• 文献检索
  • 文档翻译
  • 深度研究
  • 学术资讯
  • Suppr Zotero 插件Zotero 插件
  • 邀请有礼
  • 套餐&价格
  • 历史记录
应用&插件
Suppr Zotero 插件Zotero 插件浏览器插件Mac 客户端Windows 客户端微信小程序
定价
高级版会员购买积分包购买API积分包
服务
文献检索文档翻译深度研究API 文档MCP 服务
关于我们
关于 Suppr公司介绍联系我们用户协议隐私条款
关注我们

Suppr 超能文献

核心技术专利:CN118964589B侵权必究
粤ICP备2023148730 号-1Suppr @ 2026

文献检索

告别复杂PubMed语法,用中文像聊天一样搜索,搜遍4000万医学文献。AI智能推荐,让科研检索更轻松。

立即免费搜索

文件翻译

保留排版,准确专业,支持PDF/Word/PPT等文件格式,支持 12+语言互译。

免费翻译文档

深度研究

AI帮你快速写综述,25分钟生成高质量综述,智能提取关键信息,辅助科研写作。

立即免费体验

妊娠剧吐相关韦尼克脑病:一例报告

Wernicke Encephalopathy Associated with Hyperemesis Gravidarum: A Case Report.

作者信息

Kreutzer Beth, Buehrer Blake, Pelikan Andrew, Rohde Phillip

机构信息

University of Missouri, Department of Emergency Medicine, Columbia, Missouri.

出版信息

Clin Pract Cases Emerg Med. 2024 Nov;8(4):357-360. doi: 10.5811/cpcem.20522.

DOI:10.5811/cpcem.20522
PMID:39704585
原文链接:https://pmc.ncbi.nlm.nih.gov/articles/PMC11661250/
Abstract

INTRODUCTION

Wernicke encephalopathy is a clinical diagnosis that requires a high degree of clinical suspicion to recognize. We report a case of a pregnant patient developing Wernicke encephalopathy in the setting of severe hyperemesis gravidarum.

CASE REPORT

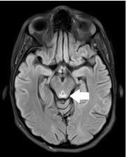
The patient was a 22-year-old female 13 weeks pregnant presenting to the emergency department (ED) with neurological deficits after several weeks of hyperemesis gravidarum requiring hospitalization. Exam and workup ultimately revealed the diagnosis of Wernicke encephalopathy. Her symptoms improved after administration of thiamine.

CONCLUSION

Wernicke encephalopathy is a consequence of thiamine deficiency, commonly seen in patients with alcohol use disorder but also with other causes of nutritional deficiency, such as hyperemesis gravidarum. Wernicke encephalopathy is a clinical diagnosis that requires a high degree of suspicion and is, therefore, often missed in the ED setting. Treatment is supplemental thiamine and management of the root cause for nutritional deficiency.

摘要

引言

韦尼克脑病是一种临床诊断,需要高度的临床怀疑才能识别。我们报告一例妊娠剧吐患者发生韦尼克脑病的病例。

病例报告

该患者为一名22岁、孕13周的女性,因妊娠剧吐数周并需要住院治疗,后出现神经功能缺损而就诊于急诊科。检查和检查最终确诊为韦尼克脑病。给予硫胺素后,她的症状有所改善。

结论

韦尼克脑病是硫胺素缺乏的结果,常见于酒精使用障碍患者,但也见于其他营养缺乏原因,如妊娠剧吐。韦尼克脑病是一种临床诊断,需要高度怀疑,因此在急诊科环境中常常被漏诊。治疗方法是补充硫胺素并处理营养缺乏的根本原因。

https://cdn.ncbi.nlm.nih.gov/pmc/blobs/911e/11661250/3c2b6419effb/cpcem-8-357-g002.jpg
https://cdn.ncbi.nlm.nih.gov/pmc/blobs/911e/11661250/5d421a9f4952/cpcem-8-357-g001.jpg
https://cdn.ncbi.nlm.nih.gov/pmc/blobs/911e/11661250/3c2b6419effb/cpcem-8-357-g002.jpg
https://cdn.ncbi.nlm.nih.gov/pmc/blobs/911e/11661250/5d421a9f4952/cpcem-8-357-g001.jpg
https://cdn.ncbi.nlm.nih.gov/pmc/blobs/911e/11661250/3c2b6419effb/cpcem-8-357-g002.jpg

相似文献

1
Wernicke Encephalopathy Associated with Hyperemesis Gravidarum: A Case Report.妊娠剧吐相关韦尼克脑病:一例报告
Clin Pract Cases Emerg Med. 2024 Nov;8(4):357-360. doi: 10.5811/cpcem.20522.
2
Fetal demise and Wernicke-Korsakoff syndrome in a patient with hyperemesis gravidarum: a case report.妊娠剧吐致胎儿死亡和韦尼克脑病-柯萨可夫综合征 1 例报告
J Med Case Rep. 2023 Feb 2;17(1):32. doi: 10.1186/s13256-022-03748-2.
3
Use of Thiamine Supplementation in Pregnant Women Diagnosed With Hyperemesis Gravidarum and Wernicke Encephalopathy.在诊断患有妊娠剧吐和韦尼克脑病的孕妇中使用硫胺素补充剂。
Nurs Womens Health. 2024 Jun;28(3):222-226. doi: 10.1016/j.nwh.2024.02.003. Epub 2024 Mar 22.
4
Wernicke encephalopathy associated with hyperemesis gravidarum.妊娠剧吐相关的韦尼克脑病。
Am J Emerg Med. 2020 Mar;38(3):690.e3-690.e5. doi: 10.1016/j.ajem.2019.09.012. Epub 2019 Nov 16.
5
Atypical neurological manifestations in Wernicke's encephalopathy due to hyperemesis gravidarum.妊娠剧吐导致 Wernicke 脑病的非典型神经系统表现。
Nutr Neurosci. 2022 Oct;25(10):2051-2056. doi: 10.1080/1028415X.2021.1931781. Epub 2021 May 27.
6
Wernicke Encephalopathy Secondary to Hyperemesis Gravidarum in a 22-Year-Old Female Patient: A Case Report.一名22岁女性患者妊娠剧吐继发韦尼克脑病:病例报告
Cureus. 2023 Sep 13;15(9):e45172. doi: 10.7759/cureus.45172. eCollection 2023 Sep.
7
When time is brain: a systematic review about Wernicke encephalopathy as a dramatic consequence of thiamin deficiency in hyperemesis gravidarum.当时间就是大脑:妊娠剧吐导致硫胺素缺乏引起 Wernicke 脑病的系统评价。
J Matern Fetal Neonatal Med. 2023 Dec;36(2):2223678. doi: 10.1080/14767058.2023.2223678.
8
Reversible Wernicke encephalopathy caused by hyperemesis gravidarum in the second trimester of pregnancy: a case report.妊娠中期剧吐致可逆性威尼克脑病 1 例报告。
Pan Afr Med J. 2021 Dec 20;40:240. doi: 10.11604/pamj.2021.40.240.30245. eCollection 2021.
9
Iatrogenic Wernicke encephalopathy in a patient with severe hyperemesis gravidarum.一名重度妊娠剧吐患者的医源性韦尼克脑病
Obstet Gynecol. 2015 May;125(5):1150-1152. doi: 10.1097/AOG.0000000000000557.
10
[Hyperemesis gravidarum: a rare cause of Wernicke encephalopathy].[妊娠剧吐:韦尼克脑病的罕见病因]
Presse Med. 2007 Dec;36(12 Pt 1):1759-61. doi: 10.1016/j.lpm.2007.05.021. Epub 2007 Jun 14.

本文引用的文献

1
Wernicke's encephalopathy in women with hyperemesis gravidarum - Case series and literature review.妊娠剧吐致 Wernicke 脑病二例并文献复习
Trop Doct. 2022 Jan;52(1):98-100. doi: 10.1177/00494755211014396. Epub 2021 Jun 24.
2
Wernicke encephalopathy associated with hyperemesis gravidarum.妊娠剧吐相关的韦尼克脑病。
Am J Emerg Med. 2020 Mar;38(3):690.e3-690.e5. doi: 10.1016/j.ajem.2019.09.012. Epub 2019 Nov 16.
3
Thiamin in Clinical Practice.临床实践中的硫胺素
JPEN J Parenter Enteral Nutr. 2015 Jul;39(5):503-20. doi: 10.1177/0148607114565245. Epub 2015 Jan 6.
4
MR imaging findings in alcoholic and nonalcoholic acute Wernicke's encephalopathy: a review.酒精性和非酒精性急性韦尼克脑病的磁共振成像表现:综述
Biomed Res Int. 2014;2014:503596. doi: 10.1155/2014/503596. Epub 2014 Jun 24.
5
Wernicke's encephalopathy in a non-alcoholic patient with a normal blood thiamine level.一名血硫胺素水平正常的非酒精性患者出现韦尼克脑病。
Med J Aust. 2011 May 2;194(9):483-4. doi: 10.5694/j.1326-5377.2011.tb03068.x.
6
EFNS guidelines for diagnosis, therapy and prevention of Wernicke encephalopathy.EFNS 指南:Wernicke 脑病的诊断、治疗和预防。
Eur J Neurol. 2010 Dec;17(12):1408-18. doi: 10.1111/j.1468-1331.2010.03153.x.
7
Neuroimaging findings in acute Wernicke's encephalopathy: review of the literature.急性韦尼克脑病的神经影像学表现:文献综述
AJR Am J Roentgenol. 2009 Feb;192(2):501-8. doi: 10.2214/AJR.07.3959.
8
The Korsakoff syndrome: clinical aspects, psychology and treatment.科萨科夫综合征:临床症状、心理学及治疗
Alcohol Alcohol. 2009 Mar-Apr;44(2):148-54. doi: 10.1093/alcalc/agn118. Epub 2009 Jan 16.
9
Wernicke's encephalopathy: new clinical settings and recent advances in diagnosis and management.韦尼克脑病:新的临床情况及诊断与治疗的最新进展
Lancet Neurol. 2007 May;6(5):442-55. doi: 10.1016/S1474-4422(07)70104-7.
10
Hyperemesis gravidarum complicated by Wernicke encephalopathy: background, case report, and review of the literature.妊娠剧吐合并韦尼克脑病:背景、病例报告及文献综述
Obstet Gynecol Surv. 2006 Apr;61(4):255-68. doi: 10.1097/01.ogx.0000206336.08794.65.