• 文献检索
  • 文档翻译
  • 深度研究
  • 学术资讯
  • Suppr Zotero 插件Zotero 插件
  • 邀请有礼
  • 套餐&价格
  • 历史记录
应用&插件
Suppr Zotero 插件Zotero 插件浏览器插件Mac 客户端Windows 客户端微信小程序
定价
高级版会员购买积分包购买API积分包
服务
文献检索文档翻译深度研究API 文档MCP 服务
关于我们
关于 Suppr公司介绍联系我们用户协议隐私条款
关注我们

Suppr 超能文献

核心技术专利:CN118964589B侵权必究
粤ICP备2023148730 号-1Suppr @ 2026

文献检索

告别复杂PubMed语法,用中文像聊天一样搜索,搜遍4000万医学文献。AI智能推荐,让科研检索更轻松。

立即免费搜索

文件翻译

保留排版,准确专业,支持PDF/Word/PPT等文件格式,支持 12+语言互译。

免费翻译文档

深度研究

AI帮你快速写综述,25分钟生成高质量综述,智能提取关键信息,辅助科研写作。

立即免费体验

微创钢板接骨术治疗肱骨干骨折中的位置螺钉效应

Positional Screw Effect in the Treatment of Humeral Shaft Fractures Using a Minimally Invasive Plate Osteosynthesis Technique.

作者信息

Ji Jong-Hun, Jeong Ho-Seung, Ko Ban-Suk, You Hwang-Yong, Jun Hyun-Sik

机构信息

Department of Orthopedic Surgery, Daejeon St. Mary's Hospital, The Catholic University of Korea, Daejeon, Korea.

Department of Orthopedic Surgery, Chungbuk National University Hospital, Cheongju, Korea.

出版信息

Clin Orthop Surg. 2024 Dec;16(6):971-978. doi: 10.4055/cios23272. Epub 2024 Nov 15.

DOI:10.4055/cios23272
PMID:39618517
原文链接:https://pmc.ncbi.nlm.nih.gov/articles/PMC11604565/
Abstract

BACKGROUND

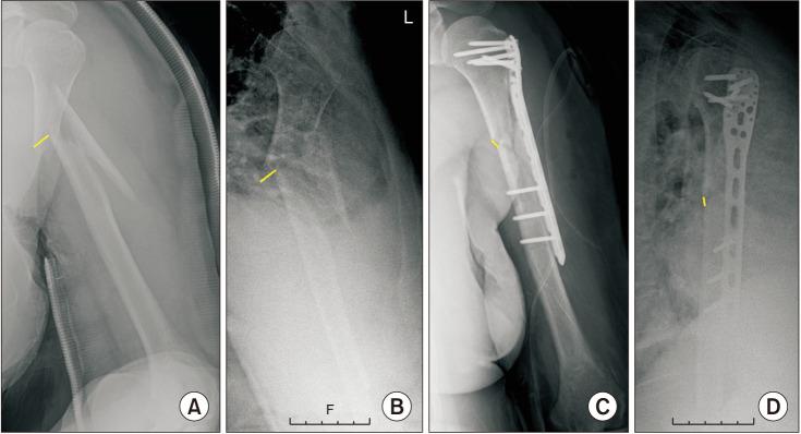
This study compares the difference in the clinical and radiologic outcomes when minimally invasive plate osteosynthesis (MIPO) technique is performed with or without using a positional screw in the treatment of humeral shaft fractures.

METHODS

From January 2010 to January 2021, a retrospective study was conducted on a total of 63 patients who underwent the MIPO technique for the treatment of humeral shaft fractures. We divided these patients into 2 groups: in group I, patients underwent MIPO without a positional screw; in group II, patients underwent MIPO with a positional screw. We compared functional outcomes including the American Shoulder and Elbow Surgeons score, University of California at Los Angeles score, Simple Shoulder Test, range of motion before and after surgery, operation time, blood loss, and complications. And we compared radiologic outcomes including pre- and postoperative anteroposterior (AP) and lateral displacement of the fracture and union time on plain radiographs.

RESULTS

The average patient age was 64.6 ± 15.1 years (range, 25-88 years). Group I consisted of 30 patients (10 men and 20 women), and group II consisted of 33 patients (11 men and 22 women). Between the 2 groups, there was no statistically significant difference in sex, body mass index, functional scores, AP and lateral displacement of the fracture on postoperative x-ray, operation time, and blood loss. In group II, a faster bony union was obtained than that in group I (4.6 vs. 6.4 months). Complications included 2 cases of transient radial nerve palsy in both groups and metallic failures (2 in group I and 1 in group II).

CONCLUSIONS

When performing MIPO for humeral shaft fractures, adding a positional screw could be more stabilizing than bridge plating without a positional screw, leading to faster bony union. A positional screw might help control interfragmentary movement without inhibiting essential interfragmentary movement for fracture healing.

摘要

背景

本研究比较了在肱骨干骨折治疗中采用微创钢板接骨术(MIPO)时使用或不使用定位螺钉的临床和影像学结果差异。

方法

2010年1月至2021年1月,对共63例行MIPO技术治疗肱骨干骨折的患者进行回顾性研究。我们将这些患者分为两组:第一组患者行不使用定位螺钉的MIPO;第二组患者行使用定位螺钉的MIPO。我们比较了功能结果,包括美国肩肘外科医师评分、加州大学洛杉矶分校评分、简易肩关节测试、手术前后的活动范围、手术时间、失血量和并发症。并且我们比较了影像学结果,包括术前和术后骨折的前后位(AP)和侧方移位以及X线平片上的愈合时间。

结果

患者平均年龄为64.6±15.1岁(范围25 - 88岁)。第一组由30例患者组成(10例男性和20例女性),第二组由33例患者组成(11例男性和22例女性)。两组之间在性别、体重指数、功能评分、术后X线片上骨折的AP和侧方移位、手术时间和失血量方面无统计学显著差异。在第二组中,获得骨愈合的速度比第一组更快(4.6个月对6.4个月)。并发症包括两组各2例短暂性桡神经麻痹和金属植入物失败(第一组2例,第二组1例)。

结论

在对肱骨干骨折进行MIPO时,添加定位螺钉可能比不使用定位螺钉的桥接钢板更具稳定性,从而导致更快的骨愈合。定位螺钉可能有助于控制骨折块间运动,而不抑制骨折愈合所需的必要骨折块间运动。

https://cdn.ncbi.nlm.nih.gov/pmc/blobs/8926/11604565/d28325a09eff/cios-16-971-g005.jpg
https://cdn.ncbi.nlm.nih.gov/pmc/blobs/8926/11604565/94aaf1de6024/cios-16-971-g001.jpg
https://cdn.ncbi.nlm.nih.gov/pmc/blobs/8926/11604565/1d0d767996eb/cios-16-971-g002.jpg
https://cdn.ncbi.nlm.nih.gov/pmc/blobs/8926/11604565/d3abdb731bdd/cios-16-971-g003.jpg
https://cdn.ncbi.nlm.nih.gov/pmc/blobs/8926/11604565/8594e96feb5d/cios-16-971-g004.jpg
https://cdn.ncbi.nlm.nih.gov/pmc/blobs/8926/11604565/d28325a09eff/cios-16-971-g005.jpg
https://cdn.ncbi.nlm.nih.gov/pmc/blobs/8926/11604565/94aaf1de6024/cios-16-971-g001.jpg
https://cdn.ncbi.nlm.nih.gov/pmc/blobs/8926/11604565/1d0d767996eb/cios-16-971-g002.jpg
https://cdn.ncbi.nlm.nih.gov/pmc/blobs/8926/11604565/d3abdb731bdd/cios-16-971-g003.jpg
https://cdn.ncbi.nlm.nih.gov/pmc/blobs/8926/11604565/8594e96feb5d/cios-16-971-g004.jpg
https://cdn.ncbi.nlm.nih.gov/pmc/blobs/8926/11604565/d28325a09eff/cios-16-971-g005.jpg

相似文献

1
Positional Screw Effect in the Treatment of Humeral Shaft Fractures Using a Minimally Invasive Plate Osteosynthesis Technique.微创钢板接骨术治疗肱骨干骨折中的位置螺钉效应
Clin Orthop Surg. 2024 Dec;16(6):971-978. doi: 10.4055/cios23272. Epub 2024 Nov 15.
2
Minimally Invasive Plate Osteosynthesis Using a Screw Compression Method for Treatment of Humeral Shaft Fractures.采用螺钉加压法的微创钢板接骨术治疗肱骨干骨折
Clin Orthop Surg. 2017 Dec;9(4):506-513. doi: 10.4055/cios.2017.9.4.506. Epub 2017 Nov 10.
3
Narrow locking compression plate vs long philos plate for minimally invasive plate osteosynthesis of spiral humerus shaft fractures.微创锁定加压钢板与长型解剖钢板治疗肱骨干螺旋形骨折
BMC Musculoskelet Disord. 2019 Aug 17;20(1):381. doi: 10.1186/s12891-019-2757-z.
4
[Effectiveness comparison of two minimally invasive plate osteosynthesis techniques for proximal humeral shaft fractures].两种微创钢板接骨术治疗肱骨干近端骨折的疗效比较
Zhongguo Xiu Fu Chong Jian Wai Ke Za Zhi. 2023 Feb 15;37(2):147-152. doi: 10.7507/1002-1892.202211079.
5
Comparison between open plating versus minimally invasive plate osteosynthesis for acute displaced clavicular shaft fractures.切开复位钢板内固定术与微创钢板接骨术治疗急性移位锁骨骨干骨折的比较
Injury. 2015 Aug;46(8):1577-84. doi: 10.1016/j.injury.2015.05.038. Epub 2015 May 22.
6
[A comparative study on open reduction and plating osteosynthesis and minimal invasive plating osteosynthesis in treating mid-distal humeral shaft fractures].切开复位钢板内固定与微创钢板内固定治疗肱骨干中下段骨折的对比研究
Zhongguo Xiu Fu Chong Jian Wai Ke Za Zhi. 2009 Jan;23(1):41-4.
7
The use of interfragmentary positional screw in minimally invasive plate osteosynthesis for simple distal femur fractures in elderly patients: A retrospective, single-centre pilot study.老年患者单纯性股骨远端骨折微创钢板接骨术中使用骨折块间定位螺钉:一项回顾性单中心初步研究。
Injury. 2016 Dec;47(12):2795-2799. doi: 10.1016/j.injury.2016.10.034. Epub 2016 Oct 29.
8
A prospective randomized study of operative treatment for noncomminuted humeral shaft fractures: conventional open plating versus minimal invasive plate osteosynthesis.非粉碎性肱骨干骨折手术治疗的前瞻性随机研究:传统切开钢板内固定术与微创钢板接骨术的对比
J Orthop Trauma. 2015 Apr;29(4):189-94. doi: 10.1097/BOT.0000000000000232.
9
Anterior medial minimally invasive plate osteosynthesis for humeral shaft fractures shows superior early shoulder and elbow function compared to locking compression plate: A retrospective study.前内侧微创钢板接骨术治疗肱骨干骨折较锁定加压钢板具有更好的早期肩肘功能:一项回顾性研究。
Injury. 2024 Aug;55(8):111692. doi: 10.1016/j.injury.2024.111692. Epub 2024 Jun 21.
10
Comparison between osteosynthesis with interlocking nail and minimally invasive plating for proximal- and middle-thirds of humeral shaft fractures.交锁髓内钉与微创钢板内固定治疗肱骨干中上段骨折的比较。
Int Orthop. 2021 Aug;45(8):2093-2102. doi: 10.1007/s00264-020-04869-3. Epub 2020 Nov 12.

本文引用的文献

1
Narrow locking compression plate vs long philos plate for minimally invasive plate osteosynthesis of spiral humerus shaft fractures.微创锁定加压钢板与长型解剖钢板治疗肱骨干螺旋形骨折
BMC Musculoskelet Disord. 2019 Aug 17;20(1):381. doi: 10.1186/s12891-019-2757-z.
2
The use of interfragmentary positional screw in minimally invasive plate osteosynthesis for simple distal femur fractures in elderly patients: A retrospective, single-centre pilot study.老年患者单纯性股骨远端骨折微创钢板接骨术中使用骨折块间定位螺钉:一项回顾性单中心初步研究。
Injury. 2016 Dec;47(12):2795-2799. doi: 10.1016/j.injury.2016.10.034. Epub 2016 Oct 29.
3
Role of Appositional Screw Fixation in Minimally Invasive Plate Osteosynthesis for Distal Tibial Fracture.
附加螺钉固定在胫骨远端骨折微创钢板接骨术中的作用
J Orthop Trauma. 2015 Sep;29(9):e331-5. doi: 10.1097/BOT.0000000000000341.
4
Distal femoral fractures: The need to review the standard of care.股骨远端骨折:审视护理标准的必要性。
Injury. 2015;46(6):1084-8. doi: 10.1016/j.injury.2015.02.016. Epub 2015 Feb 26.
5
Working length of locking plates determines interfragmentary movement in distal femur fractures under physiological loading.锁定钢板的工作长度决定了生理负荷下股骨远端骨折的骨折块间移动。
Clin Biomech (Bristol). 2015 May;30(4):391-6. doi: 10.1016/j.clinbiomech.2015.02.006. Epub 2015 Feb 14.
6
Numerical simulation of callus healing for optimization of fracture fixation stiffness.用于优化骨折固定刚度的骨痂愈合数值模拟
PLoS One. 2014 Jul 3;9(7):e101370. doi: 10.1371/journal.pone.0101370. eCollection 2014.
7
Simulation-based particle swarm optimization and mechanical validation of screw position and number for the fixation stability of a femoral locking compression plate.基于模拟的粒子群优化算法及股骨锁定加压钢板固定稳定性中螺钉位置和数量的力学验证
Med Eng Phys. 2014 Jan;36(1):57-64. doi: 10.1016/j.medengphy.2013.09.005. Epub 2013 Oct 3.
8
Minimally invasive helical plating for shaft of humerus fractures: technique and outcome.肱骨骨干骨折的微创螺旋钢板固定术:技术与疗效
Open Orthop J. 2012;6:184-8. doi: 10.2174/1874325001206010184. Epub 2012 May 11.
9
Generic rules of mechano-regulation combined with subject specific loading conditions can explain bone adaptation after THA.通用的力学调节规则加上特定的加载条件可以解释 THA 后骨适应的现象。
PLoS One. 2012;7(5):e36231. doi: 10.1371/journal.pone.0036231. Epub 2012 May 2.
10
Comparison of the 95-degree angled blade plate and the locking condylar plate for the treatment of distal femoral fractures.95 度角 blade 钢板与锁定髁钢板治疗股骨远端骨折的比较。
J Orthop Trauma. 2012 Jun;26(6):327-32. doi: 10.1097/BOT.0b013e318234d460.