Suppr超能文献

计算机断层扫描引导下对亚厘米级肺结节进行经皮活检

Computed tomography-guided percutaneous biopsy of subcentimeter lung noduless.

作者信息

Teixeira Penélope Sánchez, Bitencourt Almir Galvão Vieira, Gross Jefferson Luiz, Chojniak Rubens, Damião Soraia Quaranta, Barbosa Paula Nicole Vieira Pinto

机构信息

Radiology Department, A.C.Camargo Cancer Center, São Paulo, SP, Brazil.

出版信息

Radiol Bras. 2024 Nov 18;57:e20240046. doi: 10.1590/0100-3984.2024.0046-en. eCollection 2024 Jan-Dec.

Abstract

OBJECTIVE

To assess the diagnostic success rate and complications of computed tomography (CT)-guided percutaneous biopsy in pulmonary nodules < 10 mm in diameter.

MATERIALS AND METHODS

This was a retrospective, single-center study involving the review of medical records, images, and chest CT reports related to 115 patients who underwent percutaneous CT-guided biopsy of < 10 mm pulmonary nodules between July 2015 and January 2019.

RESULTS

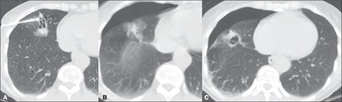
Nodule diameter on the longest axis ranged from 4 mm to 9 mm, with a mean size of 7.7 mm. The mean age of the patients at the time of the procedure was 61 years, and 54.7% were women. Of the 115 nodules evaluated, 77 (67.0%) were solid and 55 (47.8%) were located in the lower lobes. The mean distance traversed by the needle in the lung parenchyma was 20 mm (range, 0-70 mm), and, in most cases, the biopsy was not performed with the patient in the biopsy-side-down lateral position. The diagnostic success rate was 93.0%. The most common complications were alveolar hemorrhage (in 36.5% of cases) and pneumothorax (in 24.3%).

CONCLUSION

The data suggest that CT-guided percutaneous biopsy of < 10 mm pulmonary nodules has a high diagnostic success rate and an acceptable rate of complications.

摘要

目的

评估计算机断层扫描(CT)引导下经皮肺穿刺活检对直径<10mm肺结节的诊断成功率及并发症情况。

材料与方法

这是一项回顾性单中心研究,涉及对2015年7月至2019年1月期间115例行CT引导下经皮肺穿刺活检的直径<10mm肺结节患者的病历、影像及胸部CT报告进行回顾。

结果

结节最长径范围为4mm至9mm,平均大小为7.7mm。手术时患者的平均年龄为61岁,女性占54.7%。在评估的115个结节中,77个(67.0%)为实性,55个(47.8%)位于下叶。穿刺针在肺实质内穿行的平均距离为20mm(范围0 - 70mm),且大多数情况下活检并非在患者活检侧在下的侧卧位进行。诊断成功率为93.0%。最常见的并发症是肺泡出血(36.5%的病例)和气胸(24.3%)。

结论

数据表明,CT引导下对直径<10mm肺结节进行经皮肺穿刺活检具有较高的诊断成功率和可接受的并发症发生率。

https://cdn.ncbi.nlm.nih.gov/pmc/blobs/f505/11618831/caeb80ef23ac/rb-57-e20240046-g01.jpg

文献检索

告别复杂PubMed语法,用中文像聊天一样搜索,搜遍4000万医学文献。AI智能推荐,让科研检索更轻松。

立即免费搜索

文件翻译

保留排版,准确专业,支持PDF/Word/PPT等文件格式,支持 12+语言互译。

免费翻译文档

深度研究

AI帮你快速写综述,25分钟生成高质量综述,智能提取关键信息,辅助科研写作。

立即免费体验