• 文献检索
  • 文档翻译
  • 深度研究
  • 学术资讯
  • Suppr Zotero 插件Zotero 插件
  • 邀请有礼
  • 套餐&价格
  • 历史记录
应用&插件
Suppr Zotero 插件Zotero 插件浏览器插件Mac 客户端Windows 客户端微信小程序
定价
高级版会员购买积分包购买API积分包
服务
文献检索文档翻译深度研究API 文档MCP 服务
关于我们
关于 Suppr公司介绍联系我们用户协议隐私条款
关注我们

Suppr 超能文献

核心技术专利:CN118964589B侵权必究
粤ICP备2023148730 号-1Suppr @ 2026

文献检索

告别复杂PubMed语法,用中文像聊天一样搜索,搜遍4000万医学文献。AI智能推荐,让科研检索更轻松。

立即免费搜索

文件翻译

保留排版,准确专业,支持PDF/Word/PPT等文件格式,支持 12+语言互译。

免费翻译文档

深度研究

AI帮你快速写综述,25分钟生成高质量综述,智能提取关键信息,辅助科研写作。

立即免费体验

灰色地带 贝塞斯达III类——甲状腺意义未明的非典型病变:潜在诊断问题及图像形态测量作为细胞形态学的有用辅助手段

Gray zone Bethesda category III - Atypia of undetermined significance lesions of the thyroid: Potential diagnostic issues and image morphometry as a useful adjunct to cytomorphology.

作者信息

Saini Tarunpreet, Kundu Reetu, Rohilla Manish, Gupta Parikshaa, Gupta Nalini, Srinivasan Radhika, Saikia Uma Nahar, Dey Pranab

机构信息

Department of Pathology, Postgraduate Institute of Medical Education and Research, Chandigarh, India.

Department of Cytology and Gynecological Pathology, Postgraduate Institute of Medical Education and Research, Chandigarh, India.

出版信息

Cytojournal. 2024 Oct 17;21:38. doi: 10.25259/Cytojournal_86_2023. eCollection 2024.

DOI:10.25259/Cytojournal_86_2023
PMID:39563672
原文链接:https://pmc.ncbi.nlm.nih.gov/articles/PMC11574686/
Abstract

OBJECTIVE

Atypia of undetermined significance (AUS) is an indeterminate category which presents a significant challenge for pathologists and clinicians. The management options are dependent on the rate of malignancy for a given populace.

MATERIAL AND METHODS

This is a retrospective analysis of 61 cases of the AUS Bethesda category III with grouping into neoplastic and non-neoplastic according to the histopathology data and clinical follow-up. Detailed cytomorphological features were analyzed and image morphometry was done using image J software. Student's -test was used.

RESULTS

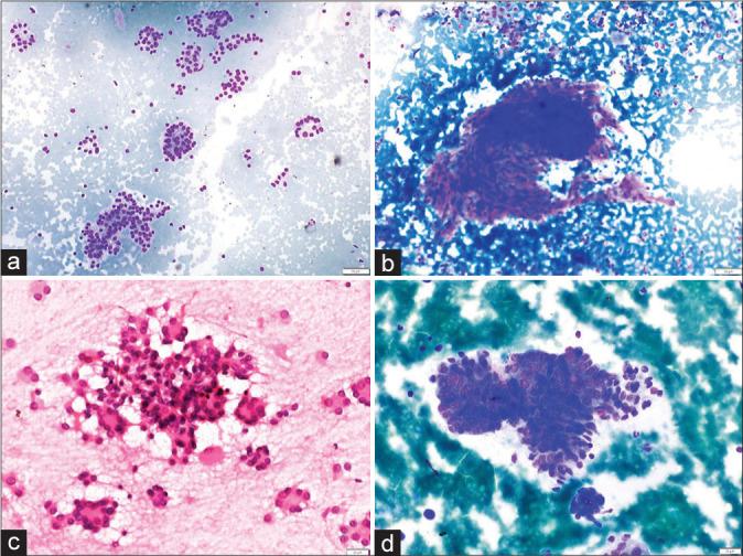
Out of the total 61 cases, 35 were neoplastic cases of AUS (histopathology proven), and 26 were non-neoplastic (on follow-up) cases. The risk of neoplasia and risk of malignancy observed were 57.4% and 47.5%, respectively. Neoplastic cases displayed prominent intranuclear inclusions (54%) and pseudopapillary clusters (20%). Majority of non-neoplastic cases revealed fine chromatin (96%) and pale chromatin (4%) while among neoplastic cases, 14% showed pale chromatin. Neoplastic cases showed moderate to marked nuclear pleomorphism (20%) compared to non-neoplastic cases which were monomorphic to mildly pleomorphic. None of the non-neoplastic cases exhibited frequent nuclear overlapping, nuclear grooving, or nucleoli which emphasizes the need for scrutiny of smears for these features. On image morphometry, cases with malignant outcome had larger nuclear area, perimeter, diameter, and nuclear density which were statistically significant.

CONCLUSION

The study illustrates the importance of identifying subtle cytomorphological features and usefulness of image morphometry as an adjunctive objective tool in AUS cases. This helps in making an accurate cytological diagnosis which guides the treating clinician regarding surgical management or need for clinical follow-up.

摘要

目的

意义不明确的非典型性(AUS)是一个不确定的类别,给病理学家和临床医生带来了重大挑战。管理方案取决于特定人群的恶性肿瘤发生率。

材料与方法

这是一项对61例贝塞斯达III类AUS病例的回顾性分析,根据组织病理学数据和临床随访结果分为肿瘤性和非肿瘤性两组。分析了详细的细胞形态学特征,并使用Image J软件进行图像形态测量。采用学生t检验。

结果

在总共61例病例中,35例为经组织病理学证实的肿瘤性AUS病例,26例为非肿瘤性(随访后)病例。观察到的肿瘤形成风险和恶性肿瘤风险分别为57.4%和47.5%。肿瘤性病例显示出明显的核内包涵体(54%)和假乳头簇(20%)。大多数非肿瘤性病例显示细染色质(96%)和淡染色质(4%),而在肿瘤性病例中,14%显示淡染色质。与非肿瘤性病例(单形性至轻度多形性)相比,肿瘤性病例显示中度至明显的核多形性(20%)。非肿瘤性病例均未表现出频繁的核重叠、核沟或核仁,这强调了对涂片进行这些特征检查的必要性。在图像形态测量中,具有恶性结果的病例具有更大的核面积、周长、直径和核密度,差异具有统计学意义。

结论

该研究说明了识别细微细胞形态学特征的重要性以及图像形态测量作为AUS病例辅助客观工具的实用性。这有助于做出准确的细胞学诊断,为治疗临床医生提供手术管理或临床随访需求的指导。

https://cdn.ncbi.nlm.nih.gov/pmc/blobs/69b5/11574686/2f729875ef07/Cytojournal-21-38-g005.jpg
https://cdn.ncbi.nlm.nih.gov/pmc/blobs/69b5/11574686/9870eb9af775/Cytojournal-21-38-g001.jpg
https://cdn.ncbi.nlm.nih.gov/pmc/blobs/69b5/11574686/ab2bba3b2d92/Cytojournal-21-38-g002.jpg
https://cdn.ncbi.nlm.nih.gov/pmc/blobs/69b5/11574686/de13e2e7ab90/Cytojournal-21-38-g003.jpg
https://cdn.ncbi.nlm.nih.gov/pmc/blobs/69b5/11574686/aed25f3eb7f6/Cytojournal-21-38-g004.jpg
https://cdn.ncbi.nlm.nih.gov/pmc/blobs/69b5/11574686/2f729875ef07/Cytojournal-21-38-g005.jpg
https://cdn.ncbi.nlm.nih.gov/pmc/blobs/69b5/11574686/9870eb9af775/Cytojournal-21-38-g001.jpg
https://cdn.ncbi.nlm.nih.gov/pmc/blobs/69b5/11574686/ab2bba3b2d92/Cytojournal-21-38-g002.jpg
https://cdn.ncbi.nlm.nih.gov/pmc/blobs/69b5/11574686/de13e2e7ab90/Cytojournal-21-38-g003.jpg
https://cdn.ncbi.nlm.nih.gov/pmc/blobs/69b5/11574686/aed25f3eb7f6/Cytojournal-21-38-g004.jpg
https://cdn.ncbi.nlm.nih.gov/pmc/blobs/69b5/11574686/2f729875ef07/Cytojournal-21-38-g005.jpg

相似文献

1
Gray zone Bethesda category III - Atypia of undetermined significance lesions of the thyroid: Potential diagnostic issues and image morphometry as a useful adjunct to cytomorphology.灰色地带 贝塞斯达III类——甲状腺意义未明的非典型病变:潜在诊断问题及图像形态测量作为细胞形态学的有用辅助手段
Cytojournal. 2024 Oct 17;21:38. doi: 10.25259/Cytojournal_86_2023. eCollection 2024.
2
Risk of malignancy according to sub-classification of the atypia of undetermined significance or follicular lesion of undetermined significance (AUS/FLUS) category in the Bethesda system for reporting thyroid cytopathology.根据甲状腺细胞病理学报告的贝塞斯达系统中意义未明的非典型性或意义未明的滤泡性病变(AUS/FLUS)类别的亚分类情况,发生恶性肿瘤的风险。
Cytopathology. 2017 Feb;28(1):65-73. doi: 10.1111/cyt.12352. Epub 2016 Jun 1.
3
Unveiling Variations: A Comprehensive Comparison of Five Globally Used Thyroid Cytology Reporting Systems With Histopathological Correlation.揭示差异:五种全球常用甲状腺细胞病理学报告系统与组织病理学相关性的全面比较
Cureus. 2024 Feb 1;16(2):e53359. doi: 10.7759/cureus.53359. eCollection 2024 Feb.
4
Is Subdivision of Atypia of Undetermined Significance AUS/Follicular Lesion of Undetermined Significance Cases According to Detailed Nuclear Features Vital for Assessing the Risk of Malignancy?根据对评估恶性风险至关重要的详细核特征,对意义未明的非典型性/AUS/意义未明的滤泡性病变病例进行细分是否有必要?
J Cytol. 2020 Oct-Dec;37(4):204-209. doi: 10.4103/JOC.JOC_5_20. Epub 2020 Nov 6.
5
Thyroid cytology-nuclear versus architectural atypia within the "Atypia of undetermined significance/follicular lesion of undetermined significance" Bethesda category have significantly different rates of malignancy.在“意义不明确的非典型性/意义不明确的滤泡性病变”这一贝塞斯达分类中,甲状腺细胞学检查——核非典型性与结构非典型性的恶性率存在显著差异。
Cancer Cytopathol. 2017 Apr;125(4):245-256. doi: 10.1002/cncy.21823. Epub 2017 Feb 13.
6
Two-tier subclassification of the Bethesda category III (atypia of undetermined significance/follicular lesion of undetermined significance) in thyroid cytology.甲状腺细胞学中 Bethesda 分类 III 级(意义不明确的非典型/意义不明确的滤泡性病变)的双层亚分类。
Diagn Cytopathol. 2024 Mar;52(3):156-162. doi: 10.1002/dc.25261. Epub 2023 Dec 14.
7
The risk of malignancy in the atypia of undetermined significance/follicular lesion of undetermined significance (AUS/FLUS) category subgroups: a Thai institute experience.AUS/FLUS 类别亚组中意义不明的非典型性/滤泡性意义不明病变的恶性肿瘤风险:泰国研究所的经验。
J Am Soc Cytopathol. 2024 Jan-Feb;13(1):16-22. doi: 10.1016/j.jasc.2023.09.006. Epub 2023 Sep 23.
8
Subclassification of Bethesda Atypical and Follicular Neoplasm Categories According to Nuclear and Architectural Atypia Improves Discrimination of Thyroid Malignancy Risk.根据核和结构异型性对 Bethesda 不典型和滤泡性肿瘤类别的细分可提高甲状腺恶性风险的鉴别能力。
Thyroid. 2018 Apr;28(4):511-521. doi: 10.1089/thy.2017.0274. Epub 2018 Mar 29.
9
Clinico-cytopathological subcategorization in thyroid nodules of atypia of undetermined significance/follicular lesion of undetermined significance using the TIRADS and Bethesda classifications.应用 TIRADS 和 Bethesda 分类对甲状腺不典型意义结节/滤泡性病变不明意义的良恶性进行临床-细胞病理亚分类。
Front Endocrinol (Lausanne). 2023 May 29;14:1135196. doi: 10.3389/fendo.2023.1135196. eCollection 2023.
10
Thyroid "atypia of undetermined significance" with nuclear atypia has high rates of malignancy and BRAF mutation.伴有核异型性的甲状腺“意义未明的非典型性病变”具有较高的恶性率和BRAF突变率。
Cancer Cytopathol. 2014 Jul;122(7):512-20. doi: 10.1002/cncy.21411. Epub 2014 Mar 11.

本文引用的文献

1
The 2023 Bethesda System for reporting thyroid cytopathology.2023年甲状腺细胞病理学报告的贝塞斯达系统。
J Am Soc Cytopathol. 2023 Sep-Oct;12(5):319-325. doi: 10.1016/j.jasc.2023.05.005. Epub 2023 Jul 10.
2
The 2023 Bethesda System for Reporting Thyroid Cytopathology.2023 年甲状腺细胞病理学报告的贝塞斯达系统。
Thyroid. 2023 Sep;33(9):1039-1044. doi: 10.1089/thy.2023.0141. Epub 2023 Jul 8.
3
Overview of the 2022 WHO Classification of Thyroid Neoplasms.2022 年世卫组织甲状腺肿瘤分类概述。
Endocr Pathol. 2022 Mar;33(1):27-63. doi: 10.1007/s12022-022-09707-3. Epub 2022 Mar 14.
4
Cytological Sub-Classification of Atypia of Undetermined Significance May Predict Malignancy Risk in Thyroid Nodules.细胞学不典型意义不明者的亚分类可预测甲状腺结节的恶性风险。
Acta Cytol. 2021;65(3):205-212. doi: 10.1159/000513066. Epub 2021 Feb 1.
5
Malignancy rates for Bethesda III and IV thyroid nodules: a retrospective study of the correlation between fine-needle aspiration cytology and histopathology.Bethesda III 和 IV 甲状腺结节的恶性率:细针穿刺细胞学与组织病理学相关性的回顾性研究。
BMC Endocr Disord. 2020 Apr 15;20(1):48. doi: 10.1186/s12902-020-0530-9.
6
Approach to cytological indeterminate thyroid nodules.甲状腺结节细胞学检查结果不明确的处理方法。
Gland Surg. 2019 Aug;8(Suppl 2):S98-S104. doi: 10.21037/gs.2018.12.06.
7
Systematic Review and Meta-analysis of the Impact of Noninvasive Follicular Thyroid Neoplasm with Papillary-Like Nuclear Features (NIFTP) on Cytological Diagnosis and Thyroid Cancer Prevalence.非侵袭性滤泡型甲状腺肿瘤伴乳头状核特征(NIFTP)对细胞学诊断和甲状腺癌患病率影响的系统评价和荟萃分析。
Endocr Pathol. 2019 Sep;30(3):189-200. doi: 10.1007/s12022-019-09583-4.
8
Morphometric Analysis of Thyroid Follicular Cells with Atypia of Undetermined Significance.意义未明的非典型甲状腺滤泡细胞的形态计量分析
J Pathol Transl Med. 2016 Jul;50(4):287-93. doi: 10.4132/jptm.2016.04.04. Epub 2016 Jun 13.
9
Risk of malignancy according to sub-classification of the atypia of undetermined significance or follicular lesion of undetermined significance (AUS/FLUS) category in the Bethesda system for reporting thyroid cytopathology.根据甲状腺细胞病理学报告的贝塞斯达系统中意义未明的非典型性或意义未明的滤泡性病变(AUS/FLUS)类别的亚分类情况,发生恶性肿瘤的风险。
Cytopathology. 2017 Feb;28(1):65-73. doi: 10.1111/cyt.12352. Epub 2016 Jun 1.
10
Cytologic subclassification of atypia of undetermined significance may predict thyroid nodules more likely to be malignant at surgery.意义未明的非典型细胞学分型可能预测甲状腺结节在手术时更有可能为恶性。
Diagn Cytopathol. 2016 Jun;44(6):492-8. doi: 10.1002/dc.23472. Epub 2016 Mar 30.