• 文献检索
  • 文档翻译
  • 深度研究
  • 学术资讯
  • Suppr Zotero 插件Zotero 插件
  • 邀请有礼
  • 套餐&价格
  • 历史记录
应用&插件
Suppr Zotero 插件Zotero 插件浏览器插件Mac 客户端Windows 客户端微信小程序
定价
高级版会员购买积分包购买API积分包
服务
文献检索文档翻译深度研究API 文档MCP 服务
关于我们
关于 Suppr公司介绍联系我们用户协议隐私条款
关注我们

Suppr 超能文献

核心技术专利:CN118964589B侵权必究
粤ICP备2023148730 号-1Suppr @ 2026

文献检索

告别复杂PubMed语法,用中文像聊天一样搜索,搜遍4000万医学文献。AI智能推荐,让科研检索更轻松。

立即免费搜索

文件翻译

保留排版,准确专业,支持PDF/Word/PPT等文件格式,支持 12+语言互译。

免费翻译文档

深度研究

AI帮你快速写综述,25分钟生成高质量综述,智能提取关键信息,辅助科研写作。

立即免费体验

罕见的原发性脊柱软骨肉瘤:一例报告

Rare malignant primary spinal chondrosarcoma: A case report.

作者信息

Fitrah Ahmad, Pancaputri Btari Magistra, Wienanda Andreas Klemens, Kuntara Atta, Hadar Abdul Kadir, Budi Irawan Muhammad Naseh Sajadi, Ramdan Ahmad, Yantisetiasti Anglita

机构信息

Department of Radiology, Faculty of Medicine Padjadjaran University. Dr. Hasan Sadikin Hospital, Bandung, West Java, Indonesia.

Department of Orthopedic, Faculty of Medicine Padjadjaran University. Dr. Hasan Sadikin Hospital, Bandung, West Java, Indonesia.

出版信息

Radiol Case Rep. 2024 Nov 22;20(2):949-956. doi: 10.1016/j.radcr.2024.10.127. eCollection 2025 Feb.

DOI:10.1016/j.radcr.2024.10.127
PMID:39654569
原文链接:https://pmc.ncbi.nlm.nih.gov/articles/PMC11625115/
Abstract

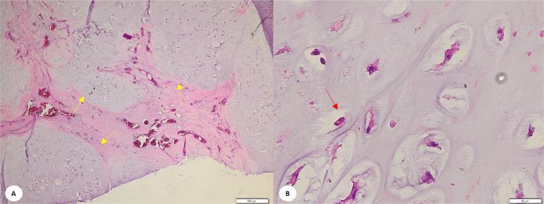
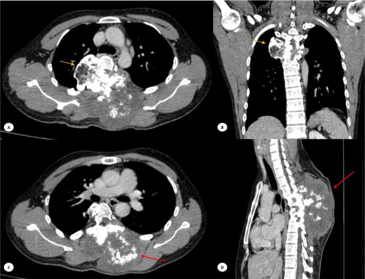
Chondrosarcomas are one of malignant tumors in which cartilaginous matrix is produced. It is divided into 2 groups including primary or secondary. Primary chondrosarcomas are the third most common primary malignant tumors of the bone. Chondrosarcoma represents 20%-27% of all primary malignant bone tumors. Primary spinal chondrosarcoma is exceedingly rare among spinal tumors. A 36-year-old man presented to hospital with the swelling on the back accompanied with pain. Swelling and pain have been felt for approximately 3 years. The symptoms gradually worsened. On thoracolumbal X-ray a lytic sclerotic expansile lesion on the right posterior aspect of thoracal T5-T6. MRI showed the mass infiltrated intradural and intramedullary, reaching up to the level of vertebrae T4-T5. This infiltration resulted in stenosis of the spinal canal, obliterating the ligamentum flavum, supraspinous ligament, and interspinous ligament. Chondrosarcomas are uncommon malignant bone tumours that form cartilage; they rarely involve the spine, while most of them occur in young men. The thoracic spine is most commonly involved, but there is usually a long history of pain and possible neurological symptoms. Imaging techniques, such as conventional examination, CT, and MRI, are very important for diagnosis and classification and show typical bone destruction with matrix mineralization. Imaging revealed a lytic sclerotic lesion at the T5-T6 level. CT scans performed subsequently showed an expansile mass with a typical ``rings and arcs'' appearance of chondrosarcomas. MRI further delineated the extent of the mass and the surrounding tissue infiltration, and confirmation of low-grade chondrosarcoma, grade I was based on histological examination. The most effective treatment has been en bloc resection, and high-dose adjuvant radiotherapy might improve local control and survival rates. Recommended follow-ups are for the purpose of monitoring recurrence. Primary spinal chondrosarcoma is a rare malignant tumor that predominantly affects adolescents. The standard treatment typically involves surgical intervention, often supplemented with adjuvant radiotherapy. Many patients experience considerable improvements in neurological function following treatment. Long-term monitoring and follow-up are crucial for ensuring the best possible outcomes for individuals with primary spinal chondrosarcoma.

摘要

软骨肉瘤是产生软骨基质的恶性肿瘤之一。它分为两组,包括原发性或继发性。原发性软骨肉瘤是第三常见的原发性骨恶性肿瘤。软骨肉瘤占所有原发性骨恶性肿瘤的20%-27%。原发性脊柱软骨肉瘤在脊柱肿瘤中极为罕见。一名36岁男性因背部肿胀伴疼痛入院。肿胀和疼痛已持续约3年,症状逐渐加重。胸腰椎X线显示胸段T5-T6右侧后方有一个溶骨性硬化性膨胀性病变。MRI显示肿块浸润硬膜内和髓内,达T4-T5椎体水平。这种浸润导致椎管狭窄,黄韧带、棘上韧带和棘间韧带消失。软骨肉瘤是罕见的形成软骨的恶性骨肿瘤;它们很少累及脊柱,大多数发生在年轻男性中。胸椎最常受累,但通常有长期疼痛史和可能的神经症状。影像学技术,如传统检查、CT和MRI,对诊断和分类非常重要,显示典型的伴有基质矿化的骨质破坏。影像学显示T5-T6水平有一个溶骨性硬化性病变。随后进行的CT扫描显示一个膨胀性肿块,具有软骨肉瘤典型的“环和弧”外观。MRI进一步明确了肿块范围和周围组织浸润情况,并根据组织学检查确诊为低级别软骨肉瘤,I级。最有效的治疗方法是整块切除,高剂量辅助放疗可能会改善局部控制和生存率。推荐的随访是为了监测复发情况。原发性脊柱软骨肉瘤是一种罕见的主要影响青少年的恶性肿瘤。标准治疗通常包括手术干预,常辅以辅助放疗。许多患者在治疗后神经功能有显著改善。长期监测和随访对于确保原发性脊柱软骨肉瘤患者获得最佳预后至关重要。

https://cdn.ncbi.nlm.nih.gov/pmc/blobs/04c3/11625115/8029bf410daf/gr6.jpg
https://cdn.ncbi.nlm.nih.gov/pmc/blobs/04c3/11625115/9ffb42e18d90/gr1.jpg
https://cdn.ncbi.nlm.nih.gov/pmc/blobs/04c3/11625115/fd8d7c3410b8/gr2.jpg
https://cdn.ncbi.nlm.nih.gov/pmc/blobs/04c3/11625115/02db5b03bb25/gr3.jpg
https://cdn.ncbi.nlm.nih.gov/pmc/blobs/04c3/11625115/9e8e48cf2eba/gr4a.jpg
https://cdn.ncbi.nlm.nih.gov/pmc/blobs/04c3/11625115/b7668f9c4749/gr5.jpg
https://cdn.ncbi.nlm.nih.gov/pmc/blobs/04c3/11625115/8029bf410daf/gr6.jpg
https://cdn.ncbi.nlm.nih.gov/pmc/blobs/04c3/11625115/9ffb42e18d90/gr1.jpg
https://cdn.ncbi.nlm.nih.gov/pmc/blobs/04c3/11625115/fd8d7c3410b8/gr2.jpg
https://cdn.ncbi.nlm.nih.gov/pmc/blobs/04c3/11625115/02db5b03bb25/gr3.jpg
https://cdn.ncbi.nlm.nih.gov/pmc/blobs/04c3/11625115/9e8e48cf2eba/gr4a.jpg
https://cdn.ncbi.nlm.nih.gov/pmc/blobs/04c3/11625115/b7668f9c4749/gr5.jpg
https://cdn.ncbi.nlm.nih.gov/pmc/blobs/04c3/11625115/8029bf410daf/gr6.jpg

相似文献

1
Rare malignant primary spinal chondrosarcoma: A case report.罕见的原发性脊柱软骨肉瘤:一例报告
Radiol Case Rep. 2024 Nov 22;20(2):949-956. doi: 10.1016/j.radcr.2024.10.127. eCollection 2025 Feb.
2
A total en bloc spondylectomy and reconstruction of vertebra thoracal IV-VI in primary large chondrosarcoma: A rare surgical case report.原发性巨大软骨肉瘤全椎体整块切除术及胸4-6椎体重建:1例罕见手术病例报告
Int J Surg Case Rep. 2024 Nov;124:110391. doi: 10.1016/j.ijscr.2024.110391. Epub 2024 Sep 30.
3
Primary intradural myxoid chondrosarcoma: a case report and review in the literature.原发性硬脊膜内黏液样软骨肉瘤:一例报告并文献复习
J Neurooncol. 2005 Nov;75(2):169-72. doi: 10.1007/s11060-005-1739-1.
4
Multilevel En-Bloc Excision of Thoracic Spine Primary Chondrosarcoma Through an All-Posterior Approach: A Report of Two Cases.经全后路入路对胸椎原发性软骨肉瘤进行多节段整块切除:两例报告
Cureus. 2024 Oct 5;16(10):e70884. doi: 10.7759/cureus.70884. eCollection 2024 Oct.
5
Challenges of local recurrence and cure in low grade malignant tumors of the spine.脊柱低度恶性肿瘤局部复发和治愈的挑战。
Spine (Phila Pa 1976). 2009 Oct 15;34(22 Suppl):S48-57. doi: 10.1097/BRS.0b013e3181b969ac.
6
Long-term clinical outcome of sacral chondrosarcoma treated by total en bloc sacrectomy and reconstruction of lumbosacral and pelvic ring using intraoperative extracorporeal irradiated autologous tumor-bearing sacrum: a case report with 10 years follow-up.采用术中体外放射灭活自体含肿瘤骶骨进行全块切除骶骨肿瘤切除和腰骶骨盆环重建治疗骶骨软骨肉瘤的长期临床结果:10 年随访的 1 例报告
Spine J. 2014 May 1;14(5):e1-8. doi: 10.1016/j.spinee.2013.10.057. Epub 2013 Nov 19.
7
Enneking type III resection of pubic chondrosarcoma: A case report.耻骨软骨肉瘤的恩纳金III型切除术:一例报告。
Ann Med Surg (Lond). 2022 Jan 25;74:103270. doi: 10.1016/j.amsu.2022.103270. eCollection 2022 Feb.
8
Rare malignant primary spinal intradural extramedullary mesenchymal chondrosarcoma: a case report and literature review.罕见的原发性脊髓硬膜内髓外间叶性软骨肉瘤:一例报告及文献复习
Transl Cancer Res. 2022 Sep;11(9):3371-3378. doi: 10.21037/tcr-21-2703.
9
Primary intradural extramedullary spinal mesenchymal chondrosarcoma: case report and literature review.原发性硬脊膜外髓内脊索瘤:病例报告及文献复习。
BMC Musculoskelet Disord. 2019 Sep 4;20(1):408. doi: 10.1186/s12891-019-2799-2.
10
Spinal mesenchymal chondrosarcoma: A case report of a rare malignant tumor.脊柱间叶性软骨肉瘤:一例罕见恶性肿瘤的病例报告
Surg Neurol Int. 2023 Apr 7;14:128. doi: 10.25259/SNI_206_2023. eCollection 2023.

本文引用的文献

1
Classification of Chondrosarcoma: From Characteristic to Challenging Imaging Findings.软骨肉瘤的分类:从特征性影像表现到具有挑战性的影像发现
Cancers (Basel). 2023 Mar 10;15(6):1703. doi: 10.3390/cancers15061703.
2
Rare malignant primary spinal intradural extramedullary mesenchymal chondrosarcoma: a case report and literature review.罕见的原发性脊髓硬膜内髓外间叶性软骨肉瘤:一例报告及文献复习
Transl Cancer Res. 2022 Sep;11(9):3371-3378. doi: 10.21037/tcr-21-2703.
3
Atypical Cartilaginous Tumors: Trends in Management.非典型性软骨肿瘤:治疗趋势。
J Am Acad Orthop Surg Glob Res Rev. 2021 Dec 16;5(12):e21.00277. doi: 10.5435/JAAOSGlobal-D-21-00277.
4
Chondrosarcoma of the spine: a narrative review.脊柱软骨肉瘤:叙述性综述。
Spine J. 2021 Dec;21(12):2078-2096. doi: 10.1016/j.spinee.2021.04.021. Epub 2021 May 8.
5
The 2020 WHO Classification of Tumors of Bone: An Updated Review.2020 年世卫组织骨肿瘤分类:更新综述。
Adv Anat Pathol. 2021 May 1;28(3):119-138. doi: 10.1097/PAP.0000000000000293.
6
Primary intradural extramedullary spinal mesenchymal chondrosarcoma: case report and literature review.原发性硬脊膜外髓内脊索瘤:病例报告及文献复习。
BMC Musculoskelet Disord. 2019 Sep 4;20(1):408. doi: 10.1186/s12891-019-2799-2.
7
Imaging of Malignant Primitive Tumors of the Spine.脊柱恶性原始肿瘤的影像学检查
J Belg Soc Radiol. 2018 Sep 6;102(1):56. doi: 10.5334/jbsr.1410.
8
Incidence, outcomes and prognostic factors during 25 years of treatment of chondrosarcomas.软骨肉瘤25年治疗期间的发病率、治疗结果及预后因素
Surg Oncol. 2018 Sep;27(3):402-408. doi: 10.1016/j.suronc.2018.05.009. Epub 2018 May 6.
9
Survival and prognostic factors in conventional central chondrosarcoma.常规中央性软骨肉瘤的生存和预后因素。
BMC Cancer. 2018 Aug 24;18(1):849. doi: 10.1186/s12885-018-4741-7.
10
Long-term Outcome of Chondrosarcoma: A Single Institutional Experience.软骨肉瘤的长期预后:单机构经验
Cancer Res Treat. 2015 Oct;47(4):897-903. doi: 10.4143/crt.2014.135. Epub 2015 Feb 12.