• 文献检索
  • 文档翻译
  • 深度研究
  • 学术资讯
  • Suppr Zotero 插件Zotero 插件
  • 邀请有礼
  • 套餐&价格
  • 历史记录
应用&插件
Suppr Zotero 插件Zotero 插件浏览器插件Mac 客户端Windows 客户端微信小程序
定价
高级版会员购买积分包购买API积分包
服务
文献检索文档翻译深度研究API 文档MCP 服务
关于我们
关于 Suppr公司介绍联系我们用户协议隐私条款
关注我们

Suppr 超能文献

核心技术专利:CN118964589B侵权必究
粤ICP备2023148730 号-1Suppr @ 2026

文献检索

告别复杂PubMed语法,用中文像聊天一样搜索,搜遍4000万医学文献。AI智能推荐,让科研检索更轻松。

立即免费搜索

文件翻译

保留排版,准确专业,支持PDF/Word/PPT等文件格式,支持 12+语言互译。

免费翻译文档

深度研究

AI帮你快速写综述,25分钟生成高质量综述,智能提取关键信息,辅助科研写作。

立即免费体验

低流切应力通过下调 mir-143-3p 并激活 ERK5/KLF4 信号通路促进软骨细胞增殖和细胞外基质分泌。

Low fluid shear stress promotes chondrocyte proliferation and extracellular matrix secretion by downregulating mir-143-3p and activating the ERK5/KLF4 signaling pathway.

机构信息

Department of Orthopaedics, Lanzhou University Second Hospital, #82 Cuiyingmen, Lanzhou, 730000, Gansu, China.

Orthopaedics Key Laboratory of Gansu Province, Lanzhou, Gansu, China.

出版信息

Sci Rep. 2024 Nov 12;14(1):27737. doi: 10.1038/s41598-024-78676-w.

DOI:10.1038/s41598-024-78676-w
PMID:39532925
原文链接:https://pmc.ncbi.nlm.nih.gov/articles/PMC11557884/
Abstract

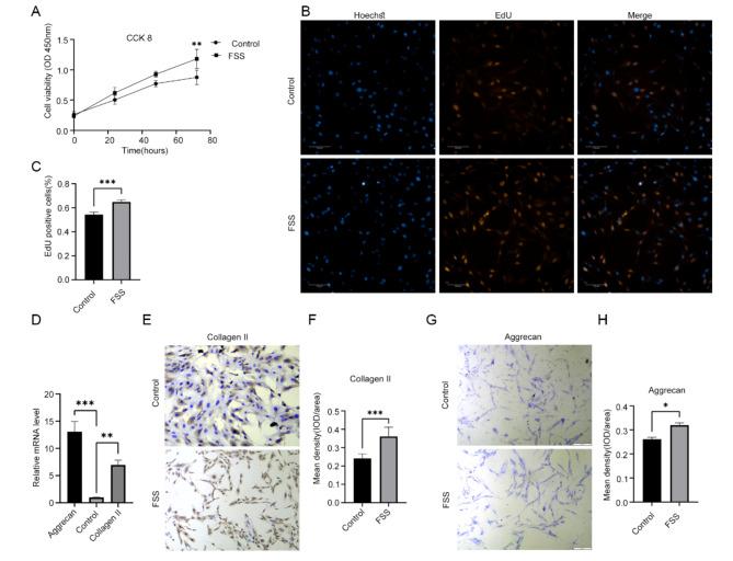
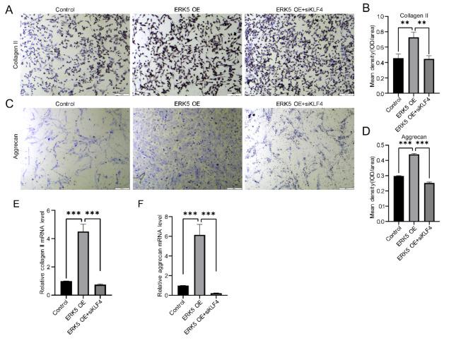
Low fluid shear stress (FSS, ≤ 2 dyn/cm2) has been shown to exert protective effects on chondrocytes, but the underlying molecular mechanisms remain unclear. This study aimed to elucidate the mechanisms by which FSS promotes chondrocyte proliferation and extracellular matrix (ECM) stability. We exposed SW1353 chondrocytes to low FSS (1.8 dyn/cm, 60 min) and found that it led to a significant downregulation of microRNA-143-3p (miR-143-3p), which was associated with increased chondrocyte proliferation and ECM secretion, including type II collagen (COL2A1) and aggrecan. Further investigation revealed that miR-143-3p directly targeted ERK5, a key component of the ERK5/KLF4 signaling pathway. Overexpression of miR-143-3p suppressed ERK5/KLF4 pathway activation, resulting in reduced chondrocyte proliferation and ECM production. Our findings demonstrate that low FSS promotes chondrocyte proliferation and ECM secretion by downregulating miR-143-3p, leading to the activation of the ERK5/KLF4 signaling pathway. This study reveals a novel mechanism by which FSS regulates chondrocyte behavior and ECM secretion, highlighting the potential of FSS as a therapeutic target for cartilage-related diseases.

摘要

低流体切应力(FSS,≤2 dyn/cm2)已被证明对软骨细胞具有保护作用,但其中的分子机制尚不清楚。本研究旨在阐明 FSS 促进软骨细胞增殖和细胞外基质(ECM)稳定的机制。我们将 SW1353 软骨细胞暴露于低 FSS(1.8 dyn/cm,60 分钟)下,发现其导致 microRNA-143-3p(miR-143-3p)显著下调,这与软骨细胞增殖和 ECM 分泌增加有关,包括 II 型胶原(COL2A1)和聚集蛋白聚糖。进一步的研究表明,miR-143-3p 直接靶向 ERK5,ERK5/KLF4 信号通路的关键组成部分。miR-143-3p 的过表达抑制了 ERK5/KLF4 通路的激活,导致软骨细胞增殖和 ECM 产生减少。我们的研究结果表明,低 FSS 通过下调 miR-143-3p 促进软骨细胞增殖和 ECM 分泌,从而激活 ERK5/KLF4 信号通路。本研究揭示了 FSS 调节软骨细胞行为和 ECM 分泌的新机制,强调了 FSS 作为治疗与软骨相关疾病的潜在靶点的可能性。

https://cdn.ncbi.nlm.nih.gov/pmc/blobs/a2c7/11557884/1a7d33dbcd4e/41598_2024_78676_Fig9_HTML.jpg
https://cdn.ncbi.nlm.nih.gov/pmc/blobs/a2c7/11557884/c4ea122bdd7f/41598_2024_78676_Fig1_HTML.jpg
https://cdn.ncbi.nlm.nih.gov/pmc/blobs/a2c7/11557884/50e7ce0a9c9a/41598_2024_78676_Fig3_HTML.jpg
https://cdn.ncbi.nlm.nih.gov/pmc/blobs/a2c7/11557884/2d1ebd465a5d/41598_2024_78676_Fig5_HTML.jpg
https://cdn.ncbi.nlm.nih.gov/pmc/blobs/a2c7/11557884/ac58e0b9e226/41598_2024_78676_Fig7_HTML.jpg
https://cdn.ncbi.nlm.nih.gov/pmc/blobs/a2c7/11557884/8616b4b345f2/41598_2024_78676_Fig2_HTML.jpg
https://cdn.ncbi.nlm.nih.gov/pmc/blobs/a2c7/11557884/36467cac3251/41598_2024_78676_Fig4_HTML.jpg
https://cdn.ncbi.nlm.nih.gov/pmc/blobs/a2c7/11557884/6fa00375b671/41598_2024_78676_Fig6_HTML.jpg
https://cdn.ncbi.nlm.nih.gov/pmc/blobs/a2c7/11557884/3a25172ca40a/41598_2024_78676_Fig8_HTML.jpg
https://cdn.ncbi.nlm.nih.gov/pmc/blobs/a2c7/11557884/1a7d33dbcd4e/41598_2024_78676_Fig9_HTML.jpg
https://cdn.ncbi.nlm.nih.gov/pmc/blobs/a2c7/11557884/c4ea122bdd7f/41598_2024_78676_Fig1_HTML.jpg
https://cdn.ncbi.nlm.nih.gov/pmc/blobs/a2c7/11557884/50e7ce0a9c9a/41598_2024_78676_Fig3_HTML.jpg
https://cdn.ncbi.nlm.nih.gov/pmc/blobs/a2c7/11557884/2d1ebd465a5d/41598_2024_78676_Fig5_HTML.jpg
https://cdn.ncbi.nlm.nih.gov/pmc/blobs/a2c7/11557884/ac58e0b9e226/41598_2024_78676_Fig7_HTML.jpg
https://cdn.ncbi.nlm.nih.gov/pmc/blobs/a2c7/11557884/8616b4b345f2/41598_2024_78676_Fig2_HTML.jpg
https://cdn.ncbi.nlm.nih.gov/pmc/blobs/a2c7/11557884/36467cac3251/41598_2024_78676_Fig4_HTML.jpg
https://cdn.ncbi.nlm.nih.gov/pmc/blobs/a2c7/11557884/6fa00375b671/41598_2024_78676_Fig6_HTML.jpg
https://cdn.ncbi.nlm.nih.gov/pmc/blobs/a2c7/11557884/3a25172ca40a/41598_2024_78676_Fig8_HTML.jpg
https://cdn.ncbi.nlm.nih.gov/pmc/blobs/a2c7/11557884/1a7d33dbcd4e/41598_2024_78676_Fig9_HTML.jpg

相似文献

1
Low fluid shear stress promotes chondrocyte proliferation and extracellular matrix secretion by downregulating mir-143-3p and activating the ERK5/KLF4 signaling pathway.低流切应力通过下调 mir-143-3p 并激活 ERK5/KLF4 信号通路促进软骨细胞增殖和细胞外基质分泌。
Sci Rep. 2024 Nov 12;14(1):27737. doi: 10.1038/s41598-024-78676-w.
2
Low shear stress protects chondrocytes from IL-1β-induced apoptosis by activating ERK5/KLF4 signaling and negatively regulating miR-143-3p.低剪应力通过激活 ERK5/KLF4 信号通路和负调控 miR-143-3p 来保护软骨细胞免受 IL-1β诱导的凋亡。
J Orthop Surg Res. 2024 Oct 15;19(1):656. doi: 10.1186/s13018-024-05140-w.
3
Fluid shear stress promotes osteoblast proliferation via the Gαq-ERK5 signaling pathway.流体剪切应力通过Gαq-ERK5信号通路促进成骨细胞增殖。
Connect Tissue Res. 2016 Jul;57(4):299-306. doi: 10.1080/03008207.2016.1181063. Epub 2016 Apr 26.
4
2 dyn/cm shear force upregulates kruppel-like factor 4 expression in human chondrocytes to inhibit the interleukin-1β-activated nuclear factor-κB.2 dyn/cm 切变力上调人软骨细胞中 Kruppel 样因子 4 的表达,抑制白细胞介素-1β 激活的核因子-κB。
J Cell Physiol. 2018 Jan;234(1):958-968. doi: 10.1002/jcp.26924. Epub 2018 Aug 21.
5
ERK5 negatively regulates Kruppel-like factor 4 and promotes osteogenic lineage cell proliferation in response to MEK5 overexpression or fluid shear stress.ERK5 负向调控 Kruppel 样因子 4,并在 MEK5 过表达或流体切应力刺激下促进成骨谱系细胞增殖。
Connect Tissue Res. 2021 Mar;62(2):194-205. doi: 10.1080/03008207.2019.1670650. Epub 2019 Nov 21.
6
Downregulation of miR-221-3p contributes to IL-1β-induced cartilage degradation by directly targeting the SDF1/CXCR4 signaling pathway.miR-221-3p的下调通过直接靶向SDF1/CXCR4信号通路促进白细胞介素-1β诱导的软骨降解。
J Mol Med (Berl). 2017 Jun;95(6):615-627. doi: 10.1007/s00109-017-1516-6. Epub 2017 Feb 24.
7
MiR-128-3p Post-Transcriptionally Inhibits WISP1 to Suppress Apoptosis and Inflammation in Human Articular Chondrocytes via the PI3K/AKT/NF-κB Signaling Pathway.miR-128-3p 通过 PI3K/AKT/NF-κB 信号通路转录后抑制 WISP1 抑制人关节软骨细胞凋亡和炎症。
Cell Transplant. 2020 Jan-Dec;29:963689720939131. doi: 10.1177/0963689720939131.
8
MiR-33b-3p promotes chondrocyte proliferation and inhibits chondrocyte apoptosis and cartilage ECM degradation by targeting DNMT3A in osteoarthritis.miR-33b-3p 通过靶向 DNMT3A 促进骨关节炎软骨细胞增殖,抑制软骨细胞凋亡和软骨细胞外基质降解。
Biochem Biophys Res Commun. 2019 Nov 5;519(2):430-437. doi: 10.1016/j.bbrc.2019.09.022. Epub 2019 Sep 13.
9
Fluid shear stress-induced down-regulation of microRNA-140-5p promotes osteoblast proliferation by targeting VEGFA via the ERK5 pathway.流体切应力诱导的 microRNA-140-5p 下调通过 ERK5 通路靶向 VEGFA 促进成骨细胞增殖。
Connect Tissue Res. 2022 Mar;63(2):156-168. doi: 10.1080/03008207.2021.1891228. Epub 2021 Mar 8.
10
MiR-485-3p promotes proliferation of osteoarthritis chondrocytes and inhibits apoptosis via Notch2 and the NF-κB pathway.miR-485-3p 通过 Notch2 和 NF-κB 通路促进骨关节炎软骨细胞增殖和抑制凋亡。
Immunopharmacol Immunotoxicol. 2021 Jun;43(3):370-379. doi: 10.1080/08923973.2021.1918150. Epub 2021 May 7.

本文引用的文献

1
Aberrant Fluid Shear Stress Contributes to Articular Cartilage Pathogenesis via Epigenetic Regulation of ZBTB20 by H3K4me3.异常流体剪切应力通过H3K4me3对ZBTB20的表观遗传调控促进关节软骨发病机制。
J Inflamm Res. 2021 Nov 19;14:6067-6083. doi: 10.2147/JIR.S339382. eCollection 2021.
2
Epidemiology of osteoarthritis.骨关节炎的流行病学。
Osteoarthritis Cartilage. 2022 Feb;30(2):184-195. doi: 10.1016/j.joca.2021.04.020. Epub 2021 Sep 14.
3
A review on the role of PCAT6 lncRNA in tumorigenesis.PCAT6 lncRNA 在肿瘤发生中的作用研究进展
Biomed Pharmacother. 2021 Oct;142:112010. doi: 10.1016/j.biopha.2021.112010. Epub 2021 Aug 10.
4
Emerging roles of miRNAs in the development of pancreatic cancer.miRNAs 在胰腺癌发展中的新兴作用。
Biomed Pharmacother. 2021 Sep;141:111914. doi: 10.1016/j.biopha.2021.111914. Epub 2021 Jul 10.
5
The MEK5/ERK5 Pathway in Health and Disease.MEK5/ERK5 通路在健康和疾病中的作用。
Int J Mol Sci. 2021 Jul 15;22(14):7594. doi: 10.3390/ijms22147594.
6
LncRNA MEG3 Protects Chondrocytes From IL-1β-Induced Inflammation Regulating miR-9-5p/KLF4 Axis.长链非编码RNA MEG3通过调节miR-9-5p/KLF4轴保护软骨细胞免受白细胞介素-1β诱导的炎症影响。
Front Physiol. 2021 Mar 11;12:617654. doi: 10.3389/fphys.2021.617654. eCollection 2021.
7
Recent Progress in Cartilage Lubrication.软骨润滑的最新进展。
Adv Mater. 2021 May;33(18):e2005513. doi: 10.1002/adma.202005513. Epub 2021 Mar 24.
8
Human Mesenchymal Stem Cell-Derived Exosomal microRNA-143 Promotes Apoptosis and Suppresses Cell Growth in Pancreatic Cancer via Target Gene Regulation.人骨髓间充质干细胞衍生的外泌体微小RNA-143通过靶向基因调控促进胰腺癌细胞凋亡并抑制其生长
Front Genet. 2021 Feb 12;12:581694. doi: 10.3389/fgene.2021.581694. eCollection 2021.
9
Osteoarthritis year in review 2020: biology.2020 年骨关节炎年度回顾:生物学。
Osteoarthritis Cartilage. 2021 Feb;29(2):143-150. doi: 10.1016/j.joca.2020.10.006. Epub 2020 Nov 24.
10
Shear Stress-Induced miR-143-3p in Collateral Arteries Contributes to Outward Vessel Growth by Targeting Collagen V-α2.切应力诱导的侧支动脉 miR-143-3p 通过靶向胶原 V-α2 促进血管外向生长。
Arterioscler Thromb Vasc Biol. 2020 May;40(5):e126-e137. doi: 10.1161/ATVBAHA.120.313316. Epub 2020 Mar 19.