言互译。

免费翻译文档

深度研究

AI帮你快速写综述,25分钟生成高质量综述,智能提取关键信息,辅助科研写作。

立即免费体验

红光发光二极管对皮肤愈合的影响:一项体外和体内实验研究。

Red light-emitting diode on skin healing: an in vitro and in vivo experimental study.

作者信息

Schmidt Tuany R, Mármora Belkiss C, Brochado Fernanda T, Gonçalves Lucas, Campos Paloma S, Lamers Marcelo L, Araújo Aurigena A de, Medeiros Caroline A C X de, Ribeiro Susana B, Martins Marco A T, Pilar Emily F S, Martins Manoela D, Wagner Vivian P

机构信息

Department of Pathology, Faculty of Dentistry, Universidade Federal do Rio Grande do Sul, Porto Alegre, RS, Brazil.

Department of Pathology, Faculty of Dentistry, Universidade Federal do Rio Grande do Sul, Porto Alegre, RS, Brazil; Department of Pediatric Dentistry, Orthodontics and Public Health, Faculty of Dentistry, Universidade de São Paulo, Bauru, SP, Brazil.

出版信息

An Bras Dermatol. 2025 Jan-Feb;100(1):54-62. doi: 10.1016/j.abd.2024.02.008. Epub 2024 Nov 8.

DOI:10.1016/j.abd.2024.02.008
PMID:
39521711
原文链接:https://pmc.ncbi.nlm.nih.gov/articles/PMC11745292/
Abstract

BACKGROUND

The clinical advantages of light-emitting diode (LED) therapy in skin healing and its underlying mechanism remain subjects of ongoing debate.

OBJECTIVE

This study aims to explore the impact of LED therapy on normal skin keratinocytes (HaCaT) and in the repair of full-thickness dorsal wounds in Wistar rats.

METHODS

HaCaT cell viability (SRB assay) and migration (scratch assay) were assessed under LED therapy, comparing stress conditions (2.5% FBS) with sham irradiation and optimal conditions (10% FBS). In vivo, 50 rats with induced wounds were divided into Sham and LED (daily treatment) groups. Euthanasia occurred at 3, 5, 10, 14, and 21 days for clinical, morphological, oxidative stress (MDA, SOD, and GSH), and cytokine analyses (IL-1β, IL-10, TNF-α).

RESULTS

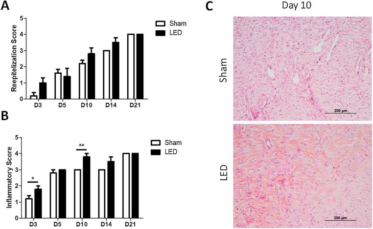
LED therapy significantly enhanced keratinocytes viability compared to sham irradiation, with minimal impact on cell migration. Clinical benefits were prominent on day 10, influencing inflammation progression and resolution on days 3 and 10. Re-epithelization remained unaffected. Reduced MDA and increased GSH levels were observed throughout, while SOD levels varied temporally. Notably, on day 10, LED significantly decreased IL-1β, IL-10, and TNF-α.

STUDY LIMITATIONS

Although translational, clinical trial confirmation of observed benefits is warranted.

CONCLUSIONS

LED therapy expedites cutaneous healing in the experimental model, primarily modulating inflammation and enhancing antioxidant activity.

摘要

背景

发光二极管(LED)疗法在皮肤愈合方面的临床优势及其潜在机制仍是持续争论的话题。

目的

本研究旨在探讨LED疗法对正常皮肤角质形成细胞(HaCaT)的影响以及对Wistar大鼠背部全层伤口修复的作用。

方法

在LED疗法下,通过磺酰罗丹明B(SRB)法评估HaCaT细胞活力,划痕试验评估细胞迁移能力,将应激条件(2.5%胎牛血清)与假照射及最佳条件(10%胎牛血清)进行比较。在体内,将50只诱导伤口的大鼠分为假手术组和LED(每日治疗)组。在第3、5、10、14和21天实施安乐死,进行临床、形态学、氧化应激(丙二醛、超氧化物歧化酶和谷胱甘肽)及细胞因子分析(白细胞介素-1β、白细胞介素-10、肿瘤坏死因子-α)。

结果

与假照射相比,LED疗法显著提高了角质形成细胞活力,对细胞迁移影响最小。在第10天临床益处显著,对第3天和第10天的炎症进展和消退有影响。再上皮化未受影响。整个过程中丙二醛水平降低,谷胱甘肽水平升高,而超氧化物歧化酶水平随时间变化。值得注意的是,在第

https://cdn.ncbi.nlm.nih.gov/pmc/blobs/738a/11745292/6ff2004ff9cb/gr4.jpg
https://cdn.ncbi.nlm.nih.gov/pmc/blobs/738a/11745292/b06596635de8/gr1.jpg
https://cdn.ncbi.nlm.nih.gov/pmc/blobs/738a/11745292/61b6aad8062f/gr2.jpg
https://cdn.ncbi.nlm.nih.gov/pmc/blobs/738a/11745292/23b8301dbc98/gr3.jpg
https://cdn.ncbi.nlm.nih.gov/pmc/blobs/738a/11745292/6ff2004ff9cb/gr4.jpg
https://cdn.ncbi.nlm.nih.gov/pmc/blobs/738a/11745292/b06596635de8/gr1.jpg
https://cdn.ncbi.nlm.nih.gov/pmc/blobs/738a/11745292/61b6aad8062f/gr2.jpg
https://cdn.ncbi.nlm.nih.gov/pmc/blobs/738a/11745292/23b8301dbc98/gr3.jpg
https://cdn.ncbi.nlm.nih.gov/pmc/blobs/738a/11745292/6ff2004ff9cb/gr4.jpg

相似文献

1
Red light-emitting diode on skin healing: an in vitro and in vivo experimental study.红光发光二极管对皮肤愈合的影响:一项体外和体内实验研究。
An Bras Dermatol. 2025 Jan-Feb;100(1):54-62. doi: 10.1016/j.abd.2024.02.008. Epub 2024 Nov 8.
2
Defocused high-power diode laser accelerates skin repair in a murine model through REDOX state modulation and reepithelization and collagen deposition stimulation.离焦强功率二极管激光通过调节氧化还原状态、促进再上皮化和胶原沉积来加速小鼠模型的皮肤修复。
J Photochem Photobiol B. 2021 Dec;225:112332. doi: 10.1016/j.jphotobiol.2021.112332. Epub 2021 Oct 9.
3
Green light emitting diodes accelerate wound healing: characterization of the effect and its molecular basis in vitro and in vivo.绿光发光二极管加速伤口愈合:体外和体内的作用特征及其分子基础。
Wound Repair Regen. 2012 Mar-Apr;20(2):226-35. doi: 10.1111/j.1524-475X.2012.00771.x.
4
Does blue light restore human epidermal barrier function via activation of Opsin during cutaneous wound healing?蓝光在皮肤伤口愈合过程中是否通过激活视蛋白来恢复人类表皮屏障功能?
Lasers Surg Med. 2019 Apr;51(4):370-382. doi: 10.1002/lsm.23015. Epub 2018 Aug 31.
5
Exploring the Safety and Efficacy of Organic Light-Emitting Diode in Skin Rejuvenation and Wound Healing.探索有机发光二极管在皮肤年轻化和伤口愈合中的安全性和疗效。
Yonsei Med J. 2024 Feb;65(2):98-107. doi: 10.3349/ymj.2023.0125.
6
Effect of laser and LED phototherapies on the healing of cutaneous wound on healthy and iron-deficient Wistar rats and their impact on fibroblastic activity during wound healing.激光和 LED 光疗对健康和缺铁 Wistar 大鼠皮肤伤口愈合的影响及其对伤口愈合过程中成纤维细胞活性的影响。
Lasers Med Sci. 2013 May;28(3):799-806. doi: 10.1007/s10103-012-1161-9. Epub 2012 Jul 20.
7
Light-emitting diode irradiation promotes donor site wound healing of the free gingival graft.发光二极管照射可促进游离龈瓣供区伤口愈合。
J Periodontol. 2015 May;86(5):674-81. doi: 10.1902/jop.2015.140580. Epub 2015 Jan 29.
8
Light therapy by blue LED improves wound healing in an excision model in rats.蓝光 LED 光疗可改善大鼠切除模型中的伤口愈合。
Injury. 2011 Sep;42(9):917-21. doi: 10.1016/j.injury.2010.03.023.
9
The Antinociceptive Effect of Light-Emitting Diode Irradiation on Incised Wounds Is Correlated with Changes in Cyclooxygenase 2 Activity, Prostaglandin E2, and Proinflammatory Cytokines.发光二极管照射对切割伤口的抗伤害作用与环氧合酶2活性、前列腺素E2和促炎细胞因子的变化相关。
Pain Res Manag. 2017;2017:4792489. doi: 10.1155/2017/4792489. Epub 2017 Apr 2.
10
The antifungal effect of light emitting diode on Malassezia yeasts.发光二极管对马拉色菌属酵母菌的抗真菌作用。
J Dermatol Sci. 2012 Jul;67(1):3-8. doi: 10.1016/j.jdermsci.2012.04.001. Epub 2012 Apr 12.

引用本文的文献

1
Photobiomodulation of 450 nm Blue Light on Human Keratinocytes, Fibroblasts, and Endothelial Cells: An In Vitro and Transcriptomic Study on Cells Involved in Wound Healing and Angiogenesis.450纳米蓝光对人角质形成细胞、成纤维细胞和内皮细胞的光生物调节作用:一项关于参与伤口愈合和血管生成的细胞的体外和转录组学研究
Biomedicines. 2025 Aug 1;13(8):1876. doi: 10.3390/biomedicines13081876.

本文引用的文献

1
Treatment with a red-laser-based wound therapy device exerts positive effects in models of delayed keratinocyte and fibroblast wound healing.基于红光的伤口治疗设备的治疗对延迟的角质形成细胞和成纤维细胞伤口愈合模型具有积极影响。
Photodermatol Photoimmunol Photomed. 2024 Jan;40(1):e12926. doi: 10.1111/phpp.12926. Epub 2023 Nov 13.
2
Molecular pathology and therapeutics of the diabetic foot ulcer; comprehensive reviews.糖尿病足溃疡的分子病理学和治疗学;全面综述。
Arch Physiol Biochem. 2024 Oct;130(5):591-598. doi: 10.1080/13813455.2023.2219863. Epub 2023 Jun 9.
3
Photobiomodulation with Blue Light on Wound Healing: A Scoping Review.
蓝光光生物调节对伤口愈合的影响:一项范围综述
Life (Basel). 2023 Feb 18;13(2):575. doi: 10.3390/life13020575.
4
Investigating the effects of low intensity visible light on human keratinocytes using a customized LED exposure system.使用定制的 LED 暴露系统研究低强度可见光对人角质形成细胞的影响。
Sci Rep. 2022 Nov 7;12(1):18907. doi: 10.1038/s41598-022-23751-3.
5
670nm photobiomodulation modulates bioenergetics and oxidative stress, in rat Müller cells challenged with high glucose.670nm 光生物调节可调节生物能量和氧化应激,在高糖刺激的大鼠 Müller 细胞中。
PLoS One. 2021 Dec 3;16(12):e0260968. doi: 10.1371/journal.pone.0260968. eCollection 2021.
6
Defocused high-power diode laser accelerates skin repair in a murine model through REDOX state modulation and reepithelization and collagen deposition stimulation.离焦强功率二极管激光通过调节氧化还原状态、促进再上皮化和胶原沉积来加速小鼠模型的皮肤修复。
J Photochem Photobiol B. 2021 Dec;225:112332. doi: 10.1016/j.jphotobiol.2021.112332. Epub 2021 Oct 9.
7
Therapeutic strategies for chronic wound infection.慢性伤口感染的治疗策略。
Chin J Traumatol. 2022 Jan;25(1):11-16. doi: 10.1016/j.cjtee.2021.07.004. Epub 2021 Jul 6.
8
Photobiomodulation in diabetic wound healing: A review of red and near-infrared wavelength applications.光生物调节在糖尿病创面愈合中的应用:红和近红外波长的应用综述。
Cell Biochem Funct. 2021 Jul;39(5):596-612. doi: 10.1002/cbf.3629. Epub 2021 Apr 18.
9
Photobiomodulation effect of red LED (630 nm) on the free radical levels produced by pulp cells under stress conditions.红光 LED(630nm)对牙髓细胞在应激条件下产生的自由基水平的光生物调节作用。
Lasers Med Sci. 2022 Feb;37(1):607-617. doi: 10.1007/s10103-021-03309-x. Epub 2021 Apr 7.
10
Light emitting diode-red light for reduction of post-surgical scarring: Results from a dose-ranging, split-face, randomized controlled trial.发光二极管-红光治疗减少术后瘢痕:一项剂量范围、分割面部、随机对照试验的结果。
J Biophotonics. 2021 Jul;14(7):e202100073. doi: 10.1002/jbio.202100073. Epub 2021 May 4.