Suppr超能文献

上肢动脉同时发生中风和急性动脉缺血的多学科管理方法:病例报告

Multidisciplinary approach in the management of simultaneous stroke and acute arterial ischemia of the arteries of the upper extremity: A case report.

作者信息

Sedgaryan M A, Kudrinskiy A V, Snitsar A V, Patlachuk M V, Talyzin P A, Shibitov V A, Ishutkin I S

机构信息

Department of Endovascular Surgery, State Budgetary Healthcare Institution "City Clinical Hospital named after M.E. Zhadkevich", Mozhaiskoe Highway, 14 121374, Moscow, Russia.

Department of Endovascular Surgery, State Budgetary Healthcare Institution "City Clinical Hospital 24", Pistsovaya St., 10, building 2 127015, Moscow, Russia.

出版信息

Radiol Case Rep. 2024 Dec 6;20(2):1215-1221. doi: 10.1016/j.radcr.2024.11.008. eCollection 2025 Feb.

Abstract

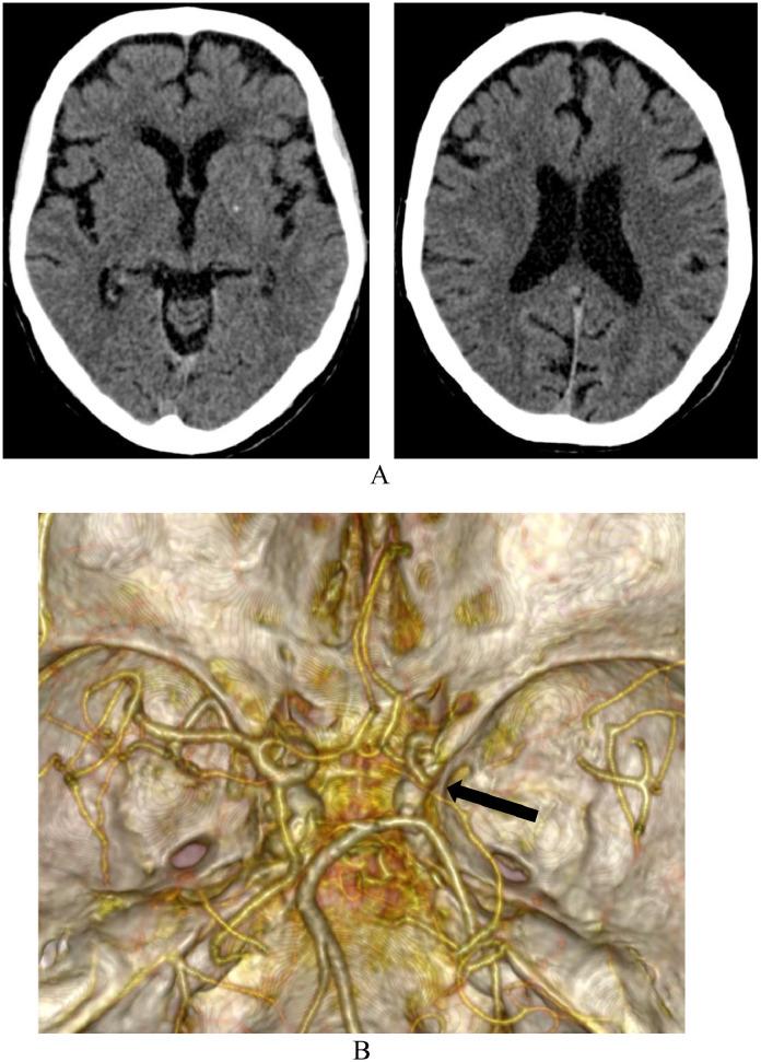
This case report presents a clinical case of management of a patient with concomitant ischemic stroke and acute arterial ischemia of the right upper limb. Emergency thrombaspiration from the middle cerebral artery improved the patient's neurological status. A hybrid intervention was carried out to restore blood flow in the right upper limb: brachial artery arteriotomy with thrombectomy through an open approach combined with endovascular recanalisation and balloon angioplasty of the forearm arteries. The comprehensive approach, incorporating endovascular and traditional vascular surgery techniques, resulted in a successful clinical outcome and avoided serious complications. This case highlights the importance of a multidisciplinary approach and timely intervention in treating complex cardiovascular pathologies.

摘要

本病例报告介绍了一例同时患有缺血性中风和右上肢急性动脉缺血患者的临床治疗情况。对大脑中动脉进行紧急血栓抽吸改善了患者的神经状态。为恢复右上肢血流进行了混合干预:通过开放手术进行肱动脉切开取栓,并结合前臂动脉的血管内再通和球囊血管成形术。采用血管内和传统血管外科技术相结合的综合方法取得了成功的临床效果,并避免了严重并发症。该病例凸显了多学科方法和及时干预在治疗复杂心血管疾病中的重要性。

https://cdn.ncbi.nlm.nih.gov/pmc/blobs/8da5/11669957/9a484ba0f9a6/gr1.jpg

文献检索

告别复杂PubMed语法,用中文像聊天一样搜索,搜遍4000万医学文献。AI智能推荐,让科研检索更轻松。

立即免费搜索

文件翻译

保留排版,准确专业,支持PDF/Word/PPT等文件格式,支持 12+语言互译。

免费翻译文档

深度研究

AI帮你快速写综述,25分钟生成高质量综述,智能提取关键信息,辅助科研写作。

立即免费体验