Rani Safitri Chika, Sidharta Wiet, Kusumaningsih Artanti, Wicaksono Farisa Miyuki, Aljunaid M, Krismariono Agung
Resident of Periodontic Residency Program, Faculty of Dental Medicine, Universitas Airlangga, Surabaya, Indonesia.
Undergraduate Student, Faculty of Dental Medicine, Universitas Airlangga, Surabaya, Indonesia.
Saudi Dent J. 2024 Oct;36(10):1339-1343. doi: 10.1016/j.sdentj.2024.08.002. Epub 2024 Aug 3.
Hailed as one of the most fundamental and important treatment in management of periodontal disease, scalling and root planning has limitations regarding microorganism elimination. Meanwhile, turmeric has been proven to have a therapeutic effect on gingivitis and periodontitis. This study aimed to analyze the impact of curcumin 1% methanolic extract on the expression of Matrix Metalloproteinase-1, Matrix Metalloproteinase-8, Matrix Metalloproteinase -13, neutrophil, macrophage, and lymphocyte number in the gingiva of Wistar rats exposed to ().
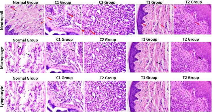
The experimental animals used were Wistar rats, arbitrarilly split up into three experimental groups namely: normal, control (induced with periodontitis, received no treatment), and treatment (Periodontitis with 1% curcumin treatment). The samples were taken from the gingival tissue of the mandibular incisors on 1 and 7 days. Immunohistochemical and Hematoxylin Eosin staining were performed to measure the expression of Matrix Metalloproteinase-1, Matrix Metalloproteinase-8, Matrix Metalloproteinase-13, and the number of neutrophils, macrophages, and lymphocytes. Data were analyzed for mean standard deviation. The Oneway ANOVA was then performed to see whether there is a significant difference between experimental groups, the test then commenced with Tukey's Honestly Significant Difference test with a significance level (α=0.05).
MMP-8, MMP-13, neutrophil, and lymphocyte numbers in the treatment groups were significantly lower with P<0.05 than in the control groups in the 1 and 7 days. Meanwhile, in MMP-1 and macrophage numbers the difference was deemed not significant when control and treatment groups are compared.
The administration of 1% curcumin can significantly reduce the expression of MMP-8, MMP-13, neutrophil and lymphocyte cell numbers, but there is no reducing the number of macrophage cells and MMP-1 expression in gingiva of Wistar rats exposed to bacteria.
作为牙周病治疗中最基本且重要的治疗方法之一,龈下刮治和根面平整在消除微生物方面存在局限性。同时,姜黄已被证明对牙龈炎和牙周炎具有治疗作用。本研究旨在分析1%姜黄素甲醇提取物对暴露于(此处原文缺失内容)的Wistar大鼠牙龈中基质金属蛋白酶-1、基质金属蛋白酶-8、基质金属蛋白酶-13、中性粒细胞、巨噬细胞和淋巴细胞数量表达的影响。
所使用的实验动物为Wistar大鼠,随机分为三个实验组,即:正常组、对照组(诱导牙周炎,未接受治疗)和治疗组(牙周炎采用1%姜黄素治疗)。在第1天和第7天从下颌切牙的牙龈组织取样。进行免疫组织化学和苏木精-伊红染色以测量基质金属蛋白酶-1、基质金属蛋白酶-8、基质金属蛋白酶-13的表达以及中性粒细胞、巨噬细胞和淋巴细胞的数量。对数据进行均值标准差分析。然后进行单因素方差分析以查看实验组之间是否存在显著差异,接着用Tukey真实显著差异检验进行检验,显著性水平为(α=0.05)。
在第1天和第7天,治疗组中基质金属蛋白酶-8、基质金属蛋白酶-13、中性粒细胞和淋巴细胞数量显著低于对照组,P<0.05。同时,当比较对照组和治疗组时,基质金属蛋白酶-1和巨噬细胞数量的差异被认为不显著。
给予1%姜黄素可显著降低暴露于细菌的Wistar大鼠牙龈中基质金属蛋白酶-8、基质金属蛋白酶-13、中性粒细胞和淋巴细胞的数量表达,但对巨噬细胞数量和基质金属蛋白酶-1的表达无降低作用。