Suppr超能文献

MTHFD2 的核定位对于正确的有丝分裂进程是必需的。

Nuclear localization of MTHFD2 is required for correct mitosis progression.

机构信息

Centre for Genomic Regulation (CRG), The Barcelona Institute of Science and Technology, Dr. Aiguader 88, Barcelona, 08003, Spain.

Universitat Pompeu Fabra (UPF), Barcelona, Spain.

出版信息

Nat Commun. 2024 Nov 12;15(1):9529. doi: 10.1038/s41467-024-51847-z.

Abstract

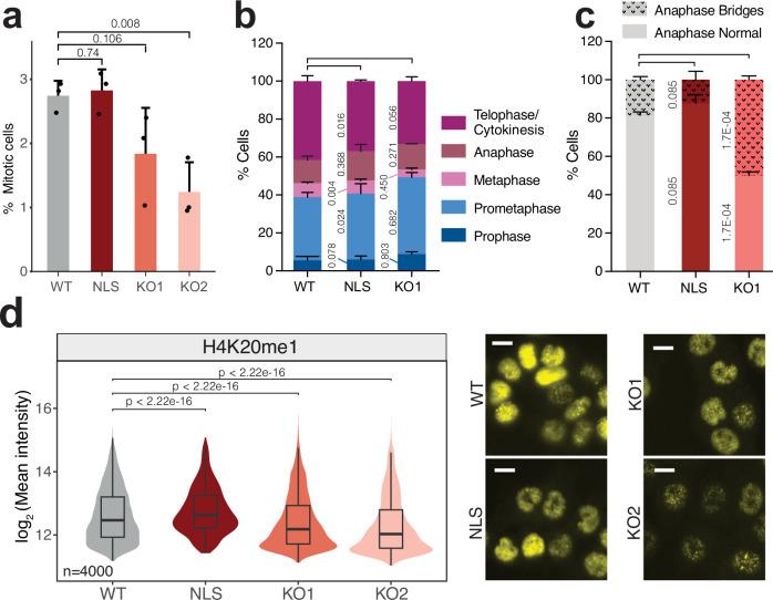
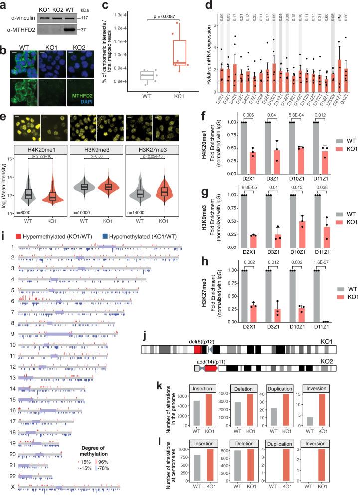
Subcellular compartmentalization of metabolic enzymes establishes a unique metabolic environment that elicits specific cellular functions. Indeed, the nuclear translocation of certain metabolic enzymes is required for epigenetic regulation and gene expression control. Here, we show that the nuclear localization of the mitochondrial enzyme methylenetetrahydrofolate dehydrogenase 2 (MTHFD2) ensures mitosis progression. Nuclear MTHFD2 interacts with proteins involved in mitosis regulation and centromere stability, including the methyltransferases KMT5A and DNMT3B. Loss of MTHFD2 induces severe methylation defects and impedes correct mitosis completion. MTHFD2 deficient cells display chromosome congression and segregation defects and accumulate chromosomal aberrations. Blocking the catalytic nuclear function of MTHFD2 recapitulates the phenotype observed in MTHFD2 deficient cells, whereas restricting MTHFD2 to the nucleus is sufficient to ensure correct mitotic progression. Our discovery uncovers a nuclear role for MTHFD2, supporting the notion that translocation of metabolic enzymes to the nucleus is required to meet precise chromatin needs.

摘要

代谢酶的亚细胞区室化建立了一个独特的代谢环境,引发了特定的细胞功能。事实上,某些代谢酶的核转位对于表观遗传调控和基因表达控制是必需的。在这里,我们表明线粒体酶亚甲基四氢叶酸脱氢酶 2(MTHFD2)的核定位确保了有丝分裂的进展。核 MTHFD2 与参与有丝分裂调节和着丝粒稳定性的蛋白质相互作用,包括甲基转移酶 KMT5A 和 DNMT3B。MTHFD2 的缺失会导致严重的甲基化缺陷,并阻碍有丝分裂的正确完成。MTHFD2 缺陷细胞显示出染色体向心和分离缺陷,并积累染色体异常。阻断 MTHFD2 的催化核功能可重现 MTHFD2 缺陷细胞中观察到的表型,而将 MTHFD2 限制在核内足以确保有丝分裂的正确进行。我们的发现揭示了 MTHFD2 的核作用,支持了代谢酶向核内易位以满足精确染色质需求的观点。

https://cdn.ncbi.nlm.nih.gov/pmc/blobs/1ae5/11557897/411df547cde1/41467_2024_51847_Fig1_HTML.jpg

文献检索

告别复杂PubMed语法,用中文像聊天一样搜索,搜遍4000万医学文献。AI智能推荐,让科研检索更轻松。

立即免费搜索

文件翻译

保留排版,准确专业,支持PDF/Word/PPT等文件格式,支持 12+语言互译。

免费翻译文档

深度研究

AI帮你快速写综述,25分钟生成高质量综述,智能提取关键信息,辅助科研写作。

立即免费体验