Suppr超能文献

中国陕西鸡群中禽戊型肝炎病毒与不同血清型禽腺病毒的混合感染

Coinfection of avian hepatitis E virus and different serotypes of fowl adenovirus in chicken flocks in Shaanxi, China.

作者信息

Zhang Yuan, Xu Huanyu, Tian Yinuo, Tang Jirong, Lin Huanqing, Sun Yani, Zhao Qin, Zhou En-Min, Chen Yiyang, Liu Baoyuan

机构信息

Department of Preventive Veterinary Medicine, College of Veterinary Medicine, Northwest A&F University, Yangling, Shaanxi, China.

Kongtong Animal Disease Prevention and Control Center, Pingliang, Gansu, China.

出版信息

Microbiol Spectr. 2025 Feb 4;13(2):e0133824. doi: 10.1128/spectrum.01338-24. Epub 2024 Dec 17.

Abstract

UNLABELLED

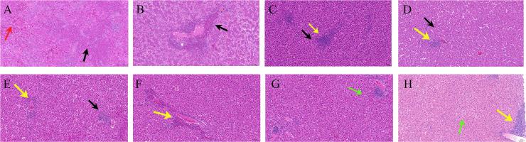
In poultry, fowl adenovirus (FAdV) and co-infected viruses (such as avian hepatitis E virus, aHEV) are likely to cause decreased egg production, inclusion body hepatitis, and pericardial effusion syndrome. From July to September 2023, eight poultry farms of commercial broilers and commercial layers suffered from increased mortality, decreased egg production, and the presence of hydropericardium-hepatitis syndrome-like gross lesions in Shaanxi province, China. To determine the source of the infection, the viruses of aHEV, FAdV, avian leukosis virus (ALV), Marek's disease virus (MDV), Newcastle disease virus (NDV), and H9N2 avian influenza virus (AIV) were detected. A total of 240 liver samples were collected from eight farms and detected by molecular etiology methods. The samples were tested positive for FAdV and aHEV and negative for NDV, MDV, ALV, and H9N2 AIV. Phylogenetic analysis based on the hexon loop-1 gene showed that these isolates were clustered into three distinct serotypes: FAdV serotype 4 (FAdV-4), FAdV-8a, and FAdV-8b. The partial ORF2 gene sequences obtained in this study shared the highest identity (76%-97%) with corresponding sequences of other known avian HEV isolates and belonged to gene type 3 avian HEV. Meanwhile, the isolated FAdV in this study could multiply in leghorn male hepatoma (LMH) cells. Overall, the disease may be mainly caused by FAdV and aHEV coinfection on these farms, and this is the first study to discover FAdV-4/8a/8b and avian HEV coinfection in a farm in China.

IMPORTANCE

Last year, eight poultry farms of commercial broilers and commercial layers suffered a serious disease in Shaanxi province, China. After molecular etiological investigation, the disease may be mainly caused by fowl adenovirus (FAdV) (FAdV-4, FAdV-8a, and FAdV-8b) and avian hepatitis E virus (aHEV) (genotype 3 avian HEV) coinfection on these flocks, and this is the first study to find FAdV-4/8a/8b and avian HEV coinfection in a farm. It provides a valuable foundation for the prevention and control of FAdV and avian HEV coinfection in chicken farms.

摘要

未标记

在家禽中,禽腺病毒(FAdV)和共同感染的病毒(如禽戊型肝炎病毒,aHEV)可能导致产蛋量下降、包涵体肝炎和心包积液综合征。2023年7月至9月,中国陕西省的8个商品肉鸡场和商品蛋鸡场出现死亡率上升、产蛋量下降以及出现心包积水-肝炎综合征样大体病变的情况。为确定感染源,检测了aHEV、FAdV、禽白血病病毒(ALV)、马立克氏病病毒(MDV)、新城疫病毒(NDV)和H9N2禽流感病毒(AIV)。从8个农场共采集了240份肝脏样本,采用分子病原学方法进行检测。样本FAdV和aHEV检测呈阳性,NDV、MDV、ALV和H9N2 AIV检测呈阴性。基于六邻体环1基因的系统发育分析表明,这些分离株分为三种不同的血清型:FAdV血清型4(FAdV-4)、FAdV-8a和FAdV-8b。本研究获得的部分ORF2基因序列与其他已知禽HEV分离株的相应序列具有最高同源性(76%-97%),属于3型禽HEV。同时,本研究分离的FAdV可在来航鸡雄性肝癌(LMH)细胞中增殖。总体而言,这些养殖场的疾病可能主要由FAdV和aHEV共同感染引起,这是中国首次在养殖场发现FAdV-4/8a/8b与禽HEV共同感染的研究。

重要性

去年,中国陕西省的8个商品肉鸡场和商品蛋鸡场遭受了严重疾病。经过分子病原学调查,这些鸡群中的疾病可能主要由禽腺病毒(FAdV)(FAdV-4、FAdV-8a和FAdV-8b)和禽戊型肝炎病毒(aHEV)(3型禽HEV)共同感染引起,这是首次在养殖场发现FAdV-4/8a/8b与禽HEV共同感染的研究。它为鸡场预防和控制FAdV与禽HEV共同感染提供了有价值的依据。

https://cdn.ncbi.nlm.nih.gov/pmc/blobs/a7c5/11792478/d18f2f0a7688/spectrum.01338-24.f001.jpg

文献检索

告别复杂PubMed语法,用中文像聊天一样搜索,搜遍4000万医学文献。AI智能推荐,让科研检索更轻松。

立即免费搜索

文件翻译

保留排版,准确专业,支持PDF/Word/PPT等文件格式,支持 12+语言互译。

免费翻译文档

深度研究

AI帮你快速写综述,25分钟生成高质量综述,智能提取关键信息,辅助科研写作。

立即免费体验