• 文献检索
  • 文档翻译
  • 深度研究
  • 学术资讯
  • Suppr Zotero 插件Zotero 插件
  • 邀请有礼
  • 套餐&价格
  • 历史记录
应用&插件
Suppr Zotero 插件Zotero 插件浏览器插件Mac 客户端Windows 客户端微信小程序
定价
高级版会员购买积分包购买API积分包
服务
文献检索文档翻译深度研究API 文档MCP 服务
关于我们
关于 Suppr公司介绍联系我们用户协议隐私条款
关注我们

Suppr 超能文献

核心技术专利:CN118964589B侵权必究
粤ICP备2023148730 号-1Suppr @ 2026

文献检索

告别复杂PubMed语法,用中文像聊天一样搜索,搜遍4000万医学文献。AI智能推荐,让科研检索更轻松。

立即免费搜索

文件翻译

保留排版,准确专业,支持PDF/Word/PPT等文件格式,支持 12+语言互译。

免费翻译文档

深度研究

AI帮你快速写综述,25分钟生成高质量综述,智能提取关键信息,辅助科研写作。

立即免费体验

鱼骨穿孔致胃进入小网膜囊及胰腺并形成脓肿,这可不是件小事。

Fishbone perforation of the stomach into the lesser sac and pancreas with abscess, a fishy business.

作者信息

Arcia Alberto, Muñoz Gabriela Alexandra, Jimenez Galo E, Albuja Monica G, Yumbla Thais Suarez, Venegas Oswaldo H, Velasco Andrea G, Parrales Diana, Molina Gabriel A

机构信息

Department of Surgery, Hospital Iess Quito Sur, Quito 170111, Ecuador.

School of Medicine, Universidad de las Américas PGY3, Quito 170513, Ecuador.

出版信息

J Surg Case Rep. 2024 Dec 17;2024(12):rjae787. doi: 10.1093/jscr/rjae787. eCollection 2024 Dec.

DOI:10.1093/jscr/rjae787
PMID:39691812
原文链接:https://pmc.ncbi.nlm.nih.gov/articles/PMC11651079/
Abstract

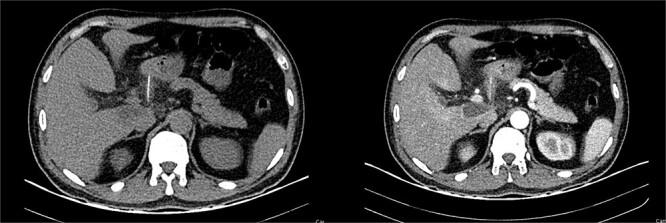
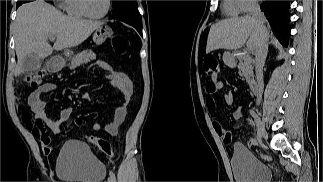
Ingestion of foreign bodies is common in critical practice. Thankfully, most of these objects will pass without complications; however, sharp and metallic objects can cause severe complications like ulcers and perforation. Perforation of the gastrointestinal tract is rare; however, once it happens, prompt treatment is needed to prevent dreadful complications. We present the case of a 52-year-old patient who presented with abdominal pain and fever. A tomography detected a fishbone perforation of the stomach, which was in the lesser sac attached to the pancreas. After surgery, the patient successfully recovered.

摘要

在重症医疗实践中,异物摄入很常见。幸运的是,大多数此类物体可自行排出而无并发症;然而,尖锐和金属物体可导致严重并发症,如溃疡和穿孔。胃肠道穿孔很少见;然而,一旦发生,需要及时治疗以预防可怕的并发症。我们报告一例52岁患者,其表现为腹痛和发热。断层扫描检测到胃内有一根鱼刺穿孔,位于与胰腺相连的网膜囊内。手术后,患者成功康复。

https://cdn.ncbi.nlm.nih.gov/pmc/blobs/057d/11651079/865f53c3db7e/rjae787f3.jpg
https://cdn.ncbi.nlm.nih.gov/pmc/blobs/057d/11651079/5a7ee99cdccd/rjae787f1.jpg
https://cdn.ncbi.nlm.nih.gov/pmc/blobs/057d/11651079/f197b638ad03/rjae787f2.jpg
https://cdn.ncbi.nlm.nih.gov/pmc/blobs/057d/11651079/865f53c3db7e/rjae787f3.jpg
https://cdn.ncbi.nlm.nih.gov/pmc/blobs/057d/11651079/5a7ee99cdccd/rjae787f1.jpg
https://cdn.ncbi.nlm.nih.gov/pmc/blobs/057d/11651079/f197b638ad03/rjae787f2.jpg
https://cdn.ncbi.nlm.nih.gov/pmc/blobs/057d/11651079/865f53c3db7e/rjae787f3.jpg

相似文献

1
Fishbone perforation of the stomach into the lesser sac and pancreas with abscess, a fishy business.鱼骨穿孔致胃进入小网膜囊及胰腺并形成脓肿,这可不是件小事。
J Surg Case Rep. 2024 Dec 17;2024(12):rjae787. doi: 10.1093/jscr/rjae787. eCollection 2024 Dec.
2
Fishbone Foreign Body Ingestion With Gastric Impaction and Intestinal Micro-perforation in an Adult Female: A Case Report.成年女性鱼骨异物吞食致胃嵌顿和肠道微小穿孔:一例报告
Cureus. 2024 Oct 22;16(10):e72099. doi: 10.7759/cureus.72099. eCollection 2024 Oct.
3
Laparoscopic retrieval of a fishbone migrating from the stomach causing a liver abscess: Report of case and literature review.腹腔镜取出由胃内移行致肝脓肿的鱼骨:病例报告及文献复习
J Minim Access Surg. 2020 Oct-Dec;16(4):418-420. doi: 10.4103/jmas.JMAS_196_19.
4
Multiple abdominopelvic abscesses caused by fishbone: A case report of rare etiology and literature review.鱼骨导致的多发性腹盆腔脓肿:罕见病因的病例报告及文献综述
Int J Surg Case Rep. 2023 Sep;110:108608. doi: 10.1016/j.ijscr.2023.108608. Epub 2023 Aug 6.
5
Intentional Ingestion of a Metallic Wire Causing Perforation and Retroperitoneal Abscess: A Case Report.故意摄入金属丝导致穿孔和腹膜后脓肿:一例报告
Clin Med Insights Case Rep. 2021 Jun 30;14:11795476211025919. doi: 10.1177/11795476211025919. eCollection 2021.
6
Liver abscess in the caudate lobe caused by a fishbone and treated by laparoscopy: a case report.腹腔镜治疗尾状叶鱼骨致肝脓肿 1 例报告。
BMC Surg. 2022 Jan 8;22(1):6. doi: 10.1186/s12893-021-01457-z.
7
Appendicular Perforation Caused by a Fishbone: A Case Report.鱼骨致阑尾穿孔:一例报告
Cureus. 2025 Feb 1;17(2):e78362. doi: 10.7759/cureus.78362. eCollection 2025 Feb.
8
Abdominal skin inflammation as an initial symptom of a perforating gastric foreign body: A case report.腹部皮肤炎症作为胃穿孔性异物的首发症状:一例报告
Medicine (Baltimore). 2020 Oct 2;99(40):e22534. doi: 10.1097/MD.0000000000022534.
9
First Reported Case of Lesser Sac Empyema Secondary to Foreign Body Perforation.首例因异物穿孔导致小网膜囊积脓的病例报告
Cureus. 2023 Oct 17;15(10):e47186. doi: 10.7759/cureus.47186. eCollection 2023 Oct.
10
Foreign Body-Related Liver Abscess: A Case Study on Fishbone.异物相关肝脓肿:一例鱼刺病例研究
Cureus. 2024 May 15;16(5):e60358. doi: 10.7759/cureus.60358. eCollection 2024 May.

本文引用的文献

1
Two Cases of Severe Complications Due to an Esophageal Fish Bone Foreign Body.两例因食管鱼骨异物导致的严重并发症。
Medicina (Kaunas). 2023 Aug 22;59(9):1504. doi: 10.3390/medicina59091504.
2
Laparoscopic removal of an ingested fish bone from the head of the pancreas: case report and review of literature.腹腔镜下从胰头取出误食鱼骨:病例报告及文献复习
Pan Afr Med J. 2020 Jun 25;36:123. doi: 10.11604/pamj.2020.36.123.23948. eCollection 2020.
3
Gastric Perforation due to Fish Bone.鱼骨导致的胃穿孔
Cureus. 2020 May 5;12(5):e7973. doi: 10.7759/cureus.7973.
4
A nail in the appendix, accidental discovery on an asymptomatic patient.阑尾内的一枚钉子,在一名无症状患者身上意外发现。
J Surg Case Rep. 2019 Jan 9;2019(1):rjy335. doi: 10.1093/jscr/rjy335. eCollection 2019 Jan.
5
Abdominal manifestations of fishbone perforation: a pictorial essay.鱼骨穿孔的腹部表现:影像学研究。
Abdom Radiol (NY). 2017 Apr;42(4):1087-1095. doi: 10.1007/s00261-016-0939-9.
6
Small bowel perforation due to fish bone: A case report.鱼骨导致的小肠穿孔:一例报告。
Turk J Emerg Med. 2016 Jan 14;15(3):136-8. doi: 10.1016/j.tjem.2015.11.008. eCollection 2015 Sep.
7
Gastrointestinal foreign bodies.胃肠道异物
Am J Surg. 1981 Sep;142(3):335-7. doi: 10.1016/0002-9610(81)90342-1.