• 文献检索
  • 文档翻译
  • 深度研究
  • 学术资讯
  • Suppr Zotero 插件Zotero 插件
  • 邀请有礼
  • 套餐&价格
  • 历史记录
应用&插件
Suppr Zotero 插件Zotero 插件浏览器插件Mac 客户端Windows 客户端微信小程序
定价
高级版会员购买积分包购买API积分包
服务
文献检索文档翻译深度研究API 文档MCP 服务
关于我们
关于 Suppr公司介绍联系我们用户协议隐私条款
关注我们

Suppr 超能文献

核心技术专利:CN118964589B侵权必究
粤ICP备2023148730 号-1Suppr @ 2026

文献检索

告别复杂PubMed语法,用中文像聊天一样搜索,搜遍4000万医学文献。AI智能推荐,让科研检索更轻松。

立即免费搜索

文件翻译

保留排版,准确专业,支持PDF/Word/PPT等文件格式,支持 12+语言互译。

免费翻译文档

深度研究

AI帮你快速写综述,25分钟生成高质量综述,智能提取关键信息,辅助科研写作。

立即免费体验

嗜铬细胞瘤合并原发性醛固酮增多症的临床比较与基因分析

Clinical comparison and genetic analysis in pheochromocytoma with primary aldosteronism.

作者信息

Mai Xurong, Kometani Mitsuhiro, Kato Toshiaki, Aiga Ko, Karashima Shigehiro, Aono Daisuke, Konishi Seigo, Nishimoto Koshiro, Hosomichi Kazuyoshi, Watanabe Atsushi, Noda Yuko, Takeda Yoshiyu, Yoneda Takashi

机构信息

Department of Health Promotion and Medicine of the Future, Kanazawa University Graduate School of Medicine, Ishikawa 920-8641, Japan.

Department of Uro-Oncology, International Medical Center Saitama Medical University, Saitama 350-1298, Japan.

出版信息

Endocr J. 2025 Feb 3;72(2):193-203. doi: 10.1507/endocrj.EJ24-0150. Epub 2024 Nov 26.

DOI:10.1507/endocrj.EJ24-0150
PMID:39603607
原文链接:https://pmc.ncbi.nlm.nih.gov/articles/PMC11850107/
Abstract

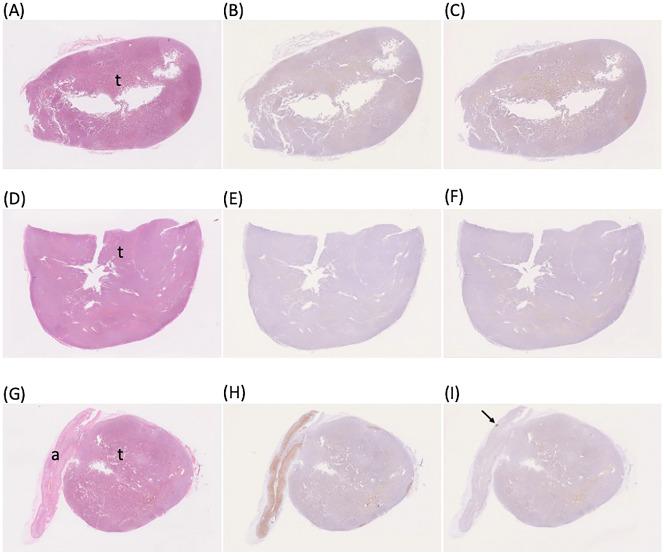
Pheochromocytoma is a rare form of adrenal hypertension. This study aimed to investigate the clinical characteristics and associated genetic mutations in patients with pheochromocytoma and primary aldosteronism. We retrospectively analyzed data from 23 patients with pheochromocytoma diagnosed and treated between 2011 and 2022. Three cases were complicated by primary aldosteronism. Compared to 15 other patients without primary aldosteronism complications, these three patients had a greater suppression of plasma renin activity (0.2 vs. 2.3 ng/mL/h, p < 0.01) and a higher aldosterone-to-renin ratio (p < 0.01). No significant differences were found in blood pressure, serum potassium levels, or plasma aldosterone concentrations between the two groups. In genetic analysis, among the three patients with pheochromocytoma and primary aldosteronism, two had a KCNJ5 (G151R) mutation in the pheochromocytoma tumor tissues. However, no CYP11B2- or CYP11B1-positive cells were detected via immunostaining in the pheochromocytoma tissues of these three patients. To our knowledge, this is the first study to reveal the presence of the KCNJ5 mutation, commonly considered specific to primary aldosteronism, in pheochromocytoma cases clinically complicated by primary aldosteronism. The findings suggest that patients with pheochromocytoma and suppressed plasma renin activity should be assessed for primary aldosteronism.

摘要

嗜铬细胞瘤是肾上腺性高血压的一种罕见形式。本研究旨在调查嗜铬细胞瘤和原发性醛固酮增多症患者的临床特征及相关基因突变。我们回顾性分析了2011年至2022年间确诊并接受治疗的23例嗜铬细胞瘤患者的数据。其中3例合并原发性醛固酮增多症。与另外15例无原发性醛固酮增多症并发症的患者相比,这3例患者的血浆肾素活性抑制程度更高(0.2 vs. 2.3 ng/mL/h,p < 0.01),醛固酮/肾素比值更高(p < 0.01)。两组在血压、血清钾水平或血浆醛固酮浓度方面未发现显著差异。在基因分析中,在这3例嗜铬细胞瘤合并原发性醛固酮增多症的患者中,有2例在嗜铬细胞瘤肿瘤组织中存在KCNJ5(G151R)突变。然而,通过免疫染色在这3例患者的嗜铬细胞瘤组织中未检测到CYP11B2或CYP11B1阳性细胞。据我们所知,这是第一项揭示在临床上合并原发性醛固酮增多症的嗜铬细胞瘤病例中存在通常被认为是原发性醛固酮增多症特有的KCNJ5突变的研究。研究结果表明,对于血浆肾素活性受抑制的嗜铬细胞瘤患者,应评估其是否患有原发性醛固酮增多症。

https://cdn.ncbi.nlm.nih.gov/pmc/blobs/0379/11850107/b4f5b4eca3d0/72_EJ24-0150_GA.jpg
https://cdn.ncbi.nlm.nih.gov/pmc/blobs/0379/11850107/4f4615d76c42/72_EJ24-0150_1.jpg
https://cdn.ncbi.nlm.nih.gov/pmc/blobs/0379/11850107/5e3b9bd3c2fc/72_EJ24-0150_2.jpg
https://cdn.ncbi.nlm.nih.gov/pmc/blobs/0379/11850107/8854dc9005f8/72_EJ24-0150_3.jpg
https://cdn.ncbi.nlm.nih.gov/pmc/blobs/0379/11850107/b4f5b4eca3d0/72_EJ24-0150_GA.jpg
https://cdn.ncbi.nlm.nih.gov/pmc/blobs/0379/11850107/4f4615d76c42/72_EJ24-0150_1.jpg
https://cdn.ncbi.nlm.nih.gov/pmc/blobs/0379/11850107/5e3b9bd3c2fc/72_EJ24-0150_2.jpg
https://cdn.ncbi.nlm.nih.gov/pmc/blobs/0379/11850107/8854dc9005f8/72_EJ24-0150_3.jpg
https://cdn.ncbi.nlm.nih.gov/pmc/blobs/0379/11850107/b4f5b4eca3d0/72_EJ24-0150_GA.jpg

相似文献

1
Clinical comparison and genetic analysis in pheochromocytoma with primary aldosteronism.嗜铬细胞瘤合并原发性醛固酮增多症的临床比较与基因分析
Endocr J. 2025 Feb 3;72(2):193-203. doi: 10.1507/endocrj.EJ24-0150. Epub 2024 Nov 26.
2
Prevalence, clinical, and molecular correlates of KCNJ5 mutations in primary aldosteronism.原发性醛固酮增多症中 KCNJ5 突变的流行率、临床和分子相关性。
Hypertension. 2012 Mar;59(3):592-8. doi: 10.1161/HYPERTENSIONAHA.111.186478. Epub 2012 Jan 23.
3
[The application of captopril challenge test in the diagnosis of primary aldosteronism].[卡托普利激发试验在原发性醛固酮增多症诊断中的应用]
Zhonghua Nei Ke Za Zhi. 2017 Jun 1;56(6):402-408. doi: 10.3760/cma.j.issn.0578-1426.2017.06.004.
4
Role for germline mutations and a rare coding single nucleotide polymorphism within the KCNJ5 potassium channel in a large cohort of sporadic cases of primary aldosteronism.在原发性醛固酮增多症的大样本散发病例中,种系突变和罕见编码单核苷酸多态性在 KCNJ5 钾通道中的作用。
Hypertension. 2014 Apr;63(4):783-9. doi: 10.1161/HYPERTENSIONAHA.113.02234. Epub 2014 Jan 13.
5
Stress-induced Aldosterone Hyper-Secretion in a Substantial Subset of Patients With Essential Hypertension.原发性高血压患者相当一部分亚组中存在应激诱导的醛固酮分泌过多
J Clin Endocrinol Metab. 2015 Aug;100(8):2857-64. doi: 10.1210/jc.2015-1268. Epub 2015 May 14.
6
Adrenal causes of hypertension: pheochromocytoma and primary aldosteronism.高血压的肾上腺病因:嗜铬细胞瘤和原发性醛固酮增多症。
Rev Endocr Metab Disord. 2007 Dec;8(4):309-20. doi: 10.1007/s11154-007-9055-z.
7
Primary Aldosteronism: KCNJ5 Mutations and Adrenocortical Cell Growth.原醛症:KCNJ5 突变与肾上腺皮质细胞生长。
Hypertension. 2019 Oct;74(4):809-816. doi: 10.1161/HYPERTENSIONAHA.119.13476. Epub 2019 Aug 26.
8
Prevalence of KCNJ5 mutations in aldosterone-producing adenomas among Malaysian primary aldosteronism patients: Genotype-phenotype correlation.马来西亚原发性醛固酮增多症患者醛固酮瘤中KCNJ5突变的患病率:基因型-表型相关性
Malays J Pathol. 2025 Apr;47(1):63-76.
9
Double CYP11B1/CYP11B2 Immunohistochemistry and Detection of KCNJ5 Mutations in Primary Aldosteronism.原发性醛固酮增多症中 CYP11B1/CYP11B2 双重免疫组化和 KCNJ5 突变检测。
J Clin Endocrinol Metab. 2024 Sep 16;109(10):2433-2443. doi: 10.1210/clinem/dgae411.
10
Macrolides for KCNJ5-mutated aldosterone-producing adenoma (MAPA): design of a study for personalized diagnosis of primary aldosteronism.用于KCNJ5突变型醛固酮瘤(MAPA)的大环内酯类药物:一项原发性醛固酮增多症个性化诊断研究的设计
Blood Press. 2018 Aug;27(4):200-205. doi: 10.1080/08037051.2018.1436961. Epub 2018 Feb 6.

本文引用的文献

1
Coexistence of Pheochromocytoma and Primary Aldosteronism due to Multiple Aldosterone-producing Micronodules in the Ipsilateral Adrenal Gland.同侧肾上腺内多个醛固酮分泌微腺瘤导致嗜铬细胞瘤和原发性醛固酮增多症共存。
Intern Med. 2023 Sep 15;62(18):2685-2691. doi: 10.2169/internalmedicine.1012-22. Epub 2023 Feb 1.
2
Systematic Review: Incidence of Pheochromocytoma and Paraganglioma Over 70 Years.系统评价:70年间嗜铬细胞瘤和副神经节瘤的发病率
J Endocr Soc. 2022 Jul 3;6(9):bvac105. doi: 10.1210/jendso/bvac105. eCollection 2022 Sep 1.
3
Histopathology and Genetic Causes of Primary Aldosteronism in Young Adults.
青年原发性醛固酮增多症的组织病理学和遗传学病因。
J Clin Endocrinol Metab. 2022 Aug 18;107(9):2473-2482. doi: 10.1210/clinem/dgac408.
4
Genetics of Primary Aldosteronism.原发性醛固酮增多症的遗传学。
Hypertension. 2022 May;79(5):887-897. doi: 10.1161/HYPERTENSIONAHA.121.16498. Epub 2022 Feb 10.
5
Concomitant Pheochromocytoma and Primary Aldosteronism: A Case Series and Literature Review.嗜铬细胞瘤与原发性醛固酮增多症并存:病例系列及文献综述
J Endocr Soc. 2021 Jun 16;5(8):bvab107. doi: 10.1210/jendso/bvab107. eCollection 2021 Aug 1.
6
Molecular Genetic and Genomic Alterations in Cushing's Syndrome and Primary Aldosteronism.库欣综合征和原发性醛固酮增多症的分子遗传和基因组改变。
Front Endocrinol (Lausanne). 2021 Mar 12;12:632543. doi: 10.3389/fendo.2021.632543. eCollection 2021.
7
Patients with pheochromocytoma exhibit low aldosterone renin ratio-preliminary reports.患有嗜铬细胞瘤的患者表现出低醛固酮肾素比值——初步报告。
BMC Endocr Disord. 2020 Sep 11;20(1):140. doi: 10.1186/s12902-020-00620-6.
8
Evolution of the Primary Aldosteronism Syndrome: Updating the Approach.原发性醛固酮增多症综合征的演变:更新方法。
J Clin Endocrinol Metab. 2020 Dec 1;105(12):3771-83. doi: 10.1210/clinem/dgaa606.
9
Genetic, Cellular, and Molecular Heterogeneity in Adrenals With Aldosterone-Producing Adenoma.醛固酮瘤肾上腺组织中的遗传、细胞和分子异质性。
Hypertension. 2020 Apr;75(4):1034-1044. doi: 10.1161/HYPERTENSIONAHA.119.14177. Epub 2020 Mar 2.
10
The Japanese Society of Hypertension Guidelines for the Management of Hypertension (JSH 2019).日本高血压学会高血压管理指南(JSH 2019)。
Hypertens Res. 2019 Sep;42(9):1235-1481. doi: 10.1038/s41440-019-0284-9.