• 文献检索
  • 文档翻译
  • 深度研究
  • 学术资讯
  • Suppr Zotero 插件Zotero 插件
  • 邀请有礼
  • 套餐&价格
  • 历史记录
应用&插件
Suppr Zotero 插件Zotero 插件浏览器插件Mac 客户端Windows 客户端微信小程序
定价
高级版会员购买积分包购买API积分包
服务
文献检索文档翻译深度研究API 文档MCP 服务
关于我们
关于 Suppr公司介绍联系我们用户协议隐私条款
关注我们

Suppr 超能文献

核心技术专利:CN118964589B侵权必究
粤ICP备2023148730 号-1Suppr @ 2026

文献检索

告别复杂PubMed语法,用中文像聊天一样搜索,搜遍4000万医学文献。AI智能推荐,让科研检索更轻松。

立即免费搜索

文件翻译

保留排版,准确专业,支持PDF/Word/PPT等文件格式,支持 12+语言互译。

免费翻译文档

深度研究

AI帮你快速写综述,25分钟生成高质量综述,智能提取关键信息,辅助科研写作。

立即免费体验

类癌性心脏病与原发性卵巢类癌肿瘤相关:一种罕见的表现。

Carcinoid Heart Disease Associated with Primary Ovarian Carcinoid Tumor: A Rare Presentation.

作者信息

Ahmad Rawaha, Loke Ian, Saifullah Fizza, Zafar Hafsa, Abbasi Saddam Hussain

机构信息

Department of Cardiology, University Hospitals, Leicester, UK.

Department of Oncology/ Hematology, Northampton General Hospital, Northampton, UK.

出版信息

Heart Views. 2024 Apr-Jun;25(2):106-109. doi: 10.4103/heartviews.heartviews_104_23. Epub 2024 Oct 10.

DOI:10.4103/heartviews.heartviews_104_23
PMID:39619098
原文链接:https://pmc.ncbi.nlm.nih.gov/articles/PMC11604200/
Abstract

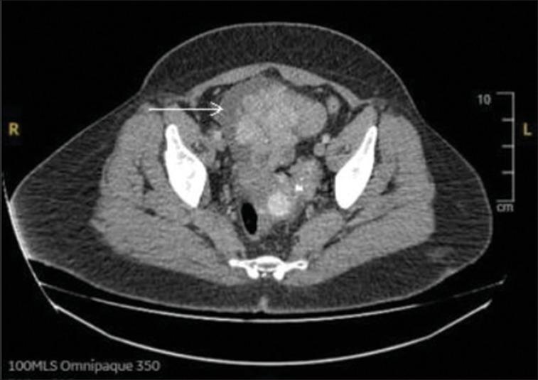
Primary ovarian carcinoid tumors, an extremely rare subset of ovarian malignancies (<0.1% of cases), typically manifest with abdominal pain and bloating. The occurrence of carcinoid heart disease (CHD) without classic carcinoid syndrome features is exceptionally uncommon. We report a 54-year-old female presenting with dyspnea and edema over months, lacking typical carcinoid syndrome signs. Initial assessments diagnosed heart failure, supported by elevated NT-Pro BNP, echocardiographic right ventricular dilation, and pulmonary/tricuspid valve regurgitation (normal left ventricular function). Right heart catheterization showed normal pulmonary/right ventricular pressures. Subsequent investigations (computed tomography thorax abdomen pelvis, 5-hydroxyindole acetic acid levels) strongly suggested carcinoid disease, confirmed by an octreotide scan revealing an octreotide-secreting ovarian carcinoid tumor. Surgical intervention included tricuspid and pulmonary valve repair, total abdominal hysterectomy, and bilateral salpingo-oophorectomy. Primary ovarian carcinoid tumors, though rare, may lead to unexpected complications like CHD. Timely diagnosis and intervention are pivotal for optimizing patient outcomes in such cases.

摘要

原发性卵巢类癌肿瘤是卵巢恶性肿瘤中极为罕见的一个亚型(占病例不到0.1%),通常表现为腹痛和腹胀。没有典型类癌综合征特征的类癌性心脏病(CHD)的发生极为罕见。我们报告一名54岁女性,数月来出现呼吸困难和水肿,缺乏典型的类癌综合征体征。初始评估诊断为心力衰竭,NT-Pro BNP升高、超声心动图显示右心室扩张以及肺/三尖瓣反流(左心室功能正常)均支持这一诊断。右心导管检查显示肺/右心室压力正常。随后的检查(胸部、腹部、盆腔计算机断层扫描以及5-羟色胺乙酸水平检测)强烈提示类癌病,奥曲肽扫描显示分泌奥曲肽的卵巢类癌肿瘤,从而确诊。手术干预包括三尖瓣和肺动脉瓣修复、全腹子宫切除术以及双侧输卵管卵巢切除术。原发性卵巢类癌肿瘤虽然罕见,但可能导致如CHD等意想不到的并发症。对于此类病例,及时诊断和干预对于优化患者预后至关重要。

https://cdn.ncbi.nlm.nih.gov/pmc/blobs/f5fe/11604200/1dd07c5af0b2/HV-25-106-g002.jpg
https://cdn.ncbi.nlm.nih.gov/pmc/blobs/f5fe/11604200/137a8c405aef/HV-25-106-g001.jpg
https://cdn.ncbi.nlm.nih.gov/pmc/blobs/f5fe/11604200/1dd07c5af0b2/HV-25-106-g002.jpg
https://cdn.ncbi.nlm.nih.gov/pmc/blobs/f5fe/11604200/137a8c405aef/HV-25-106-g001.jpg
https://cdn.ncbi.nlm.nih.gov/pmc/blobs/f5fe/11604200/1dd07c5af0b2/HV-25-106-g002.jpg

相似文献

1
Carcinoid Heart Disease Associated with Primary Ovarian Carcinoid Tumor: A Rare Presentation.类癌性心脏病与原发性卵巢类癌肿瘤相关:一种罕见的表现。
Heart Views. 2024 Apr-Jun;25(2):106-109. doi: 10.4103/heartviews.heartviews_104_23. Epub 2024 Oct 10.
2
A Case of Primary Insular Ovarian Carcinoid Tumor with Hyperandrogenism and Carcinoid Heart Disease.原发性胰岛卵巢类癌瘤伴高雄激素血症及类癌心脏病 1 例报告
Am J Case Rep. 2022 Oct 1;23:e937403. doi: 10.12659/AJCR.937403.
3
A Case of Carcinoid Syndrome Due to Malignant Metastatic Carcinoid Tumor with Carcinoid Heart Disease Involving Four Cardiac Valves.一例因恶性转移性类癌肿瘤伴类癌性心脏病累及四个心脏瓣膜导致的类癌综合征病例。
Am J Case Rep. 2018 Mar 12;19:284-288. doi: 10.12659/ajcr.906486.
4
Primary ovarian carcinoid: Two cases report and review of literature.原发性卵巢类癌:两例报告并文献复习
Medicine (Baltimore). 2020 Oct 2;99(40):e21109. doi: 10.1097/MD.0000000000021109.
5
Managing end-stage carcinoid heart disease: A case report and literature review.终末期类癌心脏病的管理:一例病例报告及文献综述。
World J Gastrointest Oncol. 2024 Mar 15;16(3):1076-1083. doi: 10.4251/wjgo.v16.i3.1076.
6
Ovarian tumor-associated carcinoid heart disease presenting as severe tricuspid regurgitation.以严重三尖瓣反流为表现的卵巢肿瘤相关性类癌心脏病。
J Cardiovasc Ultrasound. 2011 Mar;19(1):45-9. doi: 10.4250/jcu.2011.19.1.45. Epub 2011 Mar 31.
7
Echocardiographic imaging of tricuspid and pulmonary valve abnormalities in primary ovarian carcinoid tumor.原发性卵巢类癌瘤中三尖瓣和肺动脉瓣异常的超声心动图成像
Cardiovasc Ultrasound. 2010 Sep 2;8:37. doi: 10.1186/1476-7120-8-37.
8
Bioprosthetic tricuspid valve replacement in carcinoid heart disease from primary ovarian carcinoid tumor.原发性卵巢类癌瘤所致类癌心脏病的生物人工三尖瓣置换术。
J Med Ultrason (2001). 2015 Jul;42(3):401-3. doi: 10.1007/s10396-015-0621-9. Epub 2015 Mar 12.
9
Pure primary ovarian carcinoid tumor with carcinoid syndrome and cervical carcinoma: A rare concoction of dual primary malignancies.纯卵巢类癌伴类癌综合征和宫颈癌:双重原发性恶性肿瘤的罕见组合。
Indian J Pathol Microbiol. 2021 Jul-Sep;64(3):563-567. doi: 10.4103/IJPM.IJPM_1379_20.
10
Balancing carcinoid crisis and right ventricular dysfunction during tricuspid and pulmonic valve replacement for carcinoid heart disease: A case report.类癌性心脏病行三尖瓣和肺动脉瓣置换术时类癌危象与右心室功能障碍的平衡:一例报告
Int J Surg Case Rep. 2023 Jan;102:107855. doi: 10.1016/j.ijscr.2022.107855. Epub 2023 Jan 2.

本文引用的文献

1
Multidisciplinary team management of carcinoid heart disease.类癌性心脏病的多学科团队管理
Endocr Connect. 2019 Dec;8(12):R184-R199. doi: 10.1530/EC-19-0413.
2
Ovarian Strumal Carcinoid Tumour: Case Report.卵巢甲状腺肿类癌肿瘤:病例报告。
Open Access Maced J Med Sci. 2018 Mar 12;6(3):540-543. doi: 10.3889/oamjms.2018.138. eCollection 2018 Mar 15.
3
Rare case of primary trabecular carcinoid tumor of the ovary with unusual presentation.卵巢原发性小梁类癌肿瘤的罕见病例及异常表现。
Taiwan J Obstet Gynecol. 2016 Oct;55(5):748-750. doi: 10.1016/j.tjog.2015.05.008.
4
Carcinoid heart disease: Diagnosis and management.类癌性心脏病:诊断与管理
Best Pract Res Clin Endocrinol Metab. 2016 Jan;30(1):149-58. doi: 10.1016/j.beem.2015.09.005. Epub 2015 Oct 9.
5
Carcinoid syndrome: diagnosis and medical management.类癌综合征:诊断与药物治疗
Arq Bras Endocrinol Metabol. 2005 Oct;49(5):850-60. doi: 10.1590/s0004-27302005000500028. Epub 2006 Jan 23.
6
Carcinoid heart disease: presentation, diagnosis, and management.类癌性心脏病:临床表现、诊断与治疗
Heart. 2004 Oct;90(10):1224-8. doi: 10.1136/hrt.2004.040329.
7
Primary ovarian carcinoid tumors.原发性卵巢类癌肿瘤。
Gynecol Oncol. 1996 May;61(2):259-65. doi: 10.1006/gyno.1996.0136.
8
Clinical and echocardiographic comparison of patients with the carcinoid syndrome with and without carcinoid heart disease.
Am J Cardiol. 1989 Feb 1;63(5):347-52. doi: 10.1016/0002-9149(89)90344-5.