Suppr超能文献

筛窦迷路慢性炎症黏膜中主要碱性蛋白和内皮黏附分子的表达

Expression of Major Basic Protein and Endothelial Adhesion Molecules in Chronically Inflamed Mucosa of the Ethmoid Labyrinth.

作者信息

Vukadinović Tijana, Đurđević Biserka Vukomanović, Perić Aleksandar

机构信息

University of Montenegro Faculty of Medicine, Podgorica, Montenegro.

Clinic of Otorhinolaryngology, Clinical Center of Montenegro, Podgorica, Montenegro.

出版信息

Immun Inflamm Dis. 2024 Dec;12(12):e70066. doi: 10.1002/iid3.70066.

Abstract

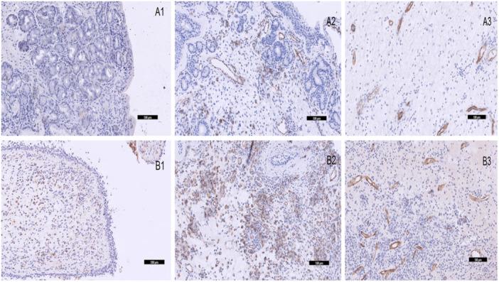
BACKGROUND/OBJECTIVES: Tissue remodeling, including dense eosinophil infiltration, is essential for forming inflammatory nasal polyps (NPs) and the pathogenesis of chronic rhinosinusitis with nasal polyps (CRSwNP). Toxic eosinophil major basic protein (MBP) damages the sinus mucosa epithelium and lamina propria, which initiates reparative processes leading to tissue remodeling. MBP specifically binds to BMK-13 antibodies allowing immunohistochemical (IHC) tissue staining for eosinophils. This study evaluated the association between NP stromal BMK-13 and endothelial adhesion molecule staining, and clinical parameters of NP patients compared to IHC expression and clinical parameters in subjects with healthy nasal mucosa.

METHODS

We included 30 patients with bilateral NPs who were selected for endoscopic ethmoidectomy. The control group was of 30 subjects with non-inflamed nasal mucosa but with middle turbinate aeration, chosen for surgery. All participants were clinically scored before surgery, according to quality of life (QoL) outcome and symptoms. The degree of disease extension on computed tomography scans of the paranasal sinuses was also evaluated. Tissue samples after surgery were IHC stained for BMK-13 and endothelial proliferation markers CD31 and CD34.

RESULTS

Expression of BMK-13, CD31, and CD34 in tissues of NPs was higher than in healthy nasal mucosa. Positive correlations were observed between BMK-13 expression, impaired QoL, and radiologically assessed extension of inflammation in NP patients.

CONCLUSION

Apart from the fact that the NP tissue has, as expected, more intense eosinophilic infiltration, the proliferation of blood vessels is more pronounced in the NP tissue than in the tissue of healthy nasal mucosa. Expression of MBP in the tissue of ethmoidal NPs could serve as a potential marker of the degree of expansion of CRSwNP and indicate the severity of the disease.

CLINICAL TRIAL REGISTRATION

None, because it was a cross-sectional study.

摘要

背景/目的:组织重塑,包括密集的嗜酸性粒细胞浸润,对于炎性鼻息肉(NP)的形成以及伴鼻息肉的慢性鼻-鼻窦炎(CRSwNP)的发病机制至关重要。毒性嗜酸性粒细胞主要碱性蛋白(MBP)会损害鼻窦黏膜上皮和固有层,从而启动导致组织重塑的修复过程。MBP特异性结合BMK-13抗体,从而实现对嗜酸性粒细胞的免疫组织化学(IHC)组织染色。本研究评估了NP基质BMK-13与内皮黏附分子染色之间的关联,以及NP患者的临床参数,并与健康鼻黏膜受试者的IHC表达和临床参数进行比较。

方法

我们纳入了30例双侧NP患者,他们被选来进行内镜筛窦切除术。对照组为30例鼻黏膜未发炎但中鼻甲通气的受试者,他们被选来进行手术。所有参与者在手术前均根据生活质量(QoL)结果和症状进行临床评分。还评估了鼻窦计算机断层扫描上疾病扩展的程度。术后组织样本进行BMK-13以及内皮增殖标志物CD31和CD34的IHC染色。

结果

NP组织中BMK-13、CD31和CD34的表达高于健康鼻黏膜。在NP患者中,观察到BMK-13表达、QoL受损与放射学评估的炎症扩展之间存在正相关。

结论

除了NP组织如预期具有更强烈的嗜酸性粒细胞浸润这一事实外,NP组织中的血管增殖比健康鼻黏膜组织中更明显。筛窦NP组织中MBP的表达可作为CRSwNP扩展程度的潜在标志物,并指示疾病的严重程度。

临床试验注册

无,因为这是一项横断面研究。

https://cdn.ncbi.nlm.nih.gov/pmc/blobs/dcaf/11656366/c429e135eea9/IID3-12-e70066-g001.jpg

文献检索

告别复杂PubMed语法,用中文像聊天一样搜索,搜遍4000万医学文献。AI智能推荐,让科研检索更轻松。

立即免费搜索

文件翻译

保留排版,准确专业,支持PDF/Word/PPT等文件格式,支持 12+语言互译。

免费翻译文档

深度研究

AI帮你快速写综述,25分钟生成高质量综述,智能提取关键信息,辅助科研写作。

立即免费体验