• 文献检索
  • 文档翻译
  • 深度研究
  • 学术资讯
  • Suppr Zotero 插件Zotero 插件
  • 邀请有礼
  • 套餐&价格
  • 历史记录
应用&插件
Suppr Zotero 插件Zotero 插件浏览器插件Mac 客户端Windows 客户端微信小程序
定价
高级版会员购买积分包购买API积分包
服务
文献检索文档翻译深度研究API 文档MCP 服务
关于我们
关于 Suppr公司介绍联系我们用户协议隐私条款
关注我们

Suppr 超能文献

核心技术专利:CN118964589B侵权必究
粤ICP备2023148730 号-1Suppr @ 2026

文献检索

告别复杂PubMed语法,用中文像聊天一样搜索,搜遍4000万医学文献。AI智能推荐,让科研检索更轻松。

立即免费搜索

文件翻译

保留排版,准确专业,支持PDF/Word/PPT等文件格式,支持 12+语言互译。

免费翻译文档

深度研究

AI帮你快速写综述,25分钟生成高质量综述,智能提取关键信息,辅助科研写作。

立即免费体验

用于高效生产 cultured meat 的不同品种牛肌肉卫星细胞的特性 。 注:“cultured meat”直译为“培养肉”,是一种通过细胞培养技术生产的肉类产品。

Characteristics of bovine muscle satellite cell from different breeds for efficient production of cultured meat.

作者信息

Kim Yun-A, Oh Sehyuk, Park Gyutae, Park Sanghun, Park Yunhwan, Choi Hyunsoo, Kim Minjung, Choi Jungseok

机构信息

Department of Animal Science, Chungbuk National University, Cheongju 28644, Korea.

Food Functionality Research Division, Korea Food Research Institute, Wanju 55365, Korea.

出版信息

J Anim Sci Technol. 2024 Nov;66(6):1257-1272. doi: 10.5187/jast.2023.e115. Epub 2024 Nov 30.

DOI:10.5187/jast.2023.e115
PMID:39691610
原文链接:https://pmc.ncbi.nlm.nih.gov/articles/PMC11647411/
Abstract

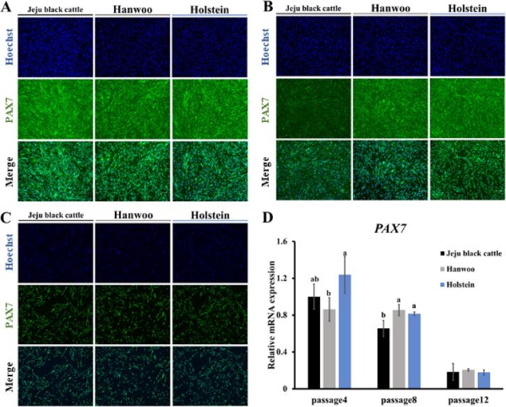
The purpose of this study was comparing performances of three breeds of donor satellite cells for cultured meat and selecting the optimal donor and providing insight into the selection of donors for cultured meat production. Cattle muscle satellite cells were isolated from the muscle tissue of Hanwoo, Holstein, and Jeju black cattle, and then sorted by fluorescence activated cell sorting (FACS). Regarding proliferation of satellite cells, all three breeds showed similar trends. The myogenic potential, based on PAX7 and MYOD mRNA expression levels, was similar or significantly higher for Holstein than other breeds. When the area, width, and fusion index of the myotube were calculated through immunofluorescence staining of myosin, it was expressed upward for Holstein in all experiments except myotube area at passage 8. In addition, it was confirmed that Holstein's muscle satellite cells showed an upward expression in the amount of gene and protein expression related to myogenic. In the case of gene expression of MYOG, DES, and MYH4 known to play a key role in differentiation into muscles, it was confirmed that Holstein's muscle satellite cells expressed higher levels. CAV3, IGF1 and TNNT1, which contribute to hypertrophy and differentiation of muscle cells, showed high expression in Holstein. Our results suggest using cells from Holstein cattle can increase the efficiency of cultured meat production, compared to Hanwoo and Jeju breeds, because the cells exhibit superior differentiation behavior which would lead to greater yields during the maturation phase of bioprocessing.

摘要

本研究的目的是比较三种用于培养肉的供体卫星细胞的性能,选择最佳供体,并深入了解培养肉生产中供体的选择。从韩牛、荷斯坦牛和济州黑牛的肌肉组织中分离出牛肌肉卫星细胞,然后通过荧光激活细胞分选(FACS)进行分选。关于卫星细胞的增殖,所有三个品种都表现出相似的趋势。基于PAX7和MYOD mRNA表达水平的生肌潜力,荷斯坦牛与其他品种相似或显著更高。当通过肌球蛋白免疫荧光染色计算肌管的面积、宽度和融合指数时,除第8代肌管面积外,在所有实验中荷斯坦牛的这些指标均呈上升趋势。此外,证实荷斯坦牛的肌肉卫星细胞在与生肌相关的基因和蛋白质表达量上呈上升表达。在已知在肌肉分化中起关键作用的MYOG、DES和MYH4的基因表达方面,证实荷斯坦牛的肌肉卫星细胞表达水平更高。有助于肌肉细胞肥大和分化的CAV3、IGF1和TNNT1在荷斯坦牛中高表达。我们的结果表明,与韩牛和济州牛品种相比,使用荷斯坦牛的细胞可以提高培养肉的生产效率,因为这些细胞表现出优异的分化行为,这将在生物加工的成熟阶段带来更高的产量。

https://cdn.ncbi.nlm.nih.gov/pmc/blobs/0087/11647411/f53209078eab/jast-66-6-1257-g8.jpg
https://cdn.ncbi.nlm.nih.gov/pmc/blobs/0087/11647411/a81a703bb974/jast-66-6-1257-g1.jpg
https://cdn.ncbi.nlm.nih.gov/pmc/blobs/0087/11647411/3f9b451ad530/jast-66-6-1257-g2.jpg
https://cdn.ncbi.nlm.nih.gov/pmc/blobs/0087/11647411/938a022d2550/jast-66-6-1257-g3.jpg
https://cdn.ncbi.nlm.nih.gov/pmc/blobs/0087/11647411/f409c76adb07/jast-66-6-1257-g4.jpg
https://cdn.ncbi.nlm.nih.gov/pmc/blobs/0087/11647411/d42c252a71d1/jast-66-6-1257-g5.jpg
https://cdn.ncbi.nlm.nih.gov/pmc/blobs/0087/11647411/fcb7abacf058/jast-66-6-1257-g6.jpg
https://cdn.ncbi.nlm.nih.gov/pmc/blobs/0087/11647411/f28a8c99e8f2/jast-66-6-1257-g7.jpg
https://cdn.ncbi.nlm.nih.gov/pmc/blobs/0087/11647411/f53209078eab/jast-66-6-1257-g8.jpg
https://cdn.ncbi.nlm.nih.gov/pmc/blobs/0087/11647411/a81a703bb974/jast-66-6-1257-g1.jpg
https://cdn.ncbi.nlm.nih.gov/pmc/blobs/0087/11647411/3f9b451ad530/jast-66-6-1257-g2.jpg
https://cdn.ncbi.nlm.nih.gov/pmc/blobs/0087/11647411/938a022d2550/jast-66-6-1257-g3.jpg
https://cdn.ncbi.nlm.nih.gov/pmc/blobs/0087/11647411/f409c76adb07/jast-66-6-1257-g4.jpg
https://cdn.ncbi.nlm.nih.gov/pmc/blobs/0087/11647411/d42c252a71d1/jast-66-6-1257-g5.jpg
https://cdn.ncbi.nlm.nih.gov/pmc/blobs/0087/11647411/fcb7abacf058/jast-66-6-1257-g6.jpg
https://cdn.ncbi.nlm.nih.gov/pmc/blobs/0087/11647411/f28a8c99e8f2/jast-66-6-1257-g7.jpg
https://cdn.ncbi.nlm.nih.gov/pmc/blobs/0087/11647411/f53209078eab/jast-66-6-1257-g8.jpg

相似文献

1
Characteristics of bovine muscle satellite cell from different breeds for efficient production of cultured meat.用于高效生产 cultured meat 的不同品种牛肌肉卫星细胞的特性 。 注:“cultured meat”直译为“培养肉”,是一种通过细胞培养技术生产的肉类产品。
J Anim Sci Technol. 2024 Nov;66(6):1257-1272. doi: 10.5187/jast.2023.e115. Epub 2024 Nov 30.
2
Effects of Hypoxia on Proliferation and Differentiation in Belgian Blue and Hanwoo Muscle Satellite Cells for the Development of Cultured Meat.缺氧对培育肉用比利时蓝牛和韩牛肌肉卫星细胞增殖和分化的影响。
Biomolecules. 2022 Jun 16;12(6):838. doi: 10.3390/biom12060838.
3
Vitamin D3 decreases myoblast fusion during the growth and increases myogenic gene expression during the differentiation phase in muscle satellite cells from Korean native beef cattle.维生素 D3 可减少生长过程中肌母细胞的融合,并增加韩国本土肉牛肌肉卫星细胞分化阶段的成肌基因表达。
J Anim Sci. 2023 Jan 3;101. doi: 10.1093/jas/skad192.
4
Temporal correlation between differentiation factor expression and microRNAs in Holstein bovine skeletal muscle.荷斯坦奶牛骨骼肌中分化因子表达与微小RNA之间的时间相关性
Animal. 2017 Feb;11(2):227-235. doi: 10.1017/S1751731116001488. Epub 2016 Jul 13.
5
Effect of IGF1 on Myogenic Proliferation and Differentiation of Bovine Skeletal Muscle Satellite Cells Through PI3K/AKT Signaling Pathway.胰岛素样生长因子1通过PI3K/AKT信号通路对牛骨骼肌卫星细胞成肌增殖和分化的影响
Genes (Basel). 2024 Nov 21;15(12):1494. doi: 10.3390/genes15121494.
6
Gene expression of Hanwoo satellite cell differentiation in longissimus dorsi and semimembranosus.韩牛卫星细胞在背最长肌和半膜肌分化的基因表达。
BMC Genomics. 2019 Feb 26;20(1):156. doi: 10.1186/s12864-019-5530-7.
7
Effect of glucose and lysine supplementation on myogenic and adipogenic gene expression in muscle satellite cells isolated from Hanwoo with different genotypes of PLAG1: Implications for cell-based food production.补充葡萄糖和赖氨酸对不同PLAG1基因型韩牛分离的肌肉卫星细胞中肌源性和成脂性基因表达的影响:对基于细胞的食品生产的启示
Curr Res Food Sci. 2024 Oct 10;9:100879. doi: 10.1016/j.crfs.2024.100879. eCollection 2024.
8
Bovine Satellite Cells Isolated after 2 and 5 Days of Tissue Storage Maintain the Proliferative and Myogenic Capacity Needed for Cultured Meat Production.在组织储存 2 天和 5 天后分离的牛卫星细胞保持了用于生产培养肉所需的增殖和肌生成能力。
Int J Mol Sci. 2021 Aug 4;22(16):8376. doi: 10.3390/ijms22168376.
9
Breed-dependent microRNA expression in the primary culture of skeletal muscle cells subjected to myogenic differentiation.肌肉原代细胞在肌生成分化过程中依赖于品种的 microRNA 表达。
BMC Genomics. 2018 Jan 31;19(1):109. doi: 10.1186/s12864-018-4492-5.
10
Morphology and functionality in biomimetic cultured meat produced from various cellular origins.源自不同细胞来源的仿生培养肉的形态学与功能特性
Biomater Adv. 2025 Apr;169:214179. doi: 10.1016/j.bioadv.2025.214179. Epub 2025 Jan 10.

引用本文的文献

1
Exploring Sustainable Future Protein Sources.探索可持续的未来蛋白质来源。
Food Sci Anim Resour. 2025 Jan;45(1):81-108. doi: 10.5851/kosfa.2024.e111. Epub 2025 Jan 1.
2
Investigation of scaffold manufacturing conditions for 3-dimensional culture of myogenic cell line derived from black sea bream ().黑鲷源成肌细胞系三维培养支架制造条件的研究。
Cytotechnology. 2025 Feb;77(1):18. doi: 10.1007/s10616-024-00676-5. Epub 2024 Dec 12.

本文引用的文献

1
Is "cultured meat" a viable alternative to slaughtering animals and a good comprise between animal welfare and human expectations?“ cultured meat”是替代宰杀动物的可行选择吗?它是动物福利与人类期望之间的良好折衷方案吗?
Anim Front. 2022 Mar 17;12(1):35-42. doi: 10.1093/af/vfac002. eCollection 2022 Feb.
2
A Long Journey before Cycling: Regulation of Quiescence Exit in Adult Muscle Satellite Cells.漫长的骑行之旅:成年肌肉卫星细胞静止期退出的调控。
Int J Mol Sci. 2022 Feb 3;23(3):1748. doi: 10.3390/ijms23031748.
3
Cell Types Used for Cultured Meat Production and the Importance of Myokines.
用于培养肉生产的细胞类型及肌动蛋白的重要性。
Foods. 2021 Sep 29;10(10):2318. doi: 10.3390/foods10102318.
4
Plant-based and cell-based approaches to meat production.植物基和细胞基的肉类生产方法。
Nat Commun. 2020 Dec 8;11(1):6276. doi: 10.1038/s41467-020-20061-y.
5
Cultured beef: from small biopsy to substantial quantity.培养牛肉:从小活检到大量生产。
J Sci Food Agric. 2021 Jan 15;101(1):7-14. doi: 10.1002/jsfa.10663. Epub 2020 Jul 27.
6
Transcriptomic Profile of Primary Culture of Skeletal Muscle Cells Isolated from Semitendinosus Muscle of Beef and Dairy Bulls.牛半腱肌原代骨骼肌细胞转录组谱。
Int J Mol Sci. 2020 Jul 7;21(13):4794. doi: 10.3390/ijms21134794.
7
Effects of IGF-1 isoforms on muscle growth and sarcopenia.IGF-1 异构体对肌肉生长和肌肉减少症的影响。
Aging Cell. 2019 Jun;18(3):e12954. doi: 10.1111/acel.12954. Epub 2019 Apr 5.
8
Anticipatory Life Cycle Analysis of In Vitro Biomass Cultivation for Cultured Meat Production in the United States.美国培养肉生产体外生物质培养的预期生命周期分析。
Environ Sci Technol. 2015 Oct 6;49(19):11941-9. doi: 10.1021/acs.est.5b01614. Epub 2015 Sep 18.
9
Satellite Cells and Skeletal Muscle Regeneration.卫星细胞与骨骼肌再生。
Compr Physiol. 2015 Jul 1;5(3):1027-59. doi: 10.1002/cphy.c140068.
10
Platelet-rich plasma, especially when combined with a TGF-β inhibitor promotes proliferation, viability and myogenic differentiation of myoblasts in vitro.富含血小板的血浆,尤其是与转化生长因子-β抑制剂联合使用时,可促进体外成肌细胞的增殖、活力和肌源性分化。
PLoS One. 2015 Feb 13;10(2):e0117302. doi: 10.1371/journal.pone.0117302. eCollection 2015.