• 文献检索
  • 文档翻译
  • 深度研究
  • 学术资讯
  • Suppr Zotero 插件Zotero 插件
  • 邀请有礼
  • 套餐&价格
  • 历史记录
应用&插件
Suppr Zotero 插件Zotero 插件浏览器插件Mac 客户端Windows 客户端微信小程序
定价
高级版会员购买积分包购买API积分包
服务
文献检索文档翻译深度研究API 文档MCP 服务
关于我们
关于 Suppr公司介绍联系我们用户协议隐私条款
关注我们

Suppr 超能文献

核心技术专利:CN118964589B侵权必究
粤ICP备2023148730 号-1Suppr @ 2026

文献检索

告别复杂PubMed语法,用中文像聊天一样搜索,搜遍4000万医学文献。AI智能推荐,让科研检索更轻松。

立即免费搜索

文件翻译

保留排版,准确专业,支持PDF/Word/PPT等文件格式,支持 12+语言互译。

免费翻译文档

深度研究

AI帮你快速写综述,25分钟生成高质量综述,智能提取关键信息,辅助科研写作。

立即免费体验

尿酸肾病中细胞自噬与炎性小体之间的关联。

Association between mitophagy and inflammasome in uric acid nephropathy.

作者信息

Li Xiao-Qian, Gu Yong-Qing, Ling Yuan-Yuan, Wang Mei, Miao Jin, Xue Li, Ji Wei, Liu Jun

机构信息

Department of Nephrology, Nantong Hospital to Nanjing University of Chinese Medicine, Nantong Hospital of Traditional Chinese Medicine, Nantong, Jiangsu, China.

Department of Cardiology, Nantong Hospital to Nanjing University of Chinese Medicine, Nantong Hospital of Traditional Chinese Medicine, Nantong, Jiangsu, China.

出版信息

Ren Fail. 2024 Dec;46(2):2438847. doi: 10.1080/0886022X.2024.2438847. Epub 2024 Dec 16.

DOI:10.1080/0886022X.2024.2438847
PMID:39681479
原文链接:https://pmc.ncbi.nlm.nih.gov/articles/PMC11650439/
Abstract

OBJECTIVE

This study was recruited to investigate the role of mitophagy in activating NLRP3 inflammasome in the kidney of uric acid (UA) nephropathy (UAN) rats.

METHODS

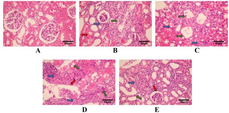
This study developed a uric acid nephropathy (UAN) rat model divided into five groups: Negative control (NC), UAN model (M), UAN + autophagy inhibitor (3-MA), UAN + lysosome inhibitor (CQ), and ROS scavenger (N-acetylcysteine, N). H&E staining assessed renal structure, ROS levels were measured with 2, 7dichlorofluorescin diacetate, and ELISA measured serum markers (, , cystatin , , , ). Western blot and qRT-PCR evaluated autophagy and inflammation-related protein (, , , , , , ) expression. NRK-52E cells treated with uric acid and shRNA were analyzed by western blot.

RESULTS

Renal injury in UAN rats was aggravated by ROS accumulation, which promoted mitophagy and activated the inflammasome. Eliminating ROS reduced mitophagy, inhibited NLRP3 activation, lowered and levels, and alleviated renal injury. Notably, inhibiting mitophagy increased ROS accumulation, up-regulated , , and expression, further worsening renal injury. In vitro, uric acid treatment of NRK-52E cells altered autophagy-related protein and pro-inflammatory cytokine levels, highlighting the interplay between mitophagy and inflammation in uric acid nephropathy.

CONCLUSION

Mitophagy influences renal injury in uric acid nephropathy (UAN) by regulating ROS accumulation and inflammasome activation, suggesting that mitophagy may serve as a potential therapeutic target for UAN.

摘要

目的

本研究旨在探讨线粒体自噬在尿酸(UA)肾病(UAN)大鼠肾脏中激活NLRP3炎性小体的作用。

方法

本研究建立了尿酸肾病(UAN)大鼠模型,分为五组:阴性对照(NC)组、UAN模型(M)组、UAN + 自噬抑制剂(3-MA)组、UAN + 溶酶体抑制剂(CQ)组和ROS清除剂(N-乙酰半胱氨酸,N)组。苏木精-伊红(H&E)染色评估肾脏结构,用二乙酸二氯荧光素测定ROS水平,酶联免疫吸附测定(ELISA)检测血清标志物( , ,胱抑素 , , )。蛋白质免疫印迹法(Western blot)和实时定量聚合酶链反应(qRT-PCR)评估自噬和炎症相关蛋白( , , , , , )的表达。用蛋白质免疫印迹法分析用尿酸和短发夹RNA(shRNA)处理的NRK-52E细胞。

结果

UAN大鼠的肾损伤因ROS积累而加重,ROS积累促进了线粒体自噬并激活了炎性小体。清除ROS可减少线粒体自噬,抑制NLRP3激活,降低 和 水平,并减轻肾损伤。值得注意的是,抑制线粒体自噬会增加ROS积累,上调 、 和 的表达,进一步加重肾损伤。在体外,尿酸处理NRK-52E细胞改变了自噬相关蛋白和促炎细胞因子水平,突出了线粒体自噬与尿酸肾病炎症之间的相互作用。

结论

线粒体自噬通过调节ROS积累和炎性小体激活影响尿酸肾病(UAN)的肾损伤,提示线粒体自噬可能是UAN的一个潜在治疗靶点。

https://cdn.ncbi.nlm.nih.gov/pmc/blobs/37a4/11650439/8652b0534f68/IRNF_A_2438847_F0008_C.jpg
https://cdn.ncbi.nlm.nih.gov/pmc/blobs/37a4/11650439/53136a4b4025/IRNF_A_2438847_F0001_C.jpg
https://cdn.ncbi.nlm.nih.gov/pmc/blobs/37a4/11650439/83e9dafc92b6/IRNF_A_2438847_F0002_C.jpg
https://cdn.ncbi.nlm.nih.gov/pmc/blobs/37a4/11650439/8b8e7be5295c/IRNF_A_2438847_F0003_C.jpg
https://cdn.ncbi.nlm.nih.gov/pmc/blobs/37a4/11650439/38da9f3b422e/IRNF_A_2438847_F0004_C.jpg
https://cdn.ncbi.nlm.nih.gov/pmc/blobs/37a4/11650439/dab7dd5832df/IRNF_A_2438847_F0005_C.jpg
https://cdn.ncbi.nlm.nih.gov/pmc/blobs/37a4/11650439/265f8bf3d32e/IRNF_A_2438847_F0006_C.jpg
https://cdn.ncbi.nlm.nih.gov/pmc/blobs/37a4/11650439/34d870d05e5f/IRNF_A_2438847_F0007_C.jpg
https://cdn.ncbi.nlm.nih.gov/pmc/blobs/37a4/11650439/8652b0534f68/IRNF_A_2438847_F0008_C.jpg
https://cdn.ncbi.nlm.nih.gov/pmc/blobs/37a4/11650439/53136a4b4025/IRNF_A_2438847_F0001_C.jpg
https://cdn.ncbi.nlm.nih.gov/pmc/blobs/37a4/11650439/83e9dafc92b6/IRNF_A_2438847_F0002_C.jpg
https://cdn.ncbi.nlm.nih.gov/pmc/blobs/37a4/11650439/8b8e7be5295c/IRNF_A_2438847_F0003_C.jpg
https://cdn.ncbi.nlm.nih.gov/pmc/blobs/37a4/11650439/38da9f3b422e/IRNF_A_2438847_F0004_C.jpg
https://cdn.ncbi.nlm.nih.gov/pmc/blobs/37a4/11650439/dab7dd5832df/IRNF_A_2438847_F0005_C.jpg
https://cdn.ncbi.nlm.nih.gov/pmc/blobs/37a4/11650439/265f8bf3d32e/IRNF_A_2438847_F0006_C.jpg
https://cdn.ncbi.nlm.nih.gov/pmc/blobs/37a4/11650439/34d870d05e5f/IRNF_A_2438847_F0007_C.jpg
https://cdn.ncbi.nlm.nih.gov/pmc/blobs/37a4/11650439/8652b0534f68/IRNF_A_2438847_F0008_C.jpg

相似文献

1
Association between mitophagy and inflammasome in uric acid nephropathy.尿酸肾病中细胞自噬与炎性小体之间的关联。
Ren Fail. 2024 Dec;46(2):2438847. doi: 10.1080/0886022X.2024.2438847. Epub 2024 Dec 16.
2
Weicao capsule ameliorates renal injury through increasing autophagy and NLRP3 degradation in UAN rats.胃巢胶囊通过增加 UAN 大鼠自噬和 NLRP3 降解来改善肾损伤。
Int J Biochem Cell Biol. 2018 Mar;96:1-8. doi: 10.1016/j.biocel.2018.01.001. Epub 2018 Jan 2.
3
Qinling liquid ameliorates renal immune inflammatory damage via activating autophagy through AMPK/Stat3 pathway in uric acid nephropathy.秦岭液通过激活 AMPK/Stat3 通路诱导自噬减轻尿酸肾病肾脏免疫炎症损伤。
Cytokine. 2023 Mar;163:156120. doi: 10.1016/j.cyto.2022.156120. Epub 2023 Jan 9.
4
URB597 protects against NLRP3 inflammasome activation by inhibiting autophagy dysfunction in a rat model of chronic cerebral hypoperfusion.URB597 通过抑制慢性脑低灌注大鼠模型中的自噬功能障碍来防止 NLRP3 炎性小体的激活。
J Neuroinflammation. 2019 Dec 9;16(1):260. doi: 10.1186/s12974-019-1668-0.
5
LncRNA ANRIL promotes NLRP3 inflammasome activation in uric acid nephropathy through miR-122-5p/BRCC3 axis.长链非编码 RNA ANRIL 通过 miR-122-5p/BRCC3 轴促进尿酸肾病中 NLRP3 炎性小体的激活。
Biochimie. 2019 Feb;157:102-110. doi: 10.1016/j.biochi.2018.10.011. Epub 2018 Oct 19.
6
Uric acid regulates NLRP3/IL-1β signaling pathway and further induces vascular endothelial cells injury in early CKD through ROS activation and K efflux.尿酸通过 ROS 激活和 K+外流调节 NLRP3/IL-1β 信号通路,并进一步诱导早期 CKD 中的血管内皮细胞损伤。
BMC Nephrol. 2019 Aug 14;20(1):319. doi: 10.1186/s12882-019-1506-8.
7
Study of hispidulin in the treatment of uric acid nephropathy based on NF-κB signaling pathway.基于 NF-κB 信号通路研究木犀草素治疗尿酸肾病。
Chem Biol Drug Des. 2024 Jan;103(1):e14367. doi: 10.1111/cbdd.14367. Epub 2023 Oct 25.
8
Melatonin-mediated mitophagy protects against early brain injury after subarachnoid hemorrhage through inhibition of NLRP3 inflammasome activation.褪黑素介导的线粒体自噬通过抑制 NLRP3 炎性小体激活来防止蛛网膜下腔出血后的早期脑损伤。
Sci Rep. 2017 May 25;7(1):2417. doi: 10.1038/s41598-017-02679-z.
9
Berberine alleviated contrast-induced acute kidney injury by mitophagy-mediated NLRP3 inflammasome inactivation in a mice model.小檗碱通过自噬介导线粒体 NLRP3 炎症小体失活缓解小鼠造影剂急性肾损伤。
Toxicol Appl Pharmacol. 2024 May;486:116952. doi: 10.1016/j.taap.2024.116952. Epub 2024 May 3.
10
Phloretin ameliorates hyperuricemia-induced chronic renal dysfunction through inhibiting NLRP3 inflammasome and uric acid reabsorption.根皮苷通过抑制 NLRP3 炎性小体和尿酸重吸收改善高尿酸血症诱导的慢性肾功能障碍。
Phytomedicine. 2020 Jan;66:153111. doi: 10.1016/j.phymed.2019.153111. Epub 2019 Oct 16.

引用本文的文献

1
Association Between the Uric Acid to High-Density Lipoprotein Cholesterol Ratio and Residual Risk for Coronary Artery Disease.尿酸与高密度脂蛋白胆固醇比值和冠状动脉疾病残余风险之间的关联
Cardiovasc Toxicol. 2025 Apr 17. doi: 10.1007/s12012-025-10000-y.

本文引用的文献

1
HCK induces macrophage activation to promote renal inflammation and fibrosis via suppression of autophagy.HCK 通过抑制自噬诱导巨噬细胞活化,促进肾脏炎症和纤维化。
Nat Commun. 2023 Jul 18;14(1):4297. doi: 10.1038/s41467-023-40086-3.
2
Qinling liquid ameliorates renal immune inflammatory damage via activating autophagy through AMPK/Stat3 pathway in uric acid nephropathy.秦岭液通过激活 AMPK/Stat3 通路诱导自噬减轻尿酸肾病肾脏免疫炎症损伤。
Cytokine. 2023 Mar;163:156120. doi: 10.1016/j.cyto.2022.156120. Epub 2023 Jan 9.
3
Gut microbiota remodeling: A promising therapeutic strategy to confront hyperuricemia and gout.
肠道微生物群重塑:应对高尿酸血症和痛风的有前途的治疗策略。
Front Cell Infect Microbiol. 2022 Aug 10;12:935723. doi: 10.3389/fcimb.2022.935723. eCollection 2022.
4
Traditional Chinese herbs and natural products in hyperuricemia-induced chronic kidney disease.用于高尿酸血症所致慢性肾脏病的中药及天然产物
Front Pharmacol. 2022 Aug 9;13:971032. doi: 10.3389/fphar.2022.971032. eCollection 2022.
5
The multifaceted role of kidney tubule mitochondrial dysfunction in kidney disease development.肾脏管腔线粒体功能障碍在肾脏病发生发展中的多效性作用。
Trends Cell Biol. 2022 Oct;32(10):841-853. doi: 10.1016/j.tcb.2022.03.012. Epub 2022 Apr 25.
6
Blockade of Autophagy Prevents the Progression of Hyperuricemic Nephropathy Through Inhibiting NLRP3 Inflammasome-Mediated Pyroptosis.自噬阻断通过抑制NLRP3炎性小体介导的细胞焦亡预防高尿酸血症肾病进展
Front Immunol. 2022 Mar 2;13:858494. doi: 10.3389/fimmu.2022.858494. eCollection 2022.
7
Prevalence of Hyperuricemia Among Chinese Adults: Findings From Two Nationally Representative Cross-Sectional Surveys in 2015-16 and 2018-19.2015-2016 年和 2018-2019 年两项全国代表性横断面调查研究中国成年人高尿酸血症的流行情况。
Front Immunol. 2022 Feb 7;12:791983. doi: 10.3389/fimmu.2021.791983. eCollection 2021.
8
Loganin Alleviates Gout Inflammation by Suppressing NLRP3 Inflammasome Activation and Mitochondrial Damage.毛兰素通过抑制 NLRP3 炎性小体激活和线粒体损伤缓解痛风性炎症。
Molecules. 2021 Feb 18;26(4):1071. doi: 10.3390/molecules26041071.
9
Hyperuricemia causes kidney damage by promoting autophagy and NLRP3-mediated inflammation in rats with urate oxidase deficiency.高尿酸血症通过促进尿酸氧化酶缺乏大鼠的自噬和 NLRP3 介导的炎症导致肾脏损伤。
Dis Model Mech. 2021 Mar 24;14(3):dmm048041. doi: 10.1242/dmm.048041.
10
Inhibiting the NLRP3 Inflammasome.抑制 NLRP3 炎性小体。
Molecules. 2020 Nov 25;25(23):5533. doi: 10.3390/molecules25235533.