• 文献检索
  • 文档翻译
  • 深度研究
  • 学术资讯
  • Suppr Zotero 插件Zotero 插件
  • 邀请有礼
  • 套餐&价格
  • 历史记录
应用&插件
Suppr Zotero 插件Zotero 插件浏览器插件Mac 客户端Windows 客户端微信小程序
定价
高级版会员购买积分包购买API积分包
服务
文献检索文档翻译深度研究API 文档MCP 服务
关于我们
关于 Suppr公司介绍联系我们用户协议隐私条款
关注我们

Suppr 超能文献

核心技术专利:CN118964589B侵权必究
粤ICP备2023148730 号-1Suppr @ 2026

文献检索

告别复杂PubMed语法,用中文像聊天一样搜索,搜遍4000万医学文献。AI智能推荐,让科研检索更轻松。

立即免费搜索

文件翻译

保留排版,准确专业,支持PDF/Word/PPT等文件格式,支持 12+语言互译。

免费翻译文档

深度研究

AI帮你快速写综述,25分钟生成高质量综述,智能提取关键信息,辅助科研写作。

立即免费体验

CMTM7 作为 M2 巨噬细胞标志物塑造肝癌慢性炎症和免疫抑制性肿瘤微环境。

CMTM7 shapes the chronic inflammatory and immunosuppressive tumor microenvironment in hepatocellular carcinoma as an M2 macrophage biomarker.

机构信息

Institute of Medical Innovation and Research, Peking University Third Hospital, Beijing, 100191, China.

Department of General Surgery, The First Affiliated Hospital of Xiamen University, School of Medicine, Xiamen University, Xiamen, 361103, Fujian, China.

出版信息

Sci Rep. 2024 Nov 29;14(1):29659. doi: 10.1038/s41598-024-75538-3.

DOI:10.1038/s41598-024-75538-3
PMID:39609464
原文链接:https://pmc.ncbi.nlm.nih.gov/articles/PMC11604762/
Abstract

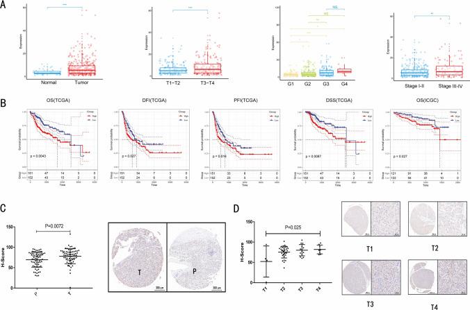
Transmembrane domain-containing 7 (CMTM7) is a protein located at the plasma membrane. It plays a role in regulating the development and immune microenvironment of tumor cells. However, the impact of CMTM7 on hepatocellular carcinoma (HCC) is not well understood. To better understand the role of CMTM7 in HCC, the correlations of CMTM7 with clinical characteristics, patient prognosis, chronic inflammation, and immune cell infiltration were analyzed using tissue microarray slides, sequencing datasets and various analysis tools (Web). The bulk sequencing analysis indicated that elevated expression of CMTM7 appears to promote chronic inflammation, immunosuppression, M2 macrophage infiltration, a diminished response to cancer immunotherapy, and an unfavorable clinical prognosis in patients with hepatocellular carcinoma (HCC). Further investigation through single-cell RNA sequencing and multiple fluorescence staining demonstrated that CMTM7 serves as a molecular marker for M2 macrophages and is associated with T cell exhaustion as well as highly plastic stem-like characteristics. We propose that CMTM7 may represent a novel immune checkpoint for HCC patients experiencing suboptimal therapeutic outcomes. Utilizing the Connectivity Map and AutoDock Vina, we predicted two potential compounds targeting CMTM7-fasudil and arachidonyltrifluoromethane-as promising therapeutic candidates. Collectively, these findings suggest that CMTM7-positive macrophages play significant roles in establishing an immunosuppressive tumor microenvironment while promoting highly plastic and stem-like traits in HCC cells, ultimately contributing to poor prognostic outcomes.

摘要

跨膜结构域蛋白 7(CMTM7)是一种位于质膜上的蛋白质。它在调节肿瘤细胞的发育和免疫微环境中发挥作用。然而,CMTM7 对肝细胞癌(HCC)的影响尚不清楚。为了更好地了解 CMTM7 在 HCC 中的作用,使用组织微阵列载玻片、测序数据集和各种分析工具(Web)分析了 CMTM7 与临床特征、患者预后、慢性炎症和免疫细胞浸润的相关性。批量测序分析表明,CMTM7 的高表达似乎促进了慢性炎症、免疫抑制、M2 巨噬细胞浸润、对癌症免疫治疗的反应减弱以及 HCC 患者的不良临床预后。通过单细胞 RNA 测序和多种荧光染色的进一步研究表明,CMTM7 作为 M2 巨噬细胞的分子标志物,与 T 细胞耗竭以及高度可塑性的干细胞样特征相关。我们提出 CMTM7 可能代表 HCC 患者中一种新的免疫检查点,这些患者的治疗效果不理想。利用连接图谱和 AutoDock Vina,我们预测了两种针对 CMTM7 的潜在化合物——法舒地尔和花生四烯酸三氟甲氧基,它们可能是有前途的治疗候选物。综上所述,这些发现表明 CMTM7 阳性巨噬细胞在建立免疫抑制性肿瘤微环境中发挥重要作用,同时促进 HCC 细胞的高度可塑性和干细胞样特征,最终导致不良的预后结果。

https://cdn.ncbi.nlm.nih.gov/pmc/blobs/e124/11604762/6ac9dd8c4889/41598_2024_75538_Fig10_HTML.jpg
https://cdn.ncbi.nlm.nih.gov/pmc/blobs/e124/11604762/53273a0c6909/41598_2024_75538_Fig1_HTML.jpg
https://cdn.ncbi.nlm.nih.gov/pmc/blobs/e124/11604762/0e75af535f89/41598_2024_75538_Fig2_HTML.jpg
https://cdn.ncbi.nlm.nih.gov/pmc/blobs/e124/11604762/361d56f98290/41598_2024_75538_Fig3_HTML.jpg
https://cdn.ncbi.nlm.nih.gov/pmc/blobs/e124/11604762/016e439a2ae4/41598_2024_75538_Fig4_HTML.jpg
https://cdn.ncbi.nlm.nih.gov/pmc/blobs/e124/11604762/614ef091e5e9/41598_2024_75538_Fig5_HTML.jpg
https://cdn.ncbi.nlm.nih.gov/pmc/blobs/e124/11604762/b7cfa69795a4/41598_2024_75538_Fig6_HTML.jpg
https://cdn.ncbi.nlm.nih.gov/pmc/blobs/e124/11604762/bc50ffa25d7b/41598_2024_75538_Fig7_HTML.jpg
https://cdn.ncbi.nlm.nih.gov/pmc/blobs/e124/11604762/cc8098d15318/41598_2024_75538_Fig8_HTML.jpg
https://cdn.ncbi.nlm.nih.gov/pmc/blobs/e124/11604762/a547d8b71626/41598_2024_75538_Fig9_HTML.jpg
https://cdn.ncbi.nlm.nih.gov/pmc/blobs/e124/11604762/6ac9dd8c4889/41598_2024_75538_Fig10_HTML.jpg
https://cdn.ncbi.nlm.nih.gov/pmc/blobs/e124/11604762/53273a0c6909/41598_2024_75538_Fig1_HTML.jpg
https://cdn.ncbi.nlm.nih.gov/pmc/blobs/e124/11604762/0e75af535f89/41598_2024_75538_Fig2_HTML.jpg
https://cdn.ncbi.nlm.nih.gov/pmc/blobs/e124/11604762/361d56f98290/41598_2024_75538_Fig3_HTML.jpg
https://cdn.ncbi.nlm.nih.gov/pmc/blobs/e124/11604762/016e439a2ae4/41598_2024_75538_Fig4_HTML.jpg
https://cdn.ncbi.nlm.nih.gov/pmc/blobs/e124/11604762/614ef091e5e9/41598_2024_75538_Fig5_HTML.jpg
https://cdn.ncbi.nlm.nih.gov/pmc/blobs/e124/11604762/b7cfa69795a4/41598_2024_75538_Fig6_HTML.jpg
https://cdn.ncbi.nlm.nih.gov/pmc/blobs/e124/11604762/bc50ffa25d7b/41598_2024_75538_Fig7_HTML.jpg
https://cdn.ncbi.nlm.nih.gov/pmc/blobs/e124/11604762/cc8098d15318/41598_2024_75538_Fig8_HTML.jpg
https://cdn.ncbi.nlm.nih.gov/pmc/blobs/e124/11604762/a547d8b71626/41598_2024_75538_Fig9_HTML.jpg
https://cdn.ncbi.nlm.nih.gov/pmc/blobs/e124/11604762/6ac9dd8c4889/41598_2024_75538_Fig10_HTML.jpg

相似文献

1
CMTM7 shapes the chronic inflammatory and immunosuppressive tumor microenvironment in hepatocellular carcinoma as an M2 macrophage biomarker.CMTM7 作为 M2 巨噬细胞标志物塑造肝癌慢性炎症和免疫抑制性肿瘤微环境。
Sci Rep. 2024 Nov 29;14(1):29659. doi: 10.1038/s41598-024-75538-3.
2
Overexpression of CMTM7 inhibits cell growth and migration in liver cancer.CMTM7 的过表达抑制肝癌细胞的生长和迁移。
Kaohsiung J Med Sci. 2019 Jun;35(6):332-340. doi: 10.1002/kjm2.12058. Epub 2019 Mar 23.
3
TMEM101 expression and its impact on immune cell infiltration and prognosis in hepatocellular carcinoma.跨膜蛋白101(TMEM101)的表达及其对肝细胞癌免疫细胞浸润和预后的影响。
Sci Rep. 2024 Dec 30;14(1):31847. doi: 10.1038/s41598-024-83174-0.
4
Prognostic value of CMTM6 protein in hepatocellular carcinoma involving the regulation of the immune microenvironment.CMTM6 蛋白在肝细胞癌中的预后价值及其对免疫微环境的调控。
Int J Biol Macromol. 2024 Aug;275(Pt 2):133618. doi: 10.1016/j.ijbiomac.2024.133618. Epub 2024 Jul 5.
5
Histidine metabolism drives liver cancer progression via immune microenvironment modulation through metabolic reprogramming.组氨酸代谢通过代谢重编程调节免疫微环境,驱动肝癌进展。
J Transl Med. 2025 Mar 4;23(1):262. doi: 10.1186/s12967-025-06267-y.
6
HMGB2 drives tumor progression and shapes the immunosuppressive microenvironment in hepatocellular carcinoma: insights from multi-omics analysis.HMGB2 驱动肝癌的肿瘤进展并塑造免疫抑制微环境:多组学分析的见解。
Front Immunol. 2024 Aug 23;15:1415435. doi: 10.3389/fimmu.2024.1415435. eCollection 2024.
7
Integrated multiomics analysis highlights the immunosuppressive role of granulin precursor positive macrophages in hepatocellular carcinoma.综合多组学分析突出了颗粒蛋白前体阳性巨噬细胞在肝细胞癌中的免疫抑制作用。
PeerJ. 2025 Feb 21;13:e18879. doi: 10.7717/peerj.18879. eCollection 2025.
8
CMTM6 promotes hepatocellular carcinoma invasion and metastasis and tumor-associated neutrophil immunoinfiltration through the Wnt/β-catenin pathway.CMTM6通过Wnt/β-连环蛋白途径促进肝细胞癌的侵袭和转移以及肿瘤相关中性粒细胞免疫浸润。
Eur J Med Res. 2024 Dec 19;29(1):595. doi: 10.1186/s40001-024-02189-5.
9
as a Prognostic Biomarker and Its Association with Immune Infiltration in Hepatocellular Carcinoma.作为一种预后生物标志物及其与肝癌免疫浸润的关系。
Curr Oncol. 2023 Feb 22;30(3):2653-2672. doi: 10.3390/curroncol30030202.
10
OSCC cell-secreted exosomal CMTM6 induced M2-like macrophages polarization via ERK1/2 signaling pathway.OSCC 细胞分泌的细胞外囊泡 CMTM6 通过 ERK1/2 信号通路诱导 M2 样巨噬细胞极化。
Cancer Immunol Immunother. 2021 Apr;70(4):1015-1029. doi: 10.1007/s00262-020-02741-2. Epub 2020 Oct 26.

本文引用的文献

1
Integrative single-cell transcriptomic analyses reveal the cellular ontological and functional heterogeneities of primary and metastatic liver tumors.整合单细胞转录组分析揭示了原发性和转移性肝肿瘤的细胞本体论和功能异质性。
J Transl Med. 2024 Feb 27;22(1):206. doi: 10.1186/s12967-024-04947-9.
2
Deep Learning-Based H-Score Quantification of Immunohistochemistry-Stained Images.基于深度学习的免疫组化染色图像 H 评分定量分析。
Mod Pathol. 2024 Feb;37(2):100398. doi: 10.1016/j.modpat.2023.100398. Epub 2023 Dec 1.
3
CMTM7 inhibits breast cancer progression by regulating Wnt/β-catenin signaling.
CMTM7 通过调控 Wnt/β-catenin 信号通路抑制乳腺癌进展。
Breast Cancer Res. 2023 Feb 24;25(1):22. doi: 10.1186/s13058-023-01620-9.
4
CMTM6 and CMTM7: New leads for PD-L1 regulation in breast cancer cells undergoing EMT.CMTM6 和 CMTM7:上皮间质转化过程中 PD-L1 调控的新线索。
J Cell Biochem. 2022 Jun;123(6):1025-1031. doi: 10.1002/jcb.30273. Epub 2022 May 16.
5
LGR4 cooperates with PrPc to endow the stemness of colorectal cancer stem cells contributing to tumorigenesis and liver metastasis.LGR4 与 PrPc 合作赋予结直肠癌细胞干性,有助于肿瘤发生和肝转移。
Cancer Lett. 2022 Aug 1;540:215725. doi: 10.1016/j.canlet.2022.215725. Epub 2022 May 10.
6
Nivolumab versus sorafenib in advanced hepatocellular carcinoma (CheckMate 459): a randomised, multicentre, open-label, phase 3 trial.纳武利尤单抗对比索拉非尼用于治疗晚期肝细胞癌(CheckMate 459):一项随机、多中心、开放标签、III 期临床试验。
Lancet Oncol. 2022 Jan;23(1):77-90. doi: 10.1016/S1470-2045(21)00604-5. Epub 2021 Dec 13.
7
Immunotherapies for hepatocellular carcinoma.肝细胞癌的免疫疗法
Nat Rev Clin Oncol. 2022 Mar;19(3):151-172. doi: 10.1038/s41571-021-00573-2. Epub 2021 Nov 11.
8
LYVE1+ macrophages of murine peritoneal mesothelium promote omentum-independent ovarian tumor growth.LYVE1+ 巨噬细胞促进了小鼠腹膜间皮来源的卵巢肿瘤的腹膜外生长。
J Exp Med. 2021 Dec 6;218(12). doi: 10.1084/jem.20210924. Epub 2021 Oct 29.
9
Mitochondrial Dynamics in SARS-COV2 Spike Protein Treated Human Microglia: Implications for Neuro-COVID.人类小神经胶质细胞中 SARS-COV2 刺突蛋白处理的线粒体动态:神经 COVID 的意义。
J Neuroimmune Pharmacol. 2021 Dec;16(4):770-784. doi: 10.1007/s11481-021-10015-6. Epub 2021 Oct 2.
10
Breast cancer cell-derived extracellular vesicles transfer miR-182-5p and promote breast carcinogenesis via the CMTM7/EGFR/AKT axis.乳腺癌细胞衍生的细胞外囊泡通过 CMTM7/EGFR/AKT 轴转移 miR-182-5p 并促进乳腺癌发生。
Mol Med. 2021 Jul 16;27(1):78. doi: 10.1186/s10020-021-00338-8.