Suppr超能文献

胰腺实性假乳头状肿瘤:单中心对一种罕见肿瘤的经验总结

Solid Pseudopapillary Neoplasm of the Pancreas: A Single-Center Experience of a Rare Neoplasm.

作者信息

Kumar Sanjay, Singh Rakesh Kumar, Agrawal Lajpat, Kumar Saket, Saini Tushar, Harisankar A G, Mandal Manish

机构信息

Department of Surgical Gastroenterology and Liver Transplant, Indira Gandhi Institute of Medical Sciences, Patna, IND.

出版信息

Cureus. 2023 May 17;15(5):e39162. doi: 10.7759/cureus.39162. eCollection 2023 May.

Abstract

BACKGROUND

Solid pseudopapillary neoplasm (SPN) of the pancreas is an extremely rare pancreatic exocrine tumor. The study aims to report our experience with the SPN of the pancreas.

METHODS

A retrospective analysis of the prospectively maintained database was carried out of all the cases diagnosed and treated as SPN between January 2019 and January 2023. Patient characteristics including age, gender, clinical presentation, laboratory examinations, imaging features, surgical details, and histopathological and immunohistochemistry details were analyzed.

RESULTS

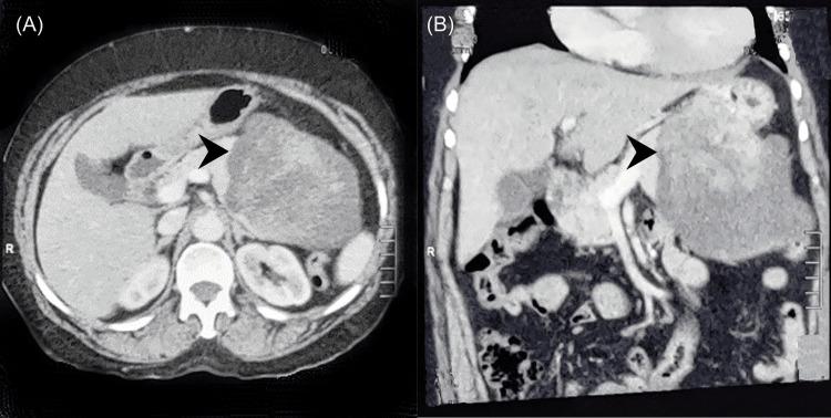
During this period, eight cases were diagnosed with SPN. All patients were female with a median age of 25.75 years (range 14-55 years). All cases presented with pain in the abdomen, and four patients had a mass per abdomen. In all the cases, contrast-enhanced computed tomography (CECT) abdomen was done for the diagnosis and had preoperative suspicion of the pseudopapillary tumor. In four cases, the tumor was located in the head region, while in four cases, the tumor was in the body and tail of the pancreas. The median size of the tumor was 12 cm (range 3.5-15 cm). Three cases underwent Whipple's procedure and one patient was unresectable. Two out of four patients with body and tail tumors underwent distal pancreatectomy with splenectomy, one underwent spleen-preserving distal pancreatectomy, and one patient underwent central pancreatectomy.

CONCLUSION

SPN is a rare neoplasm that primarily affects young women. Clinicopathologic and immunohistochemical features are diagnostic. Surgical resection is generally curative with a good long-term outcome.

摘要

背景

胰腺实性假乳头状瘤(SPN)是一种极其罕见的胰腺外分泌肿瘤。本研究旨在报告我们处理胰腺SPN的经验。

方法

对2019年1月至2023年1月期间所有诊断和治疗为SPN的病例进行前瞻性维护数据库的回顾性分析。分析患者特征,包括年龄、性别、临床表现、实验室检查、影像学特征、手术细节以及组织病理学和免疫组化细节。

结果

在此期间,8例被诊断为SPN。所有患者均为女性,中位年龄25.75岁(范围14 - 55岁)。所有病例均表现为腹痛,4例患者腹部可触及肿块。所有病例均行腹部增强计算机断层扫描(CECT)以进行诊断,术前均怀疑为假乳头状瘤。4例肿瘤位于胰头区域,4例肿瘤位于胰腺体尾部。肿瘤中位大小为12 cm(范围3.5 - 15 cm)。3例行Whipple手术,1例患者无法切除。4例体尾部肿瘤患者中,2例行胰体尾切除术加脾切除术,1例行保留脾脏的胰体尾切除术,1例行胰中段切除术。

结论

SPN是一种罕见肿瘤,主要影响年轻女性。临床病理和免疫组化特征具有诊断价值。手术切除通常可治愈,长期预后良好。

https://cdn.ncbi.nlm.nih.gov/pmc/blobs/45b8/10275745/9e75baac13b8/cureus-0015-00000039162-i01.jpg

文献检索

告别复杂PubMed语法,用中文像聊天一样搜索,搜遍4000万医学文献。AI智能推荐,让科研检索更轻松。

立即免费搜索

文件翻译

保留排版,准确专业,支持PDF/Word/PPT等文件格式,支持 12+语言互译。

免费翻译文档

深度研究

AI帮你快速写综述,25分钟生成高质量综述,智能提取关键信息,辅助科研写作。

立即免费体验