• 文献检索
  • 文档翻译
  • 深度研究
  • 学术资讯
  • Suppr Zotero 插件Zotero 插件
  • 邀请有礼
  • 套餐&价格
  • 历史记录
应用&插件
Suppr Zotero 插件Zotero 插件浏览器插件Mac 客户端Windows 客户端微信小程序
定价
高级版会员购买积分包购买API积分包
服务
文献检索文档翻译深度研究API 文档MCP 服务
关于我们
关于 Suppr公司介绍联系我们用户协议隐私条款
关注我们

Suppr 超能文献

核心技术专利:CN118964589B侵权必究
粤ICP备2023148730 号-1Suppr @ 2026

文献检索

告别复杂PubMed语法,用中文像聊天一样搜索,搜遍4000万医学文献。AI智能推荐,让科研检索更轻松。

立即免费搜索

文件翻译

保留排版,准确专业,支持PDF/Word/PPT等文件格式,支持 12+语言互译。

免费翻译文档

深度研究

AI帮你快速写综述,25分钟生成高质量综述,智能提取关键信息,辅助科研写作。

立即免费体验

多西环素诱导的中毒性表皮坏死松解症:一例报告及文献综述

Toxic Epidermal Necrolysis Induced by Doxycycline: A Case Report and Literature Review.

作者信息

Sandakly Nicolas, El Koubayati Georgio, Issa Lea, Abdallah Rim M, Nasser Selim, Haddad Fady

机构信息

Department of Internal Medicine, Lebanese University Faculty of Medicine, Beirut, LBN.

Department of Internal Medicine and Clinical Immunology, Lebanese University Faculty of Medicine, Beirut, LBN.

出版信息

Cureus. 2024 Oct 22;16(10):e72098. doi: 10.7759/cureus.72098. eCollection 2024 Oct.

DOI:10.7759/cureus.72098
PMID:39574993
原文链接:https://pmc.ncbi.nlm.nih.gov/articles/PMC11581461/
Abstract

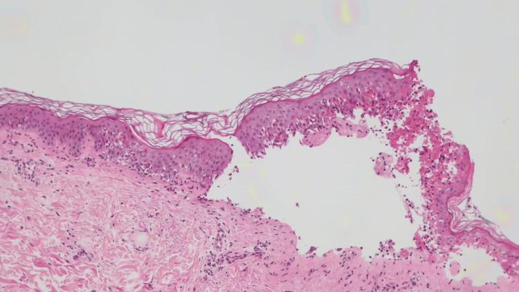
Lyell syndrome, also known as toxic epidermal necrolysis (TEN), is a rare but life-threatening skin condition, often triggered by certain medications. Antiepileptics, allopurinol, and some nonsteroidal anti-inflammatory drugs are the most common causes. Some antibiotics are also common culprits, although tetracyclines are rarely linked to this condition. We hereby report a case of TEN induced by doxycycline in an 18-year-old girl who was taking the drug for the treatment of acne.

摘要

莱尔综合征,又称中毒性表皮坏死松解症(TEN),是一种罕见但危及生命的皮肤病,通常由某些药物引发。抗癫痫药、别嘌醇和一些非甾体抗炎药是最常见的病因。一些抗生素也是常见的罪魁祸首,尽管四环素很少与这种疾病相关。我们在此报告一例18岁女孩因服用强力霉素治疗痤疮而诱发中毒性表皮坏死松解症的病例。

https://cdn.ncbi.nlm.nih.gov/pmc/blobs/70bd/11581461/a9e444381bc7/cureus-0016-00000072098-i06.jpg
https://cdn.ncbi.nlm.nih.gov/pmc/blobs/70bd/11581461/3007f004d6df/cureus-0016-00000072098-i01.jpg
https://cdn.ncbi.nlm.nih.gov/pmc/blobs/70bd/11581461/b1fa4d144996/cureus-0016-00000072098-i02.jpg
https://cdn.ncbi.nlm.nih.gov/pmc/blobs/70bd/11581461/0bd4c8c0d30d/cureus-0016-00000072098-i03.jpg
https://cdn.ncbi.nlm.nih.gov/pmc/blobs/70bd/11581461/ab6b9ef44270/cureus-0016-00000072098-i04.jpg
https://cdn.ncbi.nlm.nih.gov/pmc/blobs/70bd/11581461/427709beba50/cureus-0016-00000072098-i05.jpg
https://cdn.ncbi.nlm.nih.gov/pmc/blobs/70bd/11581461/a9e444381bc7/cureus-0016-00000072098-i06.jpg
https://cdn.ncbi.nlm.nih.gov/pmc/blobs/70bd/11581461/3007f004d6df/cureus-0016-00000072098-i01.jpg
https://cdn.ncbi.nlm.nih.gov/pmc/blobs/70bd/11581461/b1fa4d144996/cureus-0016-00000072098-i02.jpg
https://cdn.ncbi.nlm.nih.gov/pmc/blobs/70bd/11581461/0bd4c8c0d30d/cureus-0016-00000072098-i03.jpg
https://cdn.ncbi.nlm.nih.gov/pmc/blobs/70bd/11581461/ab6b9ef44270/cureus-0016-00000072098-i04.jpg
https://cdn.ncbi.nlm.nih.gov/pmc/blobs/70bd/11581461/427709beba50/cureus-0016-00000072098-i05.jpg
https://cdn.ncbi.nlm.nih.gov/pmc/blobs/70bd/11581461/a9e444381bc7/cureus-0016-00000072098-i06.jpg

相似文献

1
Toxic Epidermal Necrolysis Induced by Doxycycline: A Case Report and Literature Review.多西环素诱导的中毒性表皮坏死松解症:一例报告及文献综述
Cureus. 2024 Oct 22;16(10):e72098. doi: 10.7759/cureus.72098. eCollection 2024 Oct.
2
Severe Cutaneous Reaction Induced by Clindamycin: A Case Report of Toxic Epidermal Necrolysis.克林霉素引起的严重皮肤反应:中毒性表皮坏死松解症1例报告
Cureus. 2024 Sep 24;16(9):e70098. doi: 10.7759/cureus.70098. eCollection 2024 Sep.
3
Toxic epidermal necrolysis induced by lamotrigine treatment in a child.拉莫三嗪治疗引起儿童中毒性表皮坏死松解症。
Korean J Pediatr. 2014 Mar;57(3):153-6. doi: 10.3345/kjp.2014.57.3.153. Epub 2014 Mar 31.
4
Stevens-Johnson syndrome induced by doxycycline.多西环素诱发的史蒂文斯-约翰逊综合征。
Cutis. 2007 Feb;79(2):119-22.
5
Usefulness of case report literature in determining drugs responsible for toxic epidermal necrolysis.病例报告文献在确定导致中毒性表皮坏死松解症的药物方面的作用。
J Am Acad Dermatol. 1989 Aug;21(2 Pt 1):317-22. doi: 10.1016/s0190-9622(89)70176-6.
6
Allopurinol-Induced Uncommon Dermatological Emergency of Toxic Epidermal Necrolysis (TEN).别嘌醇诱发的罕见皮肤急症——中毒性表皮坏死松解症(TEN)
Cureus. 2023 Sep 6;15(9):e44812. doi: 10.7759/cureus.44812. eCollection 2023 Sep.
7
[Drug-induced toxic epidermal necrolysis with secondary aspergillus fumigatus infection: a case report].[药物性中毒性表皮坏死松解症继发烟曲霉感染:一例报告]
Beijing Da Xue Xue Bao Yi Xue Ban. 2019 Oct 18;51(5):977-980. doi: 10.19723/j.issn.1671-167X.2019.05.032.
8
Phenytoin-Associated Stevens-Johnson Syndrome and Toxic Epidermal Necrolysis Overlap in Focus: A Case Report.苯妥英钠相关的史蒂文斯-约翰逊综合征与中毒性表皮坏死松解症重叠聚焦:一例报告
Cureus. 2023 Sep 27;15(9):e46075. doi: 10.7759/cureus.46075. eCollection 2023 Sep.
9
Cephradine-Induced Toxic Epidermal Necrolysis: A Case Report of Treatment With Etanercept.头孢拉定诱发的中毒性表皮坏死松解症:一例用依那西普治疗的病例报告
Cureus. 2022 Dec 18;14(12):e32657. doi: 10.7759/cureus.32657. eCollection 2022 Dec.
10
Pristinamycin-induced toxic epidermal necrolysis: A case report.卷曲霉素诱导的中毒性表皮坏死松解症:一例报告。
Br J Clin Pharmacol. 2024 Aug;90(8):1869-1872. doi: 10.1111/bcp.15600. Epub 2022 Nov 30.

本文引用的文献

1
Accuracy of SCORTEN in predicting mortality in toxic epidermal necrolysis.SCORTEN 在预测中毒性表皮坏死松解症死亡率中的准确性。
BMC Med Inform Decis Mak. 2022 Oct 19;22(1):273. doi: 10.1186/s12911-022-02013-2.
2
Toxic epidermal necrolysis induced by doxycycline.多西环素诱导的中毒性表皮坏死松解症。
Int J Dermatol. 2021 Oct;60(10):e398-e400. doi: 10.1111/ijd.15470. Epub 2021 Mar 1.
3
Systemic therapies for Stevens-Johnson Syndrome and Toxic Epidermal Necrolysis: a SCORTEN-based systematic review and meta-analysis.史蒂文斯-约翰逊综合征和中毒性表皮坏死松解症的全身治疗:基于SCORTEN的系统评价和荟萃分析。
J Eur Acad Dermatol Venereol. 2021 Jan;35(1):159-171. doi: 10.1111/jdv.16685. Epub 2020 Jul 23.
4
Toxic epidermal necrolysis syndrome induced by tigecycline: a case report.替加环素引起的中毒性表皮坏死松解症:一例报告。
J Int Med Res. 2020 May;48(5):300060520922416. doi: 10.1177/0300060520922416.
5
Tetracycline Re-exposure-Induced Toxic Epidermal Necrolysis.四环素再次暴露诱发中毒性表皮坏死松解症。
Am J Ther. 2019 Nov/Dec;26(6):e745-e747. doi: 10.1097/MJT.0000000000000904.
6
How Does SCORTEN Score?SCORTEN评分是如何计算的?
J Burn Care Res. 2018 Jun 13;39(4):555-561. doi: 10.1093/jbcr/irx016.
7
Hereditary angioedema caused by the p.Thr309Lys mutation in the F12 gene: a multifactorial disease.由F12基因中p.Thr309Lys突变引起的遗传性血管性水肿:一种多因素疾病。
J Allergy Clin Immunol. 2013 Oct;132(4):986-9.e1-5. doi: 10.1016/j.jaci.2013.04.032. Epub 2013 Jul 10.
8
The current understanding of Stevens-Johnson syndrome and toxic epidermal necrolysis.史蒂文斯-约翰逊综合征和中毒性表皮坏死松解症的现有认识。
Expert Rev Clin Immunol. 2011 Nov;7(6):803-13; quiz 814-5. doi: 10.1586/eci.11.66.
9
A case report of doxycycline-induced Stevens-Johnson syndrome.多西环素诱导的 Stevens-Johnson 综合征病例报告。
Cornea. 2011 May;30(5):595-7. doi: 10.1097/ICO.0b013e3181f05773.
10
Disseminated Strongyloides stercoralis infection with a cutaneous presentation in an immunosuppressed patient.一名免疫抑制患者出现皮肤表现的播散性粪类圆线虫感染。
Eur J Dermatol. 2009 Jul-Aug;19(4):404-5. doi: 10.1684/ejd.2009.0701. Epub 2009 May 25.