Suppr超能文献

裸鼠和米色小鼠的系统性粗球孢子菌感染

Systemic Coccidioides immitis infection in nude and beige mice.

作者信息

Clemons K V, Leathers C R, Lee K W

出版信息

Infect Immun. 1985 Mar;47(3):814-21. doi: 10.1128/iai.47.3.814-821.1985.

Abstract

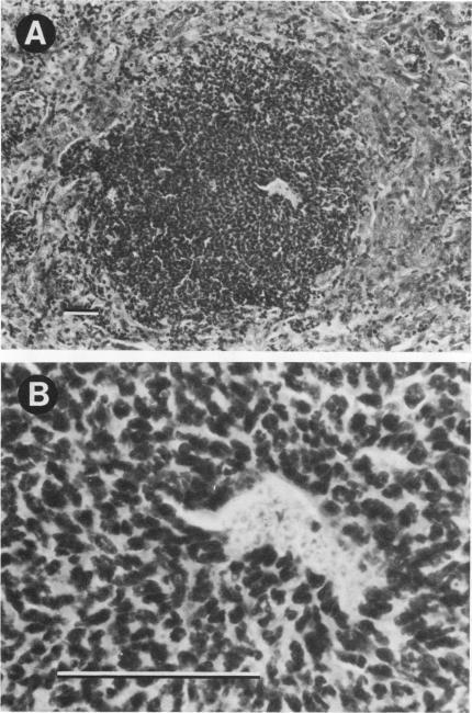
The course of experimental systemic Coccidioides immitis infection was assessed quantitatively and histologically in beige mice, congenitally athymic nude mice, and their respective normal counterparts. After intravenous inoculation with 50 arthroconidia, the number of viable C. immitis cultured from the spleens, livers, and lungs progressively increased throughout the assay in the organs of all mice. During the first 2 weeks of infection, significantly greater numbers of CFU were recovered from the spleens and livers, but not the lungs, of nude mice than from the respective organs of their phenotypically normal littermates. Significantly greater numbers of CFU were cultured from the lungs and spleens of beige mice compared with the number recovered from their functionally normal littermates. After intranasal inoculation, extrapulmonary dissemination of C. immitis occurred at an equal rate and resulted in similar organ burdens in nude mice and their normal littermates. Histological examination of infected tissues revealed a characteristic mixed inflammatory cell infiltrate in euthymic mice; the response in nude mice was less severe, consisting predominantly, if not solely, of granulocytes. In addition, in tissue sections from nude mice, but not in those from their euthymic counterparts, mature spherules were frequently observed to be devoid of an associated inflammatory response. The inflammatory lesion in beige mice contained a predominance of mononuclear cells, whereas their littermates responded with a typical mixed granulomatous infiltrate. Collectively, these results provide evidence supporting the hypothesis that resistance to C. immitis infection involves two primary cell populations, one under the direct influence of T-cells and the other independent of T-lymphocytes.

摘要

在米色小鼠、先天性无胸腺裸鼠及其各自的正常对照小鼠中,对实验性系统性粗球孢子菌感染的病程进行了定量和组织学评估。静脉接种50个关节孢子后,在整个实验过程中,所有小鼠器官中从脾脏、肝脏和肺中培养出的活的粗球孢子菌数量逐渐增加。在感染的前2周,裸鼠脾脏和肝脏中回收的CFU数量显著多于其表型正常的同窝仔鼠相应器官中的数量,但肺中没有这种情况。与从功能正常的同窝仔鼠中回收的数量相比,从米色小鼠的肺和脾脏中培养出的CFU数量显著更多。鼻内接种后,粗球孢子菌的肺外播散在裸鼠及其正常同窝仔鼠中以相同的速率发生,并导致相似的器官负荷。对感染组织的组织学检查显示,正常胸腺小鼠有典型的混合性炎性细胞浸润;裸鼠的反应较轻,主要由粒细胞组成,即使不完全是。此外,在裸鼠的组织切片中,而非其正常胸腺同窝仔鼠的组织切片中,经常观察到成熟的球囊没有相关的炎症反应。米色小鼠的炎性病变以单核细胞为主,而其同窝仔鼠则有典型的混合性肉芽肿浸润。总体而言,这些结果为支持以下假设提供了证据:对粗球孢子菌感染的抵抗力涉及两个主要细胞群,一个受T细胞直接影响,另一个独立于T淋巴细胞。

https://cdn.ncbi.nlm.nih.gov/pmc/blobs/8854/261400/155b248c3363/iai00120-0245-a.jpg

文献检索

告别复杂PubMed语法,用中文像聊天一样搜索,搜遍4000万医学文献。AI智能推荐,让科研检索更轻松。

立即免费搜索

文件翻译

保留排版,准确专业,支持PDF/Word/PPT等文件格式,支持 12+语言互译。

免费翻译文档

深度研究

AI帮你快速写综述,25分钟生成高质量综述,智能提取关键信息,辅助科研写作。

立即免费体验