Suppr超能文献

丙酸血症低表达小鼠模型中的肾脏表型分析揭示了有机酸尿症的共同发病机制。

Renal phenotyping in a hypomorphic murine model of propionic aciduria reveals common pathomechanisms in organic acidurias.

作者信息

Schumann Anke, Martinez-Pizarro Ainhoa, Richard Eva, Schell Christoph, Kössinger Anna Laura, Zeyer Karina A, Tholen Stefan, Schilling Oliver, Barry Michael, Neubauer Björn, Köttgen Michael, Hannibal Luciana, Desviat Lourdes R, Spiekerkötter Ute

机构信息

Department of General Paediatrics, Adolescent Medicine and Neonatology, Faculty of Medicine, Medical Center, University of Freiburg, Breisacherstr. 62, 79106, Freiburg, Germany.

Centro de Biología Molecular Severo Ochoa, UAM-CSIC, CIBERER, IdiPaz, IUBM, Universidad Autónoma de Madrid, Madrid, Spain.

出版信息

Sci Rep. 2024 Dec 16;14(1):30478. doi: 10.1038/s41598-024-79572-z.

Abstract

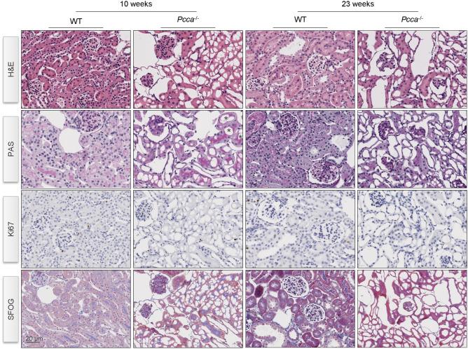
Mutations in the mitochondrial enzyme propionyl-CoA carboxylase (PCC) cause propionic aciduria (PA). Chronic kidney disease (CKD) is a known long-term complication. However, good metabolic control and standard therapy fail to prevent CKD. The pathophysiological mechanisms of CKD are unclear. We investigated the renal phenotype of a hypomorphic murine PA model (Pcca(A138T)) to identify CKD-driving mechanisms. Pcca(A138T) mice show elevated retention parameters and express markers of kidney damage progressing with time. Morphological assessment of the Pcca(A138T) mouse kidneys indicated partial flattening of tubular epithelial cells and focal tubular-cystic dilation. We observed altered renal mitochondrial ultrastructure and mechanisms acting against oxidative stress were active. LC-MS/MS analysis confirmed disease-specific metabolic signatures and revealed disturbances in mitochondrial energy generation via the TCA cycle. Our investigations revealed altered mitochondrial networks shifted towards fission and a marked reduction of mitophagy. We observed a steep reduction of PGC-1-α, the key mediator modulating mitochondrial functions and a counter actor of mitochondrial fission. Our results suggest that impairment of mitochondrial homeostasis and quality control are involved in CKD development in PA. Therapeutic targeting of the identified pathways might help to ameliorate CKD in addition to the current treatment strategies.

摘要

线粒体酶丙酰辅酶A羧化酶(PCC)的突变会导致丙酸尿症(PA)。慢性肾脏病(CKD)是一种已知的长期并发症。然而,良好的代谢控制和标准治疗并不能预防CKD。CKD的病理生理机制尚不清楚。我们研究了一种低表达小鼠PA模型(Pcca(A138T))的肾脏表型,以确定驱动CKD的机制。Pcca(A138T)小鼠显示出潴留参数升高,并随着时间的推移表达肾脏损伤标志物。对Pcca(A138T)小鼠肾脏的形态学评估表明,肾小管上皮细胞部分扁平,出现局灶性肾小管囊性扩张。我们观察到肾脏线粒体超微结构改变,对抗氧化应激的机制活跃。液相色谱-串联质谱(LC-MS/MS)分析证实了疾病特异性代谢特征,并揭示了通过三羧酸循环(TCA循环)的线粒体能量生成紊乱。我们的研究揭示了线粒体网络向裂变方向改变,线粒体自噬显著减少。我们观察到PGC-1-α急剧减少,PGC-1-α是调节线粒体功能的关键介质,也是线粒体裂变的对抗因子。我们的结果表明,线粒体稳态和质量控制受损参与了PA患者CKD的发生发展。除了目前的治疗策略外,针对已确定途径的治疗靶点可能有助于改善CKD。

https://cdn.ncbi.nlm.nih.gov/pmc/blobs/f88a/11649940/43f5e7b7f8e6/41598_2024_79572_Fig1_HTML.jpg

文献检索

告别复杂PubMed语法,用中文像聊天一样搜索,搜遍4000万医学文献。AI智能推荐,让科研检索更轻松。

立即免费搜索

文件翻译

保留排版,准确专业,支持PDF/Word/PPT等文件格式,支持 12+语言互译。

免费翻译文档

深度研究

AI帮你快速写综述,25分钟生成高质量综述,智能提取关键信息,辅助科研写作。

立即免费体验