Suppr超能文献

继发于脊椎间盘炎的霉菌性主动脉瘤:一例报告及文献复习

Mycotic aortic aneurysm secondary to spondylodiscitis: A case report and review.

作者信息

Benramdane Hicham, Ziani Hamid, Nasri Siham, Kamaoui Imane, Skiker Imane

机构信息

Faculty of Medicine and Pharmacy, Mohammed Ist University, Oujda, Morocco.

Department of Radiology, Mohammed VI University Hospital Mohammed I University Oujda Morocco.

出版信息

Radiol Case Rep. 2024 Nov 30;20(2):1156-1159. doi: 10.1016/j.radcr.2024.10.154. eCollection 2025 Feb.

Abstract

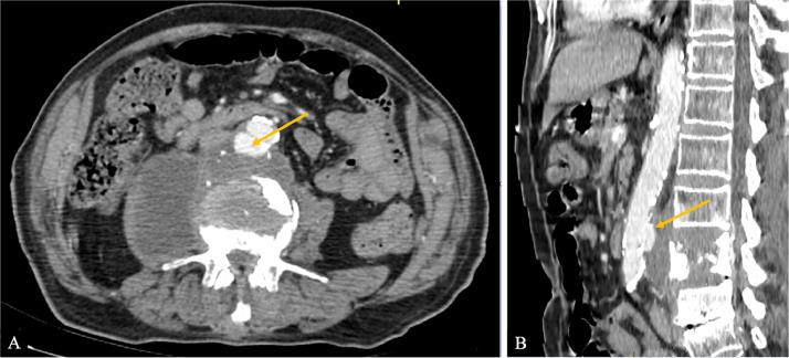
Mycotic aneurysms are a rare but potentially life-threatening complication of infections, particularly those involving the spine. Spondylodiscitis, a bacterial or fungal infection of the intervertebral disc, is a known risk factor for the development of mycotic aneurysms. Early diagnosis and prompt treatment are crucial for improving patient outcomes. We report the case of a 79-year-old patient with a history of diabetes admitted for chronic back pain refractory to medical treatment. A cervico-thoraco-abdomino-pelvic CT scan showed infectious spondylodiscitis at the lumbar level complicated by a mycotic aneurysm of the infrarenal abdominal aorta. This case highlights the diagnostic challenges associated with mycotic aneurysms, particularly when they arise from a contiguous infectious focus. Imaging modalities, such as computed tomography (CT) and magnetic resonance imaging (MRI), play a pivotal role in identifying these aneurysms and assessing their extent. The patient underwent surgical management of the spondylodiscitis and the mycotic aneurysm. A stent was placed to reinforce the weakened aortic wall and prevent rupture. Postoperative management included long-term antibiotic therapy to eradicate the infection. The patient experienced a favorable outcome, with resolution of symptoms and improved quality of life.

摘要

真菌性动脉瘤是感染的一种罕见但可能危及生命的并发症,尤其是涉及脊柱的感染。脊椎椎间盘炎,即椎间盘的细菌或真菌感染,是真菌性动脉瘤发生发展的已知危险因素。早期诊断和及时治疗对于改善患者预后至关重要。我们报告一例79岁有糖尿病史的患者,因药物治疗无效的慢性背痛入院。颈胸腹部盆腔CT扫描显示腰椎水平存在感染性脊椎椎间盘炎,并伴有肾下腹主动脉真菌性动脉瘤。该病例突出了与真菌性动脉瘤相关的诊断挑战,尤其是当它们源于相邻感染灶时。诸如计算机断层扫描(CT)和磁共振成像(MRI)等成像方式在识别这些动脉瘤及其范围评估中起着关键作用。患者接受了脊椎椎间盘炎和真菌性动脉瘤的手术治疗。放置了一个支架以加固薄弱的主动脉壁并防止破裂。术后管理包括长期抗生素治疗以根除感染。患者预后良好,症状缓解,生活质量改善。

https://cdn.ncbi.nlm.nih.gov/pmc/blobs/c83c/11648744/44064f85ce35/gr1.jpg

文献检索

告别复杂PubMed语法,用中文像聊天一样搜索,搜遍4000万医学文献。AI智能推荐,让科研检索更轻松。

立即免费搜索

文件翻译

保留排版,准确专业,支持PDF/Word/PPT等文件格式,支持 12+语言互译。

免费翻译文档

深度研究

AI帮你快速写综述,25分钟生成高质量综述,智能提取关键信息,辅助科研写作。

立即免费体验