• 文献检索
  • 文档翻译
  • 深度研究
  • 学术资讯
  • Suppr Zotero 插件Zotero 插件
  • 邀请有礼
  • 套餐&价格
  • 历史记录
应用&插件
Suppr Zotero 插件Zotero 插件浏览器插件Mac 客户端Windows 客户端微信小程序
定价
高级版会员购买积分包购买API积分包
服务
文献检索文档翻译深度研究API 文档MCP 服务
关于我们
关于 Suppr公司介绍联系我们用户协议隐私条款
关注我们

Suppr 超能文献

核心技术专利:CN118964589B侵权必究
粤ICP备2023148730 号-1Suppr @ 2026

文献检索

告别复杂PubMed语法,用中文像聊天一样搜索,搜遍4000万医学文献。AI智能推荐,让科研检索更轻松。

立即免费搜索

文件翻译

保留排版,准确专业,支持PDF/Word/PPT等文件格式,支持 12+语言互译。

免费翻译文档

深度研究

AI帮你快速写综述,25分钟生成高质量综述,智能提取关键信息,辅助科研写作。

立即免费体验

采用调强放射治疗进行胸段再程外照射根治性放疗:病例报告

Thoracic Re-irradiation With Definitive External Beam Radiation Therapy Using Intensity Modulated Radiation Therapy: A Case Report.

作者信息

Yamamori Unta, Tamaki Yukihisa, Uno Masafumi, Ue Atsushi, Sonoyama Yoko

机构信息

Radiation Oncology, Shimane University Faculty of Medicine, Izumo, JPN.

出版信息

Cureus. 2024 Oct 15;16(10):e71540. doi: 10.7759/cureus.71540. eCollection 2024 Oct.

DOI:10.7759/cureus.71540
PMID:39544544
原文链接:https://pmc.ncbi.nlm.nih.gov/articles/PMC11562875/
Abstract

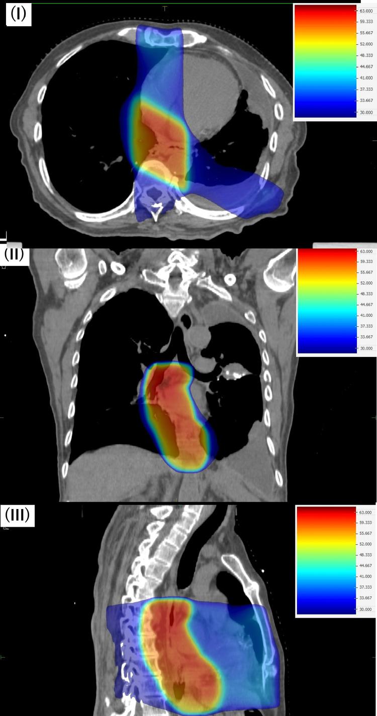
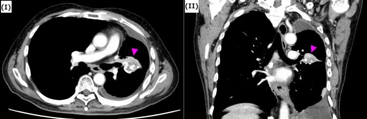
Thoracic re-irradiation has a high risk of severe adverse events, and re-irradiation with curative intent has rarely been performed. However, in recent years, with the introduction of intensity-modulated radiation therapy (IMRT) and stereotactic body radiation therapy, it has become possible to deliver high doses to the target lesions while minimizing the doses to surrounding tissues. The patient in this case had a history of definitive radiation therapy for esophageal cancer. The patient developed new lung cancer, which was treated by re-irradiation. We created a radiation treatment plan using IMRT. This allowed us to reduce the dose to organs at risk and deliver a higher dose to the cancer, increasing the potential for cure. The patient has not experienced any severe late adverse events as of three years and six months after treatment. Additionally, the treatment has been sufficiently effective, and the patient remains recurrence-free. To confirm the feasibility of the IMRT plan, we also created a radiation treatment plan using three-dimensional conformal radiation therapy (3D-CRT) and compared it with the IMRT plan. Compared with 3D-CRT, the IMRT plan was able to reduce the dose to organs at risk and meet the dose constraints indicated in multiple studies. The possibility of adverse events such as bronchial hemorrhage, esophageal hemorrhage, bronchial fistula, radiation pneumonitis, esophageal fistula, and pericarditis was significantly reduced.

摘要

胸部再程放疗有发生严重不良事件的高风险,且很少进行有治愈意图的再程放疗。然而,近年来,随着调强放射治疗(IMRT)和立体定向体部放疗的引入,在将周围组织剂量降至最低的同时向靶病变给予高剂量已成为可能。该病例患者有食管癌根治性放疗史。患者新发肺癌,接受了再程放疗。我们使用IMRT制定了放射治疗计划。这使我们能够降低危及器官的剂量,并向癌症给予更高剂量,增加治愈的可能性。截至治疗后三年零六个月,患者未出现任何严重的晚期不良事件。此外,治疗效果充分,患者仍无复发。为确认IMRT计划的可行性,我们还使用三维适形放疗(3D-CRT)制定了放射治疗计划,并将其与IMRT计划进行比较。与3D-CRT相比,IMRT计划能够降低危及器官的剂量,并满足多项研究中指出的剂量限制。支气管出血、食管出血、支气管瘘、放射性肺炎、食管瘘和心包炎等不良事件的可能性显著降低。

https://cdn.ncbi.nlm.nih.gov/pmc/blobs/24f4/11562875/279ec2e492dd/cureus-0016-00000071540-i05.jpg
https://cdn.ncbi.nlm.nih.gov/pmc/blobs/24f4/11562875/f61a7cabfbaa/cureus-0016-00000071540-i01.jpg
https://cdn.ncbi.nlm.nih.gov/pmc/blobs/24f4/11562875/caec534aeb98/cureus-0016-00000071540-i02.jpg
https://cdn.ncbi.nlm.nih.gov/pmc/blobs/24f4/11562875/4b68725eba4e/cureus-0016-00000071540-i03.jpg
https://cdn.ncbi.nlm.nih.gov/pmc/blobs/24f4/11562875/07c38d6b4d2f/cureus-0016-00000071540-i04.jpg
https://cdn.ncbi.nlm.nih.gov/pmc/blobs/24f4/11562875/279ec2e492dd/cureus-0016-00000071540-i05.jpg
https://cdn.ncbi.nlm.nih.gov/pmc/blobs/24f4/11562875/f61a7cabfbaa/cureus-0016-00000071540-i01.jpg
https://cdn.ncbi.nlm.nih.gov/pmc/blobs/24f4/11562875/caec534aeb98/cureus-0016-00000071540-i02.jpg
https://cdn.ncbi.nlm.nih.gov/pmc/blobs/24f4/11562875/4b68725eba4e/cureus-0016-00000071540-i03.jpg
https://cdn.ncbi.nlm.nih.gov/pmc/blobs/24f4/11562875/07c38d6b4d2f/cureus-0016-00000071540-i04.jpg
https://cdn.ncbi.nlm.nih.gov/pmc/blobs/24f4/11562875/279ec2e492dd/cureus-0016-00000071540-i05.jpg

相似文献

1
Thoracic Re-irradiation With Definitive External Beam Radiation Therapy Using Intensity Modulated Radiation Therapy: A Case Report.采用调强放射治疗进行胸段再程外照射根治性放疗:病例报告
Cureus. 2024 Oct 15;16(10):e71540. doi: 10.7759/cureus.71540. eCollection 2024 Oct.
2
Potential for reduced toxicity and dose escalation in the treatment of inoperable non-small-cell lung cancer: a comparison of intensity-modulated radiation therapy (IMRT), 3D conformal radiation, and elective nodal irradiation.不可切除的非小细胞肺癌治疗中降低毒性和增加剂量的潜力:调强放射治疗(IMRT)、三维适形放疗和选择性淋巴结照射的比较
Int J Radiat Oncol Biol Phys. 2003 Nov 1;57(3):875-90. doi: 10.1016/s0360-3016(03)00743-0.
3
Predictors of high-grade esophagitis after definitive three-dimensional conformal therapy, intensity-modulated radiation therapy, or proton beam therapy for non-small cell lung cancer.非小细胞肺癌行根治性三维适形放疗、调强放疗或质子束放疗后发生高级别食管炎的预测因素。
Int J Radiat Oncol Biol Phys. 2012 Nov 15;84(4):1010-6. doi: 10.1016/j.ijrobp.2012.01.071. Epub 2012 Aug 21.
4
[Dosimetric comparison between intensity-modulated radiotherapy and conformal radiotherapy for upper thoracic esophageal carcinoma].[胸段上段食管癌调强放疗与适形放疗的剂量学比较]
Ai Zheng. 2009 Nov;28(11):1127-31. doi: 10.5732/cjc.008.10839.
5
Intensity-modulated radiotherapy for soft tissue sarcoma of the thigh.大腿软组织肉瘤的调强放射治疗
Int J Radiat Oncol Biol Phys. 2004 Jul 1;59(3):752-9. doi: 10.1016/j.ijrobp.2003.11.037.
6
Treatment planning with protons for pediatric retinoblastoma, medulloblastoma, and pelvic sarcoma: how do protons compare with other conformal techniques?儿童视网膜母细胞瘤、髓母细胞瘤和盆腔肉瘤的质子治疗计划:质子与其他适形技术相比如何?
Int J Radiat Oncol Biol Phys. 2005 Oct 1;63(2):362-72. doi: 10.1016/j.ijrobp.2005.01.060.
7
Dosimetric comparison of three-dimensional conformal radiation therapy, intensity-modulated radiation therapy, and volumetric-modulated arc therapy for free-breathing whole-breast irradiation: A planning study.三维适形放射治疗、调强放射治疗和容积调强弧形治疗在自由呼吸全乳照射中的剂量学比较:一项计划研究。
Indian J Cancer. 2023 Apr-Jun;60(2):258-265. doi: 10.4103/ijc.ijc_450_21.
8
IMRT and 3D conformal radiotherapy with or without elective nodal irradiation in locally advanced NSCLC: A direct comparison of PET-based treatment planning.局部晚期非小细胞肺癌中调强放疗与三维适形放疗联合或不联合选择性淋巴结照射:基于PET的治疗计划的直接比较
Strahlenther Onkol. 2016 Feb;192(2):75-82. doi: 10.1007/s00066-015-0900-9. Epub 2015 Oct 5.
9
Postoperative intensity modulated radiation therapy in high risk prostate cancer: a dosimetric comparison.高危前列腺癌术后调强放射治疗:剂量学比较
Med Dosim. 2011 Autumn;36(3):231-9. doi: 10.1016/j.meddos.2010.03.009. Epub 2010 Jun 11.
10
Adverse Effects of Radiation Therapy放射治疗的不良反应

本文引用的文献

1
Toxicity of Proton Therapy versus Photon Therapy on Salvage Re-Irradiation for Non-Small Cell Lung Cancer.质子治疗与光子治疗对非小细胞肺癌挽救性再照射的毒性作用
Life (Basel). 2022 Feb 16;12(2):292. doi: 10.3390/life12020292.
2
An International Expert Survey on the Indications and Practice of Radical Thoracic Reirradiation for Non-Small Cell Lung Cancer.一项关于非小细胞肺癌根治性胸部再照射的适应症及实践的国际专家调查。
Adv Radiat Oncol. 2021 Jan 20;6(2):100653. doi: 10.1016/j.adro.2021.100653. eCollection 2021 Mar-Apr.
3
The Effect of Advances in Lung-Cancer Treatment on Population Mortality.
肺癌治疗进展对人群死亡率的影响。
N Engl J Med. 2020 Aug 13;383(7):640-649. doi: 10.1056/NEJMoa1916623.
4
Re-irradiation in the thorax - An analysis of efficacy and safety based on accumulated EQD2 doses.胸部再放疗 - 基于累积 EQD2 剂量的疗效和安全性分析。
Radiother Oncol. 2020 Nov;152:56-62. doi: 10.1016/j.radonc.2020.07.033. Epub 2020 Jul 24.
5
Evaluating the optimal re-irradiation dose for locally recurrent esophageal squamous cell carcinoma after definitive radiotherapy.评估根治性放疗后局部复发性食管鳞癌的最佳再放疗剂量。
Radiat Oncol. 2019 Nov 4;14(1):191. doi: 10.1186/s13014-019-1402-1.
6
The Special Medical Physics Consult Process for Reirradiation Patients.再照射患者的特殊医学物理会诊流程
Adv Radiat Oncol. 2019 Jun 8;4(4):559-565. doi: 10.1016/j.adro.2019.05.007. eCollection 2019 Oct-Dec.
7
Definitive reirradiation for locoregionally recurrent non-small cell lung cancer with proton beam therapy or intensity modulated radiation therapy: predictors of high-grade toxicity and survival outcomes.采用质子束疗法或调强放射疗法对局部复发性非小细胞肺癌进行确定性再放疗:预测重度毒性和生存结果的因素。
Int J Radiat Oncol Biol Phys. 2014 Nov 15;90(4):819-27. doi: 10.1016/j.ijrobp.2014.07.030. Epub 2014 Sep 11.
8
Thoracic re-irradiation using stereotactic body radiotherapy (SBRT) techniques as first or second course of treatment.使用立体定向体部放疗(SBRT)技术进行胸部再照射作为首次或第二次治疗疗程。
Radiother Oncol. 2014 Mar;110(3):505-10. doi: 10.1016/j.radonc.2013.11.017. Epub 2014 Jan 17.
9
Dose-limiting toxicity after hypofractionated dose-escalated radiotherapy in non-small-cell lung cancer.非小细胞肺癌的亚分次剂量递增放疗后的剂量限制毒性。
J Clin Oncol. 2013 Dec 1;31(34):4343-8. doi: 10.1200/JCO.2013.51.5353. Epub 2013 Oct 21.
10
Chest reirradiation with external beam radiotherapy for locally recurrent non-small-cell lung cancer: a review.局部复发性非小细胞肺癌外照射胸部再程放疗:综述
Int J Radiat Oncol Biol Phys. 2011 Jul 15;80(4):969-77. doi: 10.1016/j.ijrobp.2011.01.069. Epub 2011 Apr 12.