• 文献检索
  • 文档翻译
  • 深度研究
  • 学术资讯
  • Suppr Zotero 插件Zotero 插件
  • 邀请有礼
  • 套餐&价格
  • 历史记录
应用&插件
Suppr Zotero 插件Zotero 插件浏览器插件Mac 客户端Windows 客户端微信小程序
定价
高级版会员购买积分包购买API积分包
服务
文献检索文档翻译深度研究API 文档MCP 服务
关于我们
关于 Suppr公司介绍联系我们用户协议隐私条款
关注我们

Suppr 超能文献

核心技术专利:CN118964589B侵权必究
粤ICP备2023148730 号-1Suppr @ 2026

文献检索

告别复杂PubMed语法,用中文像聊天一样搜索,搜遍4000万医学文献。AI智能推荐,让科研检索更轻松。

立即免费搜索

文件翻译

保留排版,准确专业,支持PDF/Word/PPT等文件格式,支持 12+语言互译。

免费翻译文档

深度研究

AI帮你快速写综述,25分钟生成高质量综述,智能提取关键信息,辅助科研写作。

立即免费体验

一种具有高细胞和极性反转形态的原位乳头状导管癌新亚型:一例罕见病例报告。

A new subtype of papillary ductal carcinoma in situ with tall cell and reversed polarity morphology: a rare case report.

作者信息

Zhong Ruiqi, Chang Ziyi, Wang Xiuhong, Zhong Dingrong

机构信息

4+4 Medical Doctor Program, Chinese Academy of Medical Sciences & Peking Union Medical College, Beijing, China.

Department of Pathology, China-Japan Friendship Hospital, No. 2, Yinghuayuan East Street, Chaoyang District, Beijing, 100029, China.

出版信息

BMC Womens Health. 2024 Dec 19;24(1):640. doi: 10.1186/s12905-024-03489-y.

DOI:10.1186/s12905-024-03489-y
PMID:39702261
原文链接:https://pmc.ncbi.nlm.nih.gov/articles/PMC11658091/
Abstract

BACKGROUND

According to previous studies, tall cell carcinoma with reversed polarity can be easily distinguished from ductal carcinoma in situ based on the absence of myoepithelium and a typical histologic feature. However, to the best of our knowledge, no cases of papillary ductal carcinoma exhibiting tall cell and reversed polarity features with intact myoepithelium have been reported, and thus its diagnosis and prognosis remain unclear.

CASE PRESENTATION

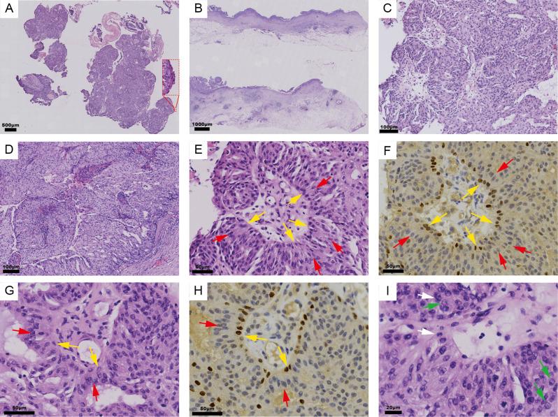
A 54-year-old female with a palpable lump in her right breast for 3 years. There were no other symptoms found. A preoperative ultrasound examination showed an oval, well-circumscribed, anechoic cystic appearance with hypoechoic adnexal nodules, classified as 3-4a in the Breast Imaging Reporting Data System. Surgical excision revealed an in-situ breast carcinoma exhibiting a solid papillary pattern and tall cell with reversed polarity of nuclei. After thorough postoperative pathology, immunohistochemistry, and next-generation sequencing, we hypothesized that it might be a new ductal carcinoma in situ subtype with tall cells and reversed polarity of the mammary gland.

CONCLUSIONS

We herein present a rare case of papillary ductal carcinoma in situ with tall cell and reversed polarity morphology breast cancer, which can closely mimic tall cell carcinoma with reversed polarity and ductal carcinoma in situ. Thorough evaluations of histologic features, immunohistochemistry results, and genetic alterations are significant in identifying this rare entity. In addition, this type of breast cancer is low-malignant and has a favorable prognosis without any adjuvant therapy after complete resection.

摘要

背景

根据以往研究,极性反转的高细胞癌可基于肌上皮的缺失和典型组织学特征与原位导管癌轻松区分。然而,据我们所知,尚无关于具有完整肌上皮的表现为高细胞和极性反转特征的乳头导管癌病例报道,因此其诊断和预后仍不明确。

病例介绍

一名54岁女性,右乳可触及肿块3年。未发现其他症状。术前超声检查显示为椭圆形、边界清晰的无回声囊性外观,伴有低回声附件结节,在乳腺影像报告和数据系统中分类为3 - 4a级。手术切除显示为原位乳腺癌,呈现实性乳头模式以及细胞核极性反转的高细胞。经过全面的术后病理、免疫组化和二代测序,我们推测这可能是一种新的具有高细胞和乳腺极性反转的原位导管癌亚型。

结论

我们在此报告一例罕见的具有高细胞和极性反转形态的原位乳头导管癌病例,其可酷似极性反转的高细胞癌和原位导管癌。对组织学特征、免疫组化结果和基因改变进行全面评估对于识别这一罕见实体具有重要意义。此外,这种类型的乳腺癌恶性程度低,完全切除后无需任何辅助治疗,预后良好。

https://cdn.ncbi.nlm.nih.gov/pmc/blobs/eb3b/11658091/577a7707a4d0/12905_2024_3489_Fig4_HTML.jpg
https://cdn.ncbi.nlm.nih.gov/pmc/blobs/eb3b/11658091/c263bf797809/12905_2024_3489_Fig1_HTML.jpg
https://cdn.ncbi.nlm.nih.gov/pmc/blobs/eb3b/11658091/4a2ca25485d0/12905_2024_3489_Fig2_HTML.jpg
https://cdn.ncbi.nlm.nih.gov/pmc/blobs/eb3b/11658091/f99368287876/12905_2024_3489_Fig3_HTML.jpg
https://cdn.ncbi.nlm.nih.gov/pmc/blobs/eb3b/11658091/577a7707a4d0/12905_2024_3489_Fig4_HTML.jpg
https://cdn.ncbi.nlm.nih.gov/pmc/blobs/eb3b/11658091/c263bf797809/12905_2024_3489_Fig1_HTML.jpg
https://cdn.ncbi.nlm.nih.gov/pmc/blobs/eb3b/11658091/4a2ca25485d0/12905_2024_3489_Fig2_HTML.jpg
https://cdn.ncbi.nlm.nih.gov/pmc/blobs/eb3b/11658091/f99368287876/12905_2024_3489_Fig3_HTML.jpg
https://cdn.ncbi.nlm.nih.gov/pmc/blobs/eb3b/11658091/577a7707a4d0/12905_2024_3489_Fig4_HTML.jpg

相似文献

1
A new subtype of papillary ductal carcinoma in situ with tall cell and reversed polarity morphology: a rare case report.一种具有高细胞和极性反转形态的原位乳头状导管癌新亚型:一例罕见病例报告。
BMC Womens Health. 2024 Dec 19;24(1):640. doi: 10.1186/s12905-024-03489-y.
2
Rare Presentation of Papillary Carcinoma Within a Sentinel Lymph Node in a Patient With Ductal Carcinoma in Situ of the Breast: A Challenging but Useful Case Report Discussion Regarding Displacement or True Metastasis?
Int J Surg Pathol. 2024 Dec;32(8):1588-1594. doi: 10.1177/10668969241235316. Epub 2024 Mar 18.
3
Tall cell carcinoma with reversed polarity of breast: Sonographic and magnetic resonance imaging findings.极性反转的乳腺高细胞癌:超声及磁共振成像表现。
J Clin Ultrasound. 2023 Mar;51(3):494-497. doi: 10.1002/jcu.23280. Epub 2022 Jul 29.
4
Papillary neoplasms of the breast-reviewing the spectrum.乳腺的乳头状肿瘤:概述其全貌。
Mod Pathol. 2021 Jun;34(6):1044-1061. doi: 10.1038/s41379-020-00732-3. Epub 2021 Jan 18.
5
Perioperative care of nipple-areola complex-sparing mastectomy and one-stage breast reconstruction via endoscopic axillary approach for ductal carcinoma in situ: A case report.腔镜腋窝入路保乳头乳晕复合体的乳腺癌改良根治术同期乳房再造术的围手术期护理:一例报告。
Medicine (Baltimore). 2023 Dec 15;102(50):e36173. doi: 10.1097/MD.0000000000036173.
6
Immunohistochemical analysis of IDH2 R172 hotspot mutations in breast papillary neoplasms: applications in the diagnosis of tall cell carcinoma with reverse polarity.免疫组织化学分析乳腺乳头状肿瘤中 IDH2 R172 热点突变:在诊断具有反向极性的高细胞癌中的应用。
Mod Pathol. 2020 Jun;33(6):1056-1064. doi: 10.1038/s41379-019-0442-2. Epub 2020 Jan 2.
7
Imprint Cytology of Tall Cell Carcinoma with Reversed Polarity of the Breast: A Case Report.伴乳腺极性反转的高细胞癌的印片细胞学:一例报告。
Acta Cytol. 2024;68(1):73-79. doi: 10.1159/000536346. Epub 2024 Jan 23.
8
Palpable ductal carcinoma in situ: analysis of radiological and histological features of a large series with 5-year follow-up.可触及的导管原位癌:对一组大样本的影像学和组织学特征进行的分析,随访时间为 5 年。
Clin Breast Cancer. 2013 Dec;13(6):486-91. doi: 10.1016/j.clbc.2013.08.002.
9
Tall cell carcinoma with reversed polarity: A case report of a very rare breast tumor entity and mini-review.极性反转的高细胞癌:一种非常罕见的乳腺肿瘤实体的病例报告及迷你综述。
Breast J. 2021 Apr;27(4):369-376. doi: 10.1111/tbj.14165. Epub 2021 Feb 2.
10
Tall Cell Variant of Invasive Papillary Breast Carcinoma.浸润性乳头状乳腺癌的高细胞型变体。
Am Surg. 2023 Sep;89(9):3875-3876. doi: 10.1177/00031348231173978. Epub 2023 May 5.

本文引用的文献

1
Tall cell carcinoma with reversed polarity of breast: Sonographic and magnetic resonance imaging findings.极性反转的乳腺高细胞癌:超声及磁共振成像表现。
J Clin Ultrasound. 2023 Mar;51(3):494-497. doi: 10.1002/jcu.23280. Epub 2022 Jul 29.
2
Database Resources of the National Genomics Data Center, China National Center for Bioinformation in 2022.2022 年中国国家生物信息中心国家基因组学数据中心数据库资源。
Nucleic Acids Res. 2022 Jan 7;50(D1):D27-D38. doi: 10.1093/nar/gkab951.
3
Tall Cell Carcinoma With Reversed Polarity of the Breast.
乳腺高细胞性癌伴极性反转
Cureus. 2021 Aug 1;13(8):e16814. doi: 10.7759/cureus.16814. eCollection 2021 Aug.
4
The Genome Sequence Archive Family: Toward Explosive Data Growth and Diverse Data Types.基因组序列档案家族:走向爆炸式的数据增长和多样化的数据类型。
Genomics Proteomics Bioinformatics. 2021 Aug;19(4):578-583. doi: 10.1016/j.gpb.2021.08.001. Epub 2021 Aug 13.
5
Breast carcinomas of low malignant potential.低度恶性潜能的乳腺浸润性癌。
Virchows Arch. 2022 Jan;480(1):5-19. doi: 10.1007/s00428-021-03163-w. Epub 2021 Jul 22.
6
Cancer Cell Metabolism in Hypoxia: Role of HIF-1 as Key Regulator and Therapeutic Target.缺氧环境下的肿瘤细胞代谢:HIF-1 作为关键调节因子和治疗靶点的作用。
Int J Mol Sci. 2021 May 27;22(11):5703. doi: 10.3390/ijms22115703.
7
Tall cell carcinoma with reversed polarity: A case report of a very rare breast tumor entity and mini-review.极性反转的高细胞癌:一种非常罕见的乳腺肿瘤实体的病例报告及迷你综述。
Breast J. 2021 Apr;27(4):369-376. doi: 10.1111/tbj.14165. Epub 2021 Feb 2.
8
Tall cell carcinoma of the breast with reversed polarity (TCCRP) with mutations in the IDH2 and PIK3CA genes: a case report.伴有IDH2和PIK3CA基因突变的极性反转性乳腺高细胞癌(TCCRP):一例报告
Mol Biol Rep. 2020 Jun;47(6):4917-4921. doi: 10.1007/s11033-020-05553-w. Epub 2020 May 30.
9
Breast tumour resembling tall cell variant of papillary thyroid carcinoma: case presentation (in a patient with Lynch syndrome).酷似甲状腺乳头状癌高细胞变异型的乳腺肿瘤:病例报告( Lynch综合征患者)
J Clin Pathol. 2018 Nov;71(11):1031-1032. doi: 10.1136/jclinpath-2018-205337. Epub 2018 Jul 7.
10
Solid papillary carcinoma with reverse polarity of the breast harbors specific morphologic, immunohistochemical and molecular profile in comparison with other benign or malignant papillary lesions of the breast: a comparative study of 9 additional cases.实性乳头状癌伴乳腺极性反转与其他乳腺良恶性乳头状病变相比具有特定的形态学、免疫组织化学和分子特征:9 例附加病例的对比研究。
Mod Pathol. 2018 Sep;31(9):1367-1380. doi: 10.1038/s41379-018-0047-1. Epub 2018 May 21.