• 文献检索
  • 文档翻译
  • 深度研究
  • 学术资讯
  • Suppr Zotero 插件Zotero 插件
  • 邀请有礼
  • 套餐&价格
  • 历史记录
应用&插件
Suppr Zotero 插件Zotero 插件浏览器插件Mac 客户端Windows 客户端微信小程序
定价
高级版会员购买积分包购买API积分包
服务
文献检索文档翻译深度研究API 文档MCP 服务
关于我们
关于 Suppr公司介绍联系我们用户协议隐私条款
关注我们

Suppr 超能文献

核心技术专利:CN118964589B侵权必究
粤ICP备2023148730 号-1Suppr @ 2026

文献检索

告别复杂PubMed语法,用中文像聊天一样搜索,搜遍4000万医学文献。AI智能推荐,让科研检索更轻松。

立即免费搜索

文件翻译

保留排版,准确专业,支持PDF/Word/PPT等文件格式,支持 12+语言互译。

免费翻译文档

深度研究

AI帮你快速写综述,25分钟生成高质量综述,智能提取关键信息,辅助科研写作。

立即免费体验

病例报告:以直立性低血压为首发表现的进行性脑脊髓炎伴僵硬和肌阵挛(PERM)伴多种自身免疫抗体。

Case report: orthostatic hypotension as the first presentation of progressive encephalomyelitis with rigidity and myoclonus (PERM) with multiple autoimmune antibodies.

机构信息

School of Medicine, Zhejiang University, Hangzhou, Zhejiang, China.

Department of Neurology, Longyou People's Hospital, Quzhou, Zhejiang, China.

出版信息

BMC Neurol. 2024 Nov 9;24(1):435. doi: 10.1186/s12883-024-03909-4.

DOI:10.1186/s12883-024-03909-4
PMID:39522020
原文链接:https://pmc.ncbi.nlm.nih.gov/articles/PMC11549869/
Abstract

INTRODUCTION

Stiff person syndrome (SPS) is a rare disease characterized by axial and lower-extremity muscle rigidity, muscle spasm, and pain. Progressive encephalomyelitis with rigidity and myoclonus (PERM) is a variant of SPS. This case is particularly notable for its uncommon initial symptom: orthostatic hypotension, coupled with the presence of multiple antibodies. Such a presentation is a rarity in the context of PERM, thus providing a fresh and unique angle for both diagnosis and treatment.

CASE PRESENTATION

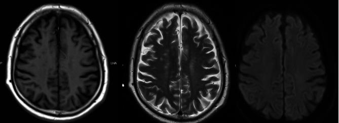
This case presents a 71-year-old man who was ultimately diagnosed with progressive encephalomyelitis with rigidity and myoclonus (PERM). His initial symptom was orthostatic hypotension, and we detected multiple antibodies such as GlyR antibody, GAD antibody, GM1-IgG and GQ1b-IgG in his serum. The patient showed partial response to glucocorticoid and immunoglobulin therapies, but as the disease recurred and progressed, plasma exchange, rituximab, and cyclophosphamide immunosuppressive therapy was administered, the prognosis remained poor. During follow-up after treatment, the patient developed pulmonary embolism and cardiac arrest, and died.

CONCLUSION

PERM exhibits diverse manifestation and pathogenic mechanisms. Immune heterogeneity affects clinical symptoms and prognosis. Cases of PERM combined with orthostatic hypotension and various antibodies have rarely been reported, the incidence and the specific mechanism is unknown, underscoring the need for further research. This case report underscores the importance of recognizing the diverse clinical presentations of PERM and the challenges in its diagnosis and management. It highlights autonomic dysfunction may be as the initial symptom of PERM. Moreover, it emphasizes the limitations of current treatment modalities and the necessity for further research to elucidate the underlying mechanisms and optimize therapeutic approaches for this debilitating autoimmune condition.

摘要

简介

僵人综合征(SPS)是一种罕见疾病,其特征为轴性和下肢肌肉僵硬、肌肉痉挛和疼痛。进行性脑脊髓炎伴僵硬和肌阵挛(PERM)是 SPS 的一种变体。本病例的特别之处在于其罕见的初始症状:直立性低血压,同时存在多种抗体。在 PERM 的背景下,这种表现非常罕见,为诊断和治疗提供了一个新颖而独特的角度。

病例介绍

本病例报告了一位 71 岁男性,最终被诊断为进行性脑脊髓炎伴僵硬和肌阵挛(PERM)。他的初始症状是直立性低血压,我们在他的血清中检测到多种抗体,如 GlyR 抗体、GAD 抗体、GM1-IgG 和 GQ1b-IgG。该患者对糖皮质激素和免疫球蛋白治疗有部分反应,但随着疾病复发和进展,给予了血浆置换、利妥昔单抗和环磷酰胺免疫抑制治疗,但预后仍较差。治疗后随访期间,患者发生肺栓塞和心脏骤停,最终死亡。

结论

PERM 表现出多样化的表现和发病机制。免疫异质性影响临床症状和预后。PERM 合并直立性低血压和多种抗体的病例很少见,其发病率和具体机制尚不清楚,需要进一步研究。本病例报告强调了认识 PERM 多样化临床表现以及在诊断和管理方面面临的挑战的重要性。它强调自主神经功能障碍可能是 PERM 的初始症状。此外,它还强调了目前治疗方法的局限性,需要进一步研究阐明潜在机制,并优化这种使人衰弱的自身免疫疾病的治疗方法。

https://cdn.ncbi.nlm.nih.gov/pmc/blobs/1a8f/11549869/40144195b3c7/12883_2024_3909_Fig4_HTML.jpg
https://cdn.ncbi.nlm.nih.gov/pmc/blobs/1a8f/11549869/8b3c8e636c49/12883_2024_3909_Fig1_HTML.jpg
https://cdn.ncbi.nlm.nih.gov/pmc/blobs/1a8f/11549869/ca5caf443441/12883_2024_3909_Fig2_HTML.jpg
https://cdn.ncbi.nlm.nih.gov/pmc/blobs/1a8f/11549869/1edb94e3ec48/12883_2024_3909_Fig3_HTML.jpg
https://cdn.ncbi.nlm.nih.gov/pmc/blobs/1a8f/11549869/40144195b3c7/12883_2024_3909_Fig4_HTML.jpg
https://cdn.ncbi.nlm.nih.gov/pmc/blobs/1a8f/11549869/8b3c8e636c49/12883_2024_3909_Fig1_HTML.jpg
https://cdn.ncbi.nlm.nih.gov/pmc/blobs/1a8f/11549869/ca5caf443441/12883_2024_3909_Fig2_HTML.jpg
https://cdn.ncbi.nlm.nih.gov/pmc/blobs/1a8f/11549869/1edb94e3ec48/12883_2024_3909_Fig3_HTML.jpg
https://cdn.ncbi.nlm.nih.gov/pmc/blobs/1a8f/11549869/40144195b3c7/12883_2024_3909_Fig4_HTML.jpg

相似文献

1
Case report: orthostatic hypotension as the first presentation of progressive encephalomyelitis with rigidity and myoclonus (PERM) with multiple autoimmune antibodies.病例报告:以直立性低血压为首发表现的进行性脑脊髓炎伴僵硬和肌阵挛(PERM)伴多种自身免疫抗体。
BMC Neurol. 2024 Nov 9;24(1):435. doi: 10.1186/s12883-024-03909-4.
2
Progressive Encephalomyelitis with Rigidity and Myoclonus (PERM) Associated with GlyR Antibody in an APECED Patient.一名自身免疫性多内分泌腺病-念珠菌病-外胚层营养不良(APECED)患者中与甘氨酸受体抗体相关的进行性脑脊髓炎伴强直和肌阵挛(PERM)
J Clin Immunol. 2024 Sep 12;45(1):2. doi: 10.1007/s10875-024-01802-w.
3
[A case of progressive encephalomyelitis with rigidity and myoclonus associated with anti-GAD, anti-glycine receptor and anti-GM1 antibodies].[一例与抗谷氨酸脱羧酶抗体、抗甘氨酸受体抗体及抗GM1抗体相关的伴有强直和肌阵挛的进行性脑脊髓炎]
Rinsho Shinkeigaku. 2015;55(2):111-4. doi: 10.5692/clinicalneurol.55.111.
4
Glycine receptor antibodies are detected in progressive encephalomyelitis with rigidity and myoclonus (PERM) but not in saccadic oscillations.甘氨酸受体抗体在进行性肌阵挛性脑脊髓炎伴僵硬和肌阵挛(PERM)中被检测到,但不在扫视性眼球震颤中被检测到。
J Neurol. 2012 Aug;259(8):1566-73. doi: 10.1007/s00415-011-6377-2. Epub 2012 Jan 4.
5
Histopathological Investigation of Progressive Encephalomyelitis with Rigidity and Myoclonus: An Autopsy Case Characterized by Oculomotor Dysfunction and Autonomic Failure.僵人综合征伴动眼神经功能障碍和自主神经功能衰竭的组织病理学研究:一例尸检病例报告
Intern Med. 2025 Feb 15;64(4):597-602. doi: 10.2169/internalmedicine.3741-24. Epub 2024 Jul 18.
6
Clinical features in antiglycine receptor antibody-related disease: a case report and update literature review.抗甘氨酸受体抗体相关疾病的临床特征:病例报告及文献复习更新。
Front Immunol. 2024 Jun 17;15:1387591. doi: 10.3389/fimmu.2024.1387591. eCollection 2024.
7
Redefining progressive encephalomyelitis with rigidity and myoclonus after the discovery of antibodies to glycine receptors.在发现抗甘氨酸受体抗体后对伴有强直和肌阵挛的进行性脑脊髓炎的重新定义。
Curr Opin Neurol. 2017 Jun;30(3):310-316. doi: 10.1097/WCO.0000000000000450.
8
A case report of rigidity and recurrent lower limb myoclonus: progressive encephalomyelitis rigidity and myoclonus syndrome, a chameleon.一例僵硬度与复发性下肢肌阵挛的病例报告:僵硬度与肌阵挛性进行性脑脊髓炎综合征,一种多变的疾病。
BMC Neurol. 2018 Oct 18;18(1):173. doi: 10.1186/s12883-018-1176-3.
9
Progressive encephalomyelitis with rigidity and myoclonus after thymectomy in a woman with myasthenia gravis.一名重症肌无力女性胸腺切除术后发生伴有强直和肌阵挛的进行性脑脊髓炎。
Front Immunol. 2025 Apr 16;16:1563700. doi: 10.3389/fimmu.2025.1563700. eCollection 2025.
10
Efficacy of apheresis in antibody-negative progressive encephalomyelitis with rigidity and myoclonus.单采术治疗抗体阴性的僵人综合征合并进行性脑脊髓炎的疗效
Ther Apher Dial. 2025 Jun;29(3):512-515. doi: 10.1111/1744-9987.14253. Epub 2025 Jan 19.

本文引用的文献

1
Stiff Person Syndrome and GAD Antibody-Spectrum Disorders.僵人综合征和 GAD 抗体谱障碍。
Continuum (Minneap Minn). 2024 Aug 1;30(4):1110-1135. doi: 10.1212/CON.0000000000001457.
2
Neuropsychiatric Presentation of Anti-DPPX Progressive Encephalomyelitis with Rigidity and Myoclonus.抗二肽基肽酶样蛋白X型进行性脑脊髓炎伴强直和肌阵挛的神经精神表现
Mov Disord Clin Pract. 2024 Jan;11(1):97-100. doi: 10.1002/mdc3.13928. Epub 2023 Nov 23.
3
Prevalence of non-neurological autoantibodies and related comorbidities in stiff person spectrum disorders.
僵人谱系障碍中非神经自身抗体及相关共病的患病率。
Front Neurol. 2023 Nov 22;14:1289460. doi: 10.3389/fneur.2023.1289460. eCollection 2023.
4
Inspiratory laryngeal stridor as the main feature of progressive encephalomyelitis with rigidity and myoclonus: a case report and literature review.以吸气性喉喘鸣为主要特征的进行性脑脊髓炎伴僵硬和肌阵挛:病例报告及文献复习。
BMC Neurol. 2022 Jan 28;22(1):42. doi: 10.1186/s12883-022-02555-y.
5
Progressive Encephalomyelitis With Rigidity and Myoclonus With Thymoma: A Case Report and Literature Review.伴胸腺瘤的进行性脑脊髓炎伴强直和肌阵挛:一例报告及文献复习
Front Neurol. 2020 Sep 18;11:1017. doi: 10.3389/fneur.2020.01017. eCollection 2020.
6
Autonomic neuropathies.自主神经病。
Muscle Nerve. 2021 Jan;63(1):10-21. doi: 10.1002/mus.27048. Epub 2020 Sep 14.
7
GAD antibodies in neurological disorders - insights and challenges.神经疾病中的 GAD 抗体:研究进展与挑战。
Nat Rev Neurol. 2020 Jul;16(7):353-365. doi: 10.1038/s41582-020-0359-x. Epub 2020 May 26.
8
Anti-glutamic acid decarboxylase (GAD) positive cerebellar Ataxia with transitioning to progressive encephalomyelitis with rigidity and myoclonus (PERM), responsive to immunotherapy: A case report and review of literature.抗谷氨酸脱羧酶 (GAD) 阳性小脑性共济失调伴向僵硬性肌阵挛型进行性脑脊髓炎 (PERM) 转化,对免疫治疗有反应:病例报告及文献复习。
J Neuroimmunol. 2019 Jul 15;332:135-137. doi: 10.1016/j.jneuroim.2019.04.003. Epub 2019 Apr 6.
9
Progressive encephalomyelitis with rigidity and myoclonus, a diagnostic challenge.伴有强直和肌阵挛的进行性脑脊髓炎,一项诊断挑战。
Rev Neurol (Paris). 2018 May;174(5):343-346. doi: 10.1016/j.neurol.2017.09.012. Epub 2018 Apr 22.
10
Thymoma-associated Progressive Encephalomyelitis with Rigidity and Myoclonus (PERM) with Myasthenia Gravis.胸腺瘤相关的伴有重症肌无力的进行性脑脊髓炎伴强直和肌阵挛(PERM)
Intern Med. 2017;56(13):1733-1737. doi: 10.2169/internalmedicine.56.7979. Epub 2017 Jul 1.