Suppr超能文献

经腹超声检查中的回盲瓣。第2部分:病理病变。

The ileocecal valve in transabdominal ultrasound. Part 2: Pathological lesions.

作者信息

Smereczyński Andrzej, Goncerz Grzegorz, Kołaczyk Katarzyna

机构信息

International Hereditary Cancer Center, Department of Genetics and Pathology, Pomeranian Medical University, Szczecin, Poland.

Department of Anatomy, Jagiellonian University, Kraków, Poland.

出版信息

J Ultrason. 2024 Dec 9;24(98):1-11. doi: 10.15557/jou.2024.0031. eCollection 2024 Dec.

Abstract

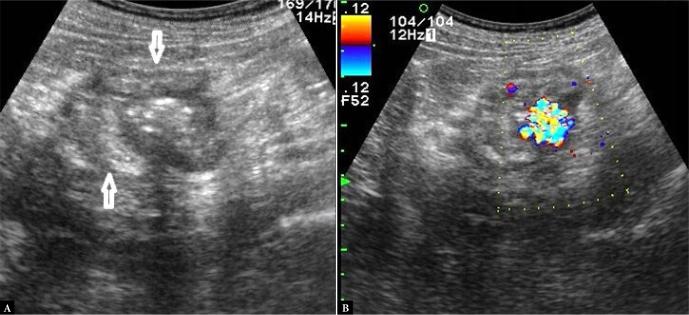
The aim of this paper is to present our experience in transabdominal ultrasonography of ileocecal valve lesions. The ileocecal valve, located in the central part of the ileocecal bowel segment, is rarely the primary site of disease processes. It is usually involved by pathologies in adjacent bowel segments. These are primarily infectious diseases such as yersiniosis, campylobacteriosis and salmonellosis. Typical location of Crohn's lesions also promotes valve involvement. The appearance of the lesions in these cases is characterized by a symmetrical submucosal thickening of the bowel involved over a longer segment. Non-malignant valvular hyperplasia is relatively commonly identified as lipomatosis, manifested by symmetrical enlargement and smooth outlines. However, valvular lipoma causing an asymmetrical hyperechoic bulge is a rare finding. ileocecal valve lipomatosis or lipoma should not be misdiagnosed as a lipoma of the cecoascending part of the colon and, the other way round, a right colonic lipoma should not be mistaken for a fatty valve. Polyps on the ileocecal valve, although sometimes detected, were not identified in our material. Adenocarcinoma, which is found in the cecum in approximately ¼ of cases, is the most common malignancy, followed by neuroendocrine tumor and, rarely, lymphoma. In three cases of malignant involvement of the ileocecal valve, we observed irregular hypoechoic thickening with complete loss of wall stratification, with the lesions causing symptoms of small bowel obstruction in two of these cases. The nearly forgotten ileocecal valve syndrome, also known as Bauhin's ileocecal valve syndrome, characterized by intermittent right iliac fossa pain, is also briefly discussed. Transabdominal ultrasound can be used as an initial diagnostic tool in some of these pathologies.

摘要

本文旨在介绍我们在经腹超声检查回盲瓣病变方面的经验。回盲瓣位于回盲肠段的中部,很少是疾病过程的主要部位。它通常受相邻肠段病变的累及。这些病变主要是传染病,如耶尔森菌病、弯曲菌病和沙门菌病。克罗恩病病变的典型位置也会促使回盲瓣受累。在这些病例中,病变的表现特征为受累肠段较长范围的对称性黏膜下增厚。非恶性瓣膜增生相对常见的是脂肪瘤病,表现为对称性增大且轮廓光滑。然而,导致不对称高回声隆起的瓣膜脂肪瘤是罕见发现。回盲瓣脂肪瘤病或脂肪瘤不应误诊为结肠升结肠部的脂肪瘤,反之,右半结肠脂肪瘤也不应误认为是脂肪性瓣膜。回盲瓣上的息肉虽然有时能检测到,但在我们的资料中未发现。腺癌在盲肠中约四分之一的病例中被发现,是最常见的恶性肿瘤,其次是神经内分泌肿瘤,很少见的是淋巴瘤。在三例回盲瓣恶性受累病例中,我们观察到不规则低回声增厚,壁分层完全消失,其中两例病变导致小肠梗阻症状。还简要讨论了几乎被遗忘的回盲瓣综合征,也称为鲍欣回盲瓣综合征,其特征为间歇性右下腹疼痛。经腹超声可作为其中一些病变的初步诊断工具。

https://cdn.ncbi.nlm.nih.gov/pmc/blobs/6dea/11653064/61d87f16836e/j_jou.2024.0031_fig_001.jpg

文献检索

告别复杂PubMed语法,用中文像聊天一样搜索,搜遍4000万医学文献。AI智能推荐,让科研检索更轻松。

立即免费搜索

文件翻译

保留排版,准确专业,支持PDF/Word/PPT等文件格式,支持 12+语言互译。

免费翻译文档

深度研究

AI帮你快速写综述,25分钟生成高质量综述,智能提取关键信息,辅助科研写作。

立即免费体验