Kawabata Takafumi, Tobino Kazunori
Respiratory Medicine, Iizuka Hospital, Iizuka, JPN.
Cureus. 2024 Oct 20;16(10):e71904. doi: 10.7759/cureus.71904. eCollection 2024 Oct.
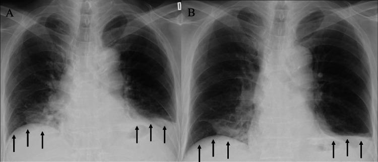
Bilateral diaphragmatic nerve paralysis due to cervical spondylosis is an extremely rare condition with only one previously reported case. We present a 64-year-old Japanese male with a history of left diaphragmatic nerve paralysis who developed sudden nocturnal dyspnea. Physical examination revealed orthopnea and type 2 respiratory failure. Imaging studies showed bilateral diaphragmatic elevations and cervical spine stenosis at C3/C4 and C4/C5 levels. Pulmonary function tests demonstrated a significant reduction in vital capacity, particularly in the supine position. After excluding other potential causes, the diagnosis of bilateral diaphragmatic nerve paralysis secondary to cervical spondylosis was established. The patient was successfully treated with noninvasive positive pressure ventilation (NPPV) and showed gradual improvement in symptoms and diaphragmatic function over three years of follow-up. This case highlights the importance of considering cervical spondylosis as a potential etiology for bilateral diaphragmatic nerve paralysis and demonstrates the effectiveness of NPPV in managing this rare condition. Regular monitoring and long-term follow-up are crucial for optimal management of these patients.
颈椎病导致的双侧膈神经麻痹是一种极为罕见的病症,此前仅有一例报告病例。我们报告一名64岁的日本男性,有左侧膈神经麻痹病史,出现突发性夜间呼吸困难。体格检查发现端坐呼吸和Ⅱ型呼吸衰竭。影像学检查显示双侧膈肌抬高,颈椎在C3/C4和C4/C5水平存在狭窄。肺功能测试表明肺活量显著降低,尤其是在仰卧位时。排除其他潜在病因后,确诊为颈椎病继发双侧膈神经麻痹。该患者通过无创正压通气(NPPV)成功治疗,在三年随访期间症状和膈肌功能逐渐改善。本病例强调了将颈椎病视为双侧膈神经麻痹潜在病因的重要性,并证明了NPPV在管理这种罕见病症方面的有效性。定期监测和长期随访对于这些患者的最佳管理至关重要。