• 文献检索
  • 文档翻译
  • 深度研究
  • 学术资讯
  • Suppr Zotero 插件Zotero 插件
  • 邀请有礼
  • 套餐&价格
  • 历史记录
应用&插件
Suppr Zotero 插件Zotero 插件浏览器插件Mac 客户端Windows 客户端微信小程序
定价
高级版会员购买积分包购买API积分包
服务
文献检索文档翻译深度研究API 文档MCP 服务
关于我们
关于 Suppr公司介绍联系我们用户协议隐私条款
关注我们

Suppr 超能文献

核心技术专利:CN118964589B侵权必究
粤ICP备2023148730 号-1Suppr @ 2026

文献检索

告别复杂PubMed语法,用中文像聊天一样搜索,搜遍4000万医学文献。AI智能推荐,让科研检索更轻松。

立即免费搜索

文件翻译

保留排版,准确专业,支持PDF/Word/PPT等文件格式,支持 12+语言互译。

免费翻译文档

深度研究

AI帮你快速写综述,25分钟生成高质量综述,智能提取关键信息,辅助科研写作。

立即免费体验

鼻窦 NUT 癌患者同步放化疗后巩固性免疫治疗:一例报告

Consolidation immunotherapy following concurrent chemoradiotherapy in a patient with sinonasal NUT carcinoma: a case report.

作者信息

Geng Xiaotao, Chang Xiaolong, Wang Xiaoli, Li Shunjia, Han Guiyan, Song Zhiyu, Hao Furong, Li Jianwen

机构信息

Department of Radiation Oncology, Weifang People's Hospital, Weifang, China.

Department of Pathology, Weifang People's Hospital, Weifang, China.

出版信息

Front Oncol. 2024 Dec 6;14:1368187. doi: 10.3389/fonc.2024.1368187. eCollection 2024.

DOI:10.3389/fonc.2024.1368187
PMID:39711966
原文链接:https://pmc.ncbi.nlm.nih.gov/articles/PMC11659667/
Abstract

BACKGROUND

Nuclear protein in testis (NUT) cancers, also known as midline cancers, tends to occur in organs near the midline, such as the nasal sinuses and mediastinum. NUT carcinoma is very rare and has a poor prognosis.

CASE DESCRIPTION

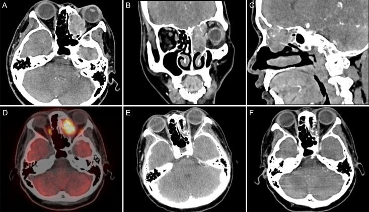
We report the case of a 44-year-old female patient with sinonasal NUT carcinoma who presented with a soft tissue mass in the left frontal sinus, ethmoid sinus, and left nasal cavity on computed tomography; the tumor was poorly demarcated from the left rectus medialis. After discussion with a multidisciplinary team with expertise on head and neck tumors, the patient was considered inoperable, and definitive concurrent chemoradiotherapy (CCRT) was recommended. The patient underwent CCRT followed by three cycles of consolidation chemotherapy with albumin-bound paclitaxel and nedaplatin. Subsequently, the patient underwent 16 cycles of consolidation therapy with the programmed death-1 (PD-1) inhibitor tislelizumab. The immune-related adverse events included grade 2 hypothyroidism. After CCRT, consolidation chemotherapy, and consolidation immunotherapy, the patient achieved a favorable outcome. The patient survived for 31 months, and there were no signs of recurrence or metastasis during follow-up.

CONCLUSION

At present, there is no clear consensus on the consolidation treatment plan after CCRT for sinonasal NUT cancer. We used consolidation immunotherapy for the first time and achieved good efficacy, providing an innovative and promising treatment plan for refractory sinonasal NUT cancer.

摘要

背景

睾丸核蛋白(NUT)癌,也称为中线癌,倾向于发生在中线附近的器官,如鼻窦和纵隔。NUT癌非常罕见,预后较差。

病例描述

我们报告了一例44岁女性鼻窦NUT癌患者,计算机断层扫描显示左侧额窦、筛窦和左侧鼻腔有软组织肿块;肿瘤与左侧内直肌分界不清。在与头颈肿瘤多学科专家团队讨论后,认为该患者无法手术,建议进行确定性同步放化疗(CCRT)。患者接受了CCRT,随后接受了三个周期的白蛋白结合型紫杉醇和奈达铂巩固化疗。随后,患者接受了16个周期的程序性死亡-1(PD-1)抑制剂替雷利珠单抗巩固治疗。免疫相关不良事件包括2级甲状腺功能减退。经过CCRT、巩固化疗和巩固免疫治疗后,患者取得了良好的疗效。患者存活了31个月,随访期间无复发或转移迹象。

结论

目前,鼻窦NUT癌CCRT后的巩固治疗方案尚无明确共识。我们首次使用巩固免疫治疗并取得了良好疗效,为难治性鼻窦NUT癌提供了一种创新且有前景的治疗方案。

https://cdn.ncbi.nlm.nih.gov/pmc/blobs/bcbe/11659667/4e97d27dc3ec/fonc-14-1368187-g004.jpg
https://cdn.ncbi.nlm.nih.gov/pmc/blobs/bcbe/11659667/b5a44168cfa7/fonc-14-1368187-g001.jpg
https://cdn.ncbi.nlm.nih.gov/pmc/blobs/bcbe/11659667/ec9b525bdb89/fonc-14-1368187-g002.jpg
https://cdn.ncbi.nlm.nih.gov/pmc/blobs/bcbe/11659667/0f721a81030c/fonc-14-1368187-g003.jpg
https://cdn.ncbi.nlm.nih.gov/pmc/blobs/bcbe/11659667/4e97d27dc3ec/fonc-14-1368187-g004.jpg
https://cdn.ncbi.nlm.nih.gov/pmc/blobs/bcbe/11659667/b5a44168cfa7/fonc-14-1368187-g001.jpg
https://cdn.ncbi.nlm.nih.gov/pmc/blobs/bcbe/11659667/ec9b525bdb89/fonc-14-1368187-g002.jpg
https://cdn.ncbi.nlm.nih.gov/pmc/blobs/bcbe/11659667/0f721a81030c/fonc-14-1368187-g003.jpg
https://cdn.ncbi.nlm.nih.gov/pmc/blobs/bcbe/11659667/4e97d27dc3ec/fonc-14-1368187-g004.jpg

相似文献

1
Consolidation immunotherapy following concurrent chemoradiotherapy in a patient with sinonasal NUT carcinoma: a case report.鼻窦 NUT 癌患者同步放化疗后巩固性免疫治疗:一例报告
Front Oncol. 2024 Dec 6;14:1368187. doi: 10.3389/fonc.2024.1368187. eCollection 2024.
2
Sinonasal NUT carcinoma: clinicopathological and cytogenetic analysis with autopsy findings.鼻腔鼻窦 NUT 癌:尸检结果的临床病理和细胞遗传学分析。
Hum Pathol. 2018 Jan;71:157-165. doi: 10.1016/j.humpath.2017.10.011. Epub 2017 Oct 24.
3
NUT Carcinoma of the Ethmoid Sinus: A Rare Case Report Highlighting Aggressive Behavior and Management Challenges.筛窦NUT癌:一例罕见病例报告,凸显侵袭性及治疗挑战
Ear Nose Throat J. 2025 Jan 26:1455613251316254. doi: 10.1177/01455613251316254.
4
Sinonasal NUT carcinoma: A retrospective case series from a single institution.鼻窦 NUT 癌:来自单一机构的回顾性病例系列研究。
Front Surg. 2023 Mar 1;10:1098704. doi: 10.3389/fsurg.2023.1098704. eCollection 2023.
5
Induction PD-1 inhibitor toripalimab plus chemotherapy followed by concurrent chemoradiotherapy and consolidation toripalimab for bulky locally advanced non-small-cell lung cancer: protocol for a randomized phase II trial (InTRist study).诱导性 PD-1 抑制剂特瑞普利单抗联合化疗,随后行同期放化疗和巩固性特瑞普利单抗治疗局部晚期非小细胞肺癌的容积肿瘤患者:一项随机 II 期试验方案(InTRist 研究)。
Front Immunol. 2024 Jan 15;14:1341584. doi: 10.3389/fimmu.2023.1341584. eCollection 2023.
6
A Rare Case of P63-Negative Sinonasal Nut Midline Carcinoma in the Elderly.老年患者中罕见的P63阴性鼻窦鼻型中线癌病例
Eur J Case Rep Intern Med. 2024 Jan 17;11(2):004265. doi: 10.12890/2024_004265. eCollection 2024.
7
Sinonasal NUT Carcinoma: A Call for Increased Attention to a Vital Clinical Diagnosis.鼻窦 NUT 癌:呼吁加强对这一重要临床诊断的关注。
Indian J Surg Oncol. 2025 Apr;16(2):702-707. doi: 10.1007/s13193-024-01907-z. Epub 2024 Feb 27.
8
Case Report: First Case of Consolidation Immunotherapy After Definitive Chemoradiotherapy in Mediastinal Lymph Node Metastatic Sarcomatoid Carcinoma.病例报告:纵隔淋巴结转移肉瘤样癌根治性放化疗后巩固免疫治疗首例病例
Front Oncol. 2022 Jan 10;11:788856. doi: 10.3389/fonc.2021.788856. eCollection 2021.
9
Durable response of tislelizumab plus cisplatin, nab-paclitaxel followed by concurrent chemoradiotherapy in locoregionally advanced nasopharyngeal carcinoma: A case report.特瑞普利单抗联合顺铂、白蛋白紫杉醇序贯同期放化疗治疗局部晚期鼻咽癌的持久缓解:一例报告。
Medicine (Baltimore). 2023 Feb 17;102(7):e32924. doi: 10.1097/MD.0000000000032924.
10
[Rectum-preserving surgery after consolidation neoadjuvant therapy or totally neoadjuvant therapy for low rectal cancer: a preliminary report].巩固性新辅助治疗或全新辅助治疗后低位直肠癌的保直肠手术:初步报告
Zhonghua Wei Chang Wai Ke Za Zhi. 2020 Mar 25;23(3):281-288. doi: 10.3760/cma.j.cn.441530-20200228-00096.

本文引用的文献

1
Maxillary Sinus NUT Carcinoma: A Case Report.上颌窦 NUT 癌:一例报告
Cancer Diagn Progn. 2024 May 3;4(3):370-378. doi: 10.21873/cdp.10334. eCollection 2024 May-Jun.
2
Pembrolizumab plus concurrent chemoradiotherapy versus placebo plus concurrent chemoradiotherapy in patients with locally advanced squamous cell carcinoma of the head and neck (KEYNOTE-412): a randomised, double-blind, phase 3 trial.帕博利珠单抗联合同步放化疗对比安慰剂联合同步放化疗用于局部晚期头颈部鳞状细胞癌患者(KEYNOTE-412):一项随机、双盲、3期试验
Lancet Oncol. 2024 May;25(5):572-587. doi: 10.1016/S1470-2045(24)00100-1. Epub 2024 Mar 29.
3
Immunotherapy experience in sinonasal NUT midline carcinoma, case report.
鼻腔鼻窦 NUT 中线癌的免疫治疗经验,病例报告。
J Cancer Res Ther. 2024 Jan 1;20(1):479-481. doi: 10.4103/jcrt.jcrt_1083_22. Epub 2023 Apr 5.
4
A Rare Case of P63-Negative Sinonasal Nut Midline Carcinoma in the Elderly.老年患者中罕见的P63阴性鼻窦鼻型中线癌病例
Eur J Case Rep Intern Med. 2024 Jan 17;11(2):004265. doi: 10.12890/2024_004265. eCollection 2024.
5
Induction PD-1 inhibitor toripalimab plus chemotherapy followed by concurrent chemoradiotherapy and consolidation toripalimab for bulky locally advanced non-small-cell lung cancer: protocol for a randomized phase II trial (InTRist study).诱导性 PD-1 抑制剂特瑞普利单抗联合化疗,随后行同期放化疗和巩固性特瑞普利单抗治疗局部晚期非小细胞肺癌的容积肿瘤患者:一项随机 II 期试验方案(InTRist 研究)。
Front Immunol. 2024 Jan 15;14:1341584. doi: 10.3389/fimmu.2023.1341584. eCollection 2023.
6
Sinonasal NUT carcinoma: A consecutive case series and systematic review.鼻窦NUT癌:连续病例系列及系统评价。
Head Neck. 2024 Jan;46(1):29-36. doi: 10.1002/hed.27553. Epub 2023 Oct 18.
7
[NUT carcinoma of the maxillary sinus in a child: a case report].[儿童上颌窦NUT癌:一例报告]
Zhonghua Er Bi Yan Hou Tou Jing Wai Ke Za Zhi. 2023 Oct 7;58(10):1013-1015. doi: 10.3760/cma.j.cn115330-20221202-00728.
8
Induction Chemotherapy for Locoregionally Advanced Sinonasal Squamous Cell Carcinoma and Sinonasal Undifferentiated Carcinoma: A Comprehensive Review.局部晚期鼻窦鳞状细胞癌和鼻窦未分化癌的诱导化疗:一项综述
Cancers (Basel). 2023 Jul 26;15(15):3798. doi: 10.3390/cancers15153798.
9
Efficacy and safety of consolidation durvalumab after chemoradiation therapy for stage III non-small-cell lung cancer: a systematic review, meta-analysis, and meta-regression of real-world studies.同步放化疗后使用度伐利尤单抗巩固治疗Ⅲ期非小细胞肺癌的疗效和安全性:一项真实世界研究的系统评价、荟萃分析和荟萃回归分析
Front Pharmacol. 2023 Jun 8;14:1103927. doi: 10.3389/fphar.2023.1103927. eCollection 2023.
10
A case of metastatic NUT carcinoma of the nasal cavity.一例鼻腔转移性NUT癌。
Oral Oncol. 2023 Jul;142:106432. doi: 10.1016/j.oraloncology.2023.106432. Epub 2023 May 20.