• 文献检索
  • 文档翻译
  • 深度研究
  • 学术资讯
  • Suppr Zotero 插件Zotero 插件
  • 邀请有礼
  • 套餐&价格
  • 历史记录
应用&插件
Suppr Zotero 插件Zotero 插件浏览器插件Mac 客户端Windows 客户端微信小程序
定价
高级版会员购买积分包购买API积分包
服务
文献检索文档翻译深度研究API 文档MCP 服务
关于我们
关于 Suppr公司介绍联系我们用户协议隐私条款
关注我们

Suppr 超能文献

核心技术专利:CN118964589B侵权必究
粤ICP备2023148730 号-1Suppr @ 2026

文献检索

告别复杂PubMed语法,用中文像聊天一样搜索,搜遍4000万医学文献。AI智能推荐,让科研检索更轻松。

立即免费搜索

文件翻译

保留排版,准确专业,支持PDF/Word/PPT等文件格式,支持 12+语言互译。

免费翻译文档

深度研究

AI帮你快速写综述,25分钟生成高质量综述,智能提取关键信息,辅助科研写作。

立即免费体验

通过免疫组织化学检测猴痘病毒。

Detecting Monkeypox Virus by Immunohistochemistry.

作者信息

Ng Spencer, Stephan Carla, Do Mytrang, Frosina Denise, Jungbluth Achim, Busam Klaus J, Ma Linglei

机构信息

Division of Dermatology, Department of Medicine, and Department of Pathology and Immunology, Washington University School of Medicine, St. Louis, Missouri, USA.

Department of Pathology, Weill Cornell Medical College, New York, New York, USA.

出版信息

J Cutan Pathol. 2025 Mar;52(3):244-249. doi: 10.1111/cup.14776. Epub 2024 Dec 19.

DOI:10.1111/cup.14776
PMID:39698761
原文链接:https://pmc.ncbi.nlm.nih.gov/articles/PMC11808465/
Abstract

BACKGROUND

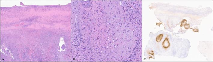
Mpox (formerly known as monkeypox), a zoonotic disease caused by Monkeypox virus (MPXV), has become an international outbreak since May 2022. Mpox often presents with a mild systemic illness and a characteristic vesiculopustular skin eruption. In addition to molecular testing, histopathology of cutaneous lesions usually shows distinctive findings, such as epidermal necrosis, balloon degeneration, papillary dermal edema, and focal dermal necrosis, which have proven helpful in the diagnosis of mpox. Viral cytopathic changes with areas of multinucleation, smudging of the nuclei, and intracytoplasmic inclusions have also been described. Although useful, these features are relatively nonspecific. The use of a monoclonal antibody for immunohistochemical (IHC) staining of MPXV may be a useful tool in confirming mpox infection.

METHODS

Three cases of PCR-confirmed mpox were biopsied and subjected to IHC staining with a monoclonal MPXV-specific antibody targeting viral envelope protein A29. As controls, cell lines transduced to express other MPXV viral antigens and samples of cutaneous viral infections involving Molluscum contagiosum, Herpes simplex, Herpes zoster, or Cytomegalovirus were also subjected to IHC staining with this antibody.

RESULTS

All three mpox patient biopsies performed on lesional skin subjected to MPXV IHC staining reliably detected viral infection in lesional skin with a diffuse cytoplasmic and focally nuclear staining pattern. No staining was seen in transduced cell lines expressing off-target MPXV viral antigens and in lesional skin of other common viral infections listed above.

CONCLUSIONS

The monoclonal MPXV-specific antibody may be used as an adjunct tool to confirm mpox infection.

摘要

背景

猴痘(以前称为猴天花)是由猴痘病毒(MPXV)引起的一种人畜共患疾病,自2022年5月以来已成为国际疫情。猴痘通常表现为轻度全身疾病和特征性的水疱脓疱性皮肤疹。除分子检测外,皮肤病变的组织病理学通常显示出独特的发现,如表皮坏死、气球样变性、乳头真皮水肿和局灶性真皮坏死,这些已被证明有助于猴痘的诊断。还描述了具有多核区域、核模糊和胞质内包涵体的病毒细胞病变变化。尽管这些特征有用,但相对非特异性。使用针对MPXV的单克隆抗体进行免疫组织化学(IHC)染色可能是确认猴痘感染的有用工具。

方法

对3例经PCR确诊的猴痘病例进行活检,并用靶向病毒包膜蛋白A29的MPXV特异性单克隆抗体进行IHC染色。作为对照,转导以表达其他MPXV病毒抗原的细胞系以及涉及传染性软疣、单纯疱疹、带状疱疹或巨细胞病毒的皮肤病毒感染样本也用该抗体进行IHC染色。

结果

对病变皮肤进行MPXV IHC染色的所有3例猴痘患者活检均可靠地检测到病变皮肤中的病毒感染,呈现弥漫性细胞质和局灶性核染色模式。在表达非靶向MPXV病毒抗原的转导细胞系以及上述其他常见病毒感染的病变皮肤中未观察到染色。

结论

MPXV特异性单克隆抗体可作为辅助工具来确认猴痘感染。

https://cdn.ncbi.nlm.nih.gov/pmc/blobs/d3a1/11808465/4825078cd1f5/CUP-52-244-g003.jpg
https://cdn.ncbi.nlm.nih.gov/pmc/blobs/d3a1/11808465/b20fa93727fe/CUP-52-244-g002.jpg
https://cdn.ncbi.nlm.nih.gov/pmc/blobs/d3a1/11808465/5e3e54c11f2e/CUP-52-244-g001.jpg
https://cdn.ncbi.nlm.nih.gov/pmc/blobs/d3a1/11808465/2c3fab105cd4/CUP-52-244-g004.jpg
https://cdn.ncbi.nlm.nih.gov/pmc/blobs/d3a1/11808465/e561a9f888ab/CUP-52-244-g005.jpg
https://cdn.ncbi.nlm.nih.gov/pmc/blobs/d3a1/11808465/7c1b2143a803/CUP-52-244-g006.jpg
https://cdn.ncbi.nlm.nih.gov/pmc/blobs/d3a1/11808465/4825078cd1f5/CUP-52-244-g003.jpg
https://cdn.ncbi.nlm.nih.gov/pmc/blobs/d3a1/11808465/b20fa93727fe/CUP-52-244-g002.jpg
https://cdn.ncbi.nlm.nih.gov/pmc/blobs/d3a1/11808465/5e3e54c11f2e/CUP-52-244-g001.jpg
https://cdn.ncbi.nlm.nih.gov/pmc/blobs/d3a1/11808465/2c3fab105cd4/CUP-52-244-g004.jpg
https://cdn.ncbi.nlm.nih.gov/pmc/blobs/d3a1/11808465/e561a9f888ab/CUP-52-244-g005.jpg
https://cdn.ncbi.nlm.nih.gov/pmc/blobs/d3a1/11808465/7c1b2143a803/CUP-52-244-g006.jpg
https://cdn.ncbi.nlm.nih.gov/pmc/blobs/d3a1/11808465/4825078cd1f5/CUP-52-244-g003.jpg

相似文献

1
Detecting Monkeypox Virus by Immunohistochemistry.通过免疫组织化学检测猴痘病毒。
J Cutan Pathol. 2025 Mar;52(3):244-249. doi: 10.1111/cup.14776. Epub 2024 Dec 19.
2
Correlation between microneutralization test and a multiplexed immunoassay for evaluation of monkeypox and vaccinia virus antibodies before and after smallpox vaccination.在天花疫苗接种前后,用于评估猴痘病毒和牛痘病毒抗体的微量中和试验与多重免疫测定之间的相关性。
Front Immunol. 2025 Jun 23;16:1585284. doi: 10.3389/fimmu.2025.1585284. eCollection 2025.
3
Monkeypox virus H3L protein as the target antigen for developing neutralizing antibody and serological assay.猴痘病毒H3L蛋白作为开发中和抗体及血清学检测的靶抗原。
Appl Microbiol Biotechnol. 2025 Apr 2;109(1):80. doi: 10.1007/s00253-025-13466-6.
4
Susceptibility and transmission of mpox virus infection in brown rats ().褐家鼠中猴痘病毒感染的易感性与传播()
J Gen Virol. 2025 Jul;106(7). doi: 10.1099/jgv.0.002125.
5
An urgent need for diagnostic tools to address global mpox public health emergencies.迫切需要用于应对全球猴痘公共卫生紧急情况的诊断工具。
J Clin Microbiol. 2025 Jul 9;63(7):e0132124. doi: 10.1128/jcm.01321-24. Epub 2025 Jun 5.
6
Epidemiology and phylogenomic characterisation of two distinct mpox outbreaks in Kinshasa, DR Congo, involving a new subclade Ia lineage: a retrospective, observational study.刚果民主共和国金沙萨两起不同的猴痘疫情的流行病学和系统基因组特征分析,涉及一个新的Ia亚分支谱系:一项回顾性观察研究
Lancet. 2025 Jul 5;406(10498):63-75. doi: 10.1016/S0140-6736(25)00294-6.
7
An ultrasensitive and specific CRISPR-Cas13a-mediated point-of-care assay for monkeypox detection and PCR-based clade detection.一种用于猴痘检测的超灵敏且特异的CRISPR-Cas13a介导的即时检测方法及基于PCR的分支检测。
Infect Dis Poverty. 2025 Jun 23;14(1):56. doi: 10.1186/s40249-025-01325-5.
8
A systematic review to identify novel clinical characteristics of monkeypox virus infection and therapeutic and preventive strategies to combat the virus.一项系统评价,旨在确定猴痘病毒感染的新临床特征,以及对抗该病毒的治疗和预防策略。
Arch Virol. 2023 Jun 29;168(7):195. doi: 10.1007/s00705-023-05808-4.
9
Therapeutics for treating mpox in humans.人类天花治疗方法。
Cochrane Database Syst Rev. 2023 Mar 14;3(3):CD015769. doi: 10.1002/14651858.CD015769.
10
Epidemiological and clinical characteristics of patients with human monkeypox infection in Zhejiang Province, China, 2023.2023年中国浙江省猴痘感染患者的流行病学和临床特征
Front Public Health. 2025 Jun 2;13:1528679. doi: 10.3389/fpubh.2025.1528679. eCollection 2025.

本文引用的文献

1
Development of a Multi-Epitope Universal mRNA Vaccine Candidate for Monkeypox, Smallpox, and Vaccinia Viruses: Design and In Silico Analyses.开发一种针对猴痘、天花和牛痘病毒的多表位通用 mRNA 疫苗候选物:设计和计算机分析。
Viruses. 2023 May 7;15(5):1120. doi: 10.3390/v15051120.
2
Two long-lasting human monoclonal antibodies cross-react with monkeypox virus A35 antigen.两种长效人类单克隆抗体与猴痘病毒A35抗原发生交叉反应。
Cell Discov. 2023 May 25;9(1):50. doi: 10.1038/s41421-023-00556-w.
3
Ultrastructural analysis of monkeypox virus replication in Vero cells.
猴痘病毒在 Vero 细胞中复制的超微结构分析。
J Med Virol. 2023 Feb;95(2):e28536. doi: 10.1002/jmv.28536.
4
Clinical, histopathologic, immunohistochemical, and electron microscopic findings in cutaneous monkeypox: A multicenter retrospective case series in Spain.西班牙多中心回顾性病例系列研究:皮肤猴痘的临床、组织病理学、免疫组织化学和电子显微镜检查结果。
J Am Acad Dermatol. 2023 Apr;88(4):856-863. doi: 10.1016/j.jaad.2022.12.027. Epub 2022 Dec 26.
5
Monkeypox and its broad clinical spectrum in immunocompromised patients: Two case reports.免疫功能低下患者中的猴痘及其广泛临床谱:两例病例报告
IDCases. 2022 Nov 25;31:e01651. doi: 10.1016/j.idcr.2022.e01651. eCollection 2023.
6
Hypertrophic verrucous lesions after monkeypox virus infection.猴痘病毒感染后的肥厚性疣状病变
Lancet Infect Dis. 2023 Feb;23(2):259. doi: 10.1016/S1473-3099(22)00695-8. Epub 2022 Oct 26.
7
Monkeypox: disease epidemiology, host immunity and clinical interventions.猴痘:疾病流行病学、宿主免疫与临床干预
Nat Rev Immunol. 2022 Oct;22(10):597-613. doi: 10.1038/s41577-022-00775-4. Epub 2022 Sep 5.
8
Severe disseminated clinical presentation of monkeypox virus infection in an immunosuppressed patient: first death report in Brazil.猴痘病毒感染在免疫抑制患者中严重播散性临床表现:巴西首例死亡报告。
Rev Soc Bras Med Trop. 2022 Aug 29;55:e0392. doi: 10.1590/0037-8682-0392-2022. eCollection 2022.
9
Clinical features and novel presentations of human monkeypox in a central London centre during the 2022 outbreak: descriptive case series.2022 年伦敦市中心猴痘疫情期间的人类猴痘临床特征和新表现:描述性病例系列。
BMJ. 2022 Jul 28;378:e072410. doi: 10.1136/bmj-2022-072410.
10
Monkeypox Virus Infection in Humans across 16 Countries - April-June 2022.2022 年 4 月至 6 月 16 个国家人类感染猴痘病毒。
N Engl J Med. 2022 Aug 25;387(8):679-691. doi: 10.1056/NEJMoa2207323. Epub 2022 Jul 21.