• 文献检索
  • 文档翻译
  • 深度研究
  • 学术资讯
  • Suppr Zotero 插件Zotero 插件
  • 邀请有礼
  • 套餐&价格
  • 历史记录
应用&插件
Suppr Zotero 插件Zotero 插件浏览器插件Mac 客户端Windows 客户端微信小程序
定价
高级版会员购买积分包购买API积分包
服务
文献检索文档翻译深度研究API 文档MCP 服务
关于我们
关于 Suppr公司介绍联系我们用户协议隐私条款
关注我们

Suppr 超能文献

核心技术专利:CN118964589B侵权必究
粤ICP备2023148730 号-1Suppr @ 2026

文献检索

告别复杂PubMed语法,用中文像聊天一样搜索,搜遍4000万医学文献。AI智能推荐,让科研检索更轻松。

立即免费搜索

文件翻译

保留排版,准确专业,支持PDF/Word/PPT等文件格式,支持 12+语言互译。

免费翻译文档

深度研究

AI帮你快速写综述,25分钟生成高质量综述,智能提取关键信息,辅助科研写作。

立即免费体验

Ca3.2 T型钙通道在实验性偏头痛啮齿动物模型中导致降钙素基因相关肽诱导的痛觉过敏。

Ca3.2 T-type calcium channels contribute to CGRP- induced allodynia in a rodent model of experimental migraine.

作者信息

Baggio Darciane F, Gambeta Eder, Souza Ivana A, Huang Sun, Zamponi Gerald W, Chichorro Juliana G

机构信息

Department of Pharmacology, Biological Sciences Sector, Federal University of Parana, Curitiba, PR, Brazil.

Department of Clinical Neuroscience, Hotchkiss Brain Institute and Alberta Children's Hospital Research Institute, Cumming School of Medicine, University of Calgary, Calgary, Alberta, Canada.

出版信息

J Headache Pain. 2024 Dec 18;25(1):219. doi: 10.1186/s10194-024-01921-0.

DOI:10.1186/s10194-024-01921-0
PMID:39695919
原文链接:https://pmc.ncbi.nlm.nih.gov/articles/PMC11656763/
Abstract

BACKGROUND

Migraine is a painful neurological syndrome characterized by attacks of throbbing headache, of moderate to severe intensity, which is associated with photo- and phono- sensitivity as well as nausea and vomiting. It affects about 15% of the world's population being 2-3 times more prevalent in females. The calcitonin gene-related peptide (CGRP) is a key mediator in the pathophysiology of migraine, and a significant advance in the field has been the development of anti-CGRP therapies. The trigeminal ganglion (TG) is thought to be an important site of action for these drugs. Moreover, experimental migraine can be induced by CGRP injection in the TG. The signaling pathway induced by CGRP in the TG is not fully understood, but studies suggest that voltage-gated calcium channels contribute to CGRP effects relevant to migraine.

OBJECTIVE

We hypothesised that CGRP injection in the TG enhances Ca3.2 T-type calcium channel currents to contribute to the development of periorbital mechanical allodynia.

RESULTS

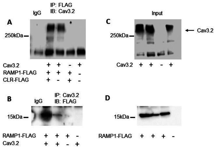
A Co-Immunoprecipitation assay in tsA-201 cells revealed that Ca3.2 channels form a complex with RAMP-1, a component of the CGRP receptor. Constitutive CGRPR activity was able to inhibit Ca3.2 channels and induce a depolarizing shift in both activation and inactivation curves. Incubation of TG neurons with CGRP increased T-type current density by ~ 3.6 fold, an effect that was not observed in TG neurons from Ca3.2 knockout mice. Incubation of TG neurons with Z944, a pan T-type channel blocker, resulted in an approximately 80% inhibition of T-type currents. In vivo, this treatment abolished the development of periorbital mechanical allodynia induced by CGRP in male and female mice. Likewise, Ca3.2 knockout mice did not develop periorbital mechanical allodynia after intraganglionic CGRP injection. Finally, we demonstrated that the CGRP effect depends on the activation of its canonical GPCR, followed by protein kinase A activation.

CONCLUSION

The present study suggests that CGRP modulates Ca3.2 in the TG, an effect possibly mediated by the canonical CGRP receptor and PKA activation. The increase in T-type currents in the TG may represent a contributing factor for the initiation and maintenance of the headache pain during migraine.

摘要

背景

偏头痛是一种疼痛性神经综合征,其特征为搏动性头痛发作,强度为中度至重度,伴有对光和声音敏感以及恶心和呕吐。它影响着全球约15%的人口,在女性中的患病率是男性的2至3倍。降钙素基因相关肽(CGRP)是偏头痛病理生理学中的关键介质,该领域的一项重大进展是抗CGRP疗法的开发。三叉神经节(TG)被认为是这些药物的重要作用部位。此外,在TG中注射CGRP可诱发实验性偏头痛。CGRP在TG中诱导的信号通路尚未完全了解,但研究表明电压门控钙通道参与了与偏头痛相关的CGRP效应。

目的

我们假设在TG中注射CGRP会增强Ca3.2 T型钙通道电流,从而导致眶周机械性异常性疼痛的发生。

结果

在tsA - 201细胞中进行的免疫共沉淀试验表明,Ca3.2通道与CGRP受体的一个组成部分RAMP - 1形成复合物。组成型CGRPR活性能够抑制Ca3.2通道,并使激活曲线和失活曲线发生去极化偏移。用CGRP孵育TG神经元可使T型电流密度增加约3.6倍,而在Ca3.2基因敲除小鼠的TG神经元中未观察到这种效应。用泛T型通道阻滞剂Z944孵育TG神经元可使T型电流受到约80%的抑制。在体内,这种治疗消除了CGRP在雄性和雌性小鼠中诱导的眶周机械性异常性疼痛的发生。同样,Ca3.2基因敲除小鼠在神经节内注射CGRP后未出现眶周机械性异常性疼痛。最后,我们证明CGRP的作用取决于其经典GPCR的激活,随后是蛋白激酶A的激活。

结论

本研究表明CGRP在TG中调节Ca3.2,这种效应可能由经典的CGRP受体和PKA激活介导。TG中T型电流的增加可能是偏头痛发作和维持头痛疼痛的一个促成因素。

https://cdn.ncbi.nlm.nih.gov/pmc/blobs/4a9e/11656763/a078c6c8efde/10194_2024_1921_Fig6_HTML.jpg
https://cdn.ncbi.nlm.nih.gov/pmc/blobs/4a9e/11656763/b2da26793595/10194_2024_1921_Fig1_HTML.jpg
https://cdn.ncbi.nlm.nih.gov/pmc/blobs/4a9e/11656763/ab3322beee83/10194_2024_1921_Fig2_HTML.jpg
https://cdn.ncbi.nlm.nih.gov/pmc/blobs/4a9e/11656763/286c84fb12b0/10194_2024_1921_Fig3_HTML.jpg
https://cdn.ncbi.nlm.nih.gov/pmc/blobs/4a9e/11656763/4cde13340d8c/10194_2024_1921_Fig4_HTML.jpg
https://cdn.ncbi.nlm.nih.gov/pmc/blobs/4a9e/11656763/12ba54668b49/10194_2024_1921_Fig5_HTML.jpg
https://cdn.ncbi.nlm.nih.gov/pmc/blobs/4a9e/11656763/a078c6c8efde/10194_2024_1921_Fig6_HTML.jpg
https://cdn.ncbi.nlm.nih.gov/pmc/blobs/4a9e/11656763/b2da26793595/10194_2024_1921_Fig1_HTML.jpg
https://cdn.ncbi.nlm.nih.gov/pmc/blobs/4a9e/11656763/ab3322beee83/10194_2024_1921_Fig2_HTML.jpg
https://cdn.ncbi.nlm.nih.gov/pmc/blobs/4a9e/11656763/286c84fb12b0/10194_2024_1921_Fig3_HTML.jpg
https://cdn.ncbi.nlm.nih.gov/pmc/blobs/4a9e/11656763/4cde13340d8c/10194_2024_1921_Fig4_HTML.jpg
https://cdn.ncbi.nlm.nih.gov/pmc/blobs/4a9e/11656763/12ba54668b49/10194_2024_1921_Fig5_HTML.jpg
https://cdn.ncbi.nlm.nih.gov/pmc/blobs/4a9e/11656763/a078c6c8efde/10194_2024_1921_Fig6_HTML.jpg

相似文献

1
Ca3.2 T-type calcium channels contribute to CGRP- induced allodynia in a rodent model of experimental migraine.Ca3.2 T型钙通道在实验性偏头痛啮齿动物模型中导致降钙素基因相关肽诱导的痛觉过敏。
J Headache Pain. 2024 Dec 18;25(1):219. doi: 10.1186/s10194-024-01921-0.
2
Contribution of intraganglionic CGRP to migraine-like responses in male and female rats.交感神经节内 CGRP 对雄性和雌性大鼠偏头痛样反应的贡献。
Cephalalgia. 2020 Jun;40(7):689-700. doi: 10.1177/0333102419896539. Epub 2019 Dec 19.
3
Sex differences in behavior and expression of CGRP-related genes in a rodent model of chronic migraine.慢性偏头痛啮齿动物模型中 CGRP 相关基因的行为和表达的性别差异。
Headache. 2011 May;51(5):674-92. doi: 10.1111/j.1526-4610.2011.01882.x.
4
Chronification of migraine sensitizes to CGRP in male and female mice.偏头痛的慢性化使雄性和雌性小鼠对降钙素基因相关肽(CGRP)敏感。
Cephalalgia. 2025 Feb;45(2):3331024251317446. doi: 10.1177/03331024251317446.
5
Expression and function of calcitonin gene-related peptide (CGRP) receptors in trigeminal ganglia of R192Q Cacna1a knock-in mice.降钙素基因相关肽(CGRP)受体在R192Q Cacna1a基因敲入小鼠三叉神经节中的表达及功能
Neurosci Lett. 2016 May 4;620:104-10. doi: 10.1016/j.neulet.2016.03.046. Epub 2016 Mar 25.
6
Migraine-provoking substances evoke periorbital allodynia in mice.诱发偏头痛的物质会引起小鼠眶周触诱发痛。
J Headache Pain. 2019 Feb 14;20(1):18. doi: 10.1186/s10194-019-0968-1.
7
Dural Calcitonin Gene-Related Peptide Produces Female-Specific Responses in Rodent Migraine Models.硬脑膜降钙素基因相关肽在啮齿动物偏头痛模型中产生性别特异性反应。
J Neurosci. 2019 May 29;39(22):4323-4331. doi: 10.1523/JNEUROSCI.0364-19.2019. Epub 2019 Apr 8.
8
Melatonin-mediated inhibition of Cav3.2 T-type Ca channels induces sensory neuronal hypoexcitability through the novel protein kinase C-eta isoform.褪黑素通过新型蛋白激酶 C-eta 同工型抑制 Cav3.2 T 型钙通道诱导感觉神经元兴奋性降低。
J Pineal Res. 2018 May;64(4):e12476. doi: 10.1111/jpi.12476. Epub 2018 Mar 8.
9
Efficacy of MEDI0618, a pH-dependent monoclonal antibody targeting PAR2, in preclinical models of migraine.MEDI0618,一种靶向PAR2的pH依赖性单克隆抗体,在偏头痛临床前模型中的疗效。
Brain. 2025 Apr 3;148(4):1345-1359. doi: 10.1093/brain/awae344.
10
Acetaldehyde via CGRP receptor and TRPA1 in Schwann cells mediates ethanol-evoked periorbital mechanical allodynia in mice: relevance for migraine.乙醛通过施万细胞中的 CGRP 受体和 TRPA1 介导乙醇诱发的小鼠眶周机械性痛觉过敏:与偏头痛的相关性。
J Biomed Sci. 2023 Apr 26;30(1):28. doi: 10.1186/s12929-023-00922-6.

引用本文的文献

1
Advances in orofacial pain research: a bibliometric analysis.口腔面部疼痛研究进展:文献计量分析
Front Neurol. 2025 Aug 14;16:1609437. doi: 10.3389/fneur.2025.1609437. eCollection 2025.
2
Roles of Ion Channels in Oligodendrocyte Precursor Cells: From Physiology to Pathology.离子通道在少突胶质前体细胞中的作用:从生理到病理
Int J Mol Sci. 2025 Jul 29;26(15):7336. doi: 10.3390/ijms26157336.

本文引用的文献

1
Contribution of T-type calcium channel isoforms to cold and mechanical sensitivity in naïve and oxaliplatin-treated mice of both sexes.T 型钙通道亚型在雌雄未处理和奥沙利铂处理的小鼠冷觉和机械感觉敏感性中的作用。
Br J Pharmacol. 2024 Dec;181(24):5062-5078. doi: 10.1111/bph.17337. Epub 2024 Sep 19.
2
Effect of ABT-639 on Cav3.2 channel activity and its analgesic actions in mouse models of inflammatory and neuropathic pain.ABT-639 对 Cav3.2 通道活性的影响及其在炎性痛和神经病理性痛模型小鼠中的镇痛作用。
Eur J Pharmacol. 2024 Mar 15;967:176416. doi: 10.1016/j.ejphar.2024.176416. Epub 2024 Feb 10.
3
The T-type calcium channelosome.
T 型钙通道体。
Pflugers Arch. 2024 Feb;476(2):163-177. doi: 10.1007/s00424-023-02891-z. Epub 2023 Dec 1.
4
Mode and site of action of therapies targeting CGRP signaling.针对 CGRP 信号的治疗方法的作用模式和作用部位。
J Headache Pain. 2023 Sep 11;24(1):125. doi: 10.1186/s10194-023-01644-8.
5
Maresin-2 inhibits inflammatory and neuropathic trigeminal pain and reduces neuronal activation in the trigeminal ganglion.maresin-2抑制炎性和神经性三叉神经痛,并减少三叉神经节中的神经元激活。
Curr Res Neurobiol. 2023 Jun 8;4:100093. doi: 10.1016/j.crneur.2023.100093. eCollection 2023.
6
Migraine and the Gender Divide.偏头痛与性别鸿沟。
Neurol Clin. 2023 May;41(2):231-247. doi: 10.1016/j.ncl.2023.01.002.
7
Constitutive activity of the dopamine (D ) receptor, highly expressed in CA1 hippocampal neurons, selectively reduces Ca 3.2 and Ca 3.3 currents.在海马体CA1神经元中高度表达的多巴胺(D)受体的组成性活性,选择性地降低Ca 3.2和Ca 3.3电流。
Br J Pharmacol. 2023 May;180(9):1210-1231. doi: 10.1111/bph.16006. Epub 2023 Jan 2.
8
Ca V 3.2 calcium channels contribute to trigeminal neuralgia.钙通道亚型 CaV3.2 参与三叉神经痛的发病机制。
Pain. 2022 Dec 1;163(12):2315-2325. doi: 10.1097/j.pain.0000000000002651. Epub 2022 Apr 20.
9
Inhibition of phosphodiesterase-4 in the spinal dorsal horn ameliorates neuropathic pain via cAMP-cytokine-Cx43 signaling in mice.抑制脊髓背角磷酸二酯酶-4通过cAMP-细胞因子-Cx43信号通路改善小鼠神经性疼痛。
CNS Neurosci Ther. 2022 May;28(5):749-760. doi: 10.1111/cns.13807. Epub 2022 Feb 14.
10
Beyond CGRP: The calcitonin peptide family as targets for migraine and pain.超越 CGRP:降钙素肽家族作为偏头痛和疼痛的靶点。
Br J Pharmacol. 2022 Feb;179(3):381-399. doi: 10.1111/bph.15605. Epub 2021 Jul 27.