• 文献检索
  • 文档翻译
  • 深度研究
  • 学术资讯
  • Suppr Zotero 插件Zotero 插件
  • 邀请有礼
  • 套餐&价格
  • 历史记录
应用&插件
Suppr Zotero 插件Zotero 插件浏览器插件Mac 客户端Windows 客户端微信小程序
定价
高级版会员购买积分包购买API积分包
服务
文献检索文档翻译深度研究API 文档MCP 服务
关于我们
关于 Suppr公司介绍联系我们用户协议隐私条款
关注我们

Suppr 超能文献

核心技术专利:CN118964589B侵权必究
粤ICP备2023148730 号-1Suppr @ 2026

文献检索

告别复杂PubMed语法,用中文像聊天一样搜索,搜遍4000万医学文献。AI智能推荐,让科研检索更轻松。

立即免费搜索

文件翻译

保留排版,准确专业,支持PDF/Word/PPT等文件格式,支持 12+语言互译。

免费翻译文档

深度研究

AI帮你快速写综述,25分钟生成高质量综述,智能提取关键信息,辅助科研写作。

立即免费体验

继发神经管闭合停止中残留脊髓的影像学特征:一项观察性研究。

Image characteristics of retained medullary cord in secondary neurulation arrest: an observational study.

机构信息

Department of Radiology, Seoul National University Hospital, 101 Daehak-ro, Jongno-gu, Seoul, 03080, Republic of Korea.

Department of Radiology, Seoul National University College of Medicine, 103 Daehak-ro, Jongno-gu, Seoul, 03080, Republic of Korea.

出版信息

Sci Rep. 2024 Nov 27;14(1):29447. doi: 10.1038/s41598-024-81152-0.

DOI:10.1038/s41598-024-81152-0
PMID:39604489
原文链接:https://pmc.ncbi.nlm.nih.gov/articles/PMC11603296/
Abstract

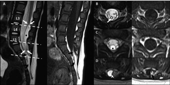
Retained medullary cord (RMC) is a recently defined term denoting closed spinal dysraphism arising from the failure of regression in secondary neurulation. Despite the acknowledgment of this condition, there needs to be more literature elucidating the radiologic manifestations of RMC. This study aimed to describe the MR imaging findings of RMC. A retrospective analysis was conducted on spinal MRI scans of pediatric patients with surgically confirmed RMC, from January 2014 to August 2023. The investigation focused on evaluating the following image characteristics: level and morphology of the cord-like structure (C-LS), the signal intensity in the far distal C-LS, nerve root-like structures originating from the C-LS, intradural fatty lesions, and arachnoid cysts. This study included 38 patients (19 girls, mean age 7.3 months) who showed a low-lying cord in all cases. The morphology of C-LS was either smooth tapered (50%) or hourglass with fusiform cystic dilatation (50%). The C-LS exhibited aberrant T2 hypointense signal compared to the juxta-proximal level. T2 hypointense signal vestigial nerves emanating from the C-LS and intradural fatty masses were observed (89.5%). Sacral arachnoid cysts in extradural location were identified in eight patients. The characteristic MR features of RMC revealed an extremely low-lying distal C-LS with smooth tapering or hourglass-shaped cystic dilatation of the caudal part, accompanied by an intradural fatty stalk and the aberrant signal vestigial nerve. This study suggests those radiologic findings can be RMC instead of the previously called terminal syrinx with low-lying conus.

摘要

脊髓残留(RMC)是一个最近定义的术语,用于表示源自二次神经发生中退化失败的闭合性脊髓脊膜裂。尽管已经认识到这种情况,但需要更多的文献来阐明 RMC 的放射学表现。本研究旨在描述 RMC 的磁共振成像(MRI)表现。对 2014 年 1 月至 2023 年 8 月期间经手术证实为 RMC 的儿科患者的脊髓 MRI 扫描进行了回顾性分析。研究重点评估了以下图像特征:索状结构(C-LS)的水平和形态、远段 C-LS 的信号强度、起源于 C-LS 的神经根样结构、硬脊膜内脂肪病变和蛛网膜囊肿。本研究纳入了 38 例患者(19 名女孩,平均年龄 7.3 个月),所有患者均显示低位脊髓。C-LS 的形态要么是平滑锥形(50%),要么是沙漏形伴梭形囊性扩张(50%)。C-LS 的 T2 低信号强度与近段相比异常。观察到源自 C-LS 的 T2 低信号强度的遗迹神经和硬脊膜内脂肪肿块(89.5%)。8 例患者在硬膜外部位发现骶部蛛网膜囊肿。RMC 的特征性 MRI 特征显示极低位置的远端 C-LS,其尾部呈平滑锥形或沙漏形囊性扩张,伴有硬脊膜内脂肪干和异常信号遗迹神经。本研究表明,这些放射学发现可能是 RMC,而不是以前称为低位圆锥的终末脊髓空洞症。

https://cdn.ncbi.nlm.nih.gov/pmc/blobs/08fd/11603296/a43cadf3372d/41598_2024_81152_Fig4_HTML.jpg
https://cdn.ncbi.nlm.nih.gov/pmc/blobs/08fd/11603296/2a84c9e56941/41598_2024_81152_Fig1_HTML.jpg
https://cdn.ncbi.nlm.nih.gov/pmc/blobs/08fd/11603296/fe7f1f536c49/41598_2024_81152_Fig2_HTML.jpg
https://cdn.ncbi.nlm.nih.gov/pmc/blobs/08fd/11603296/f35642142cdf/41598_2024_81152_Fig3_HTML.jpg
https://cdn.ncbi.nlm.nih.gov/pmc/blobs/08fd/11603296/a43cadf3372d/41598_2024_81152_Fig4_HTML.jpg
https://cdn.ncbi.nlm.nih.gov/pmc/blobs/08fd/11603296/2a84c9e56941/41598_2024_81152_Fig1_HTML.jpg
https://cdn.ncbi.nlm.nih.gov/pmc/blobs/08fd/11603296/fe7f1f536c49/41598_2024_81152_Fig2_HTML.jpg
https://cdn.ncbi.nlm.nih.gov/pmc/blobs/08fd/11603296/f35642142cdf/41598_2024_81152_Fig3_HTML.jpg
https://cdn.ncbi.nlm.nih.gov/pmc/blobs/08fd/11603296/a43cadf3372d/41598_2024_81152_Fig4_HTML.jpg

相似文献

1
Image characteristics of retained medullary cord in secondary neurulation arrest: an observational study.继发神经管闭合停止中残留脊髓的影像学特征:一项观察性研究。
Sci Rep. 2024 Nov 27;14(1):29447. doi: 10.1038/s41598-024-81152-0.
2
Cystic retained medullary cord in an intraspinal J-shaped cul-de-sac: a lesion in the spectrum of regression failure during secondary neurulation.椎管内 J 形终池内囊性残留髓索:二次神经管化过程中退化失败的病变谱中的一种病变。
Childs Nerv Syst. 2021 Jun;37(6):2051-2056. doi: 10.1007/s00381-020-04943-6. Epub 2020 Oct 28.
3
Retained Medullary Cord Associated with Terminal Myelocystocele and Intramedullary Arachnoid Cyst.终丝髓脂肪瘤伴硬脊膜内蛛网膜囊肿相关的残留髓索
Pediatr Neurosurg. 2022;57(3):184-190. doi: 10.1159/000523976. Epub 2022 Mar 8.
4
Retained medullary cord with sacral subcutaneous meningocele and congenital dermal sinus.脊髓圆锥合并骶尾部皮下脊膜膨出和先天性皮窦。
Childs Nerv Syst. 2020 Feb;36(2):423-427. doi: 10.1007/s00381-019-04301-1. Epub 2019 Jul 11.
5
Retained medullary cord and terminal myelocystocele as a spectrum: case report.保留的髓质和终末脊髓脊膜膨出作为一个谱系:病例报告。
Childs Nerv Syst. 2022 Jun;38(6):1223-1228. doi: 10.1007/s00381-021-05351-0. Epub 2021 Sep 17.
6
Subpial Lumbar Lipoma Associated with Retained Medullary Cord.伴有脊髓残留的软膜下腰椎脂肪瘤
NMC Case Rep J. 2021 Apr 2;8(1):51-55. doi: 10.2176/nmccrj.cr.2020-0073. eCollection 2021 Apr.
7
Enlargement of sacral subcutaneous meningocele associated with retained medullary cord.骶部皮下脊膜膨出伴脊髓栓系扩大。
Childs Nerv Syst. 2018 Sep;34(9):1785-1790. doi: 10.1007/s00381-018-3812-z. Epub 2018 Apr 27.
8
Congenital Dermal Sinus Elements in Each Tethering Stalk of Coexisting Thoracic Limited Dorsal Myeloschisis and Retained Medullary Cord.共存的胸段局限性背部脊髓脊膜膨出和脊髓栓系中每个牵系索中的先天性皮窦成分。
Pediatr Neurosurg. 2020;55(6):380-387. doi: 10.1159/000511876. Epub 2020 Dec 3.
9
Secondary Neurulation Defects-1 : Retained Medullary Cord.继发性神经管缺陷-1:髓索残留
J Korean Neurosurg Soc. 2020 May;63(3):314-320. doi: 10.3340/jkns.2020.0052. Epub 2020 Apr 27.
10
Retained medullary cord extending to a sacral subcutaneous meningocele.残留的脊髓延伸至骶部皮下脊膜膨出。
Childs Nerv Syst. 2018 Mar;34(3):527-533. doi: 10.1007/s00381-017-3644-2. Epub 2017 Nov 3.

本文引用的文献

1
Disorders of Secondary Neurulation: Suggestion of a New Classification According to Pathoembryogenesis.继发神经胚层发育障碍:根据病理胚胎发生提出的新分类建议。
Adv Tech Stand Neurosurg. 2022;45:285-315. doi: 10.1007/978-3-030-99166-1_9.
2
Retained medullary cord and terminal myelocystocele as a spectrum: case report.保留的髓质和终末脊髓脊膜膨出作为一个谱系:病例报告。
Childs Nerv Syst. 2022 Jun;38(6):1223-1228. doi: 10.1007/s00381-021-05351-0. Epub 2021 Sep 17.
3
Subpial Lumbar Lipoma Associated with Retained Medullary Cord.伴有脊髓残留的软膜下腰椎脂肪瘤
NMC Case Rep J. 2021 Apr 2;8(1):51-55. doi: 10.2176/nmccrj.cr.2020-0073. eCollection 2021 Apr.
4
Overview of Secondary Neurulation.继发性神经管形成概述。
J Korean Neurosurg Soc. 2021 May;64(3):346-358. doi: 10.3340/jkns.2020.0362. Epub 2021 Apr 29.
5
Two cases of retained medullary cord running parallel to a terminal lipoma.两例髓质脊髓残留与终丝脂肪瘤平行。
Surg Neurol Int. 2021 Mar 24;12:112. doi: 10.25259/SNI_626_2020. eCollection 2021.
6
Cystic retained medullary cord in an intraspinal J-shaped cul-de-sac: a lesion in the spectrum of regression failure during secondary neurulation.椎管内 J 形终池内囊性残留髓索:二次神经管化过程中退化失败的病变谱中的一种病变。
Childs Nerv Syst. 2021 Jun;37(6):2051-2056. doi: 10.1007/s00381-020-04943-6. Epub 2020 Oct 28.
7
Two Cases of Large Filar Cyst Associated with Terminal Lipoma: Relationship with Retained Medullary Cord.两例大丝状囊肿伴末端脂肪瘤:与残留脊髓的关系。
World Neurosurg. 2020 Oct;142:294-298. doi: 10.1016/j.wneu.2020.07.026. Epub 2020 Jul 12.
8
Surgical Management of Complex Spinal Cord Lipomas : A New Perspective.复杂脊髓脂肪瘤的外科治疗:一种新视角
J Korean Neurosurg Soc. 2020 May;63(3):279-313. doi: 10.3340/jkns.2020.0024. Epub 2020 May 1.
9
Secondary Neurulation Defects-1 : Retained Medullary Cord.继发性神经管缺陷-1:髓索残留
J Korean Neurosurg Soc. 2020 May;63(3):314-320. doi: 10.3340/jkns.2020.0052. Epub 2020 Apr 27.
10
The incidence and diagnostic relevance of chemical shift artefact in the magnetic resonance imaging characterisation of superficial soft tissue masses.磁共振成像对外周软组织肿块特征描述中化学位移伪影的发生率及其诊断相关性。
Br J Radiol. 2020 Apr;93(1108):20190828. doi: 10.1259/bjr.20190828. Epub 2019 Dec 19.