• 文献检索
  • 文档翻译
  • 深度研究
  • 学术资讯
  • Suppr Zotero 插件Zotero 插件
  • 邀请有礼
  • 套餐&价格
  • 历史记录
应用&插件
Suppr Zotero 插件Zotero 插件浏览器插件Mac 客户端Windows 客户端微信小程序
定价
高级版会员购买积分包购买API积分包
服务
文献检索文档翻译深度研究API 文档MCP 服务
关于我们
关于 Suppr公司介绍联系我们用户协议隐私条款
关注我们

Suppr 超能文献

核心技术专利:CN118964589B侵权必究
粤ICP备2023148730 号-1Suppr @ 2026

文献检索

告别复杂PubMed语法,用中文像聊天一样搜索,搜遍4000万医学文献。AI智能推荐,让科研检索更轻松。

立即免费搜索

文件翻译

保留排版,准确专业,支持PDF/Word/PPT等文件格式,支持 12+语言互译。

免费翻译文档

深度研究

AI帮你快速写综述,25分钟生成高质量综述,智能提取关键信息,辅助科研写作。

立即免费体验

血管内栓塞治疗长期创伤性单侧颈动脉海绵窦瘘合并眼内炎后行眼球摘除及眼假体植入术:病例报告及文献复习

Evisceration and ocular prosthetic implantation following endovascular coiling for the management of endophthalmitis in a long-standing post-traumatic unilateral carotid-cavernous fistula: A case report and review of the literature.

作者信息

Thrishulamurthy Chinmayee J, Ahmed H Shafeeq, Pendharkar Hima, Kusuma M J

机构信息

Department of Ophthalmology, Minto Ophthalmic Hospital, Regional Institute of Ophthalmology, Bangalore Medical College and Research Institute, Bengaluru, Karnataka, India.

Department of Neuroimaging and Interventional Radiology, National Institute of Mental Health and Neurosciences, Bengaluru, Karnataka, India.

出版信息

Oman J Ophthalmol. 2024 Oct 24;17(3):388-392. doi: 10.4103/ojo.ojo_41_24. eCollection 2024 Sep-Dec.

DOI:10.4103/ojo.ojo_41_24
PMID:39651520
原文链接:https://pmc.ncbi.nlm.nih.gov/articles/PMC11620303/
Abstract

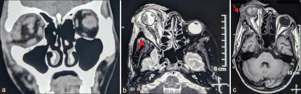
Carotid-cavernous fistula (CCF) is a rare condition involving an abnormal communication between the carotid artery and the cavernous sinus. We present a unique case of posttraumatic unilateral CCF initially misdiagnosed as a corneal melt with iris prolapse and orbital cellulitis. The patient, a 25-year-old male, experienced swelling, bleeding, and sudden vision loss in the affected eye following a fall. Imaging confirmed a direct CCF, and the patient underwent endovascular coiling, evisceration, and prosthetic replacement. Partial loss of levator palpebrae superioris muscle function was observed postprocedure. This case underscores the diagnostic challenge of CCF and highlights the significance of early and accurate diagnosis for appropriate management.

摘要

颈动脉海绵窦瘘(CCF)是一种罕见的病症,涉及颈动脉与海绵窦之间的异常连通。我们报告了一例独特的创伤后单侧CCF病例,最初被误诊为角膜溶解伴虹膜脱垂和眼眶蜂窝织炎。该患者为一名25岁男性,跌倒后患眼出现肿胀、出血和突然失明。影像学检查证实为直接CCF,患者接受了血管内栓塞、眼球摘除和假体置换。术后观察到上睑提肌部分功能丧失。该病例强调了CCF的诊断挑战,并突出了早期准确诊断对于适当治疗的重要性。

https://cdn.ncbi.nlm.nih.gov/pmc/blobs/5156/11620303/25842e661337/OJO-17-388-g003.jpg
https://cdn.ncbi.nlm.nih.gov/pmc/blobs/5156/11620303/d17f6d54387b/OJO-17-388-g001.jpg
https://cdn.ncbi.nlm.nih.gov/pmc/blobs/5156/11620303/3cb222610887/OJO-17-388-g002.jpg
https://cdn.ncbi.nlm.nih.gov/pmc/blobs/5156/11620303/25842e661337/OJO-17-388-g003.jpg
https://cdn.ncbi.nlm.nih.gov/pmc/blobs/5156/11620303/d17f6d54387b/OJO-17-388-g001.jpg
https://cdn.ncbi.nlm.nih.gov/pmc/blobs/5156/11620303/3cb222610887/OJO-17-388-g002.jpg
https://cdn.ncbi.nlm.nih.gov/pmc/blobs/5156/11620303/25842e661337/OJO-17-388-g003.jpg

相似文献

1
Evisceration and ocular prosthetic implantation following endovascular coiling for the management of endophthalmitis in a long-standing post-traumatic unilateral carotid-cavernous fistula: A case report and review of the literature.血管内栓塞治疗长期创伤性单侧颈动脉海绵窦瘘合并眼内炎后行眼球摘除及眼假体植入术:病例报告及文献复习
Oman J Ophthalmol. 2024 Oct 24;17(3):388-392. doi: 10.4103/ojo.ojo_41_24. eCollection 2024 Sep-Dec.
2
Atypical Manifestation of Direct Low-Flow Carotid-Cavernous Fistula: Case Report and Review of the Literature.直接低流量型颈内动脉海绵窦瘘的非典型表现:病例报告及文献复习
World Neurosurg. 2019 May;125:456-460. doi: 10.1016/j.wneu.2019.02.027. Epub 2019 Feb 26.
3
Carotid cavernous fistula masquerading as orbital cellulitis.伪装成眼眶蜂窝织炎的颈内动脉海绵窦瘘
Med J Armed Forces India. 2023 Dec;79(Suppl 1):S301-S303. doi: 10.1016/j.mjafi.2022.01.001. Epub 2022 Feb 28.
4
Return of vision after transarterial coiling of a carotid cavernous sinus fistula: case report.经动脉栓塞治疗颈内动脉海绵窦瘘后视力恢复:病例报告
Surg Neurol. 2006 Jul;66(1):82-5; discussion 85. doi: 10.1016/j.surneu.2005.10.008.
5
Direct carotid-cavernous fistula after functional endoscopic sinus surgery - A case report.功能性鼻内镜鼻窦手术后颈内动脉海绵窦瘘——一例报告
Int J Surg Case Rep. 2024 Aug;121:110013. doi: 10.1016/j.ijscr.2024.110013. Epub 2024 Jul 9.
6
Traumatic Carotid Cavernous Fistula Resulting in Symptoms in the Ipsilateral Eye: A Case Report.导致同侧眼部出现症状的外伤性颈内动脉海绵窦瘘:一例报告
Cureus. 2022 Oct 31;14(10):e30950. doi: 10.7759/cureus.30950. eCollection 2022 Oct.
7
Delayed coil migration into oropharynx following endovascular coiling of a traumatic carotid cavernous fistula: management considerations.创伤性颈动脉海绵窦瘘血管内栓塞术后弹簧圈延迟移入口咽:处理考量
Acta Neurochir (Wien). 2022 May;164(5):1287-1292. doi: 10.1007/s00701-021-05087-5. Epub 2022 Jan 24.
8
Orbital Compartment Syndrome Secondary to Direct Carotid Cavernous Fistula After Carotid Cavernous Aneurysm Rupture: Case Report and Review of Literature.直接颈动脉海绵窦瘘致颈动脉海绵窦段动脉瘤破裂后眶隔综合征:病例报告及文献复习。
World Neurosurg. 2020 Jan;133:409-412. doi: 10.1016/j.wneu.2019.08.037. Epub 2019 Aug 14.
9
Direct traumatic carotid cavernous fistula: angiographic classification and treatment strategies. Study of 172 cases.直接创伤性颈内动脉海绵窦瘘:血管造影分类及治疗策略。172例病例研究。
Interv Neuroradiol. 2014 Jul-Aug;20(4):461-75. doi: 10.15274/INR-2014-10020. Epub 2014 Aug 28.
10
Spontaneous thrombosis of post-traumatic direct carotid-cavernous fistula.创伤后直接型颈内动脉海绵窦瘘的自发性血栓形成
Radiol Case Rep. 2024 Jul 2;19(9):3966-3969. doi: 10.1016/j.radcr.2024.04.089. eCollection 2024 Sep.

引用本文的文献

1
Multimodal endovascular management of traumatic carotid-cavernous fistulas: case series and lessons learned.创伤性颈内动脉海绵窦瘘的多模式血管内治疗:病例系列及经验教训
Front Pharmacol. 2025 May 30;16:1602971. doi: 10.3389/fphar.2025.1602971. eCollection 2025.

本文引用的文献

1
Tissue Adhesives for the Management of Corneal Perforations and Challenging Corneal Conditions.用于治疗角膜穿孔和疑难角膜疾病的组织粘合剂。
Clin Ophthalmol. 2023 Jan 15;17:209-223. doi: 10.2147/OPTH.S394454. eCollection 2023.
2
Traumatic Carotid Cavernous Fistula Resulting in Symptoms in the Ipsilateral Eye: A Case Report.导致同侧眼部出现症状的外伤性颈内动脉海绵窦瘘:一例报告
Cureus. 2022 Oct 31;14(10):e30950. doi: 10.7759/cureus.30950. eCollection 2022 Oct.
3
Transvenous Onyx Embolization of Carotid-Cavernous Fistulas: Mid- and Long-Term Outcomes.
经静脉使用奥尼克斯栓塞治疗颈内动脉海绵窦瘘:中长期疗效
J Neurol Surg B Skull Base. 2021 Jul;82(Suppl 3):e278-e284. doi: 10.1055/s-0040-1710514. Epub 2020 May 15.
4
Carotid-Cavernous Sinus Fistula Masquerading as Thyroid Eye Disease.伪装成甲状腺眼病的颈内动脉海绵窦瘘
Cureus. 2021 Apr 2;13(4):e14261. doi: 10.7759/cureus.14261.
5
Carotid-cavernous fistula from the perspective of an ophthalmologist A Review.眼科医生视角下的颈动脉海绵窦瘘 综述
Cesk Slov Oftalmol. 2020 Fall;1(Ahead of print):1-8. doi: 10.31348/2020/8.
6
Onyx Embolization of Carotid-Cavernous Fistulas and Its Impact on Intraocular Pressure and Recurrence: A Case Series.颈动脉海绵窦瘘的Onyx栓塞术及其对眼压和复发的影响:病例系列
Oper Neurosurg. 2021 Jan 13;20(2):174-182. doi: 10.1093/ons/opaa308.
7
Delayed contralateral traumatic carotid cavernous fistula after craniomaxillofacial fractures.颅颌面骨折后迟发性对侧外伤性颈动脉海绵窦瘘
Arch Craniofac Surg. 2019 Feb;20(1):44-47. doi: 10.7181/acfs.2018.02215. Epub 2019 Feb 20.
8
Emergency management: exposure keratopathy.
Community Eye Health. 2018;31(103):69.
9
Carotid-Cavernous Fistulae: A Review of Clinical Presentation, Therapeutic Options, and Visual Prognosis.颈动脉海绵窦瘘:临床表现、治疗选择及视力预后综述
Int Ophthalmol Clin. 2018 Spring;58(2):271-294. doi: 10.1097/IIO.0000000000000215.
10
Orbital apex disorders: Imaging findings and management.眶尖疾病:影像学表现与处理
Neuroradiol J. 2018 Apr;31(2):104-125. doi: 10.1177/1971400917740361. Epub 2018 Feb 8.