• 文献检索
  • 文档翻译
  • 深度研究
  • 学术资讯
  • Suppr Zotero 插件Zotero 插件
  • 邀请有礼
  • 套餐&价格
  • 历史记录
应用&插件
Suppr Zotero 插件Zotero 插件浏览器插件Mac 客户端Windows 客户端微信小程序
定价
高级版会员购买积分包购买API积分包
服务
文献检索文档翻译深度研究API 文档MCP 服务
关于我们
关于 Suppr公司介绍联系我们用户协议隐私条款
关注我们

Suppr 超能文献

核心技术专利:CN118964589B侵权必究
粤ICP备2023148730 号-1Suppr @ 2026

文献检索

告别复杂PubMed语法,用中文像聊天一样搜索,搜遍4000万医学文献。AI智能推荐,让科研检索更轻松。

立即免费搜索

文件翻译

保留排版,准确专业,支持PDF/Word/PPT等文件格式,支持 12+语言互译。

免费翻译文档

深度研究

AI帮你快速写综述,25分钟生成高质量综述,智能提取关键信息,辅助科研写作。

立即免费体验

食管癌放疗19年后发生主动脉食管瘘:一例报告

Aortoesophageal fistula 19 years after radiotherapy for oesophageal cancer: a case report.

作者信息

Sakakibara Satoshi, Marumoto Akira

机构信息

Department of Cardiovascular Surgery, Higashiosaka City Medical Center, 3-4-5, Nishiiwata, Higashiosaka, Osaka 578-8588, Japan.

出版信息

Eur Heart J Case Rep. 2024 Nov 16;8(12):ytae612. doi: 10.1093/ehjcr/ytae612. eCollection 2024 Dec.

DOI:10.1093/ehjcr/ytae612
PMID:39659462
原文链接:https://pmc.ncbi.nlm.nih.gov/articles/PMC11630008/
Abstract

BACKGROUND

Aortoesophageal fistula (AEF) is a life-threatening disease that causes massive bleeding, sepsis, and ultimately death. Therefore, emergency treatments are required. Recently, cases of AEF treated with thoracic endovascular aortic repair (TEVAR) have been reported.

CASE SUMMARY

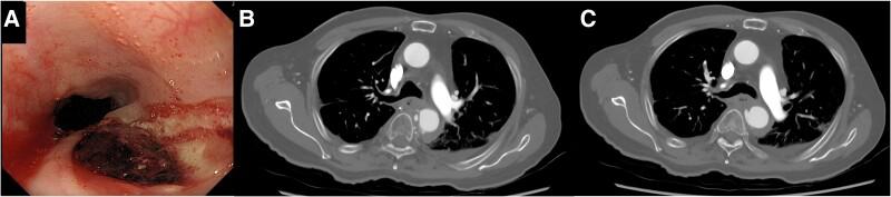
An 84-year-old man was referred to a local hospital with massive haematemesis and transient loss of consciousness. The patient's medical history included radiotherapy for oesophageal cancer 19 years before presentation. Gastrofiberscopy revealed an ulcer in the thoracic oesophagus and no recurrence of oesophageal cancer. Computed tomography (CT) showed that the same area was adjacent to the thoracic aorta and that there was no thoracic aortic aneurysm. The patient was then transferred to our institution for surgical treatment. We diagnosed the patient with an AEF caused by radiotherapy of the oesophagus. Therefore, TEVAR was performed. Due to the patient's advanced age, condition, and the possibility of strong adhesions, there was a high risk that they would be unable to tolerate oesophagectomy to prevent stent graft infection. Therefore, antibiotic therapy was initiated. However, CT revealed a stent graft infection 24 days after TEVAR. The patient died of sepsis 27 days after the procedure.

DISCUSSION

We describe the first case of AEF as a very late complication of radiotherapy for oesophageal cancer. Surgery to repair oesophageal defects is necessary to prevent stent graft infection. However, the decision for such surgery should be made on a case-by-case basis, taking into account the patient's condition and ability to tolerate the procedure.

摘要

背景

主动脉食管瘘(AEF)是一种危及生命的疾病,可导致大量出血、败血症并最终死亡。因此,需要进行紧急治疗。最近,有报道称采用胸主动脉腔内修复术(TEVAR)治疗AEF的病例。

病例摘要

一名84岁男性因大量呕血和短暂意识丧失被转诊至当地医院。患者的病史包括在就诊前19年接受过食管癌放疗。胃镜检查发现胸段食管有溃疡,且食管癌无复发。计算机断层扫描(CT)显示同一区域与胸主动脉相邻,且无胸主动脉瘤。随后患者被转至我院接受手术治疗。我们诊断该患者为食管放疗引起的AEF。因此,实施了TEVAR。由于患者年龄较大、病情以及存在强力粘连的可能性,他们极有可能无法耐受食管切除术以预防支架移植物感染。因此,开始使用抗生素治疗。然而,CT显示TEVAR术后24天出现支架移植物感染。患者在手术后27天死于败血症。

讨论

我们描述了首例AEF作为食管癌放疗极晚期并发症的病例。为预防支架移植物感染,修复食管缺损的手术是必要的。然而,对于此类手术的决策应根据具体情况,考虑患者的病情和耐受手术的能力来做出。

https://cdn.ncbi.nlm.nih.gov/pmc/blobs/a372/11630008/c25dfe3625b3/ytae612f3.jpg
https://cdn.ncbi.nlm.nih.gov/pmc/blobs/a372/11630008/d80a1cd7d8bd/ytae612f1.jpg
https://cdn.ncbi.nlm.nih.gov/pmc/blobs/a372/11630008/a4783ed54014/ytae612f2.jpg
https://cdn.ncbi.nlm.nih.gov/pmc/blobs/a372/11630008/c25dfe3625b3/ytae612f3.jpg
https://cdn.ncbi.nlm.nih.gov/pmc/blobs/a372/11630008/d80a1cd7d8bd/ytae612f1.jpg
https://cdn.ncbi.nlm.nih.gov/pmc/blobs/a372/11630008/a4783ed54014/ytae612f2.jpg
https://cdn.ncbi.nlm.nih.gov/pmc/blobs/a372/11630008/c25dfe3625b3/ytae612f3.jpg

相似文献

1
Aortoesophageal fistula 19 years after radiotherapy for oesophageal cancer: a case report.食管癌放疗19年后发生主动脉食管瘘:一例报告
Eur Heart J Case Rep. 2024 Nov 16;8(12):ytae612. doi: 10.1093/ehjcr/ytae612. eCollection 2024 Dec.
2
Aortoesophageal fistula due to esophageal cancer: a case report of successful management.食管癌所致主动脉食管瘘:成功治疗的病例报告
Surg Case Rep. 2024 Apr 17;10(1):88. doi: 10.1186/s40792-024-01893-y.
3
Three-step surgical treatment of aortoesophageal fistula after thoracic endovascular aortic repair: A case report.胸主动脉腔内修复术后主动脉食管瘘的三步手术治疗:一例报告
Int J Surg Case Rep. 2019;65:221-224. doi: 10.1016/j.ijscr.2019.10.066. Epub 2019 Nov 3.
4
Aortoesophageal Fistula: A Fatal Complication of Thoracic Endovascular Aortic Stent-Graft Placement.主动脉食管瘘:胸段血管腔内主动脉支架移植物置入术的致命并发症
Am J Case Rep. 2018 Oct 23;19:1258-1261. doi: 10.12659/AJCR.911441.
5
Endovascular repair of descending thoracic aortic aneurysm: an evidence-based analysis.降主动脉瘤的血管腔内修复:一项基于证据的分析。
Ont Health Technol Assess Ser. 2005;5(18):1-59. Epub 2005 Nov 1.
6
Successful management of life-threatening aortoesophageal fistula: A case report and review of the literature.危及生命的主动脉食管瘘的成功管理:一例病例报告及文献综述
World J Clin Cases. 2022 Apr 26;10(12):3814-3821. doi: 10.12998/wjcc.v10.i12.3814.
7
Endoscopic View of the Aorta Through the Oesophagus: An Unusual Complication Post Thoracic Endovascular Aortic Repair.经食管的主动脉内镜视图:胸段血管腔内主动脉修复术后的一种罕见并发症
Case Rep Gastrointest Med. 2025 Jan 10;2025:6277906. doi: 10.1155/crgm/6277906. eCollection 2025.
8
Surgical treatment for secondary aortoesophageal fistula.外科治疗继发的主动脉-食管瘘。
J Cardiothorac Surg. 2020 Sep 11;15(1):251. doi: 10.1186/s13019-020-01293-x.
9
Successful management of aortoesophageal fistula caused by esophageal cancer using thoracic endovascular aortic repair.采用胸段血管腔内主动脉修复术成功治疗食管癌所致主动脉食管瘘。
Clin J Gastroenterol. 2020 Oct;13(5):678-682. doi: 10.1007/s12328-020-01132-5. Epub 2020 May 24.
10
Acute management of aortobronchial and aortoesophageal fistulas using thoracic endovascular aortic repair.使用胸段血管腔内主动脉修复术对主动脉支气管瘘和主动脉食管瘘进行急性处理。
J Vasc Surg. 2009 Nov;50(5):999-1004. doi: 10.1016/j.jvs.2009.04.043. Epub 2009 May 29.

本文引用的文献

1
pTEVAR of an aorto-esophageal fistula in esophageal cancer: Case report and review of the literature.食管癌合并主动脉-食管瘘的腔内覆膜支架植入术:病例报告及文献复习
Radiol Case Rep. 2023 May 18;18(7):2526-2530. doi: 10.1016/j.radcr.2023.04.037. eCollection 2023 Jul.
2
Esophago-aortic fistula of esophageal cancer after chemotherapy, proton therapy and salvage photodynamic therapy: a rescued case.化疗、质子治疗和挽救性光动力疗法后食管癌食管-主动脉瘘:1 例抢救成功病例。
Clin J Gastroenterol. 2022 Dec;15(6):1029-1034. doi: 10.1007/s12328-022-01694-6. Epub 2022 Sep 7.
3
Successful management of life-threatening aortoesophageal fistula: A case report and review of the literature.
危及生命的主动脉食管瘘的成功管理:一例病例报告及文献综述
World J Clin Cases. 2022 Apr 26;10(12):3814-3821. doi: 10.12998/wjcc.v10.i12.3814.
4
Successful management of aortoesophageal fistula caused by esophageal cancer using thoracic endovascular aortic repair.采用胸段血管腔内主动脉修复术成功治疗食管癌所致主动脉食管瘘。
Clin J Gastroenterol. 2020 Oct;13(5):678-682. doi: 10.1007/s12328-020-01132-5. Epub 2020 May 24.
5
Hemorrhagic Shock Secondary to Aortoesophageal Fistula as a Complication of Esophageal Cancer.主动脉食管瘘继发失血性休克作为食管癌的一种并发症
Cureus. 2020 Feb 29;12(2):e7146. doi: 10.7759/cureus.7146.
6
Thoracic Endovascular Aortic Repair of Esophageal Cancer-Associated Aortoesophageal Fistula: A Case Report and Literature Review.食管癌相关性主动脉食管瘘的胸段血管腔内主动脉修复术:病例报告及文献综述
Case Rep Oncol Med. 2018 Dec 19;2018:9851397. doi: 10.1155/2018/9851397. eCollection 2018.
7
Thoracic endovascular aortic repair in management of aortoesophageal fistulas.胸主动脉腔内修复术治疗主动脉-食管瘘。
J Vasc Surg. 2014 Jan;59(1):248-54. doi: 10.1016/j.jvs.2013.07.117. Epub 2013 Nov 5.
8
Thoracic endovascular repair for aorto-esophageal fistula in patients with esophageal carcinoma: report of 3 cases.食管癌患者主动脉-食管瘘的胸段血管腔内修复术:3例报告
Vasc Endovascular Surg. 2013 Jan;47(1):65-9. doi: 10.1177/1538574412467858. Epub 2012 Dec 5.
9
Risk factors and clinical courses of chemoradiation-related arterio-esophageal fistula in esophageal cancer patients with clinical invasion of the aorta.食管癌患者临床侵犯主动脉后放化疗相关的动-食管瘘的危险因素和临床病程。
Int J Clin Oncol. 2011 Aug;16(4):359-65. doi: 10.1007/s10147-011-0192-8. Epub 2011 Feb 24.
10
Self-expandable metallic stents for patients with recurrent esophageal carcinoma after failure of primary chemoradiotherapy.用于接受过初始放化疗失败后的复发性食管癌患者的自膨式金属支架
Jpn J Clin Oncol. 2001 Jun;31(6):270-4. doi: 10.1093/jjco/hye053.