Suppr超能文献

12岁女性胰腺实性假乳头状瘤:病例报告

Solid-pseudopapillary neoplasm of the pancreas in a 12-year-old female: case report.

作者信息

Yadav Kundan Kumar, Yadav Krishna, Adhikhari Binaya, Yadav Pratibha, Yadav Prashant

机构信息

Maharajgunj Medical Campus, Institute of Medicine, Tribhuvan University, Kathmandu, Nepal.

Department of Surgery, Maharajgunj Medical Campus, Institute of Medicine, Tribhuvan university, Kathmandu, Nepal.

出版信息

Ann Med Surg (Lond). 2024 Oct 8;86(12):7343-7346. doi: 10.1097/MS9.0000000000002639. eCollection 2024 Dec.

Abstract

INTRODUCTION AND IMPORTANCE

A solid-pseudopapillary tumor of the pancreas is a rare solid neoplasm. It is an uncommon exocrine tumor that accounts for 1-3% of exocrine pancreatic tumors.

CASE PRESENTATION

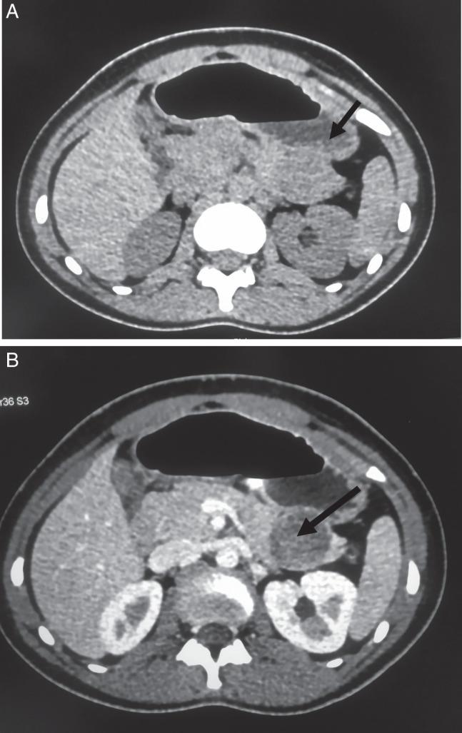
The authors have reported two cases of solid-pseudopapillary neoplasm of the pancreas with a median age of 12 years, both in females with abdominal pain.

CLINICAL DISCUSSION

Both cases are in females with different treatment modalities. The patient underwent distal pancreatectomy in the first case and enucleation of mass from the distal pancreas in the second case because the size of the tumor is 5 cm and does not involve the bile duct and major pancreatic duct.

CONCLUSION

The authors discussed two cases of solid-pseudopapillary neoplasm of the pancreas both in a 12-year-old female-both the patients presented with abdominal pain. The patient underwent a different treatment. The diagnosis was confirmed by radiological investigation through non-contrast and contrast CT and supported by histopathology findings.

摘要

引言与重要性

胰腺实性假乳头状肿瘤是一种罕见的实性肿瘤。它是一种不常见的外分泌肿瘤,占胰腺外分泌肿瘤的1% - 3%。

病例介绍

作者报告了两例胰腺实性假乳头状肿瘤病例,中位年龄为12岁,均为女性,均有腹痛症状。

临床讨论

两例均为女性,采用了不同的治疗方式。第一例患者接受了胰体尾切除术,第二例患者因肿瘤大小为5厘米且未累及胆管和主胰管,故行胰体尾肿物剜除术。

结论

作者讨论了两例12岁女性胰腺实性假乳头状肿瘤病例,两名患者均表现为腹痛。患者接受了不同的治疗。通过非增强和增强CT的影像学检查确诊,并得到组织病理学结果的支持。

https://cdn.ncbi.nlm.nih.gov/pmc/blobs/94e9/11623909/06c1d26ee778/ms9-86-7343-g001.jpg

文献检索

告别复杂PubMed语法,用中文像聊天一样搜索,搜遍4000万医学文献。AI智能推荐,让科研检索更轻松。

立即免费搜索

文件翻译

保留排版,准确专业,支持PDF/Word/PPT等文件格式,支持 12+语言互译。

免费翻译文档

深度研究

AI帮你快速写综述,25分钟生成高质量综述,智能提取关键信息,辅助科研写作。

立即免费体验