Suppr超能文献

阿霉素诱导的骨骼肌和心肌毒性的超微结构特征。

Ultrastructural features of Adriamycin-induced skeletal and cardiac muscle toxicity.

作者信息

Doroshow J H, Tallent C, Schechter J E

出版信息

Am J Pathol. 1985 Feb;118(2):288-97.

Abstract

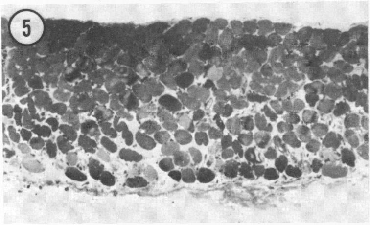
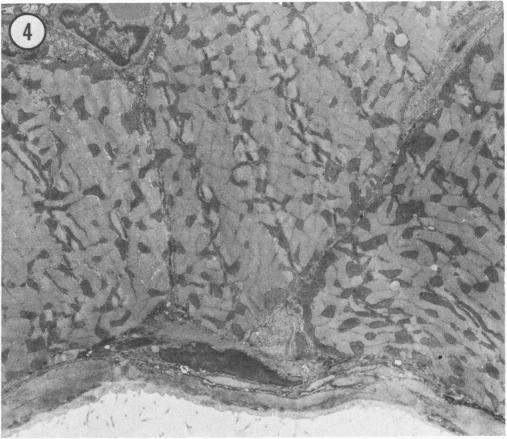
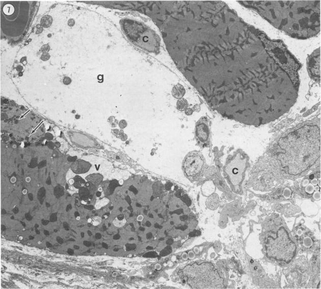
In this study, the authors examined the effect of the anti-tumor agent Adriamycin, a known cardiotoxin, on mouse heart, diaphragm, and gastrocnemius muscle. Using an established model of Adriamycin cardiac toxicity, they found that 4 days after the intraperitoneal injection of 20 mg/kg of Adriamycin, characteristic heart lesions, including vacuolation of the sarcoplasmic reticulum, interstitial edema, and mitochondrial degeneration, were demonstrated in all treated animals. Furthermore, similar, but much more severe, myocyte damage was demonstrated in the diaphragm; muscle toxicity followed a decreasing gradient of injury from the peritoneal to the thoracic surface of the tissue. On the other hand, treatment with Adriamycin resulted in an increase in the size and number of lipid droplets in the red fibers of the gastrocnemius muscle without any other ultrastructural evidence of drug-induced damage to myocytes. An examination of the pharmacokinetics and metabolism of Adriamycin after intraperitoneal treatment revealed that relative drug levels in muscle (diaphragm much greater than heart much greater than gastrocnemius) paralleled the degree of ultrastructural damage observed. This study indicates that treatment with Adriamycin can produce significant injury to non-cardiac muscle in a fashion that strongly resembles the characteristic pattern of Adriamycin-related damage to the heart, and that the degree of myocyte damage is apparently dependent upon the Adriamycin concentration in the tissue.

摘要

在本研究中,作者研究了抗肿瘤药物阿霉素(一种已知的心脏毒素)对小鼠心脏、膈肌和腓肠肌的影响。他们使用已建立的阿霉素心脏毒性模型,发现腹腔注射20mg/kg阿霉素4天后,所有接受治疗的动物均出现了特征性的心脏病变,包括肌浆网空泡化、间质水肿和线粒体变性。此外,在膈肌中也发现了类似但更为严重的心肌细胞损伤;肌肉毒性从组织的腹膜面向胸表面呈现递减的损伤梯度。另一方面,阿霉素治疗导致腓肠肌红色纤维中脂滴的大小和数量增加,而没有任何其他药物诱导的心肌细胞损伤的超微结构证据。对腹腔注射阿霉素后的药代动力学和代谢进行检查发现,肌肉中的相对药物水平(膈肌远高于心脏,心脏远高于腓肠肌)与观察到的超微结构损伤程度平行。这项研究表明,阿霉素治疗可对非心肌产生显著损伤,其方式与阿霉素相关的心脏损伤特征模式极为相似,并且心肌细胞损伤程度显然取决于组织中阿霉素的浓度。

https://cdn.ncbi.nlm.nih.gov/pmc/blobs/b678/1887878/b366a5149bbf/amjpathol00173-0126-a.jpg

文献检索

告别复杂PubMed语法,用中文像聊天一样搜索,搜遍4000万医学文献。AI智能推荐,让科研检索更轻松。

立即免费搜索

文件翻译

保留排版,准确专业,支持PDF/Word/PPT等文件格式,支持 12+语言互译。

免费翻译文档

深度研究

AI帮你快速写综述,25分钟生成高质量综述,智能提取关键信息,辅助科研写作。

立即免费体验